아카이브 요약
이 페이지의 역할
연세바로치과의원의 네이버 블로그 원문을 보존한 아카이브 페이지입니다. 인비절라인 카테고리의 옥니 덧니 교정 왜소치 선천적 결손 3전치 무삭제 라미네이트 인비절라인 교정 글을 통해 병원의 한국어 정보 제공 방식과 진료 관련 안내 톤을 확인할 수 있습니다.
원문 검증
필요하면 원문 블로그와 병원 프로필로 바로 이동해 문맥을 다시 확인할 수 있습니다.
출처 아카이브 열기아카이브된 블로그 글
연세바로치과의원 · 치과미슐랭
안녕하세요 압구정 교정치과 입니다. 오늘은 옥니 덧니 교정 소개해드리겠습니다. 24.03~25.11 아래 앞니는 선천적 결손 빈도가 높은 치아입니다. 아래 앞니가 4개가 아닌 3개로 나는 경우입니다. 24.03~25.11 치아가 없다고 해서 꼭 임플란트를 해야 하는 것은 아닙니다. 교정으로 충분히 좋은 교합을 만들 수 있...
게시일
2026년 1월 28일
원문 기준으로 확인된 발행일입니다.
카테고리
인비절라인
원문 블로그 카테고리를 정리해 함께 표시합니다.
이미지 수
27
현재 아카이브에 연결된 이미지 수입니다.
아카이브 요약
연세바로치과의원의 네이버 블로그 원문을 보존한 아카이브 페이지입니다. 인비절라인 카테고리의 옥니 덧니 교정 왜소치 선천적 결손 3전치 무삭제 라미네이트 인비절라인 교정 글을 통해 병원의 한국어 정보 제공 방식과 진료 관련 안내 톤을 확인할 수 있습니다.
원문 검증
필요하면 원문 블로그와 병원 프로필로 바로 이동해 문맥을 다시 확인할 수 있습니다.
출처 아카이브 열기안녕하세요
압구정 교정치과 입니다.
오늘은 옥니 덧니 교정 소개해드리겠습니다.

24.03~25.11
아래 앞니는 선천적 결손 빈도가 높은 치아입니다.
아래 앞니가 4개가 아닌 3개로 나는 경우입니다.

24.03~25.11
치아가 없다고 해서 꼭 임플란트를 해야 하는 것은 아닙니다.
교정으로 충분히 좋은 교합을 만들 수 있습니다.
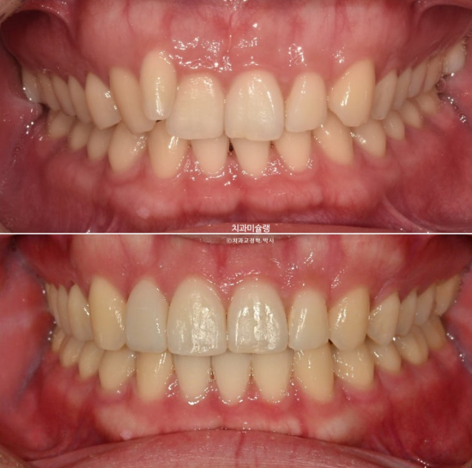
오늘은 아래 앞니 1개 선천적 결손과 왜소치가 함께 있는 증례에서 인비절라인으로 어떻게 치료하는 지 과정을 보여드리겠습니다.
24년 2월 교정치료를 위해 온 환자분입니다.

