안녕하세요.
압구정 연세바로치과입니다.
압구정 연세바로치과에서는 무삭제 라미네이트만 진행합니다.
중년 분들 중에 무삭제 라미네이트를 찾으러 오시는 분들이 많습니다.
라미네이트를 하는 이유는 다양합니다.
치아 모양이 마음에 들지 않아서
치아 색상이 마음에 들지 않아서
갈린 부분을 회복하고 싶어서
블랙트라이앵글이 보여서
등등
오늘은 이 사례 중 블랙트라이앵글과 치아 색상 때문에 무삭제 라미네이트를 소구치까지 치료한 분을 소개하겠습니다.
특히 무삭제 라미네이트를 윗니뿐 아니라 아래까지 하는 경우라면 어떤 과정이 필요한 지 설명해드릴게요.

23.07
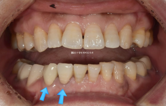
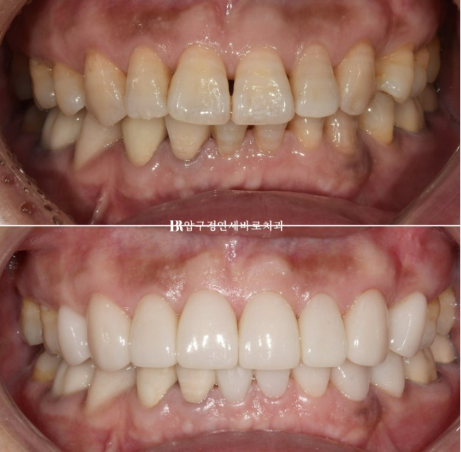
색상과 블랙트라이앵글 때문에 무삭제 라미네이트를 하고 싶어하신 50대 환자분입니다.
앞니에 파란 화살표 부분처럼 여기저기 크라운이 섞여 있어서 사이즈와 색깔이 맞지 않아 전반적으로 통일감이 있어 보이는 치료를 원하셨습니다.

23.07
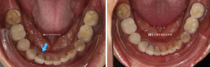
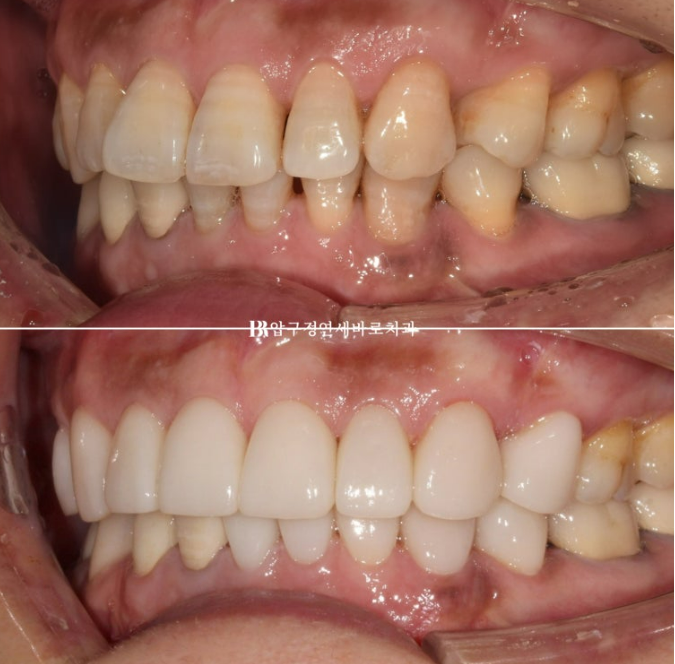
위에는 앞니 하나 그리고 작은어금니 하나가 튀어나와 있어서 삭제를 하지 않으려면 앞니 부분교정을 해야 하는 상황이었습니다.
위에는 작은 어금니까지 8개 아래는 기존 크라운을 놔두고 나머지 치아들 5개를 무삭제 라미네이트로 치료하기로 했습니다.
이 분은 외국에 거주하시는 분이셨는데 교정치료를 받으랴 라미네이트를 하랴,, 당일 일정으로 입국을 해서 진료 받고 출국하시곤 했습니다.
초진부터 세보면 교정 때문에 6번, 피팅 포함 라미네이트 때문에 3번 내원했습니다.
비행기 티켓값이 아깝지 않도록 좋은 결과로 보답해드렸습니다.
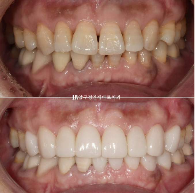
결과를 먼저 보여드리겠습니다.

