안녕하세요
압구정 교정치과 입니다.
오늘은 30대 환자분의 개방교합 재교정 케이스 소개하겠습니다.
치료방법은 인비절라인 입니다.

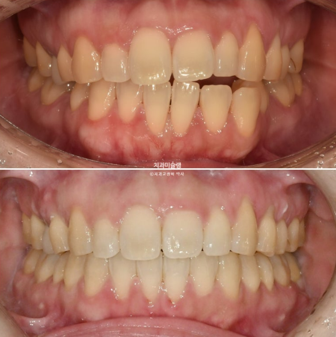
24.06~25.11
20년 전 교정을 했는데 재발이 되어 재교정을 위해 온 30대 환자분입니다.

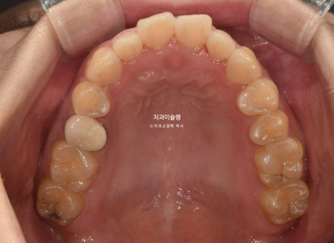
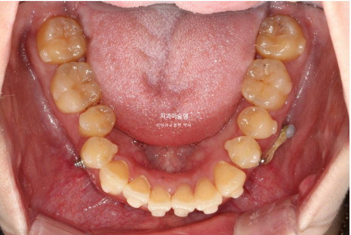
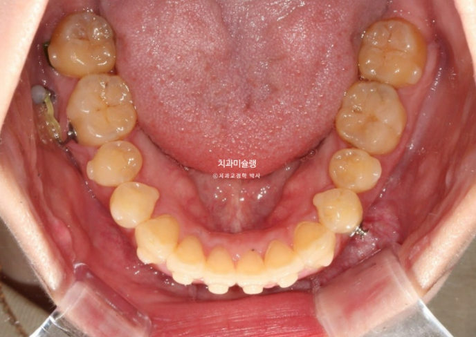
24.06
아래 앞니 두 개 잇몸이 유독 내려가 있습니다.
정중선 기준 한쪽만 개방교합이 있는데 한쪽방향으로 혀내밀기 습관때문에 생긴 개방교합일 수 있고 유지장치 변형에 의해 치열이 일그러진 것 일수도 있습니다.

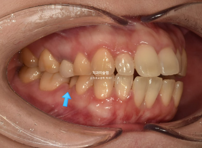
소구치에 윗니와 아랫니가 엇갈려 물리는 가위교합도 보입니다.

큰어금니 교합도 좋은 편 입니다.


파란화살표는 가위교합 원인 치아입니다.

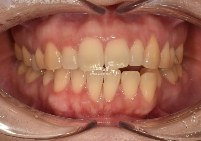
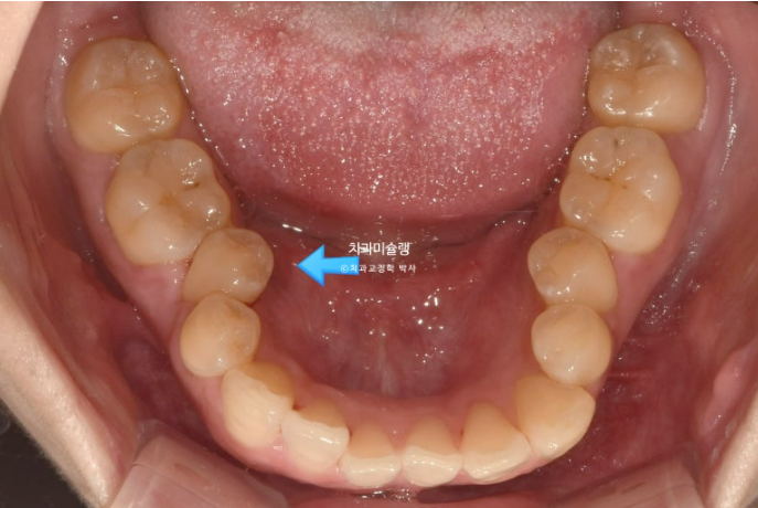
24.06
안모에서는 입술에 힘을 빼면 살짝 벌어지는 입술부전증이 보입니다.