24.02
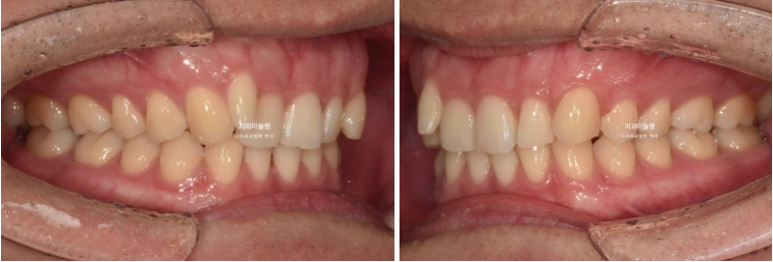
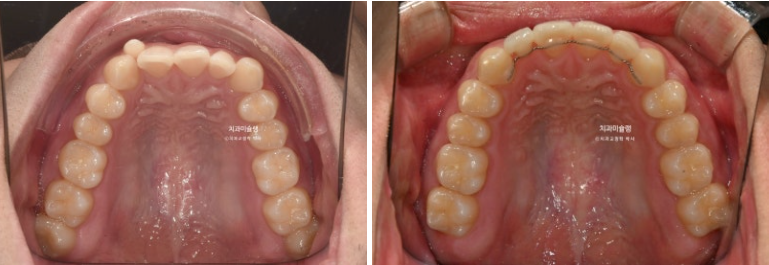
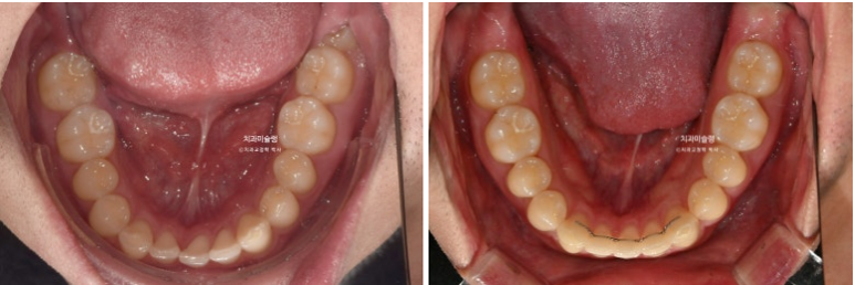
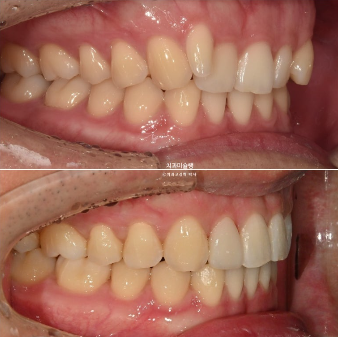
아래 앞니가 1개 없고 왜소치가 덧니로 나와있습니다.
아래 앞니에 블랙트라이앵글도 크게 나있습니다.

블랙트라이앵글의 원인은 치축 때문입니다.
뿌리 간격이 멀면 블랙트라이앵글이 생깁니다. 아래 앞니 뿌리간격을 좁혀야 블랙트라이앵글 사이즈가 건강하게 줄어들 수 있습니다.
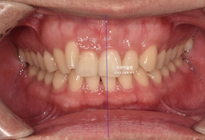
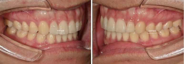
얼굴 사진에서는 왜소치 덧니 쪽으로 치아 중심선이 돌아가 있습니다.
코와 인중에 맞게끔 위 앞니 중심선을 옮겨와야 합니다.

24.02
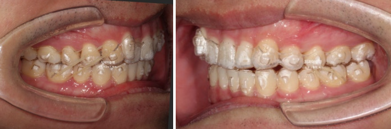
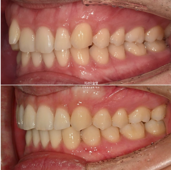
또한 측모에서 보면 위 앞니가 옥니입니다.
즉 치아가 뒤로 쓰러져 있습니다.



어금니 교합관계는 2급입니다.
위에 사랑니를 빼고 사랑니 공간으로 위 어금니들을 뒤로 밀어내야 1급 교합관계 달성이 가능합니다.
인비절라인 치료 선택하셨고 24년 3월부터 장치를 끼기 시작했습니다.
왜소치는 교정 후 무삭제 라미네이트로 정상 사이즈를 회복하기로 했습니다.
첫 세트의 장치는 총 58개가 나왔습니다.

