안녕하세요
압구정 인비절라인 치과입니다.
오늘도 덧니교정 이야기 인비절라인 라이트 덧니교정 이야기 들려드리겠습니다.

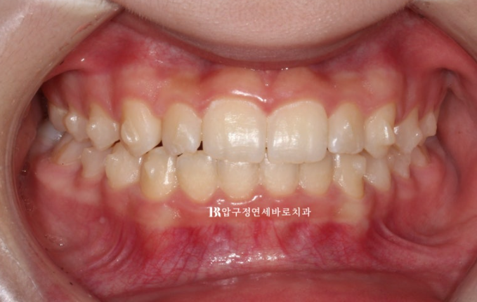
23.03
23년 덧니 교정을 위해 내원한 초등학생입니다.
앞니가 깊게 물리는 과개교합이 보이고 파란 화살표 부분 앞니가 많이 돌아가 있습니다.
인비절라인 라이트는 장치 갯수가 단 14개만 배송이 되어 와서 돌아간 앞니를 회전시킬 수 있는 양은 한정되어 있습니다.
14개의 한정된 장치 안에서 그리고 1년이라는 한정된 기간 안에 모든 부정교합을 해결해야 하기 때문에 특히 경험과 노하우가 중요합니다.
이정도의 덧니에서 자신있게 인비절라인 라이트로 잘 됩니다. 라고 권유드릴 수 있는 이유는 비슷한 혹은 더 심한 덧니도 인비절라인 라이트로 치료한 경험이 많기 때문입니다.
성인이라면 인비절라인 라이트가 아닌 인비절라인 컴프레헨시브가 필요했을 수 있겠지만 나이를 고려하면 치아이동이 성인에 비해 빠를 것으로 예상이 되어 인비절라인 라이트를 권유드렸습니다.

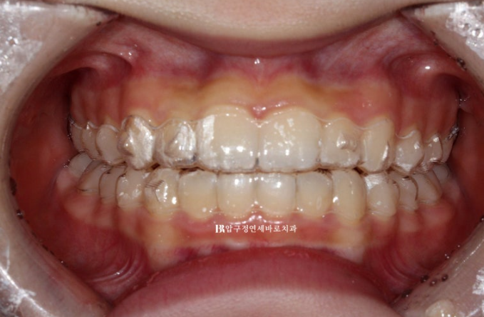
23.11
23년 4월부터 23년 11월까지 8개월간 14개의 장치를 다 낀 후 사진입니다.
덧니는 많이 개선이 되었으나 중심선이 안 맞습니다.


여기서 다시 처음 세웠던 치료계획 시뮬레이션을 보면 분명 중심선이 맞게 끝난다고 되어있습니다.
클린체크와 다르게 실제로는 중심선이 안 맞는 원인은 인비절라인 장치 탓일까요?
치료가 잘못되었기 때문일까요?
가끔 클린체크 동영상처럼 치아이동이 완벽하게 일어나지 않으면 장치탓이다 병원탓이다 오해하는 분들도 계십니다.
클린체크 시뮬레이션처럼 치아이동이 오차없이 100% 똑같이 일어난다면 환자분들이 집에서 인터넷으로 장치를 주문하고 택배로 받아서 장치를 바꿔끼며 셀프로 교정치료를 하시면 됩니다.
중간에 병원에 내원 안해도 되겠죠
그런데 입안 치주조직과 치아는 컴퓨터가 아닙니다.
살아있는 조직이여서 사람마다 교정력에 대한 반응이 다르고 치료방식이 조금씩 달라야 합니다.
중간중간 원장님 개입도 필수적이고 그래야 치료가 잘 마무리 됩니다.
원장님이 인비절라인 치료를 많이 해봐야 사람마다 다름을 부정교합 상태마다 인비절라인 장치가 다르게 적용됨을 알고 적절한 처치를 할 수 있습니다.