보통 무삭제 라미네이트는 아랫니에는 잘 안하고 윗니에만 합니다.
그 이유로는

정상교합이라면 그림처럼 윗니 뒷면과 아랫니는 맞닿아 있습니다.
아래 앞니에 무삭제 라미네이트를 붙이고 나면 아랫니 끝단이 라미네이트에 덮이게 됩니다.
이 부분은 원래 치아보다 라미네이트 두께만큼 미세하게 두꺼워지고 따라서 씹을때마다 먼저 닿는 부분이 생깁니다.
교합시 충격으로 라미네이트가 깨지거나 윗니가 갈리는 문제가 생깁니다.
아랫니와 윗니가 맞닿는 면을 갈아서 없애면 간단하게 해결이 되는 문제이지만 이렇게 되면 무삭제가 아니라 삭제 라미네이트가 되어버립니다.

따라서 아랫니에도 무삭제 라미네이트를 하려면 그림과 같이 먼저 교정으로 윗니와 아랫니를 라미네이트 두께만큼 떨어뜨려 놓는 사전 준비과정이 필요합니다.
이런 준비과정이 오래 걸리지는 않습니다.
앞니에만 mta나 2d 같은 부분교정용 장치를 붙인 후에 3-4개월이면 배열이 잡히고
비로소 100% 삭제 없이 무삭제 라미네이트가 가능해집니다.
위에는 mta, 아래는 안보이는 2d 장치를 붙인 후 4개월 간 앞니 교정을 먼저 진행했습니다.

23.07~23.11 교정완료
4개월간 앞니 부분교정을 진행했고 배열이 잡히면서 튀어나와있던 치아들이 제자리를 찾았습니다.

23.07~23.11 교정완료
송곳니만큼 컸던 크라운 앞니는 밸런스를 위해 치간삭제로 모양을 다듬어 앞니 사이즈로 맞추고 본격적으로 라미네이트 준비에 들어갑니다.

23.11피팅
피팅 과정입니다.
사람마다 선호하는 디자인과 색상은 다 다릅니다.
20대 분들은 조금 부자연스럽더라도 티나게 예쁜 라미네이트 디자인, 색상을 원하는 경우가 많고 40대 이상부터는 자연스러움에 더 큰 가치를 둡니다.

피팅 모양 수정 후
왼쪽 처럼 절간 치간 공극이 너무 막혀 있으면 가지런한 느낌은 들어도
약간 답답하고 인공적인 느낌이 들기도 합니다.
자연스러움을 추구하셨기에 치아 모양을 동글동글 하게 다듬고 일부로 틈을 내어 디자인 수정을 거친 후

23.07~23.12

라미네이트 접착까지 완료가 된 모습입니다.
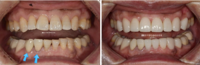
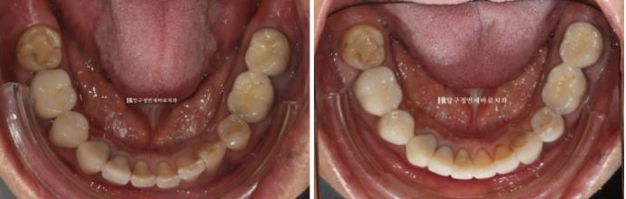
송곳니 뒤 작은 어금니까지 치료가 되었고 치료갯수가 위 8개 아래 5개 입니다.
아래 앞니의 기존 크라운은 사이즈와 모양만 다듬고 유지하였습니다.

23.07~23.12
아래 앞니 사이즈 밸런스가 전반적으로 좋아진 것이 보입니다.
블랙트라이앵글도 대부분 감춰졌습니다.
치실관리 뿐 아니라 턱이 진 부분 없이 건강하게 유지관리가 가능하도록 디자인 되었습니다.
저희 치과는 구강건강을 해치면서까지 예뻐질 필요는 없다 라는 진료철학을 가지고 있습니다.
무삭제 라미네이트를 하면서도 항상 잇몸건강이 1번이죠.

23.07~23.12

23.07~23.12
무삭제 라미네이트 두께가 얼마나 얇냐면
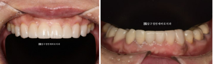
치아를 전혀 깎지 않았는데도 원래 치아와 두께차이가 거의 없게 제작이 되었습니다.

23.07~23.12
얼굴에 조명을 켠 듯 환한 느낌입니다.
라미네이트 하러 왔는데 갑자기 교정을 먼저 하라고 하시면
대부분 망설이십니다.
비록 환자분의 치아 건강을 위해서였지만요.
그래도 잘 따라주셔서 건강하고 좋은 결과가 나왔습니다.
앞니 부분교정은 3-4개월만으로 끝나고 100% 무삭제 라미네이트로 가능합니다.
그럼 여기까지
50대 무삭제 라미네이트 후기 마치겠습니다.

