안녕하세요
압구정 치과입니다.
측절치에 왜소치가 있으면 라미네이트로 정상 사이즈 회복을 도모합니다.
물론 왜소치의 정도에 따라 다르고 왜소치이긴 하지만 아래와 교합상 문제가 없거나 작은 정도가 경미하면 라미네이트 없이 교정만으로 해결하기도 합니다.
케이스 바이 케이스입니다.

25.12
라미네이트라고 하면 치아를 깎는다는 이미지가 강하지만
왜소치 사이즈를 회복하는 라미네이트는 이미 치아가 작아서 별도의 삭제가 필요 없습니다.
무삭제 라미네이트로 가능합니다.
오늘은 앞니에 선천적 흰색 얼룩, 즉 반점치가 있는 경우
왜소치의 무삭제 라미네이트에도 바점치를 약하게 구현하여 자연감을 최대로 살린 케이스 보겠습니다.

25.12
왜소치의 무삭제 라미네이트 젤라미를 위해 온 환자분입니다.
젤라미는 무엇일까요?
젤라미는 연세바로치과 무삭제 라미네이트 브랜드 입니다.
미니X , X로네이트 등등 모두 각 병원에서 만든 라미네이트 브랜드 명 입니다.
본질은 같습니다.
라미네이트 입니다.
젤라미의 아이덴티티는 100% 무삭제 라미네이트 입니다.
교정 전문 병원답게 교정을 동반하여 삭제를 전혀 하지 않게끔 치아위치를 미세 조정해놓고 진행하는 진정한 무삭제 라미네이트 입니다.
사실 간혹 타치과에서 예전에 무삭제 라미네이트 하고 왔다는 환자분들 상태를 보면 약간씩 삭제가 되어있는 경우가 있습니다. 이런 라미네이트는 무삭제 라고 하기 좀 그렇습니다...

25.12
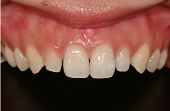
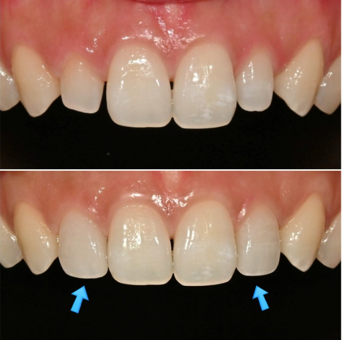
어쨌든 환자분은 치열이나 교합은 완벽하여 별도의 교정치료는 필요가 없는 상태입니다.

다만 앞니 전반에 퍼져있는 흰색 얼룩, 즉 반점치가 있는 상태입니다.
이정도의 얕고 넓은 반점치는 아이콘 치료로 치아를 갈지 않고도 치료가 가능하기에 아이콘을 먼저 권해드렸지만
환자분은 반점치 치료는 원치 않으셨습니다.
아이콘 치료가 궁금하시다면? 아래 포스팅 참고해주세요
자 그렇다면 반점치가 남은 상태에서 최대한 이질감 없게끔 왜소치 라미네이트가 들어가야겠죠?
이 경우 라미네이트에 약간 반점치스러운 무늬를 일부러 약하게 넣어서 이질감을 없애고 극도의 자연감을 살립니다.

