아카이브 요약
이 페이지의 역할
연세바로치과의원의 네이버 블로그 원문을 보존한 아카이브 페이지입니다. 치아교정 카테고리의 비수술 비발치 주걱턱 절충치료 클리피씨 개방교합 반대교합 치료 글을 통해 병원의 한국어 정보 제공 방식과 진료 관련 안내 톤을 확인할 수 있습니다.
원문 검증
필요하면 원문 블로그와 병원 프로필로 바로 이동해 문맥을 다시 확인할 수 있습니다.
출처 아카이브 열기아카이브된 블로그 글
연세바로치과의원 · 치과미슐랭
안녕하세요 저희는 압구정에 위치한 인비절라인 교정 클리피씨 교정 모두 많이 하고 있는 치과입니다 오늘은 골격성 3급 부정교합 즉 주걱턱 교정에 대한 이야기를 해보겠습니다 비수술 주걱턱 교정은 인비절라인으로도 잘 되어 소개 많이 해드렸었죠. 오늘은 클리피씨로 치료한 증례입니다. 23.06~26.01 양악수술이 필요할...
게시일
2026년 1월 30일
원문 기준으로 확인된 발행일입니다.
카테고리
치아교정
원문 블로그 카테고리를 정리해 함께 표시합니다.
이미지 수
23
현재 아카이브에 연결된 이미지 수입니다.
아카이브 요약
연세바로치과의원의 네이버 블로그 원문을 보존한 아카이브 페이지입니다. 치아교정 카테고리의 비수술 비발치 주걱턱 절충치료 클리피씨 개방교합 반대교합 치료 글을 통해 병원의 한국어 정보 제공 방식과 진료 관련 안내 톤을 확인할 수 있습니다.
원문 검증
필요하면 원문 블로그와 병원 프로필로 바로 이동해 문맥을 다시 확인할 수 있습니다.
출처 아카이브 열기안녕하세요
저희는 압구정에 위치한 인비절라인 교정 클리피씨 교정 모두 많이 하고 있는 치과입니다
오늘은 골격성 3급 부정교합 즉 주걱턱 교정에 대한 이야기를 해보겠습니다
비수술 주걱턱 교정은 인비절라인으로도 잘 되어 소개 많이 해드렸었죠.
오늘은 클리피씨로 치료한 증례입니다.

23.06~26.01
양악수술이 필요할 정도의 심한 주걱턱에서 양악수술 없이 교정만 했을 때 과연 어느정도 결과가 나오는 지 보겠습니다.

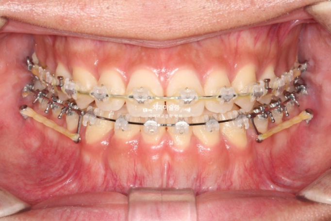
23.06
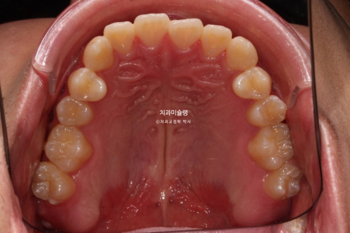
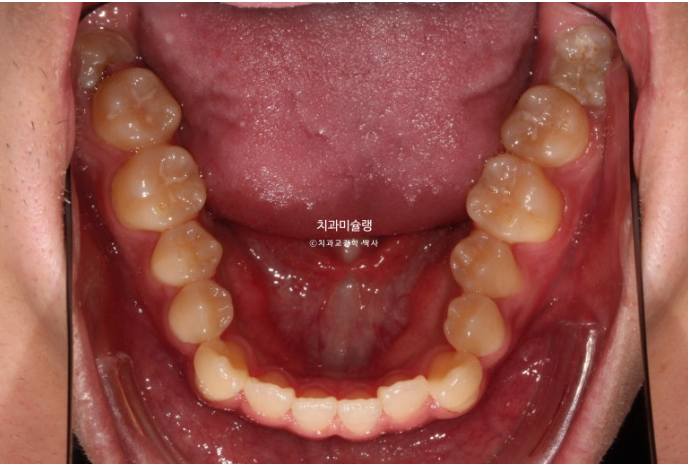
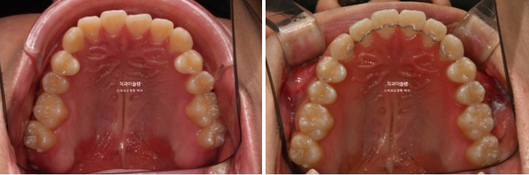
23년 교정치료를 위해 내원한 환자분입니다.
중심선이 어긋나있고 앞니 개방교합이 보입니다.

주걱턱으로 인해 앞니가 거꾸로 물리는 반대교합이 있습니다.
어금니 교합관계도 심한 3급입니다.


골격분석결과 양악수술이 필요한 상황이지만 환자분은 양악수술을 원치 않으셨습니다.
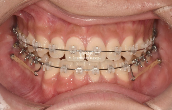
치료계획은 아래 사랑니 2개를 발치하고 사랑니 공간으로 치열을 뒤로 미는 것 입니다.
클리피씨 선택 하고 치료에 들어갔습니다.

