안녕하세요
압구정 교정치과입니다.
오늘은 선수술 양악수술 비대칭 주걱턱 치료 이야기 소개하겠습니다.
심한 골격성 비대칭 등 교정만으로는 완벽한 해결이 힘들 경우 양악수술을 동반한 교정치료가 필요합니다.
예전에는 술전교정 - 양악수술 - 술후교정의 과정을 꼭 거쳤으나
요즘은 상태에 따라 선수술 즉 양악수술을 먼저 하고 마무리 교정만 하는 경우도 많습니다.

25.02~25.06
오늘은 양악 선수술 후 인비절라인 라이트로 술후교정을 간단하게 마무리 한 케이스 소개하겠습니다.
양악수술 전문 구강악안면외과병원에서 의뢰된 환자분입니다.

24.12
비대칭, 거미스마일 등으로 양악수술이 계획되어 있습니다.
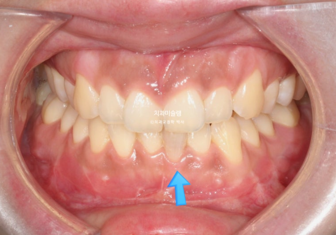
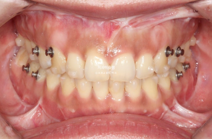
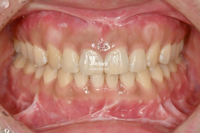
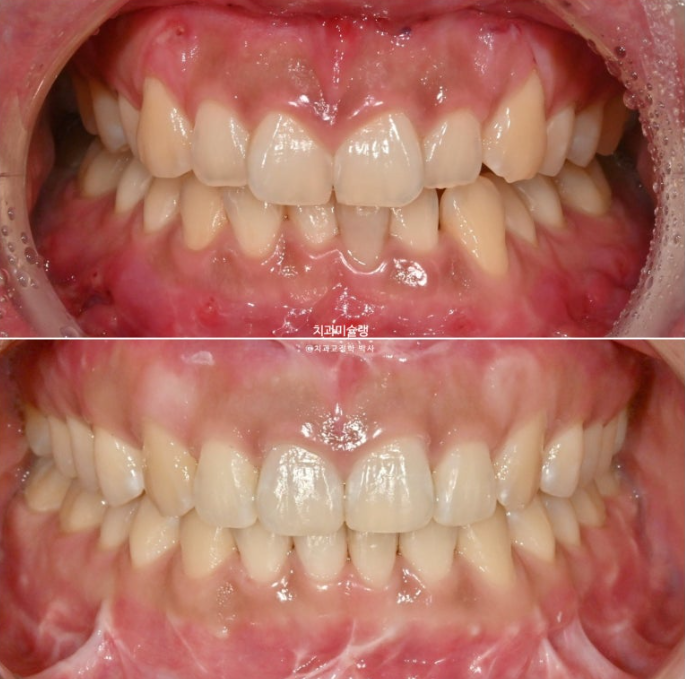
선수술 후 한달간의 회복기를 거쳐 25년 1월 본원에 내원했을 때의 교합 상태입니다.

25.01
아래 앞니 하나에 변색이 보입니다.
수술 직후 일시적으로 신경이 죽는 경우가 있으며 다시 돌아오기도 하니 일단 지켜봅니다.
앞니 두 개는 나비치아 돌출이며

어금니 교합이 떠있습니다.


앞니에 배열이 삐뚤합니다.
이 정도의 상태라면 14개 장치 안에서 해결이 가능합니다.
즉 인비절라인 라이트로도 충분합니다.
25년 2월부터 14개 첫세트 장치를 끼기 시작했습니다.
양악수술이든 윤곽수술이든 얼굴 뼈를 건드리는 수술 직후에는 수술 자체가 일종의 트라우마로 작용하여 RAP 현상으로 인해 치아이동 속도가 빠르면서 치근흡수는 적은, 치아이동의 황금기가 존재합니다.
이 시기를 적절히 이용하면 술후교정이 빠르고 안전하게 끝납니다.
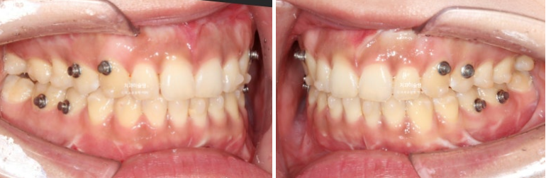
25년 6월 14개 장치를 모두 낀 후 모습입니다.

25.06
어금니 교합을 안정시키기 위한 고무줄 거는 고리가 여럿 붙어있습니다
수술 직후 변색이 되었던 아래 앞니는 신경이 돌아오며 정상 색깔을 회복중입니다.