25.12
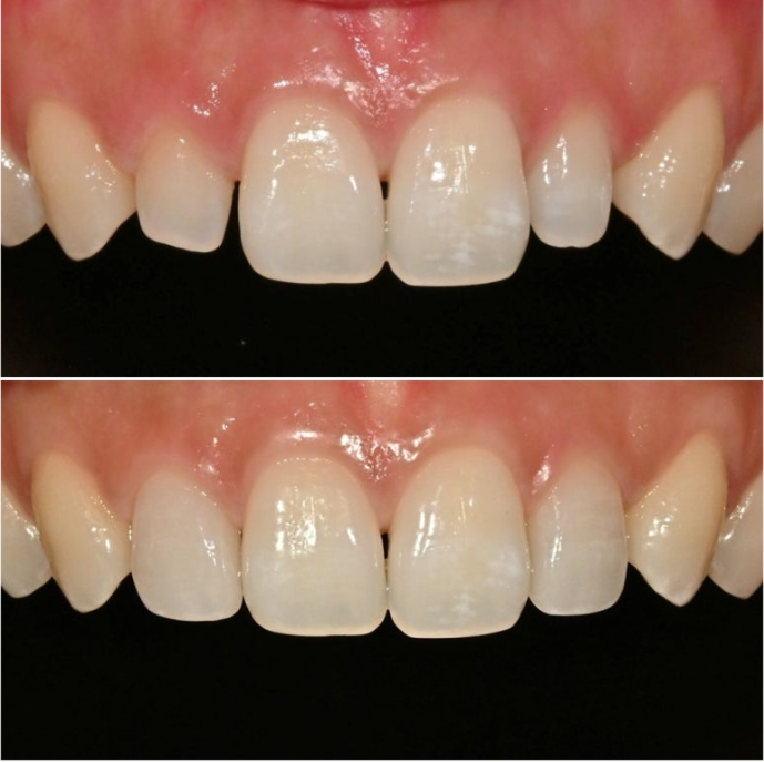
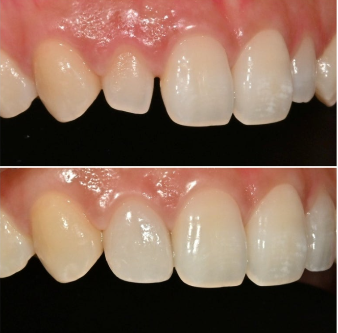
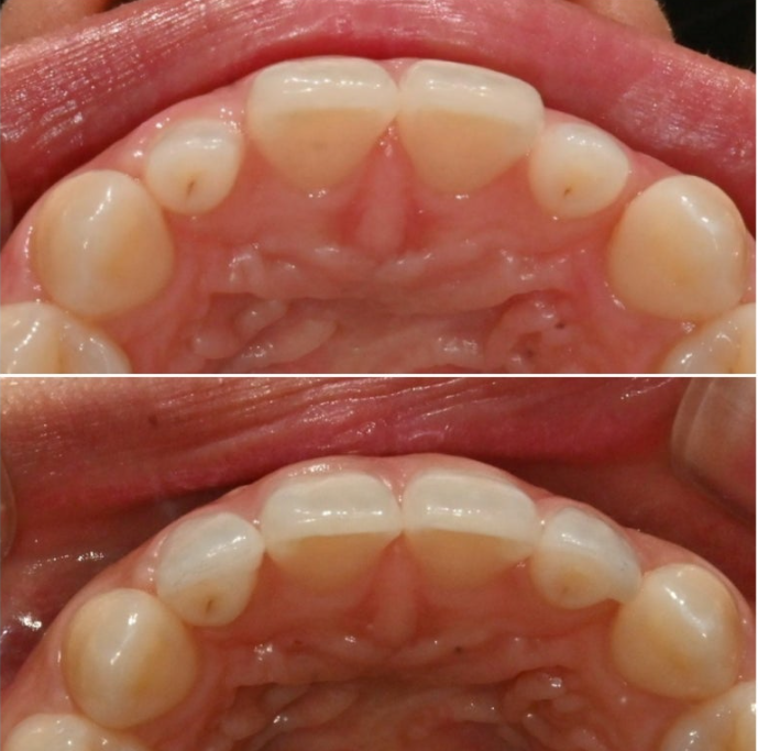
왜소치에 각각 무삭제라미네이트 시술 후 모습입니다.
극강의 얇은 두께로 인해 본래 치아색이 우러나와 생기는 우윳빛 투명감은 젤라미의 특징입니다

25.12

25.12
표면의 아주 옅은 반점치 무늬가 보이시나요?
주변 치아와 질감 뿐 아니라 표면의 미세 무늬까지 구현하여 이질감을 없애 자연스럽게 어우러지도록 합니다.

25.12

25.12
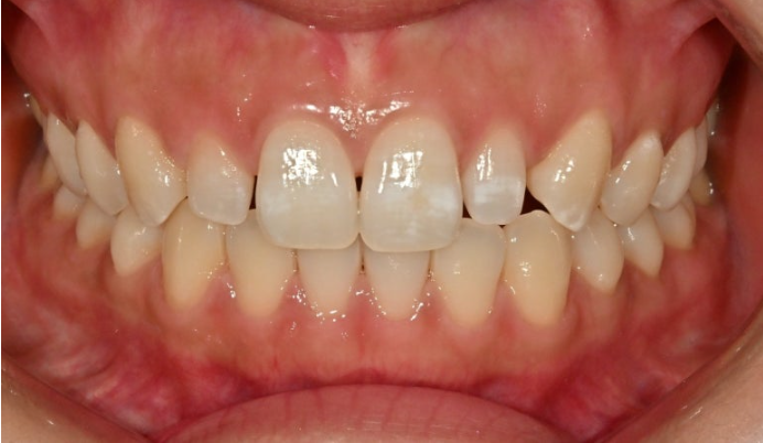
깔끔해진 미소가 돋보입니다.
교정 후 왜소치로 라미네이트를 고민하는 분들에게 이 포스팅이 도움이 되길 바랍니다.

