안녕하세요
압구정 인비절라인 치과입니다.
인비절라인 돌출입 교정 이야기 해보겠습니다.
비발치 교정 입니다.

23.08~25.11

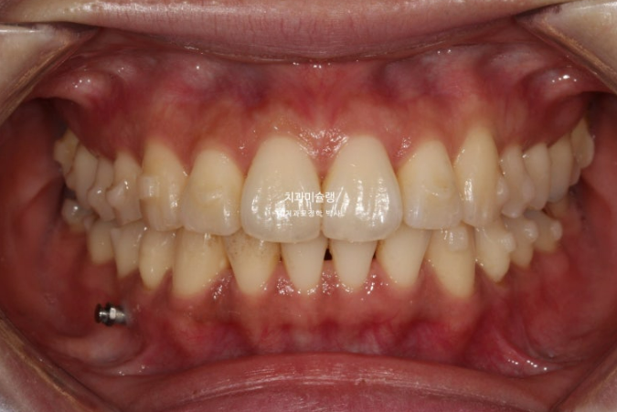
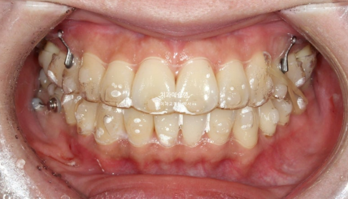
23.08
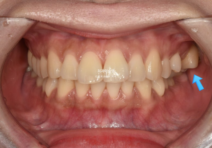
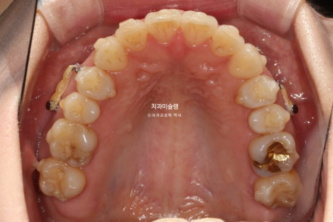
2년 전 교정치료를 위해 온 30대 환자분입니다. 파란 화살표 볼쪽으로 튀어나간 어금니들이 보입니다.
중심선 불일치도 보입니다.
환자분이 고치고 싶은 것은 두가지
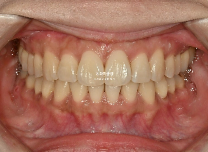
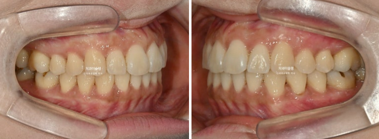
앞니 돌출
가위교합으로 인한 저작 불편

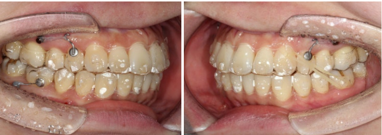
앞니뻗침으로 인한 돌출이 있고

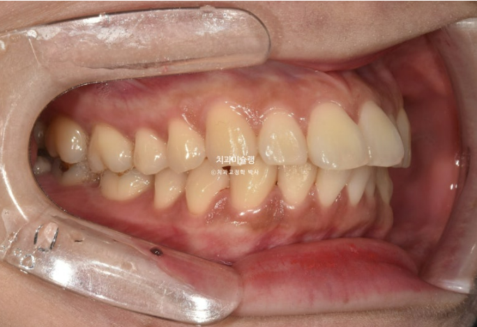
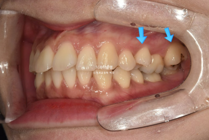
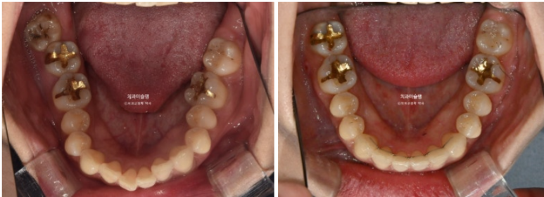
좌측에는 가위교합이 소구치에 하나 대구치에 하나 총 2군데 있습니다.
교합을 담당하는 어금니 중 절반이 가위교합 상태이니, 좌측으로 씹기가 힘든 상태입니다.
우측으로만 씹다보면 치아나 잇몸에 무리도 가고 주로 씹는 쪽 얼굴 근육이 발달하여 비대칭 처럼 보이게 됩니다.