24.11
7일에 하나씩 교체하며 치료를 이어갑니다.
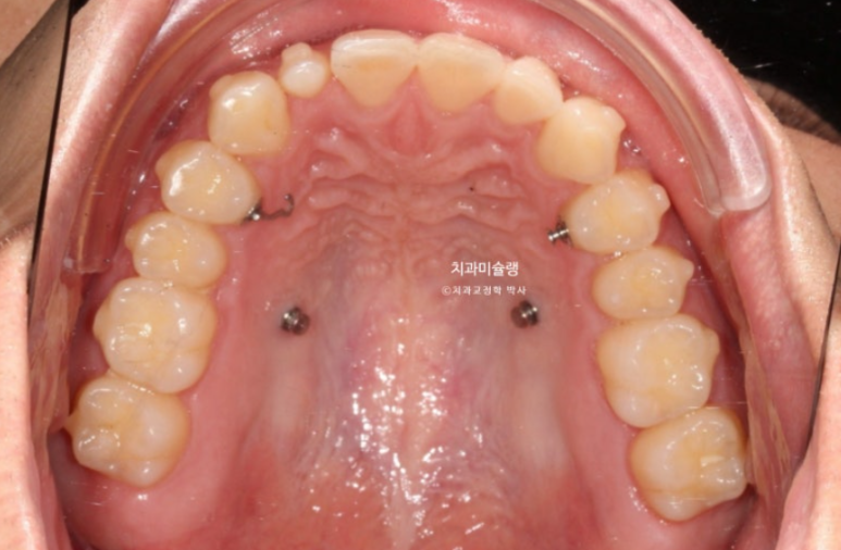
상악 어금니들을 뒤로 보내기 위해 악간고무줄, 교정용나사 등이 이용됩니다.
25년 5월, 1년 2개월간 58개 장치를 모두 낀 후 모습입니다.

25.05
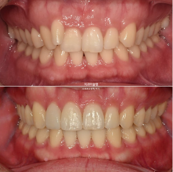
아래 앞니가 3개라면, 위 앞니 중심선이 아래 앞니 중 가운데 치아의 중앙에 와야 중심선이 맞는 셈입니다.

왜소치 덧니는 제자리로 잘 들어왔고 배열은 좋습니다.
약간의 미진한 부분들을 좀 더 개선하고자 추가장치 제작에 들어갔고 25년 7월부터 10월까지, 추가장치 13개를 모두 낀 후 치료를 마무리 했습니다.

25.10

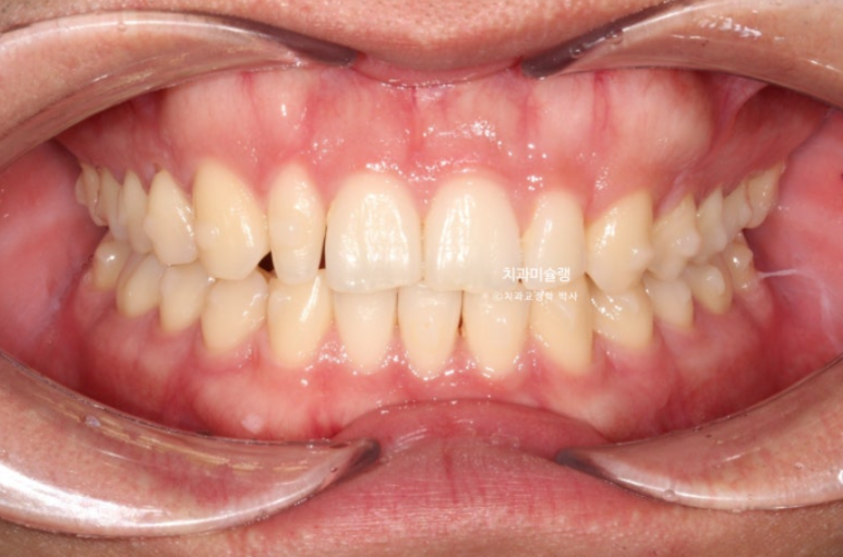
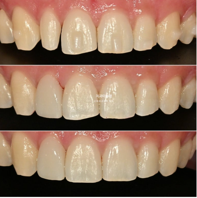
이제 왜소치 무삭제 라미네이트를 할 차례입니다.
사선으로 마모된 앞니도 레진으로 끝단 모양을 회복하기로 합니다.