교합은 좋은편이며


배열도 거의 완성이 되었습니다.
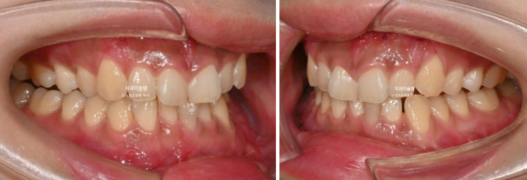
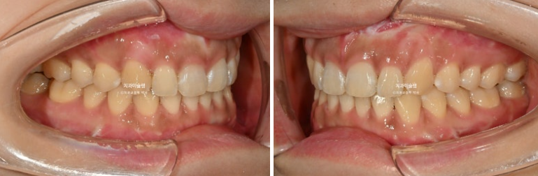
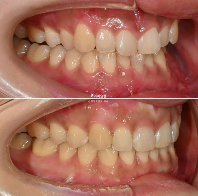
이제 양악수술 전화 술후 교정 후 안모 비교 보겠습니다.

25.02~25.06
양악수술 전과 술후교정 후 안모를 보면 배열 이외에 비대칭으로 인한 교합평면의 기울어짐 (캔팅) 과 거미스마일이 개선된 것이 보입니다.
거미스마일과 캔팅 개선은 술후교정이 아닌 양악수술로 개선이 된 부분입니다.
간혹 양악수술 후 위 앞니 노출도가 상당히 감소하는 경우가 많습니다
즉 얼굴은 작아지고 예뻐졌는데 앞니가 잘 안보여서 또다른 고민거리가 생기는 경우가 있습니다.
하지만 이 환자분은 양악수술 후에도 앞니 노출도가 좋습니다.

25.02~25.06
앞니 각도도 좋습니다.
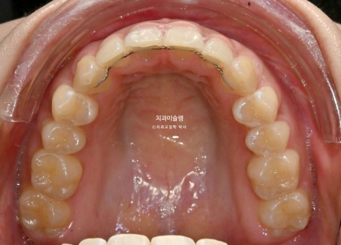
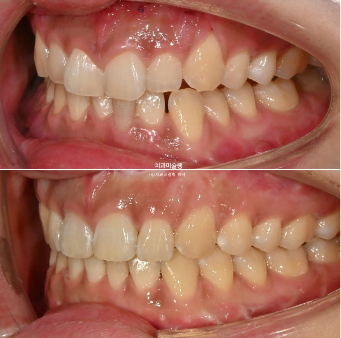
약간의 중심선 불일치, 약간의 앞니 배열 등을 더 개선하기 위해 추가장치 제작에 들어갑니다.
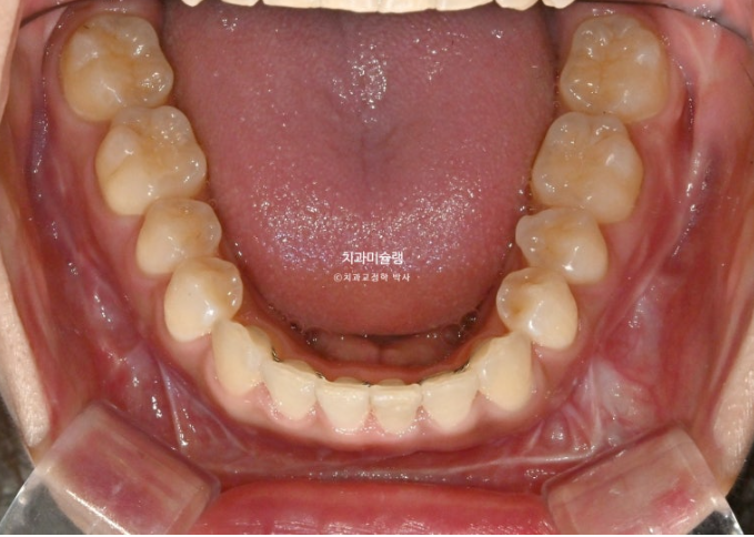
25년 7월부터 10월까지 약 3개월간 추가장치를 다 낀 후 모습입니다.

25.10
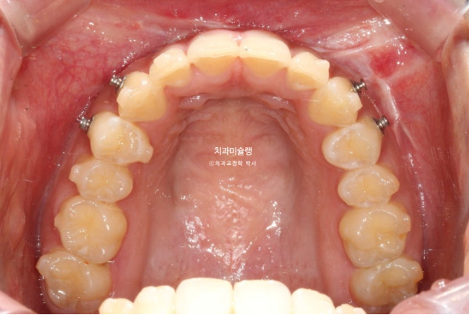
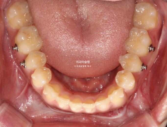
중심선은 정확히 맞으며

어금니 교합은 물샐틈 없는 1급 교합관계를 보입니다.


이제 교합 전후비교 보겠습니다.

25.02~25.10


25.02~25.10
수술에서 술후교정 마무리까지 총 10개월 걸렸습니다.

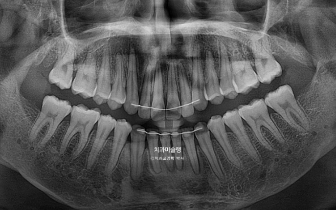
치근흡수는 없으며 치근평행도는 양호합니다.
양악수술을 고민중인 분들께 이 포스팅이 도움이 되길 바랍니다.

