안녕하세요
압구정 어린이 투명교정 치과입니다.
오늘은 어린이 투명교정 과정에 대해 궁금증을 풀어드리기 위해 포스팅 해보겠습니다.

23.11~25.08
특히 소아치과에서 영구치가 없구치가 없다는 말을 듣고 근심에 빠져 급하게 어린이 교정치료를 알아보고 계신 부모님들께 이 포스팅이 도움이 되길 바랍니다.

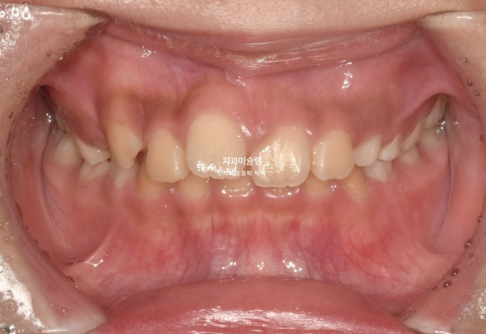
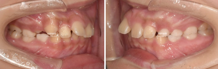
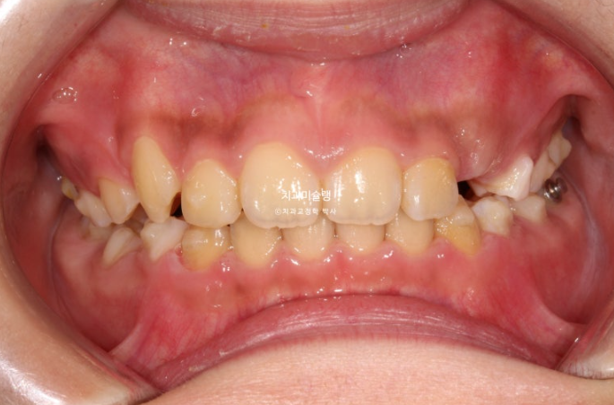
23.11
2년 전 교정치료를 위해 온 만 10세 어린이 입니다.
앞니가 하나 들려있고 깊게 물리는 과개교합이 있습니다.
중심선 불일치도 보입니다.

윗니 돌출이 측면에서 잘 보이네요.


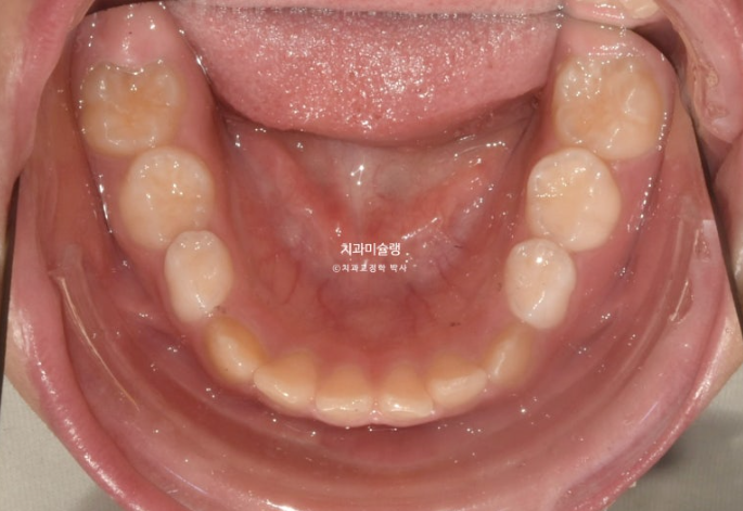
영구치날 공간은 비교적 양호한 편입니다.

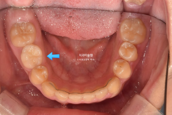
파란화살표 자리에 있어야할 작은어금니가 선천적 결손 상태입니다.
이런 경우 계승영구치가 없어 오래도록 남아있게될 잔존유치를 최대한 보존해서 쓰는 방법으로 치료를 합니다.
잔존유치를 오래 보존해서 사용하기로 했다면 교정 치료 중 불필요한 치아이동에 의해 잔존유치치근이 녹아 짧아지지 않도록 각별히 신경써야 합니다.
유치는 교정력을 받았을때 영구치와 다르게 잘 움직이지 않을 뿐더러, 안그래도 영구치에 비해 뿌리가 약한 상태이니 치근흡수라도 나타나면 발치해야 하는 애매한 상황이 생깁니다.
이렇게 영구치 대신 유치를 남겨 쓴다면 과연 앞으로 몇년이나 쓰게 될지에 대해 궁금하시죠.
교합이 안정적이라면 4-50세까지 쓰는 분들도 많습니다.
그 이후에 빠지면 임플란트를 해야하죠.
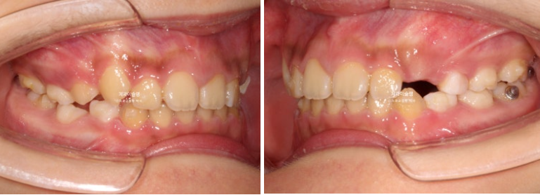
인비절라인퍼스트 치료에 들어갔고 24년 4월까지, 첫세트의 21개 장치를 모두 낀 후 모습입니다.

