#압구정교정치과 #무삭제라미네이트 #라미네이트 #잇몸미소 #가위교합 #라미네이트치과
안녕하세요
압구정 교정치과입니다.
오늘은 가위교합, 중심선 이슈, 거미스마일 등등에 왜소치까지 있는 복잡한 케이스를 인비절라인으로 어떻게 치료하는 지 보여드리겠습니다.

22.10~25.06
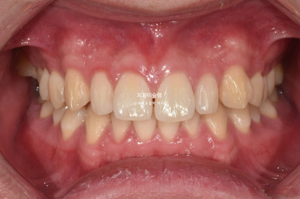
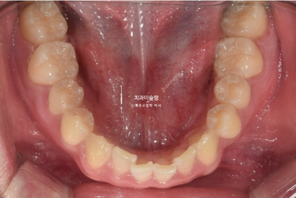
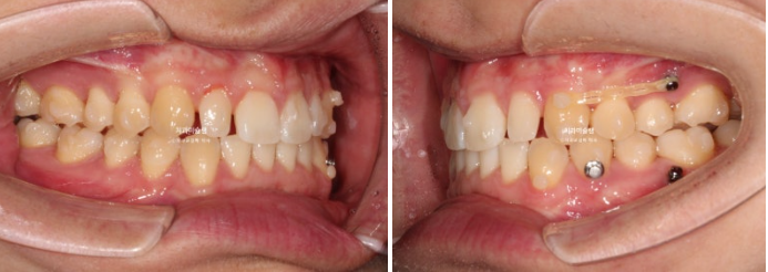
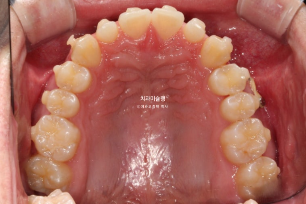
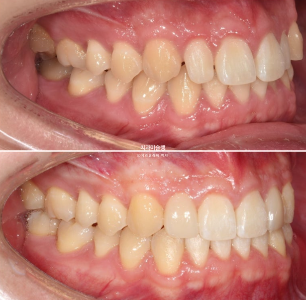
2022년 10월 비대칭으로 내원하신 분입니다.
중심선 불일치, 왜소치로 인한 벌어짐, 송곳니 덧니 등이 보입니다.

22.10
환자분이 비대칭으로 느끼는 가장 큰 이유는
한쪽 얼굴이 더 크다.
위 치아 중심선이 인중과 어긋나 있다
두가지 입니다.

위 치아가 인중에 비하여 한쪽으로 치우쳐져 있는 건 맞습니다만 사실 이 환자분은 골비대칭은격적 없습니다.
교정에서 말하는 비대칭은 골격적인 즉 아래턱뼈의 비대칭을 주로 이야기 합니다.
이렇게 턱끝 위치가 치우침이 없는데도 양쪽 얼굴의 볼륨이 달라 비대칭으로 오해하는 경우가 꽤 많습니다.
한쪽 얼굴이 더 큰 이유는 대부분 한쪽으로만 씹어서 입니다.
반대쪽 교합이 잘 안 씹히거나 불편하면 한쪽으로만 씹게 되고 그러다보면 씹는 근육이 발달하면서 그렇습니다.
치과 미슐랭 영상을 참고하시면 좋습니다.
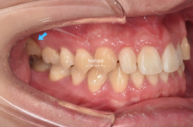
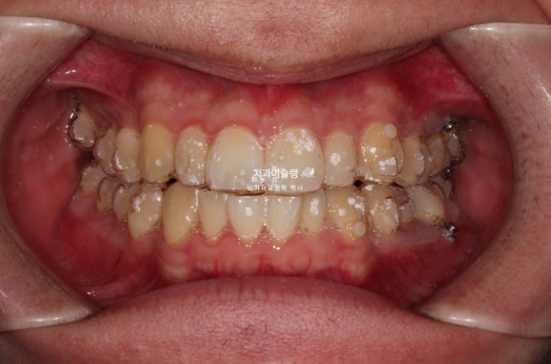
이 환자분이 한쪽으로만 씹었던 이유는 반대쪽에 가위교합이 있었기 때문입니다.

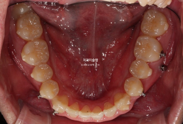
파란 화살표가 가위교합이고 위 큰어금니는 바깥으로 나가있고 대합치는 안쪽으로 쓰러지며 가위처럼 서로 엇갈려 교합되는 상태를 말합니다.

파란 화살표 치아가 바깥으로 뻗치면서 가위교합의 원인이 됩니다.


