아카이브 요약
이 페이지의 역할
연세바로치과의원의 네이버 블로그 원문을 보존한 아카이브 페이지입니다. 인비절라인 카테고리의 유학생 치아교정 해외거주 한국에서 치아교정? 글을 통해 병원의 한국어 정보 제공 방식과 진료 관련 안내 톤을 확인할 수 있습니다.
원문 검증
필요하면 원문 블로그와 병원 프로필로 바로 이동해 문맥을 다시 확인할 수 있습니다.
출처 아카이브 열기아카이브된 블로그 글
연세바로치과의원 · 치과미슐랭
안녕하세요 압구정 교정치과입니다. 유학생들은 교정을 어떠게 할까요? 인비절라인 교정으로 여름방학과 겨울방학을 이용해서 합니다. 운 좋은 경우 봄방학때 잠깐 들어오기도 합니다. 24.07~25.12 오늘은 여름과 겨울 기간만 한국에 거주하는 유학생의 인비절라인 교정 이야기를 해보겠습니다. 24.07 24년 여름방학을 이용해...
게시일
2026년 2월 2일
원문 기준으로 확인된 발행일입니다.
카테고리
인비절라인
원문 블로그 카테고리를 정리해 함께 표시합니다.
이미지 수
25
현재 아카이브에 연결된 이미지 수입니다.
아카이브 요약
연세바로치과의원의 네이버 블로그 원문을 보존한 아카이브 페이지입니다. 인비절라인 카테고리의 유학생 치아교정 해외거주 한국에서 치아교정? 글을 통해 병원의 한국어 정보 제공 방식과 진료 관련 안내 톤을 확인할 수 있습니다.
원문 검증
필요하면 원문 블로그와 병원 프로필로 바로 이동해 문맥을 다시 확인할 수 있습니다.
출처 아카이브 열기안녕하세요
압구정 교정치과입니다.
유학생들은 교정을 어떠게 할까요?
인비절라인 교정으로 여름방학과 겨울방학을 이용해서 합니다.
운 좋은 경우 봄방학때 잠깐 들어오기도 합니다.

24.07~25.12
오늘은 여름과 겨울 기간만 한국에 거주하는 유학생의 인비절라인 교정 이야기를 해보겠습니다.

24.07
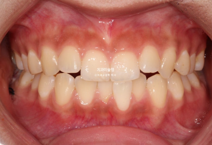
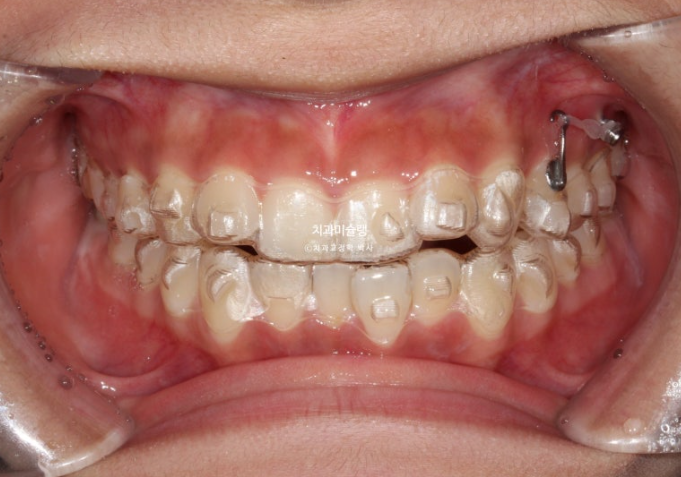
24년 여름방학을 이용해서 교정상담을 온 유학생 환자분입니다.
측절치의 개방교합, 아래 앞니 덧니 등 보입니다.

우측 교합관계는 1급에 가깝지만

좌측 교합관계는 2급입니다.
위 아래 치아들이 일대일로 물리면 2급 또는 3급 교합관계 입니다.
송곳니에서 큰어금니까지 절반씩 엇갈려 물리는 교합이 1급 교합입니다.


사랑니를 빼고 사랑니 공간으로 어금니를 후방이동 시켜 교합관계를 맞추고 덧니 해소할 공간을 얻기로 합니다.
돌출이나 뻗침은 없어서 비발치로 진행하는 것 입니다.
인비절라인 컴프레헨시브 프로그램으로 교정치료에 들어갔습니다.
첫세트 장치는 총 48개가 나왔습니다.
학기 복귀 전 인비절라인 첫 장치를 껴보시고 약 1주일의 적응기간을 거친 후 8월말에 출국합니다.
가을학기 동안 장치를 열심히 껴준 후 12월 겨울방학때 내원했습니다.

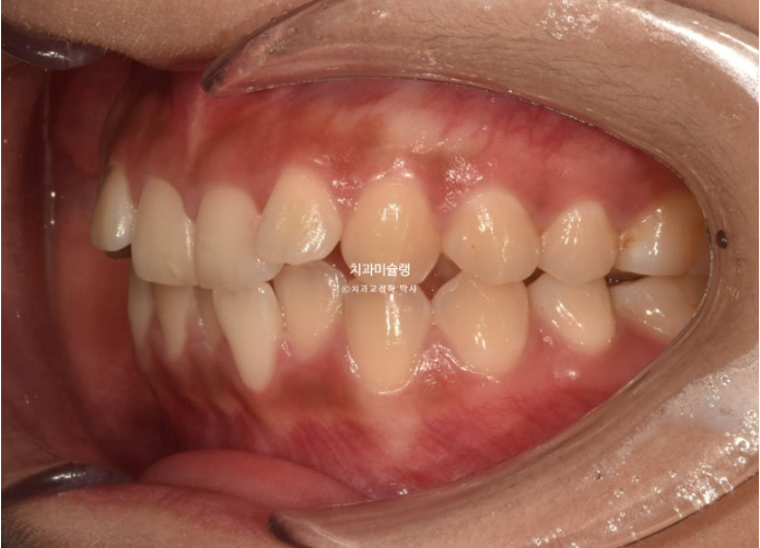
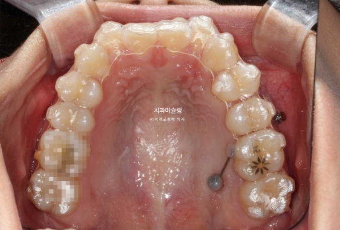
24.12
겨울방학때 입국하여 내원했을 당시 모습입니다.

