아카이브 요약
이 페이지의 역할
연세바로치과의원의 네이버 블로그 원문을 보존한 아카이브 페이지입니다. 치아교정 카테고리의 거미스마일 과개교합 교정 잇몸돌출 잇몸 비대칭 글을 통해 병원의 한국어 정보 제공 방식과 진료 관련 안내 톤을 확인할 수 있습니다.
원문 검증
필요하면 원문 블로그와 병원 프로필로 바로 이동해 문맥을 다시 확인할 수 있습니다.
출처 아카이브 열기아카이브된 블로그 글
연세바로치과의원 · 치과미슐랭
안녕하세요 압구정 교정치과입니다. 오늘은 옥니 거미스마일 과개교합 치료 후기입니다. 앞니가 뒤로 쓰러져 있는 상태가 옥니 입니다. 옥니의 특징으로는 앞니는 뒤로 쓰러져 있지만 앞니 뿌리가 잇몸과 함께 반대로 튀어나와 마치 잇몸돌출 처럼 보인다는 것 입니다. 오늘은 옥니 교정 거미스마일 교정 증례를 보여드리면서 교정으로...
게시일
2026년 2월 4일
원문 기준으로 확인된 발행일입니다.
카테고리
치아교정
원문 블로그 카테고리를 정리해 함께 표시합니다.
이미지 수
22
현재 아카이브에 연결된 이미지 수입니다.
아카이브 요약
연세바로치과의원의 네이버 블로그 원문을 보존한 아카이브 페이지입니다. 치아교정 카테고리의 거미스마일 과개교합 교정 잇몸돌출 잇몸 비대칭 글을 통해 병원의 한국어 정보 제공 방식과 진료 관련 안내 톤을 확인할 수 있습니다.
원문 검증
필요하면 원문 블로그와 병원 프로필로 바로 이동해 문맥을 다시 확인할 수 있습니다.
출처 아카이브 열기안녕하세요
압구정 교정치과입니다.
오늘은 옥니 거미스마일 과개교합 치료 후기입니다.
앞니가 뒤로 쓰러져 있는 상태가 옥니 입니다.
옥니의 특징으로는 앞니는 뒤로 쓰러져 있지만 앞니 뿌리가 잇몸과 함께 반대로 튀어나와 마치 잇몸돌출 처럼 보인다는 것 입니다.
오늘은 옥니 교정 거미스마일 교정 증례를 보여드리면서 교정으로 잇몸미소 거미스마일을 어떻게 고치는 지 부터 잇몸성형의 효과까지 보여드리겠습니다.

옥니 교정 치료는 방법이 다양합니다.
인비절라인 클리피씨 무삭제 라미네이트 등이 있습니다.
어떤 방법으로 교정하느냐는 환자분의 니즈와 잇몸과 치아 상태에 따라 다릅니다.
오늘 소개할 케이스는 잇몸미소 즉 거미스마일과 옥니가 혼재된 증례를 보면서 소개하겠습니다.

23.04
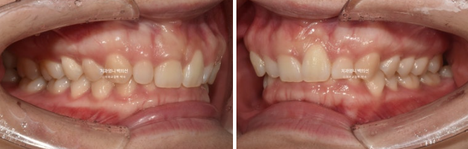
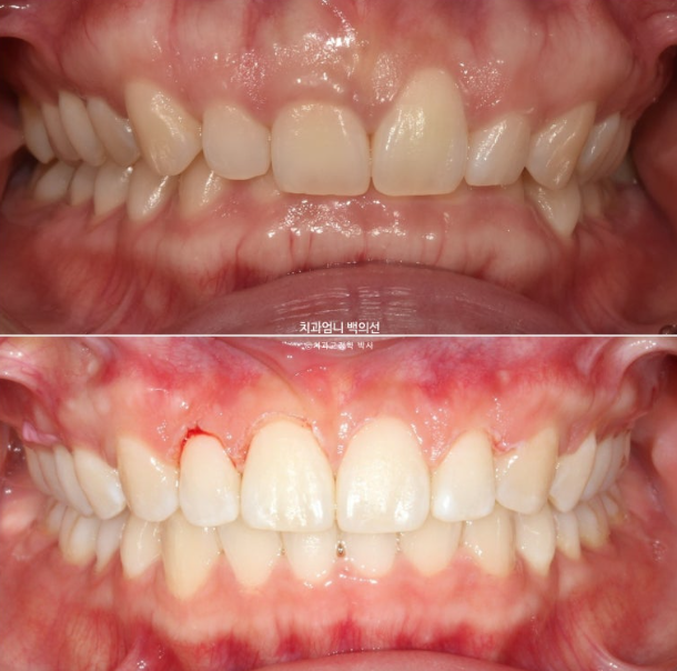
23년 4월에 거미스마일 옥니 과개교합 개선을 위해 내원하신 환자분입니다.
윗니에 덮여 아랫니가 전혀 보이지 않는 심한 과개교합 입니다.
좌우 잇몸의 높이가 다른 잇몸 비대칭도 보입니다.