치료 목표는 치아 중심선을 얼굴중심으로 끌어오기 위해 편측 사랑니 공간을 이용한 후방이동, 이때 교정용 나사인 미니스크류가 필요하겠죠.
그리고 교정 후 왜소치 무삭제라미네이트 젤라미 수복입니다.
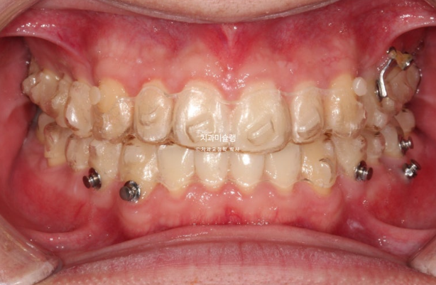
사랑니를 모두 발치하고 인비절라인으로 치료를 시작했습니다.
첫 세트 장치는 70개가 나왔습니다.

23.06

23.12
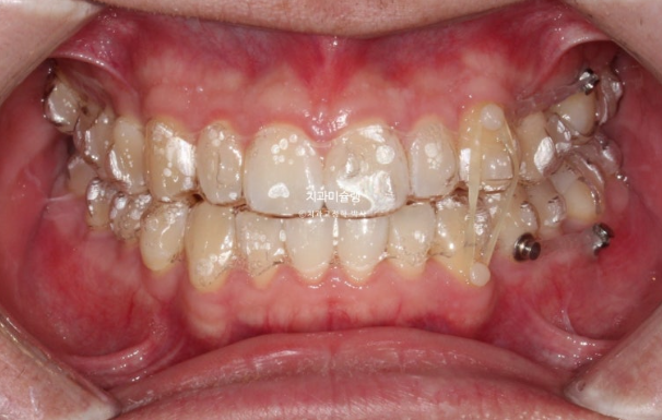
2022년 10월부터 24년 4월까지 1년반동안 첫세트 장치를 모두 낀 후 모습입니다.

24.04

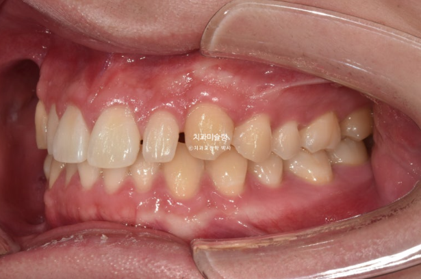
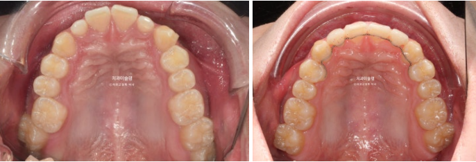
가위교합은 해결이 되었지만 아직 어금니 교합이 긴밀하지 않습니다.


배열은 완벽합니다.
중심선 등을 좀 더 바로잡고자 재제작에 들어갑니다.
재제작 장치는 17개가 나왔고 24년 5월부터 24년 11월까지 꼈습니다.

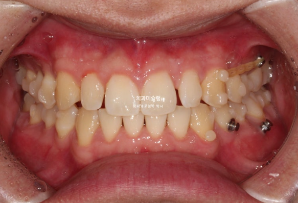
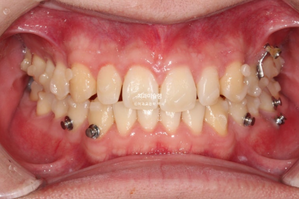
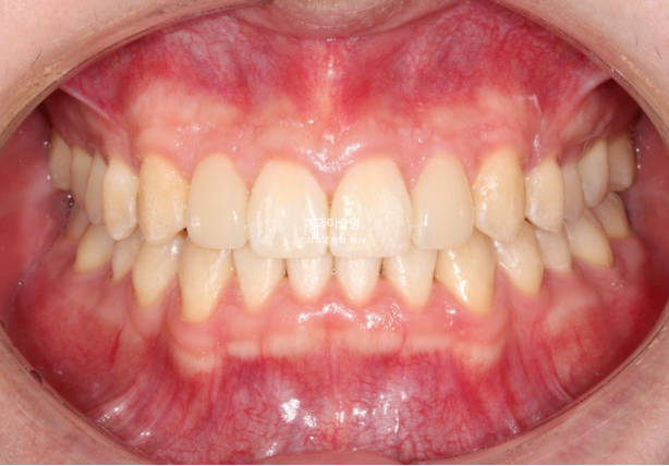
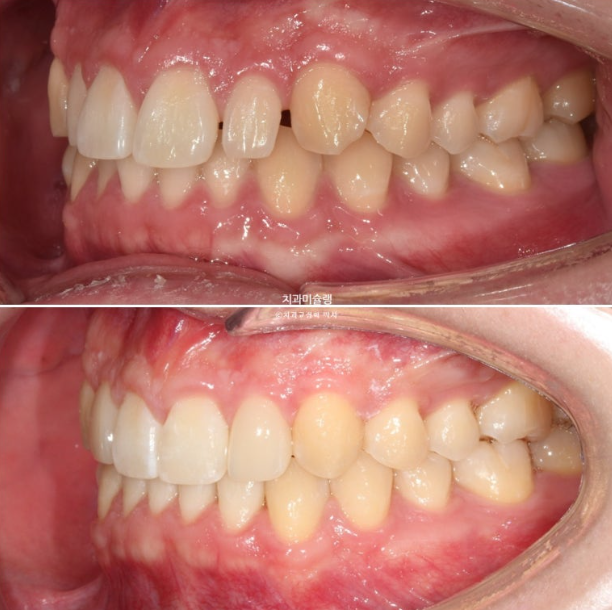
24.11
위 아래 중심선은 정확히 맞고

어금니 교합관계도 1급 입니다.


