안녕하세요
압구정 무삭제 라미네이트 압구정 교정치과 입니다.
오늘은 시니어 모델 분의 중년 교정 , 무삭제 라미네이트 후기를 들려드리려고 합니다.

(사실 시니어라고 하기엔 좀 젊으시지만)
시니어 모델로 활동하고 계신 환자분이 무삭제 라미네이트를 위해 저희 압구정 연세바로치과를 찾아주셨네요
외모도 너무 좋으시며 스타일리쉬 하시더라구요
무삭제 라미네이트 후 효과가 너무 기대가 되어서 모델 요청 드렸는데 흔쾌히 승낙 해주셨네요.
얼굴 공개 모델 제의 승낙해주셔서 다시 한번 감사드립니다.

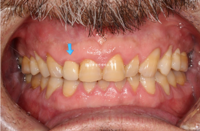
24.03
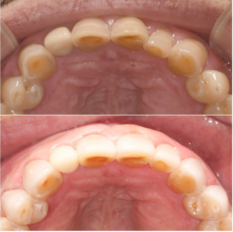
치아가 오랜 세월 마모로 인하여 짧아진 상태이며, 파란 화살표는 크라운 입니다.

배열이 가지런하면 말만 무삭제가 아니라 100% 무삭제가 가능합니다.
사실 배열이 가지런하지 않더라도 100% 무삭제 라미네이트는 가능합니다.
단

파란 화살표 치아가 뒤로 들어가 있으니 배열을 맞추기 위해서 두껍게 제작이 될 것 입니다.
장기적으로 치아와 잇몸건강을 해치게 되는 거죠

치아가 삐뚤한데 무삭제 라미네이트를 하면 이렇게 됩니다.
이런 치료는 하면 안됩니다.
당장 바둑알 같은 것을 앞니에 달고 있으니,, 불편한 것을 떠나서 장기적으로 구강건강을 해치게 됩니다.
가장 건강한 방법은 단기 앞니 부분교정으로 앞니를 먼저 가지런하게 배열하는 것 임을 설명 드리고 환자분 동의하에 MTA 미니튜브 부분교정 먼저 진행했습니다.

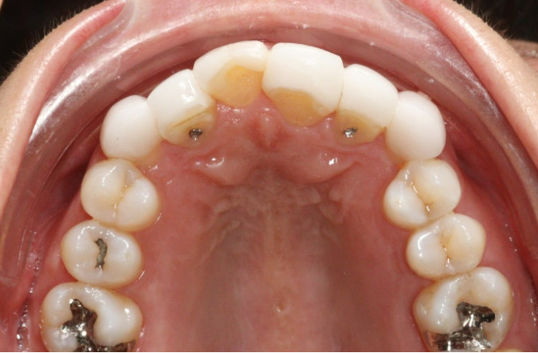
24.05
3개월에 걸쳐 앞니 교정을 간단하게 하고 6월 드디어 무삭제 라미네이트 치료를 했습니다.

24.06
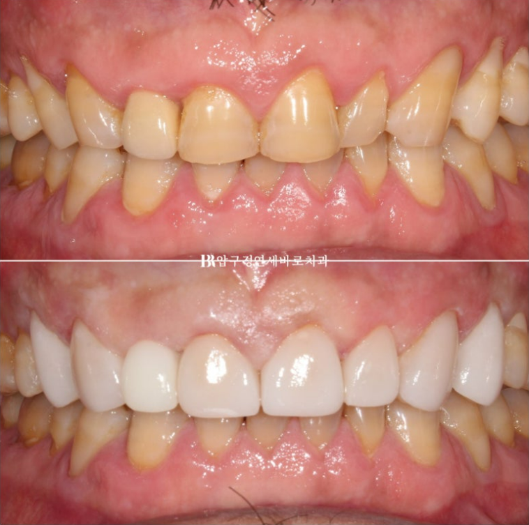
중년 부분교정 후기

24.06

24.03~24.06

24.03~24.06
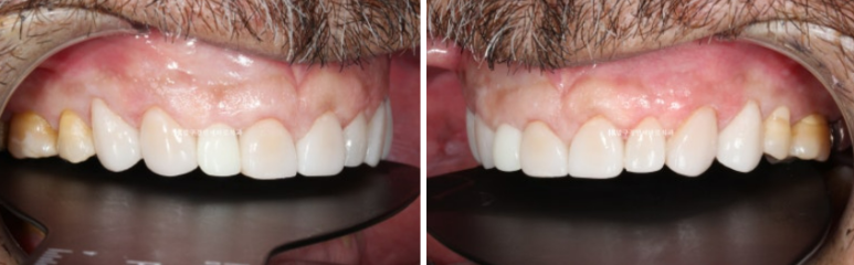
무삭제 라미네이트의 실제 두께를 알 수 있는 사진입니다.
삭제를 하지 않았음에도 원래 치아보다 두꺼워짐이 거의 없죠
무삭제 라미네이트의 핵심은 바로 얇게 만드는 것 입니다.

24.03~24.06
옥니 치아가 교정과 무삭제라미네이트로 개선이 되었습니다.

미소가 훨씬 젊어보입니다.
중년 부분교정
무삭제 라미네이트는 가장 건강한 치아 안티에이징 치료입니다.

