안녕하세요
압구정 어린이교정 소개해드리겠습니다.
환자분들이 인비절라인 퍼스트 치료를 많이 검색하고 내원하고 있습니다.
인비절라인 퍼스트는 18개월 이라는 치료기간이 있습니다.
바로 치료의 유효기간 즉 보증기간 입니다.
인비절라인은 미국의 얼라인 테크놀로지 라는 회사의 제품명입니다.
이 회사에서 부여한 아이의 ID의 유효기간입니다.
즉 아이가 치료를 시작하면 아이의 고유 ID가 생성이 되고 이 ID를 인비절라인 측에서 18개월 동안 열어둔다. 라고 이해하시면 됩니다.
이 기간동안 아이의 ID로 로그인이 되고 그 아이디를 가지고 장치를 추가 주문 요청할 수 있다. 라고 이해하면 됩니다.
그리고 인비절라인 퍼스트로 소아교정을 한 친구가 나중에 성인이 되어 2차교정 즉 영구치열기에 성인 교정을 한 번 더 해야한다고 했을 때
이 친구의 ID는 본사 전산에 그대로 남아있어서 전세계 어디로 이민을 가도 인비절라인 2차 교정 기공료를 할인 받을 수 있습니다.



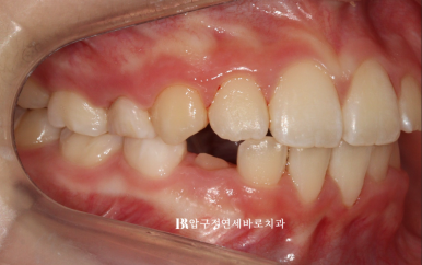
22.11.23
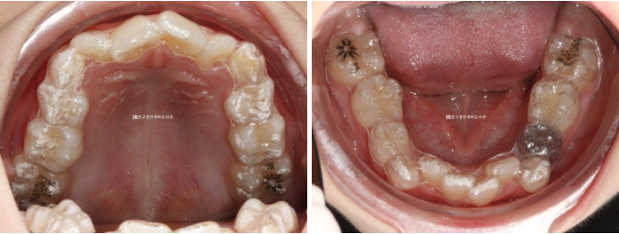
병원에 처음 온 날 모습입니다.
문제점을 나열해보자면
과개교합 (앞니가 깊게 물림)
덧니 (삐뚤빼뚤)
후속 영구치가 나올 공간 부족
그리고 아이의 개인적인 문제점은 당장 한달뒤에 외국에 나가 6개월 후 귀국
이런상황들에 맞춰 치료계획을 만들었습니다.
그럼 꼭 지금 치료를 했어야 하나요?
이 친구는 10살에 내원했습니다.
남자아이고 아마 중학생 올라가기 전에만 치료를 시작하면 되어서 꼭 지금 해야하는 것은 아니였습니다.
부모님이 장단점에 대해 충분히 이해하고 진행하시면 됩니다
특히 과개교합이 하악뼈의 성장이나 턱관절에 악영향을 미칠 수 있다는 점은 소아교정 치료의 근거가 됩니다.

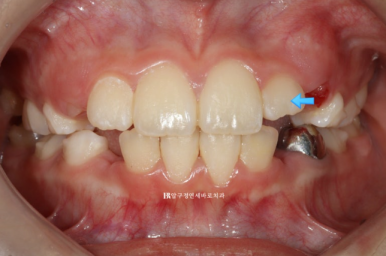
23.1.26
초반에 장치를 끼던 모습입니다.
17번 장치입니다.
아이의 출국스케줄에 맞춰 어태치먼트 없이 초반진료를 진행했습니다.
(그렇지만 출국이 취소되면서 그냥 진료를 계속 진행했습니다.)
아이들은 성인과 달라 초반 움직임에는 어태치먼트가 꼭 필요 없어도 됩니다.




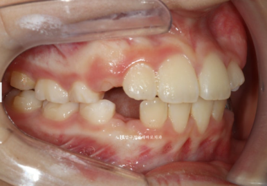
23.11.4
첫번째 세트가 거의 끝나갈때의 모습입니다.
화살표 치아가 장치와 맞지 않게 되어 적절한 시기에 재제작을 했습니다.
장치가 안 맞는다고 무조건 재제작이 아닙니다.
적절한 시기까지 착용하면서 주치의가 판단해서 재제작에 가장 유리한 시기에 재제작을 하는 것이 좋습니다.
전체 치료기간을 줄일 수 있습니다.


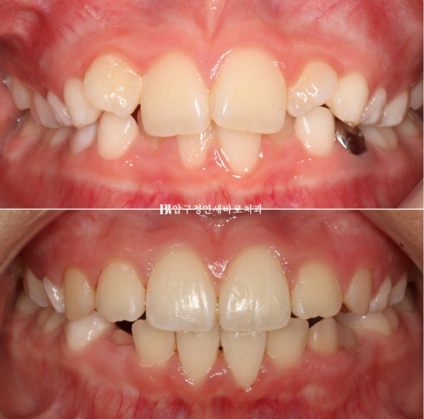
24.3.26
재제작 후 약 3개월 후 모습입니다.
문제가 되었던 치아가 거의 다 배열되었습니다.
이때부터는 치료 없이 유지만 했습니다.





