안녕하세요
압구정 연세바로치과입니다.
요즘 웃을 때 잇몸이 많이 보이는 잇몸미소 즉 거미스마일 때문에 교정 하러 오시는 환자분들이 많아 거미스마일 교정 이야기를 해보겠습니다.

23.08~25.11
옥니, 덧니, 거미스마일, 중심선 이슈, 약간의 돌출이 함께 있는 상황에서 클리피씨로 거미스마일을 어떻게 해결하는 지 봅시다.
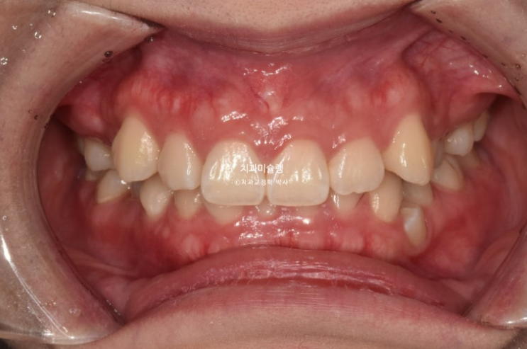
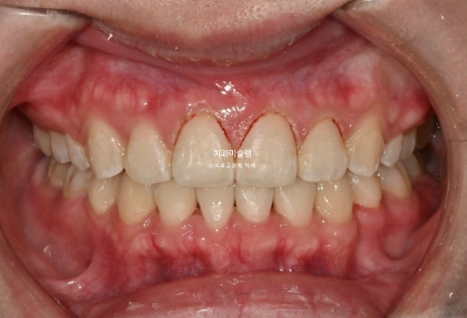
2년 전 교정치료를 위해 온 20대 환자분 입니다.

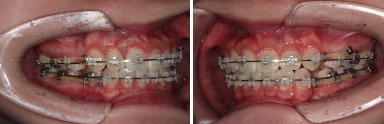
23.08
중심선이 약 2mm 어긋나 있으며 송곳니 덧니가 보입니다.
위 아래 앞니가 깊게 물리는 과개교합도 보입니다.

웃을때 잇몸이 많이 보이는 거미스마일이 있습니다. 특히 위 앞니가 뒤로 쓰러진 옥니 입니다.

작은어금니 하나가 매복되었다시피 깊게 누워있습니다.



치료계획은 누워있는 덧니를 포함해서 작은어금니 4개 발치
단 입이 너무 들어가는 것은 원치 않아 모르페우스 시뮬레이션을 통해 앞니 들어가는 양을 2mm정도로 제한하기로 합니다.
또한 웃을때 잇몸노출량을 줄이고 과개교합 해소를 위해 앞니를 합입하기로 합니다.
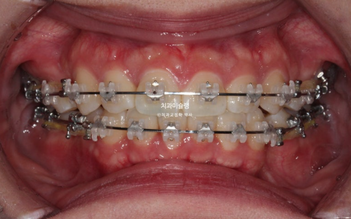
클리피씨 교정 선택하셨고 치료에 들어갔습니다.

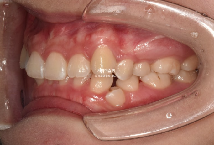
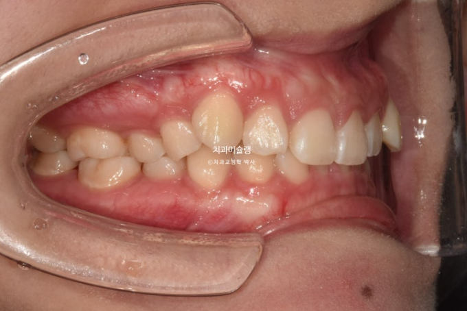
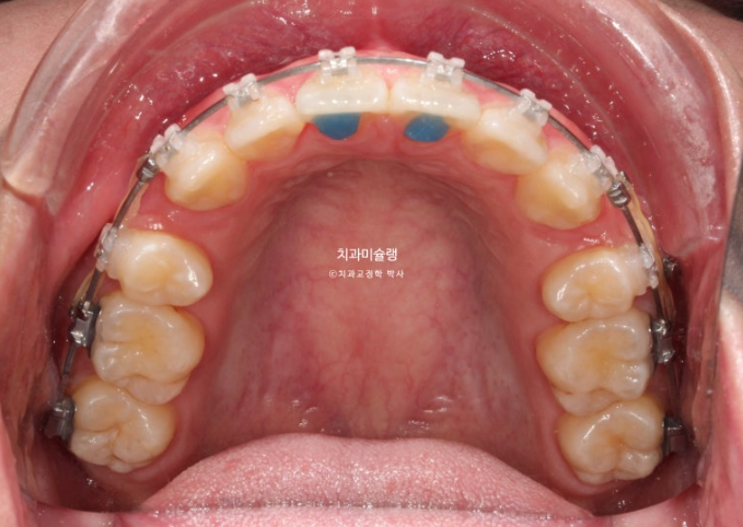
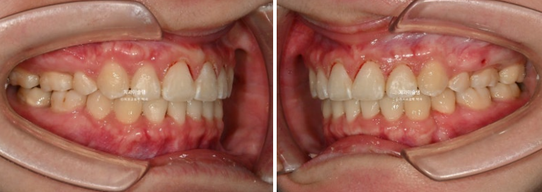
24.08
치료 후 1년째 사진입니다.