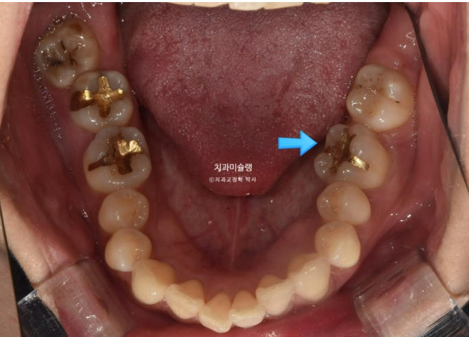
아래 큰어금니는 안으로 쓰러져 있습니다.

23.08
입매는 앞니 돌출때문에 약간의 입술부전증이 있지만 입을 다물기 힘들정도의 심한 돌출은 아니며 환자분도 비발치 계획을 더 선호했습니다.
치료계획은 사랑니 모두 발치하고 어금니들을 사랑니 공간으로 밀어내어 돌출을 해소하는 비발치 돌출입 교정입니다.
인비절라인 선택하셨고 치료들어갔습니다.
24년 8월까지 일년간 첫세트 48개 장치를 모두 낀 후 모습입니다.

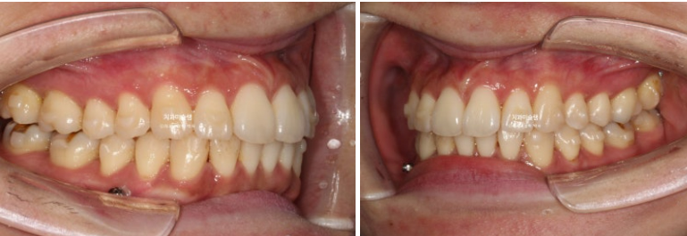
24.08
중심선 불일치가 아직 조금 남았고, 가위교합은 모두 해소가 되었습니다.

앞니 뻗침도 개선이 되었고, 어금니 교합도 좋습니다.


혀쪽으로 쓰러져 있던 아래 큰어금니도 잘 섰습니다.
모든게 좋지만 앞니 돌출감을 추가적으로 더 개선하고자, 사랑니 공간 이용 전체치열 후방이동을 한세트 더 하기로 합니다.

24.11
두번째 세트 장치는 총 33개가 나왔으며 24년 9월부터 25년 4월까지 꼈습니다.

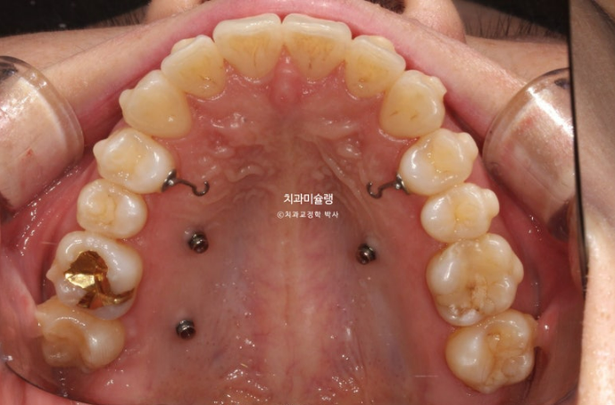
교정용 나사도 추가로 심고 뺏다꼈다 하는 고무줄 처방도 들어갔습니다.
25년 4월, 두번째 세트 장치를 모두 낀 후 모습입니다.

25.04
약간의 중심선 불일치가 아쉬워서 마지막 재제작에 들어갑니다.



25년 5월에서 11월까지 23개 추가장치를 모두 낀 후 치료를 종료했습니다.

