안녕하세요
압구정 어린이 투명교정 인비절라인 퍼스트 소개해드리겠습니다.
어린이 골격성 II급 부정교합 즉 무턱 교정치료를 위한 성장 교정입니다.

윗니 돌출 때문에 교정치과를 찾는 경우에는 윗니에 잘못이 없는 경우도 있습니다.
아래턱이 작아서 윗니 아랫니 간격이 커서 상대적으로 윗니가 돌출이 되어 보이는 경우가 있습니다.
이 아이도 돌출 교정을 위해 왔지만 원인은 아래턱이 작은 소위 무턱 이였고
무턱 성장치료를 하였습니다.

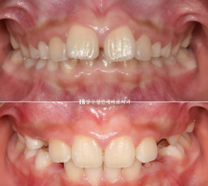
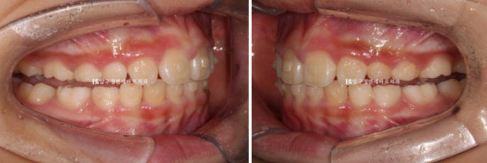
23.04
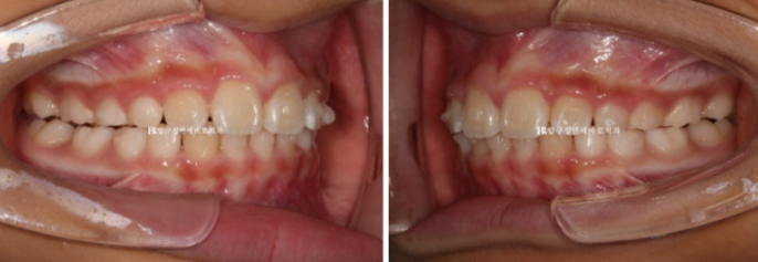
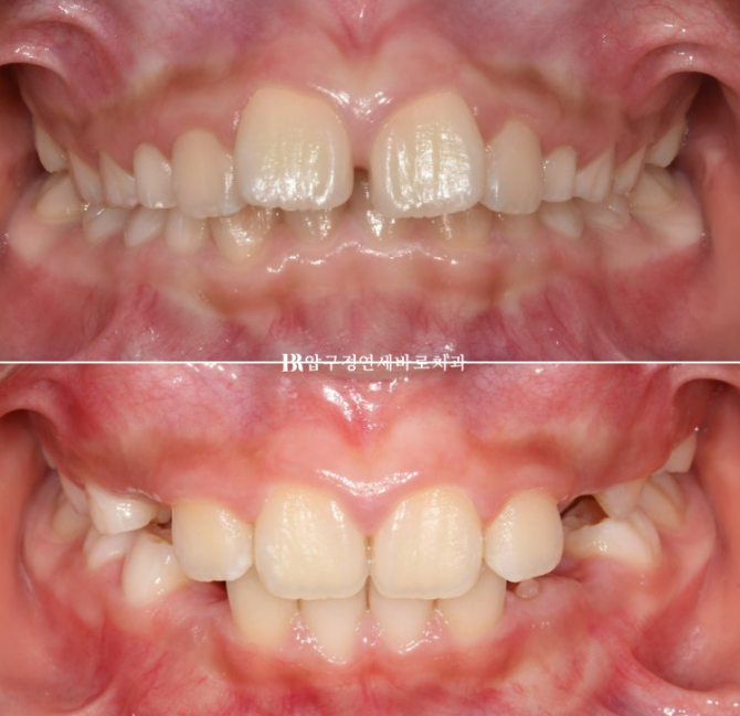
가장 먼저 보이는 것은 앞니 사이가 벌어진 것 이지만
이 벌어짐은 송곳니가 나오면서 모이기도 하기 때문에 큰 문제는 아닙니다.
그보다는 윗니가 아랫니를 많이 덮어 아랫니가 잘 보이지 않습니다.
과개교합 이라고 합니다.
윗니 아랫니 중심선이 맞지 않는 중심선 불일치도 보입니다.

23.04
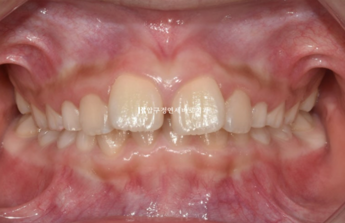
옆에서 보시면 윗니 돌출이 심해보입니다.
하지만 골격 분석을 해보면 아래턱이 작아서 그렇게 보이는 것 입니다.