발치공간을 없애는 중입니다.

과개교합 개선을 위해 바이트블럭도 설치하고

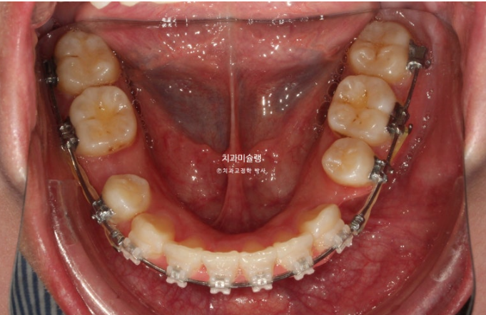
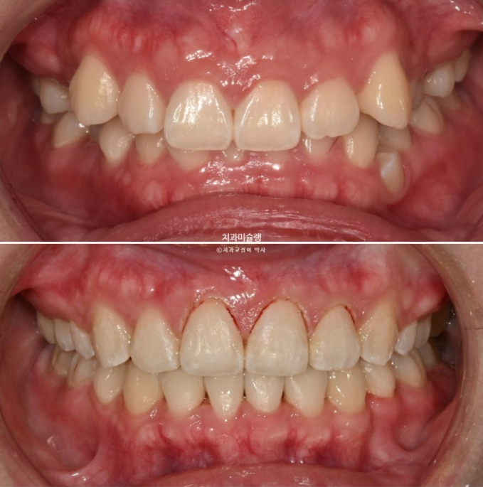
25년 11월 드디어 치료를 마무리 했습니다.
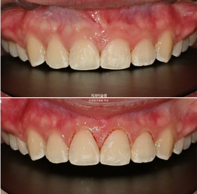
앞니를 합입시키는 과정에서 잇몸이 치아와 함께 잘 따라 올라가기도 하고, 치아 높이가 처음에 비해 짧아지기도 합니다.
후자의 경우는 교정 후 잇몸성형이 필요합니다.

25.11
잇몸성형 직후 모습입니다.
앞니 3개에만 시행했습니다.

25.11
중심선은 잘 맞고 과개교합도 해소가 되었습니다.

어금니 교합은 물샐틈 없는 1급 교합관계 입니다.
이제 전 후 비교볼게요.
총 치료기간은 2년 3개월 입니다.

23.08~25.11


23.08~25.11
깊게 물리는 과개교합이 개선이 되면서 아래 앞니가 비로소 잘 보입니다.

23.08~25.11
앞니 함입과 잇몸성형의 합작으로 드라마틱하게 개선이 된 잇몸미소 거미스마일 교정

23.08~25.11
옥니였던 위 앞니 각도가 개선이 되면서 미소가 한층 밝아졌습니다.

23.08~25.11

23.08~25.11
입은 계획대로 과하지 않게 적당히 들어갔습니다.

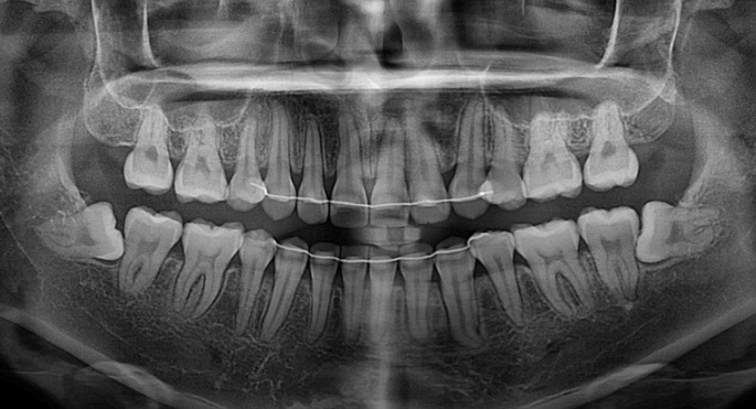
치근흡수도 없고 치근평행도는 양호합니다.

23.08~25.11
치료 전 후 엑스레이 중첩을 보면 위 앞니가 약 2mm 뒤로 들어갔고 옥니 각도의 개선이 보입니다.
또한 거미스마일 개선을 위해 위 앞니가 상방으로 약 2mm 함입되었음이 확인이 됩니다.
거미스마일 교정에서 앞니 합입량의 기준은 얼마일까에 대해서는 아래 포스팅 참고해주세요
간단히 정리를 해보자면 너무 많이 올리면 앞니 뿌리에 치근흡수 위험도 높아지고 평소 말할때 윗니가 너무 안 보이고 아랫니만 보이게 될 수도 있으니 적정수준을 목표로 합입해야 한다는 내용입니다.
거미스마일 잇몸미소 고민이시라면?
덧니 교정 고민 중이시라면 포스팅이 도움이 되었기를 바라며 긴 글 마치겠습니다.