23.11
14단계를 모두 끼고 난 후 사진을 보면 파란화살표 부분 덧니가 아직 100% 원래자리로 돌아가지 못했습니다.
이 부분은 처음부터 의도한 부분입니다.


클린체크를 보면 애초에 치료계획상 덧니를 80%만 돌린 것을 확인할 수 있습니다.
인비절라인 라이트는 14단계 안에 허용되는 범위 내에서만 부정교합이 개선이 가능합니다.
나머지 20%의 회전은 전략적으로 추가장치에서 잡으면 됩니다.
이렇게 하면 굳이 처음에 비용이 비싼 인비절라인 컴프레헨시브로 하지 않더라도 100% 개선이 가능합니다.
앞니 회전과 디테일한 부분을 추가로 개선하기 위해 구강스캔을 하고 추가장치 제작에 들어갑니다.

23.11
추가장치 제작 기간동안 약 한달의 쉬는 시간을 가진 후 추가장치를 끼기 시작합니다.

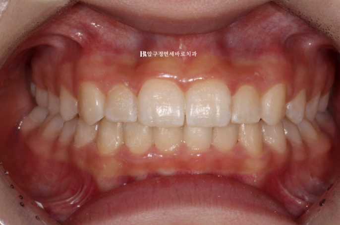
24.02
그리고 지난달 치료를 마무리 했습니다.
깊게 물리던 과개교합과 덧니가 깔끔하게 치료가 되었습니다.

24.02
덧니가 다시 재발되지 않도록 고정식 철사 유지장치도 붙이고
지금은 정기검진 중에 있습니다.

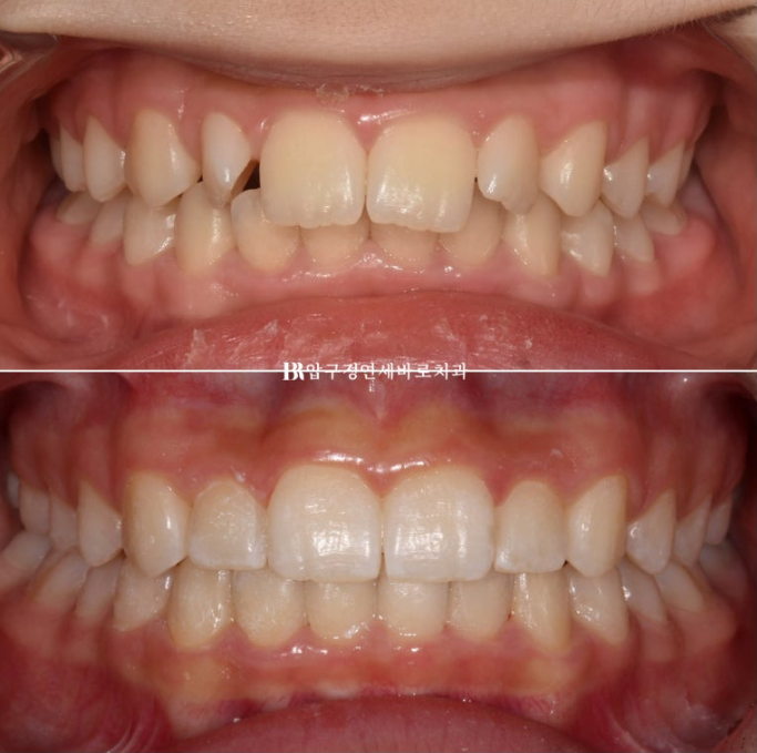
23.03~24.02

23.03~24.02
5년만 늦게 왔으면 아마 자신있게 인비절라인 라이트를 권유하지 못했을 수도 있습니다.
인비절라인 라이트로 해결하기에는 덧니가 심한편이고 성인은 치아이동이 초등학생들처럼 빠르지 않으니까요.
시기 적절하게 초등학생 시기에 와주어 간단하게 9개월만에 치료가 마무리 되었습니다

