아카이브 요약
이 페이지의 역할
연세바로치과의원의 네이버 블로그 원문을 보존한 아카이브 페이지입니다. 인비절라인 카테고리의 덧니 인비절라인 라이트 잇몸미소 거미스마일 중심선 블랙트라이앵글 글을 통해 병원의 한국어 정보 제공 방식과 진료 관련 안내 톤을 확인할 수 있습니다.
원문 검증
필요하면 원문 블로그와 병원 프로필로 바로 이동해 문맥을 다시 확인할 수 있습니다.
출처 아카이브 열기아카이브된 블로그 글
연세바로치과의원 · 치과미슐랭
안녕하세요. 압구정 인비절라인 교정 소개해드리겠습니다. 25.01~25.11 인비절라인 라이트는 14개 장치 안에서 해결 가능한 부정교합에 쓰는 장치입니다. 앞니 부분교정에 준하는 경미한 상태에 쓰는 장치입니다만 고무줄 등의 추가 처방이 있다면 어금니 교합관계도 1-2mm 정도는 개선 가능하죠. 25.01 작년 1월, 앞...
게시일
2026년 1월 27일
원문 기준으로 확인된 발행일입니다.
카테고리
인비절라인
원문 블로그 카테고리를 정리해 함께 표시합니다.
이미지 수
25
현재 아카이브에 연결된 이미지 수입니다.
아카이브 요약
연세바로치과의원의 네이버 블로그 원문을 보존한 아카이브 페이지입니다. 인비절라인 카테고리의 덧니 인비절라인 라이트 잇몸미소 거미스마일 중심선 블랙트라이앵글 글을 통해 병원의 한국어 정보 제공 방식과 진료 관련 안내 톤을 확인할 수 있습니다.
원문 검증
필요하면 원문 블로그와 병원 프로필로 바로 이동해 문맥을 다시 확인할 수 있습니다.
출처 아카이브 열기안녕하세요.
압구정 인비절라인 교정 소개해드리겠습니다.

25.01~25.11
인비절라인 라이트는 14개 장치 안에서 해결 가능한 부정교합에 쓰는 장치입니다.
앞니 부분교정에 준하는 경미한 상태에 쓰는 장치입니다만
고무줄 등의 추가 처방이 있다면 어금니 교합관계도 1-2mm 정도는 개선 가능하죠.

25.01
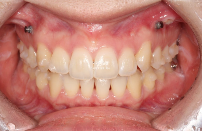
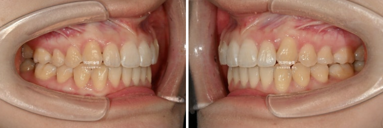
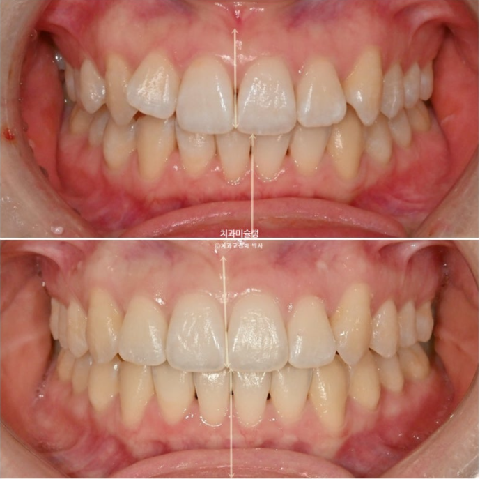
작년 1월, 앞니 덧니 교정을 위해 온 환자분입니다. 튀어나온 측절치 이외에는 신경쓰이는 부분은 없다고 하셨죠.
정면사진에서 블랙트라이앵글, 중심선 불일치 등이 보입니다.

덧니쪽으로 중심선은 치우치기 마련이지만 그 이외에도 양쪽 어금니 교합관계가 다르다 보니 중심선 불일치가 크게 나타납니다.