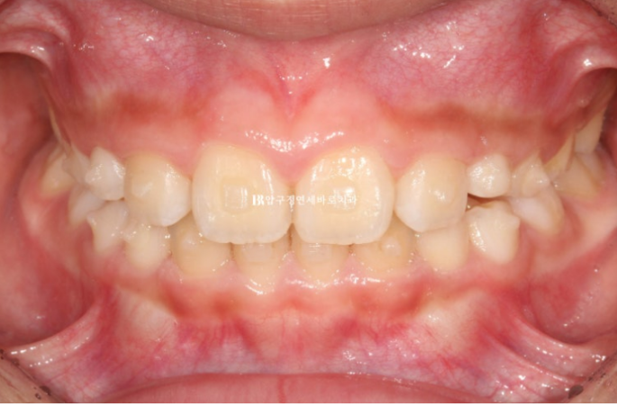
23.04
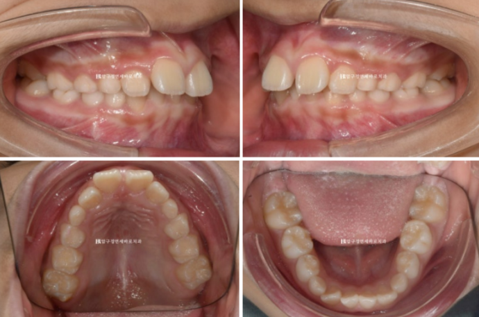
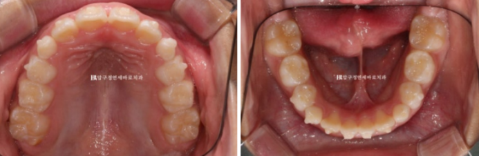
입천장은 좁고 앞니는 삐뚤합니다.
손 성장판 사진을 찍어보니 최대성장기가 아직 남은 상태입니다.
인비절라인 퍼스트 치료 설명 드리고 악궁확장, 치아 배열, 과개교합 개선, 무턱 성장교정을 목표로 치료에
들어갔습니다.
인비절라인 퍼스트 무턱 치료에 유용하게 사용하는 MA 라는 기능이 있습니다.
기존 액티베이터, 프랑켈, 바이오네이터 등 턱 위치와 성장을 조절하는 악정형 장치의 역할을 하는 기능을 합니다.
원리는 인비절라인 투명장치에 Wing 이라고 부르는 부분이 생기며 이 부분이 엇갈려서 물리면서 턱의 위치를 정위치로 유도하는 기능입니다.
효과는 기존 악정형장치보다 떨어지지 않고 오히려 아래 앞니 뻗침 등의 치아부작용이 적어서 무턱이나 비대칭 치료에 많이 사용합니다.
통상 악궁확장, 앞니배열, 과개교합 개선 등을 먼저 완료한 뒤에 치료 중간 MA 단계를 시작합니다.
23년 4월부터 23년 9월까지 6개월간 1단계부터 25단계의 장치를 꼈고 악궁확장, 앞니배열, 과개교합 개선을 완료했습니다.

23.09
맞아진 위 아래 앞니 중심선과 개선된 과개교합

23.09
돌출된 앞니도 제자리로 들어갔습니다.

23.09
좁았던 입천장 악궁이 넓어졌고 앞니 배열이 가지런해졌습니다.

클린체크 치료계획상 25단계 장치에서 기대되는 치열이고 치료경과가 좋아서 실제 입안 상태도 비슷합니다.
이제 본격적으로 무턱에 대한 성장교정을 시작할 단계입니다.

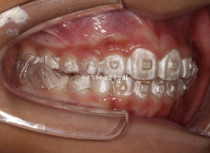
26단계부터 57단계 까지는 아래턱의 위치를 유도하는 MA 단계이고 장치모습을 보면 파란색으로 표기된 <윙>이 위아래 각각 두쌍씩 튀어나와 있는 것이 보입니다.

23.09
실제로 입안에서는 이렇게 구현이 됩니다.
아래턱을 내밀어서 물지 않으면 윙끼리 간섭때문에 입이 다물리지 않습니다.

23.09
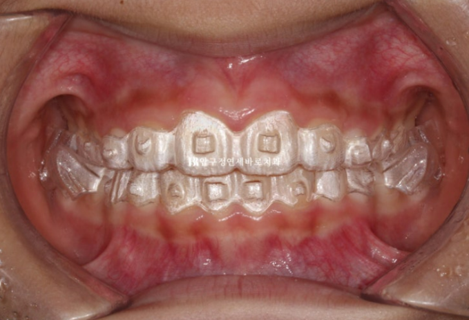
앞에서 보면 이런 모습입니다.

24.02
MA치료 6개월차, 중간에 찍은 사진입니다.
MA 치료단계에서는 앞니가 먼저 닿고 어금니가 떠 있습니다.
과정상 불가피하게 일어나는 부분입니다.
이 부분은 MA 치료 후반부에 어금니쪽 장치를 잘라서 끼면 자연스럽게 다시 닿게 됩니다.
MA 치료 후반부 어금니쪽 장치를 잘라서 껴봐야 하는 이유는 또 있습니다.
무턱 치료가 성공적으로 잘 되었다면 장치의 윙 부분 없어도 턱의 위치가 그대로 유지가 되어야 합니다.
이 부분 체크를 위한 목적도 있습니다.
만약 윙 부분을 제거해서 꼈더니 즉 턱을 내밀어 물게 도와주는 부분이 없어지니 턱이 다시 뒤로 밀린다면
MA 단계를 앞으로도 계속 유지해야 합니다.
이 친구도 치료 마지막 장치인 53단계부터 57단계는 장치의 어금니 부분을 잘라내어 앞니만 남긴채로 꼈습니다.
6개월의 교정 9개월의 MA 총 15개월간 57개 장치를 다 낀 후 모습입니다.