어금니 후방이동을 위해 교정용 나사 미니스크류가 안팎으로 심겨져있습니다.
겨울 방학은 보통 짧습니다.
약 5개월치의 장치를 추가로 챙겨 출국 후 여름방학때 다시 내원한 모습입니다.

25.07
치료시작 11개월 차, 첫 세트의 48개 장치를 모두 낀 후 모습입니다.
중심선이 아직 약간 어긋나 있지만 덧니와 개방교합은 개선되었습니다.

좌측의 2급 교합이 아직 남아있습니다.
이 부분을 개선하고자 추가장치 제작에 들어갑니다.


재제작 추가장치 갯수는 10개입니다.
다시 약 4개월치 장치를 챙겨서 출국, 가을학기동안 열심히 껴줍니다.
그리고 12월 겨울방학에 입국하여 치료를 종료했습니다.

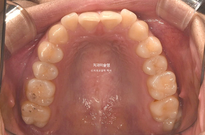
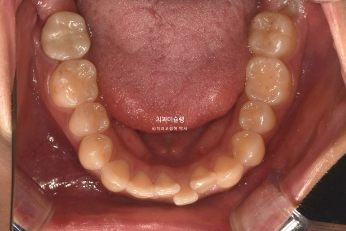
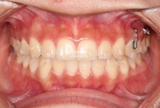
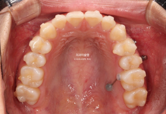
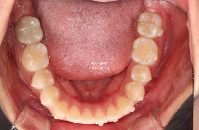
25.12
중심선은 맞아졌고

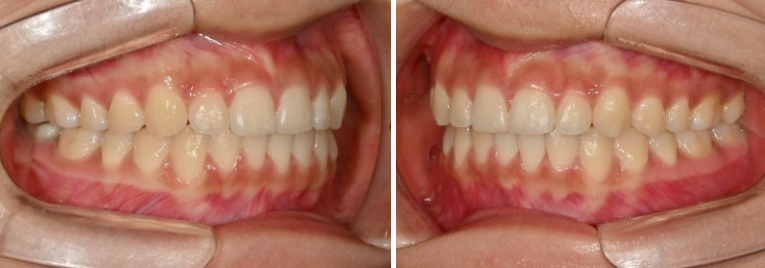
어금니 교합은 좌우 모두 1급 교합관계를 달성
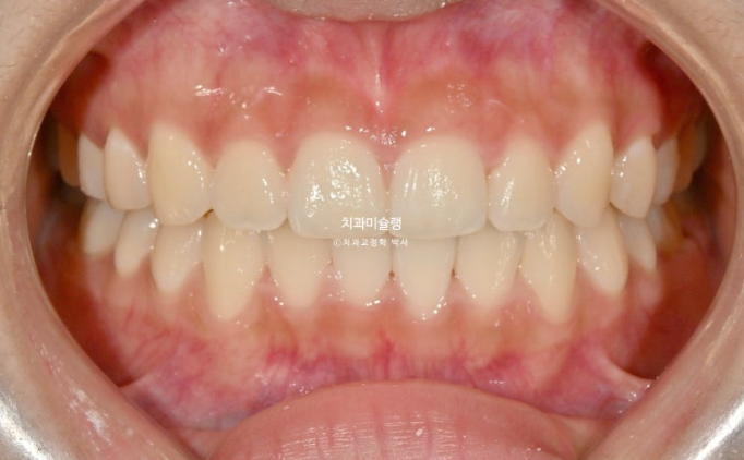
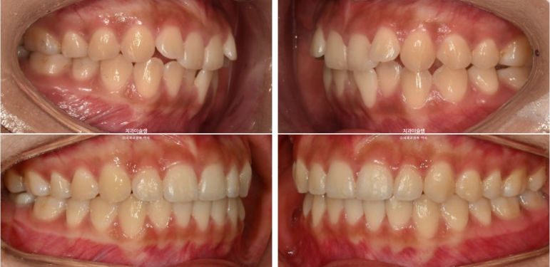
이제 전 후 비교 보겠습니다.
총 치료기간은 1년 4개월 입니다.

24.07~25.12

해외에서도 장치를 잘 껴주어 결과가 좋습니다.

24.07~25.12

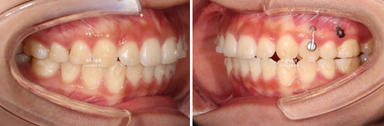
이제 안모 비교 보겠습니다.
교정 상담 준비부터 마무리까지 총 내원횟수가 8번이 안됩니다.

2024.07~2025.12

2024.07~2025.12

2024.07~2025.12
예쁜 입매는 잘 유지되었습니다.

2024.07~2025.12
어금니들은 사랑니 공간으로 후방이동 되었고 치근흡수는 없고 치근평행도는 좋습니다.

2024.07~2025.12
치료결과를 보면 이렇습니다.
앞니 위치와 각도, 입술 위치 모두 초진과 그대로 유지되었습니다.
유학생 신분으로 치아교정이 가능할까?
라고 생각하신 분들에게 이 포스팅이 도움이 되길 바랍니다.