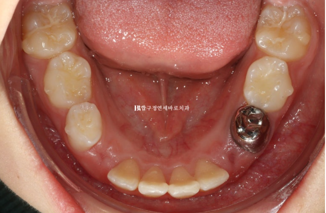
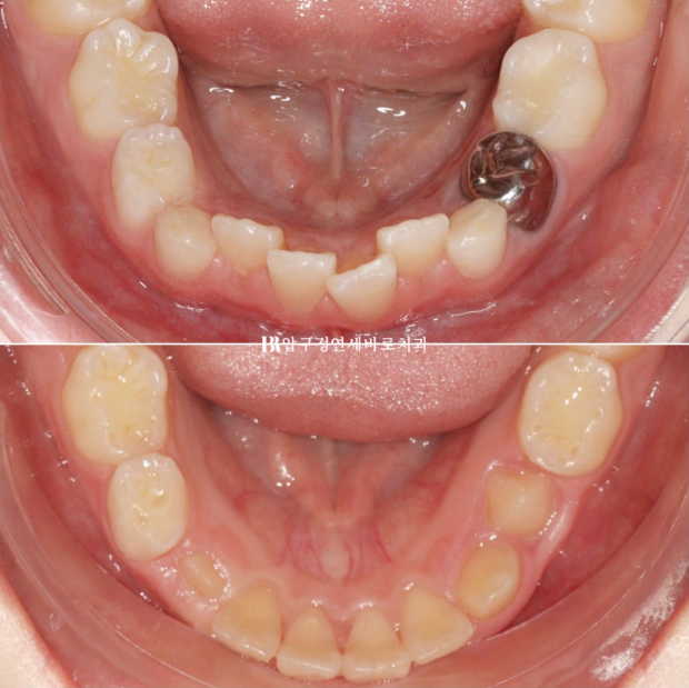
2024.6.4
미리 충분하게 만들어놓은 공간으로 송곳니 등 후속 영구치들이 맹출하고 있습니다.
영구치가 적절한 수준까지 올라오면 고정식 유지장치까지 해줄 계획입니다.
이 친구는 아마 영구치열에 2차 교정이 따로 필요 없을 것 같습니다.

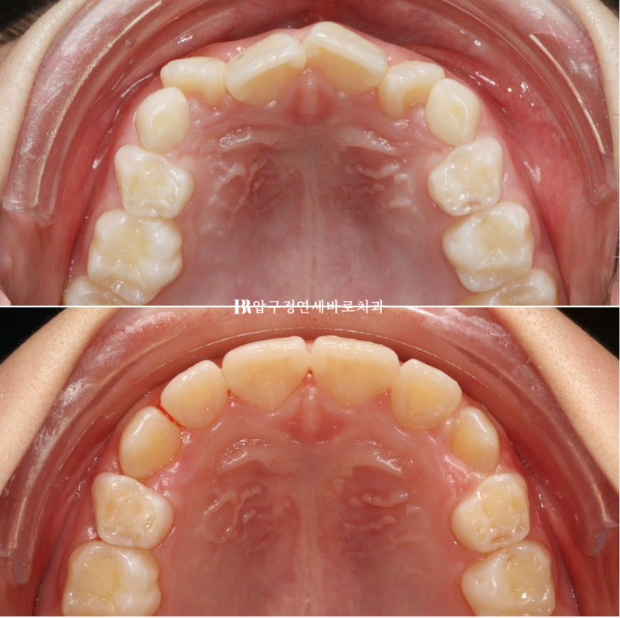
2022.11~2024.06

2022.11~2024.06

2022.11~2024.06
첫장치는 43개였고 두번째는 17개였으니 총 60개의 장치 5일씩 착용했던 아이니까 300일의 총 치료기간입니다.
중간에는 쉬다가 다시 병원에 다니고를 반복했습니다.
그리 길지 않은 기간이지만 치료계획이 적절하고 장치만 잘 껴준다면 인비절라인 퍼스트로 소아교정을 했을 때 결과가 아주 좋습니다.
소아교정의 핵심은 1년 이내의 짧은 기간에 아이가 크게 고생하지 않고도 성인이 되어 교정을 안 해도 될 정도의 효과를 보는 것 이라고 생각합니다. 따라서 아이가 나중에 커서 했을 때 보다 확실히 이득이 되는 경우에만 어린이 교정을 권유합니다.
인비절라인퍼스트 부터 턱성장치료, 프리올소 그리고 어려운 다수 결손치아의 장기간 치료까지, 아이와 부모님의 노력이 충분히 보상받을 수 있도록, 최선을 다합니다.