24.04
과개교합의 개선


배열의 개선

이제 막 남아있던 유치들이 빠지고 영구치가 나오는 시기라 전략적으로 쉬는시간을 갖습니다.
21번 장치를 잘때만 끼면서 영구치 맹출을 기다리는 시간이죠.
24년 10월까지 6개월간 남은 영구치 맹출을 기다립니다.

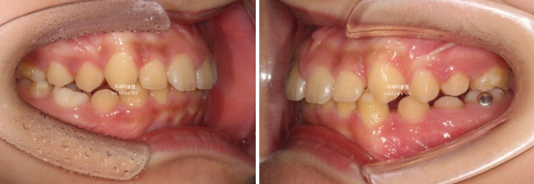
24.10

그 사이 남은 유치들이 정리되고 영구치들이 꽤 나왔습니다. 이제 재제작 타이밍이죠
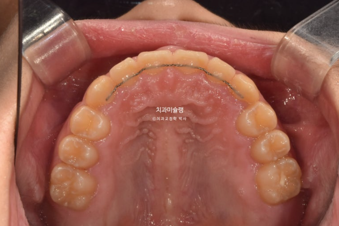
24년 12월부터 25년 8월까지ㅏ 추가장치를 모두 낀 후 치료를 마무리 했습니다.

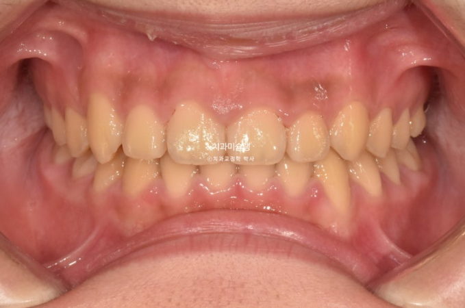
25.08
그 사이 남아있던 유치들은 모두 빠지고 이제는 완전한 영구치열로 접어들었습니다.
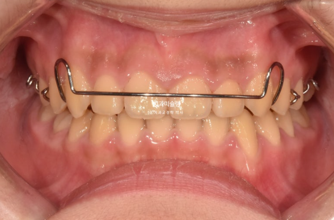
중심선이 여전히 틀어져 있는 이유는

파란 화살표의 잔존유치가 정상영구치보다 사이즈가 1.5배 크기 때문입니다.

하지만 어금니 교합은 1급 교합관계를 달성했고

치료결과가 성인교정치료 결과에 준하는 만큼 유지장치도 성인과 동일하게 들어갑니다.

단 과개교합 재발 방지를 위해서 유지장치에 ABP교합판을 추가하는 것이 안전합니다.

과개교합만 재발이 안된다면 이 친구는 성인이 되어 다시 교정을 안해도 될거에요
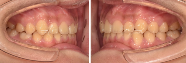
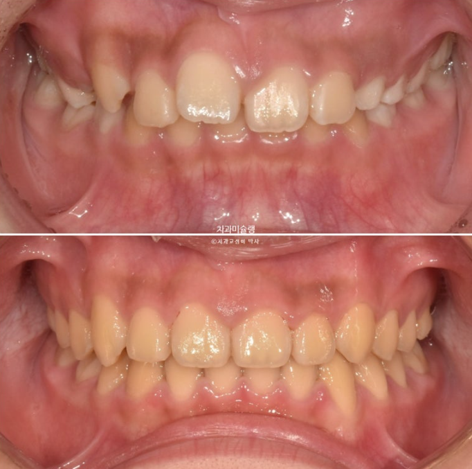
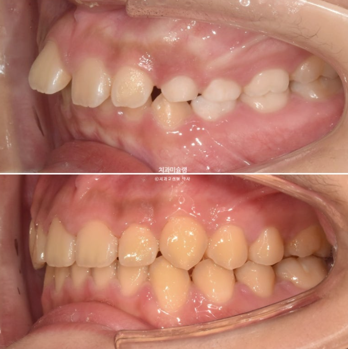
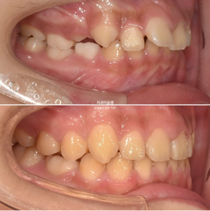
이제 어린이 교정 전후비교 보겠습니다
총 치료기간은 1년 9개월 그 중 중간에 영구치 맹출을 기다리는 시간 6개월을 제외하면 액티브하게 장치를 낀 시간은 1년 3개월 입니다.

23.11-25.08



23.11~25.08
윗니 아랫니 간격 차이가 줄며 입 다무는 게 편해집니다.
이 나이대 친구들이 앞니 돌출 때문에 입 벌리고 자는 습관이 생기면 구호흡에 의한 여러가지 부작용이 생깁니다.
얼굴이 길게 자라거나 입냄새가 나거나 충치가 잘생기거나 등
돌출입 성인되서 발치하고 교정해야겠다.
라는 생각보다는 미리미리 교정하는 게 좋습니다.

23.11~25.08
아이의 미소가 달라지고

23.11~25.08
자신감이 달라집니다.

23.11~25.08
앞니 뻗침과 돌출 때문에 잘 안 다물어졌던 입이 편하게 다물립니다.

23.11~25.08

23.11~25.08
파란 화살표 잔존유치는 초진에 비하여 치근흡수 없이 잘 보존되었습니다.
다른 영구치들에 치근흡수는 없고 치근평행도는 좋습니다.
선천적 결손이라고 해도 치료를 잘 해주면 별 문제 없이 교정 마무리가 가능합니다.