24.06

24.06
53단계부터 57단계까지 마지막 5개 장치를 어금니쪽 장치를 잘라 끼면서 교합 안정화를 도모했고 지난 2월 사진과 다르게 이제 어금니가 잘 닿습니다.
뿐만 아니라 윙을 잘라내어 한달 이상 꼈는데도 아래턱이 다시 뒤로 밀려서 물리거나 하지 않고 아래턱의 위치가 아주 안정적임을 확인했습니다.

24.06
모든 게 좋지만 송곳니 날 자리가 약간 부족할 것으로 예상이 되어 추가장치 1세트를 더 제작하기로 했습니다
24년 7월부터 25년 1월까지 7개월간 송곳니 공간을 좀 더 확보하기 위한 두번째 장치를 다 낀 후 치료를 마무리 했습니다.
치료 후 사진입니다.

24.01

24.01
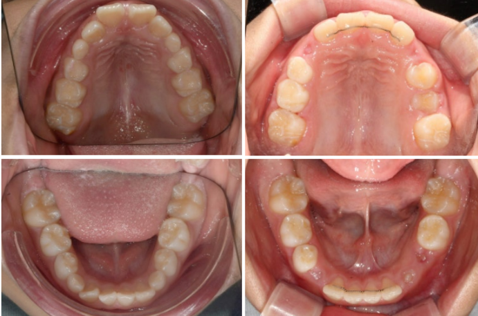
어금니 교합은 좋으며 그 사이 남아있던 유치가 대거 빠지고 영구치가 새로 나는 중입니다.

24.01

24.01
송곳니 날 자리를 충분히 마련해주었습니다.
앞니 4개에 철사 유지장치를 부착했고 송곳니 날 자리가 다시 좁아지지 않게 유지하기 위해 공간유지 개념의 가철식 장치도 들어갑니다.

24.01
성인교정도 유지장치가 중요하겠지만, 아이들은 유치와 영구치가 뒤섞여 입안 환경이 빠르게 변하는 만큼 철저한 유지장치가 중요합니다.
이 환자도 영구치가 다 난 후 모습으로 포스팅 하겠습니다.
아마 6개월 이내로 성인 치열에 접어들것으로 예상이 됩니다.
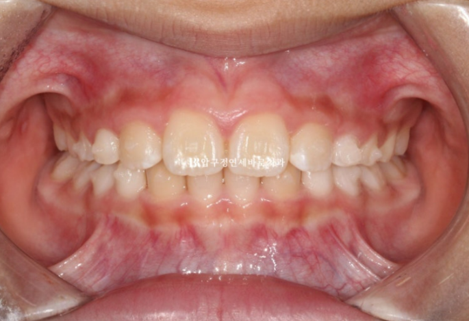
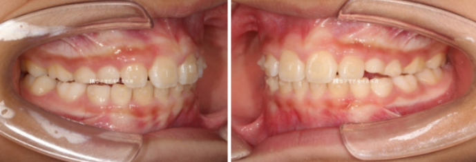
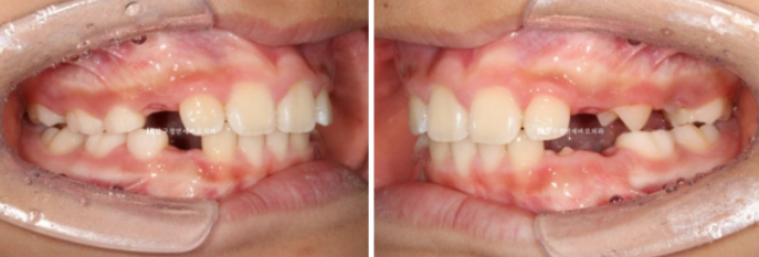
이제 치료 전 후 비교 보겠습니다.
총 치료 기간은 22개월 입니다.

23.04~25.01

23.04~25.01
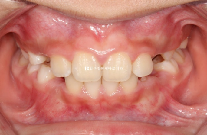
가지런해진 앞니와 영구치를 위한 충분한 공간

23.04~25.01
윗니 돌출이 많이 개선이 되었습니다.
튀어나온 윗니가 뒤로 들어갔나? 싶겠지만 사실은 위니가 뒤로 들어간 것이 아니라
아랫니를 품은 아래턱뼈가 성장하여 앞으로 나온 것 입니다.

23.04~25.01
안모의 개선

23.04~25.01
치료 전 골격성 무턱을 나타내는 ANB 라는 수치는 6.1이었으나 3.9로 정상범위가 되었고 위턱과 아래턱의 성장이 바람직하게 일어났습니다.
인비절라인 퍼스트 투명치료는 단순히 앞니를 가지런하게 하는 수준을 넘어 골격적 문제까지 복잡한 치료도 가능합니다.
아이의 성장교정 고민이시라면 가까운 교정치과에 내원해보세요