양측 어금니 교합관계를 정확히 1급으로 맞춰 중심선까지 정확히 일치시키는 치료계획은 일년반의 시간이 소요되며 인비절라인 컴프레헨시브 프로그램이 필요합니다.
환자분은 덧니 개선에만 초점을 둔 짧고 간단한 치료를 원했고 인비절라인 라이트로 치료하기로 했습니다.
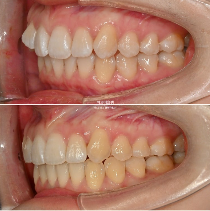
2급 교합관계를 보이는 좌측엔 교합관계 개선을 위한 악간고무줄 처방을 해서 덧니뿐아니라 교합관계개선과 주심선 개선을 도모합니다.

또한 웃을때 잇몸도 보이는 편이라 교정용 나사를 심고 앞니 함입도 도모했습니다.

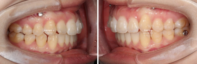
25.06
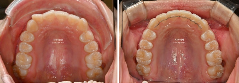
14개 장치를 2월부터 6월까지 모두 낀 후 모습입니다.
중심선은 상당히 개선되었으며 덧니는 잘 배열 되었습니다.

송곳니 주변에 공간이 남아있으며

덧니 배열이 완벽하진 않습니다.

또한 웃는사진으로 봤을때

25.06
덧니였던 치아가 좀 더 아래로 내려와야 스마일라인의 치아 높낮이 대칭성이 맞겠습니다.
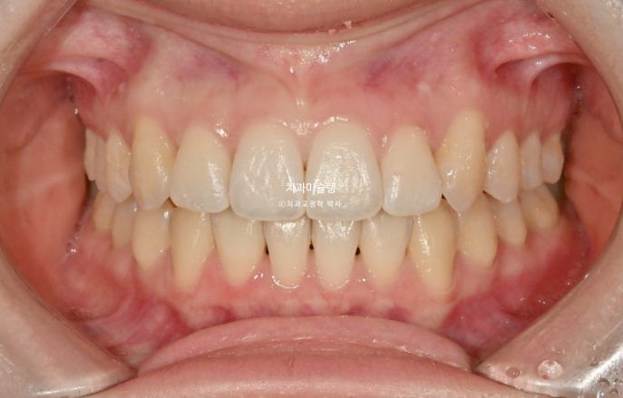
이 부분들을 더 고치고자 재제작에 들어갔고 11월까지 추가장치를 모두 낀 후 치료를 마무리 했습니다.

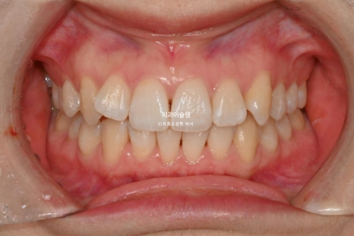
25.11
중심선 불일치가 미세하게 남았지만 만족스럽게 개선되었으며

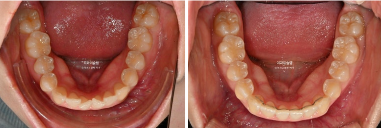
어금니 교합은 좋습니다.
이제 전후 비교 보겠습니다.
치료기간은 10개월 입니다.

2025.01~25.11


25.01~25.11
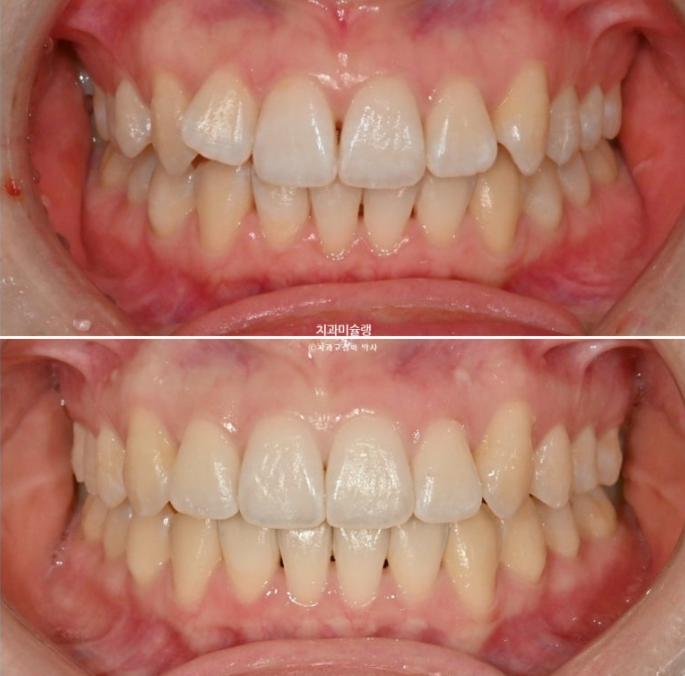
윗니 정중앙 블랙트라이앵글은 치간삭제를 통해 줄였으며