24.06
원인은 위 앞니 돌출 때문입니다.
치료계획은 비발치로 사랑니 공간으로 어금니들을 뒤로 밀어 돌출을 해소하고 개방교합, 가위교합 등을 개선하기로 합니다.
잇몸이 유독 내려간 아래 앞니 뿌리는 치조골 내로 이동을 도모하여 더이상의 잇몸퇴축을 예방하기로 합니다.
인비절라인 치료 선택하셨습니다.

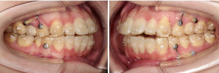
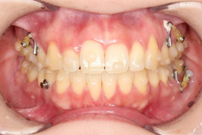
25.02
어금니를 뒤로 밀기위한 교정용 나사도 심고 진행합니다.
현재는 주로 뺐다 꼈다 하는 고무줄 처방을 하지만 환자분의 장치착용 협조도가 좋은 경우 치아에 직접 거는 고무로도 후방이동이 가능합니다.

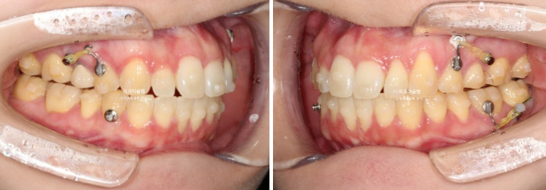
25.02
어금니들이 사랑니 공간으로 순서대로 이동하며 공간이 생기는 중입니다.

안으로 쓰러졌던 작은어금니는 공간이 충분히 만들어 진 후 세우는 중입니다.
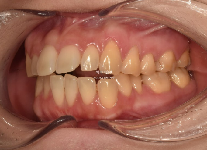
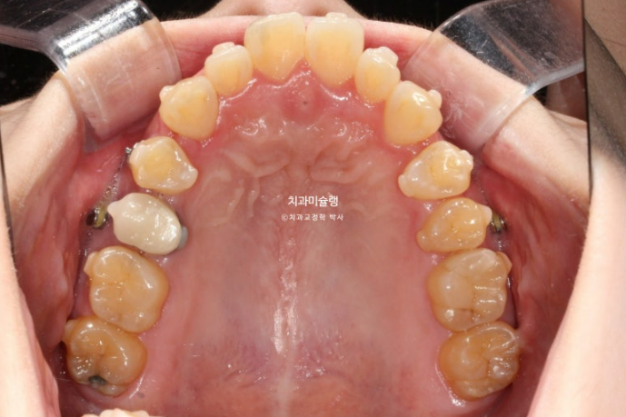
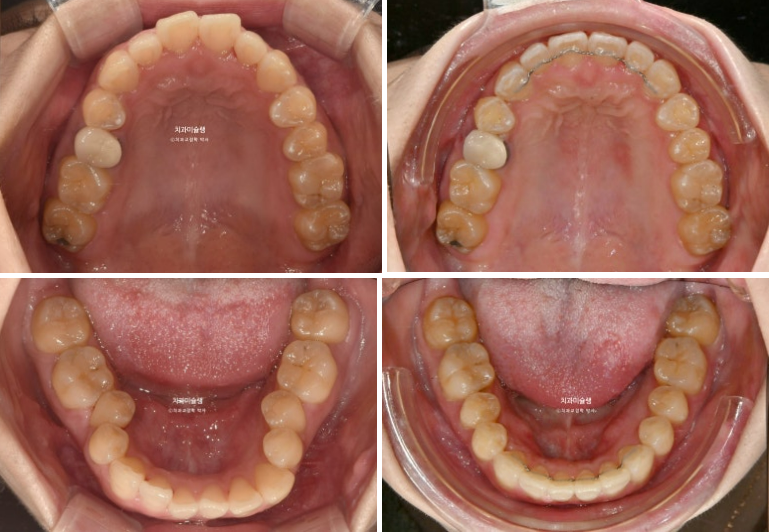
25년 6월, 1년간 첫세트의 50개 장치를 모두 낀 후 모습입니다.

