안녕하세요
압구정 무삭제 라미네이트 치과입니다.
저희 치과에서는 치아를 삭제하는 라미네이트는 하지 않습니다.
치아를 갈지 않고 에나멜층을 그대로 보존하는 무삭제 라미네이트만을 진행합니다.
물론 치아를 삭제하는 일반 라미네이트가 나쁘기만 한다는 것은 아닙니다.
삭제를 해야만 모양이나 이음새도 훨씬 예쁘게 만들 수 있고 꼼꼼하게 진료가 된다면 부작용도 거의 없을 것 입니다.
하지만, 치아를 가는 것이 무섭다? 라미네이트에 거부감이 있다 하시는 환자분들은 무삭제 라미네이트가 좋은 대안이 됩니다.
교정 마무리 후 부정교합으로 인하여 갈렸던 앞니 모양 회복을 위해서, 치아가 얼룩덜룩한 경우, 교정으로는 해결이 안 되는 블랙트라이앵글 등등 무삭제 라미네이트가 좋은 치료가 맞습니다.
그런데 무삭제 라미네이트는 사실 삭제하는 라미네이트보다 건강하고 예쁘게 하기가 어렵고 까다롭습니다.
당장 예쁘게 하는 것을 떠나서 무삭제 라미네이트니 오래오래 부작용 없이 건강하게 유지되는 것이 중요합니다.
그렇다면 세가지 원칙이 반드시 지켜져야 합니다.
배열 / 교합이 무삭제로 무리 없는 분들에게만 해야합니다.
(앞니가 삐뚤거나 뻗친 분은 안됩니다.)
기공소에서 아주 정교하게 제작이 되어야 하며
치과의사가 아주 섬세하게 잘 붙여야 합니다
이렇게 해야 예쁘고 부작용 없는 건강한 무삭제 라미네이트가 됩니다.
치아를 갈아내면 치아 건강에 좋지 않으니 무삭제 라미네이트를 선택한 것인데
무삭제 라미네이트가 오히려 건강에 좋지 않다고? 이상한 부분이죠
이 세가지가 제대로 지켜지지 않으면 어떠한 부작용이 생기는 지 차근차근 설명해드릴게요.
배열, 교합이 무삭제로 무리 없는 분들에게만 적용해야 한다.
치아가 삐뚠 부분이 있거나 앞니가 뻗쳐 있는 분들에게는 무삭제 라미네이트를 권하지 않습니다

앞서 말씀드렸듯 저희 치과는 교정 전문 치과이니, 치아가 삐뚠 부분이 있다면 몇 달이라도 앞니 부분교정으로 가지런하게 해 놓고 무삭제 라미네이트를 권유합니다.
앞니가 튀어나온 부분을 갈아내고 진행하면 라미네이트가 예쁘게 될 수는 있지만, 우리 목적은?
치아를 갈지 않고 건강하게 하는 것이죠.

치아가 들쑥 날쑥한 부분이 있으면 뒤로 들어간 치아는 라미네이트가 두꺼워야 합니다.
튀어나온 치아는 라미네이트가 얇아야 하니 기본적으로 내구성이나 모양에 문제가 생길 뿐더러
원래의 형태에서 벗어나 두껍게 제작이 된 치아에서는 잇몸 염증 등의 문제가 생기기 쉽습니다
앞니가 가지런하지만 뻗쳐있는 경우도 마찬가지입니다.
이 경우에도 무삭제 라미네이트는 권하지 않습니다.
무삭제 라미네이트는 아무리 얇게 만들어서 붙여도 미세하게 두꺼워집니다.
라미네이트 두께가 0.5mm 라면 0.5mm 만큼 두꺼워 집니다.
앞니가 약간 뻗쳐 있다면 무삭제 라미네이트를 붙인 후 그 뻗친 느낌은 더욱 심해집니다.

무삭제 라미네이트를 원하여 오셨지만 앞니가 뻗쳐 있어서 권유드리진 않았었지만 미련이 남으셔서
피팅이라도 해보고 싶다고 한 분 입니다.
결국 피팅도 했으나 뻗친 느낌이 있어 역시 안되겠다고 포기하셨습니다.
앞니 뻗침은 간단한 앞니 부분교정으로는 해결이 힘들고 무삭제 라미네이트를 위해 1-2년 걸리는 전체교정을 할 수 도 없습니다.
차라리 치아를 한 겹 갈아내면 해결이 되지만요..
하지만 우리는 무삭제 라미네이트만을 하는 것이 목적이니 치아는 갈지 않습니다.
기공소에서 아주 정교하게 제작이 되어야 하는 이유?
정교하지 않은 무삭제 라미네이트에는 부작용이 있습니다.
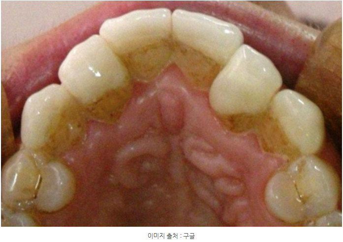
잇몸과 맞닿아 있는 부분은 튀어나오지 않도록 원래 치아와 부드럽게 이어져야 하고 이를 위해서는 잇몸쪽이 아주 얇게 제작되어야 합니다.
실력있는 기공소 테크닉이 필요합니다.