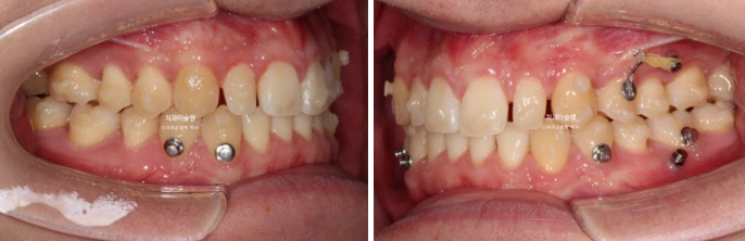
모든게 좋지만 환자분의 요구사항도 있었고 완성도를 위해 재제작을 1회 더했습니다.
11개 추가장치를 모두 낀 후 25년 6월 치료를 마무리 합니다.

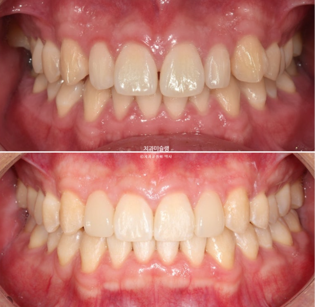
이제 왜소치 무삭제 라미네이트가 들어갈 차례 입니다.

왜소치 라미네이트는 주변치아 색깔에 어울리도록 맞추는 것이 좋습니다.
자연스럽게 잘 치료가 되었습니다.
총 치료기간은 2년 6개월 재제작은 2회 했습니다.


어금니 교합은 좋고 1급 교합관계를 보입니다.
전 후 볼게요

2022.10~2025.06


22.10~25.06

2022.10~2025.06
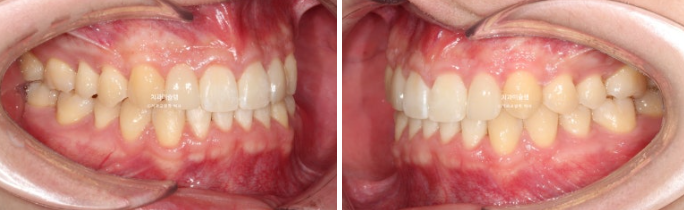
약간의 앞니뻗침 즉 돌출이 개선되었습니다.

2022.10~2025.06
한쪽의 가위교합을 해결함으로써 좌우 교합 밸런스가 좋아졌으니, 좌우 50대 50으로 씹는 연습을 하다보면 근육 비대칭으로 인해 한쪽 얼굴이 커보이는 부분도 차차 개선될 것입니다.

2022.10~2025.06
교정 후 팔자주름이 깊어질까봐 걱정하시는 분들이 많습니다.
교정 후 팔자주름 변화에 대해 박사학위 받고 SCI 저널에 등재된 노하우로 팔자주름 이슈 없도록 세심하게 교정해드리고 있습니다.

2022.10~2025.06
거미스마일과 중심선이 개선이 되었습니다.

2022.10~2025.06
깔끔하고 정돈된 미소가 돋보입니다.
한쪽 얼굴이 더 커보이던 것이 차차 개선되어 가는 중입니다.

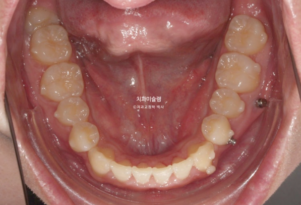
2022.10~2025.04
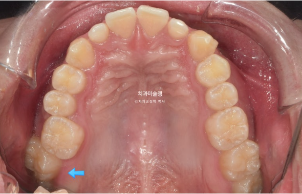
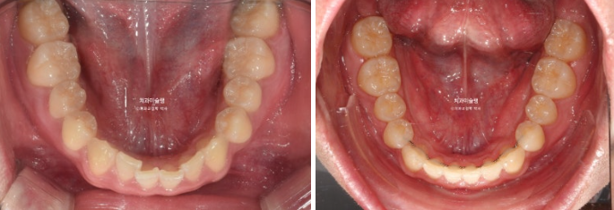
2년 반의 기간동안 치근흡수는 없고 편측 어금니는 계획대로 사랑니 공간으로 잘 이동했습니다.
치근평행도는 좋습니다.
인비절라인 교정 고민 중인 분들에게 도움이 되길 바랍니다.