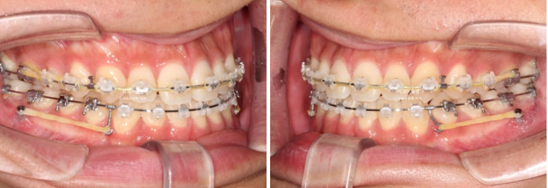
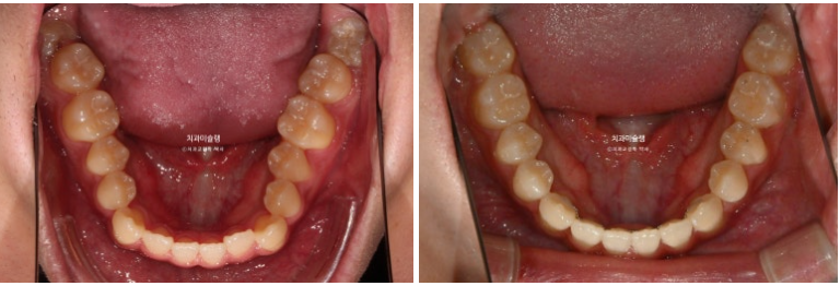
24.06
치료시작 1년째 모습입니다.
이때까지는 월 1회 꾸준히 내원했으나 이 시점 군입대를 하게 되셨습니다.

입대 후 3-4개월에 한번씩 내원하면서 치료를 이어갔습니다.

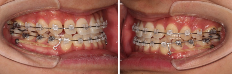
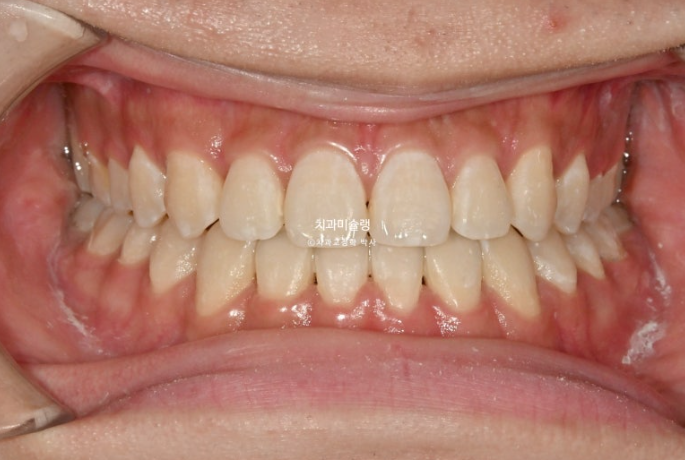
25.08

드디어 25년 말 치료를 마무리 했습니다.

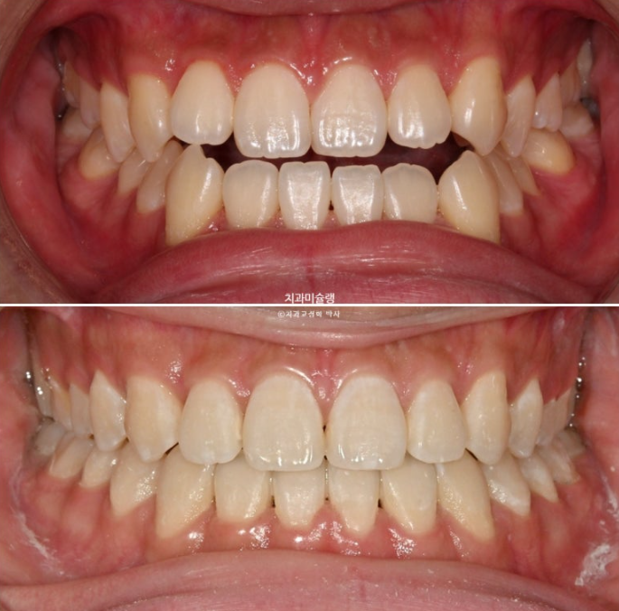
26.01
중심선은 정확히 맞으며 개방교합은 충분히 해소되었습니다.

반대교합은 개선되었고 교합관계는 1급을 달성
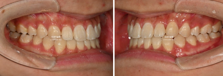
이제 전후 비교 보겠습니다.
치료 도중 군입대를 하면서 치료가 지연되어 토탈 기간은 2년 6개월 걸렸습니다.

23.06~26.01


23.06~26.01

23.06~26.01
이제 안모 비교 보겠습니다.

23.06~26.01
교정 치료 후 더 활짝 웃게 됩니다.

23.06~26.01
사진 찍을 때 굳이 더 활짝 웃어달라 하지 않아도 환자분 스스로 더 활짝 웃게 된다는 사실!

23.06~26.01
교정만으로 턱이 들어갈 순 없으나 아랫입술은 들어갈 수 있습니다.

23.06~26.01
아랫입술이 들어가면서 턱라인이 예뻐졌습니다.

23.06~26.01
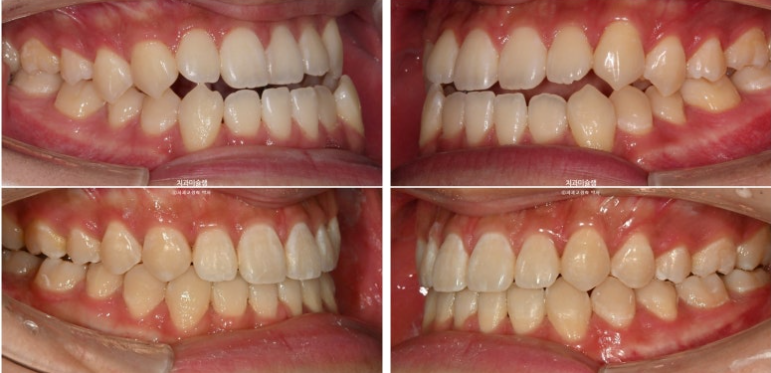
아래 앞니는 아래턱뼈 치조골 한계가 허용하는 극한까지 뒤로 들어갔습니다.

23.06~26.01
아래 어금니들은 가용한 사랑니 공간을 최대한 이용하며 뒤로 들어갔습니다.
2년 반동안 치근흡수도 없고 치근평행도는 좋습니다.
양악수술이 필요하지만 수술이 무서운 분들에게 이 포스팅이 도움이 되었으면 좋겠습니다.