25.06
중심선이 아직 어긋나 있지만 개방교합은 해소가 되었습니다.

교합관계는 1급이지만 어금니 교합이 약간 떠있습니다.


배열은 좋습니다.
미진한 부분을 바로잡고자 추가장치 재제작에 들어갑니다.
25년 5월부터 11월까지 20개 장치를 모두 낀 후 치료를 마무리 했습니다.

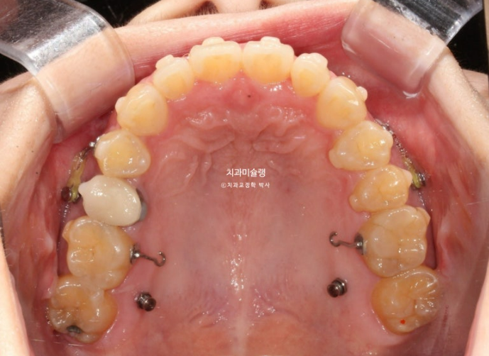
25.11
추가장치 이후 이제 중심선은 잘 맞습니다.

어금니 교합은 물샐틈 없는 1급 교합관계를 보입니다.
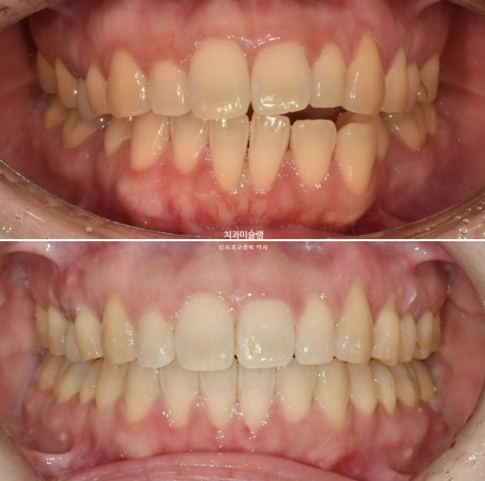
이제 전후비교 보겠습니다.
총 치료기간은 1년 5개월, 재제작은 1회 했습니다.

유지장치까지 들어간 모습입니다.

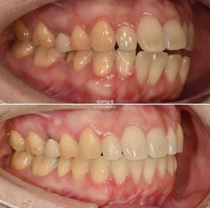
24.06~25.11
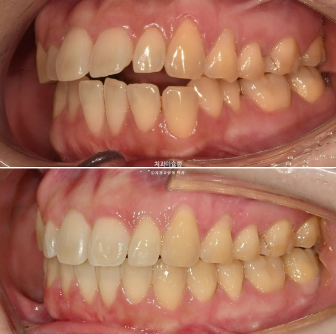
아래 앞니 잇몸은 처음에 비해 소량 차올랐습니다. 앞니 뿌리가 치조골 안으로 안정적으로 들어가도록 치료계획을 세웠기 때문이고 이처럼 30대 성인이라도 가끔 회복되는 경우가 있습니다.

24.06~25.11

24.06~25.11
이제 안모비교해보겠습니다.

24.06~25.11
윗니 아랫니 수평 간격이 줄어들며 입술부전증이 해소가 되었습니다.

24.06~25.11

24.06~25.11
윗니 돌출 해소로 깔끔해진 스마일

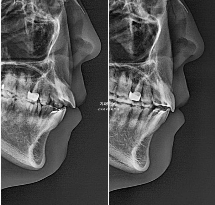
25.11
1년 5개월에 걸친 재교정 기간동안 치근흡수도 없습니다.
치근평행도는 좋네요.

24.06~25.11
윗니 뻗침이 줄어들어 아랫니 간격이 줄어들며 입술이 자연스럽게 다물리게 되었습니다
재교정은 좀 더 섬세해야하고 신중해야 합니다.
재교정 고민 중인 분들에게 도움이 되었기를 바랍니다.