출처 : 구글
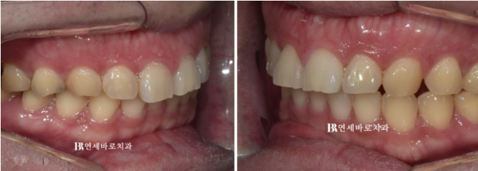
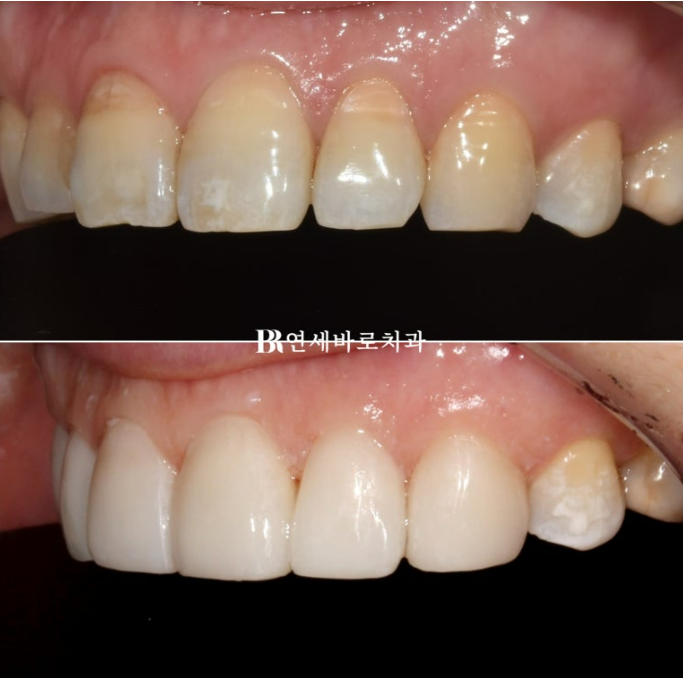
치과의사가 세심하게 잘 붙여아 하는 이유?
라미네이트가 아무리 정교하게 제작이 되었다고 해도 붙이는 과정에서 위치가 미세하게 어긋나거나 접착에 문제가 생긴다면 경계부분에 턱이 지거나 세균이 들어가기 쉬워집니다.
구강관리가 안되는 분이라면 충치가 더욱 쉽게 생깁니다.
특히 잇몸과 맞닿아 있는 부분 역시 틈 없이, 턱이 진 곳 없게끔 어긋남 없이 붙이는 것이 아주 중요합니다.
그래야 5년 후 10년 후 잇몸이 주저 앉는 부작용이 생기지 않고 오래 건강하게 쓸 수 있습니다.
무삭제 라미네이트는 앞니 부분교정이 필요한 경우가 많습니다
앞니 부분교정은 간단해 보이지만, 사실 그렇지 않습니다.
전체교정에 비하여 한계가 많은 교정입니다.
의사가 조절할 수 있는 부분이 얼마 안되는 교정입니다.
중심선 맞추기, 깊게 물리는 것 등은 어느정도 포기해야합니다.
그럼에도 이런 한계점을 최소화 하면서 교정 효과를 극대화 하려면 많은 경험과 노하우가 중요합니다.
또 부분교정은 앞니에만 장치를 붙이다보니 뻗침, 송곳니 뒤쪽 공간 벌어짐 등이 생기기 쉽습니다.
이런 부작용이 생겼을 때 부분교정이니 어쩔 수 없다가 아니라 해결할 줄 아는 노하우가 중요합니다.
치아 건강을 해치지 않는 선에서 예쁘게 마무리 하려면 생각보다 공이 많이 드는 교정이 바로 앞니 부분교정 입니다.

교정 전문의들은 앞니의 각도나 비율 뿐 아니라 인중 각도, 입술 두께에 있어서 1도의 차이나 0.5mm 차이도 캐치합니다.
또 사람마다 얼굴에 맞는 앞니각도, 치아 비율이 다름을 알고 이를 구현해냅니다.
교정 주치의가 앞니 부분교정에 이어서 무삭제 라미네이트까지 마무리 해준다면 가장 좋습니다.
여기까지 무삭제 라미네이트 글을 마치겠습니다.