25.10~25.11
차례대로 교정 완료 직후 - 무삭제 라미네이트 부착 후 - 앞니 끝단 레진 치료 후 사진 입니다.
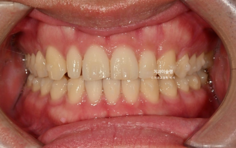
25년 11월 라미네이트 레진 등 보철을 포함한 모든 치료를 마무리 했습니다.

25.11
중심선은 잘 맞으며

어금니 교합도 좋습니다.
총 치료기간은 보철 기간까지 1년 8개월 입니다.
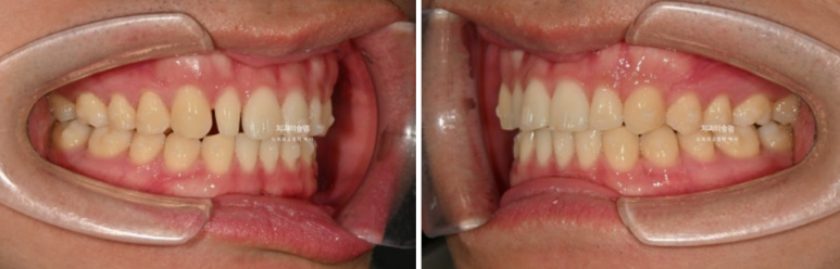
이제 전 후 비교 보겠습니다.

24.03~25.11


24.03~25.11
아래 앞니 블랙트라이앵글은 치축의 개선과 소량의 치간삭제로 사이즈를 줄였습니다.

24.03~25.11
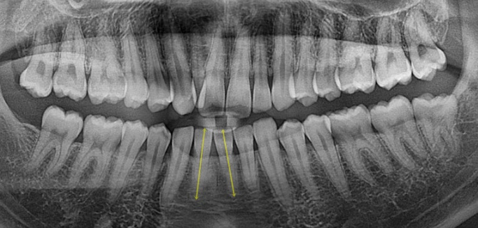
치료 전 후 파노라마 엑스레이를 보면 블랙트라이앵글의 원흉이었던 아래 앞니 치축 기울어짐이 해소된게 보입니다.
위 앞니 치축도 평행해졌습니다.
<인비절라인으로 뿌리 이동은 안된다.>는 잘못된 말입니다.
1년 8개월간의 치료 기간동안 치근흡수는 없습니다.

24.03~25.11

24.03~25.11
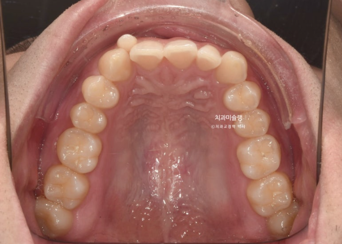
어금니 교합은 기존 2급에서 1급 교합관계를 달성
물샐틈 없는 교합은 교정치료의 기본입니다.

24.03~25.11
왜소치 덧니쪽으로 쏠려있던 앞니 중심선이 비로소 중간으로 맞춰졌습니다.

24.03~25.11
옥니의 개선으로 미소가 환해졌습니다.

24.03~25.11
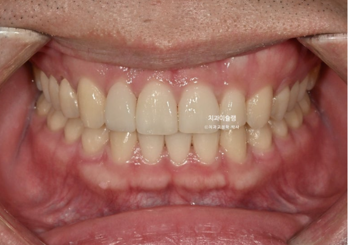
치근 평행도는 좋습니다.
입매변화는 없이 잘 유지가 되었고 위 앞니 각도의 옥니 개선이 눈에 띕니다.
왜소치 또는 선천적 결손치료 교정이 필요한 분들에게 이 포스팅이 도움이 되길 바랍니다.