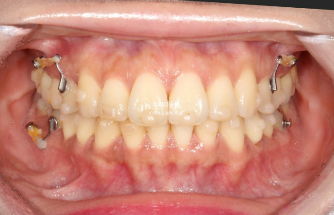
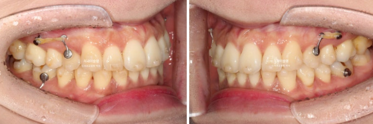
25.11
두번의 재제작을 통해 정확히 맞아진 중심선

어금니 교합은 물샐틈 없는 1급 교합관계를 보입니다.
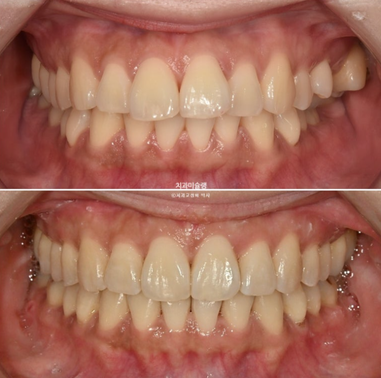
이제 전후 비교 보겠습니다.

23.08~25.11
총 치료기간은 2년 3개월이고 재제작 2회입니다.

현재는 비베라를 매일 잘 때만 끼면서 결과 유지중입니다.

23.08~25.11
교합의 균형이 맞아지면 비로소 좌우 50대 50으로 씹을 수 있게 됩니다.
교정치료가 심미치료라고 오해하는 분들 많으신대요 사실은 기능적으로 이득이 큰 치료입니다.

23.08~25.11
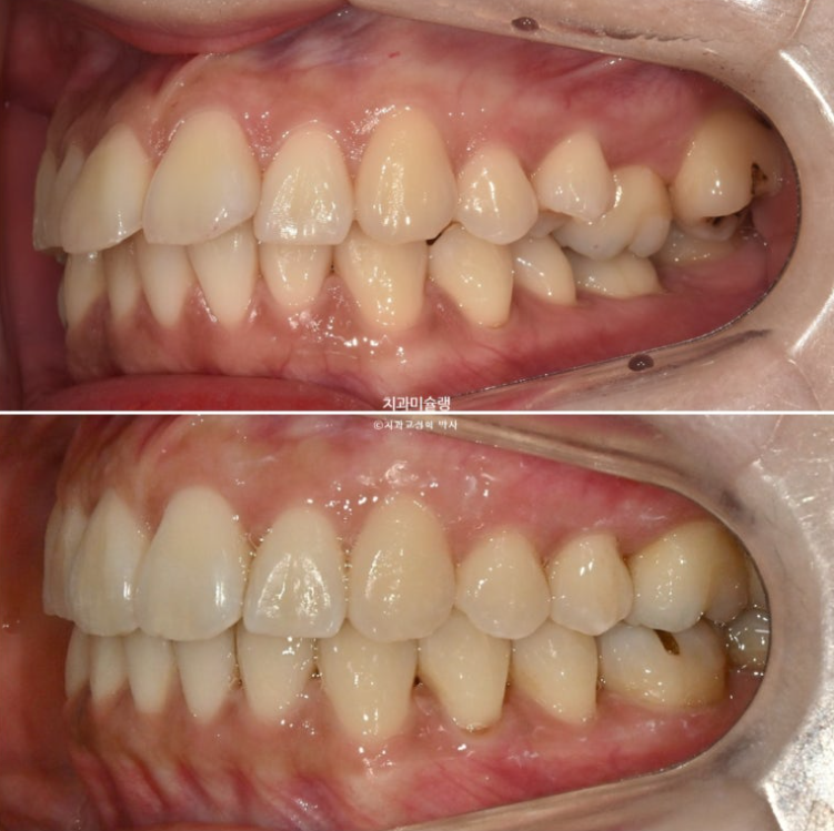
이제 안모 비교 보겠습니다.

23.08~25.11

23.08~25.11
뻗친 앞니 개선으로 깔끔한 미소가 되었습니다.

23.08~25.11
돌출입은 비발치 치료로 과하지 않게 적당히 개선이 되었습니다.

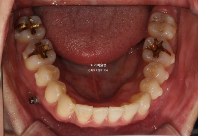
25.11
치근흡수는 없고 치근평행도는 좋습니다.
비발치돌출입 교정 고민 중이신 분들에게 도움이 되셨기를 바라며 긴 글 마치겠습니다.