25.01~25.11
중심선은 처음에 비해 많이 개선되었습니다.

25.01~25.11
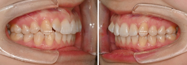
고무줄을 열심히 껴준 탓에 좌측 교홥관계는 좀 더 1급에 가까워졌습니다.

25.01~25.11
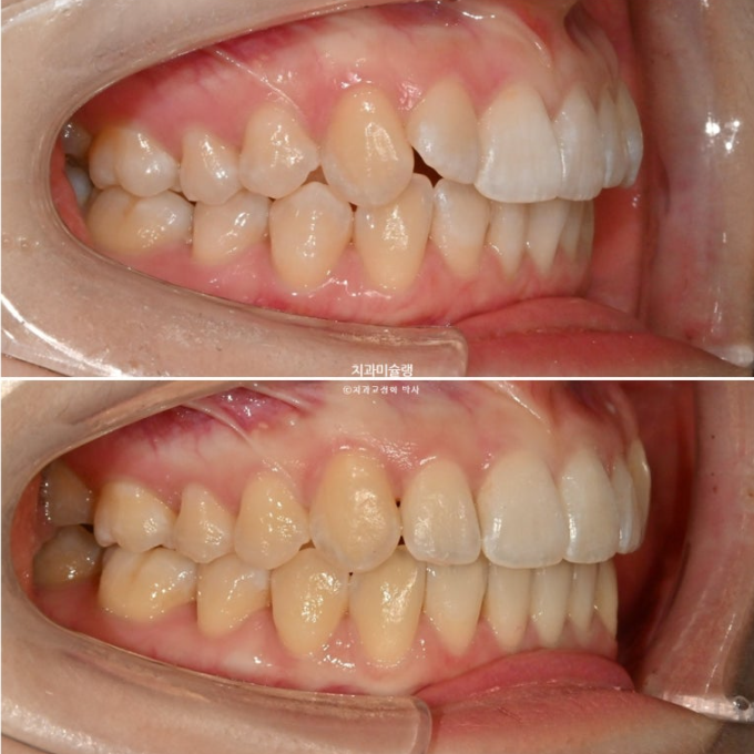
우측은 완벽한 1급을 달성했습니다

25.01~25.11
거미스마일 소량 개선되었습니다.
앞니 높낮이는 완벽한 대칭을 이루고 아랫입술과 조화로운 호를 그립니다.

25.01~25.11
미소가 깔끔해졌습니다.

25.01~25.11
원래 예뻤던 입매는 잘 유지가 되었습니다.

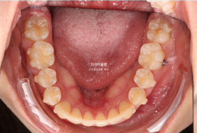
25.11
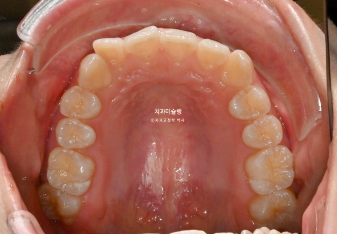
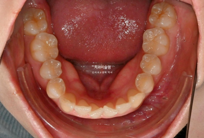
치아 뿌리 평행도는 좋고 치근흡수는 없습니다.
환자분 니즈에 맞게 치료목표에 따라 가장 적합한 치료계획을 세워드리고 있습니다.