23.04
앞니가 뒤로 쓰러진 옥니이고

23.04
앞니가 옥니로 뒤로 쓰러져 있으면 앞니 뿌리 잇몸이 상대적으로 튀어나와 보이게 되며 잇몸돌출처럼 보이게 됩니다.
입술 돌출은 없어서 사랑니를 빼고 미니스크류를 심어서 사랑니 공간으로 어금니를 뒤로 밀어내는 비발치 치료계획을 세웠습니다.
치료 목표는 앞니 각도를 개선하며 함입시켜 거미스마일과 과개교합을 해결하는 것, 초진에서 보이는 잇몸 비대칭은 교정 후 잇몸성형이 필수인 점도 설명 드렸고 클리피씨 교정으로 치료 시작했습니다.

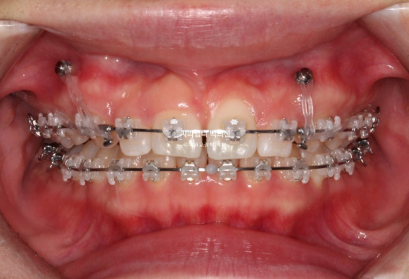
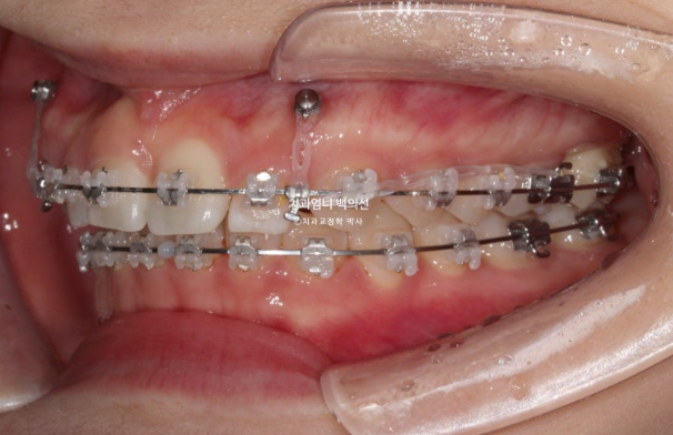
24.02

24.02
미니스크류를 사용했고

24.02
과개교합 해소를 위해 앞니에 바이트블럭도 붙였습니다.
그렇게 치료를 이어가다가 25년 1월에 치료를 마무리 했습니다.
총 치료기간은 1년 10개월 입니다.

25.01
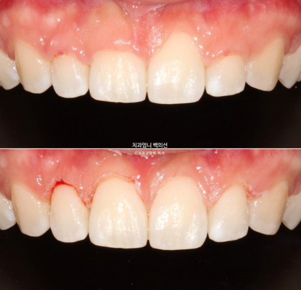
과개교합은 개선이 되었지만 잇몸 비대칭은 그대로입니다.
이 부분은 해결하기 위해 잇몸성형을 진행했습니다.

25.01
잇몸성형 직후 사진입니다.
잇몸이 부어있던 곳에서만 피가 조금 나고 다른 곳은 출혈이 없습니다.
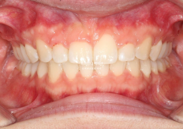
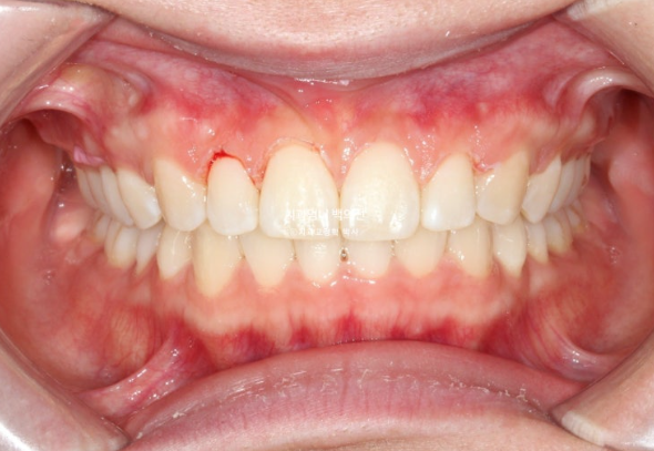
치료 후 입안사진 보겠습니다.

25.01

25.02
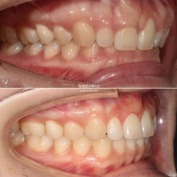
좋은 교합입니다.

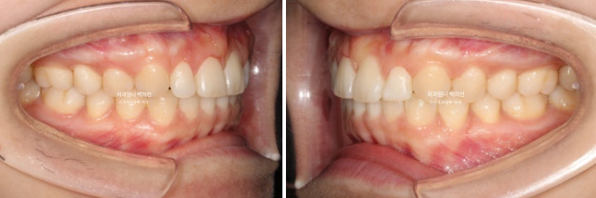
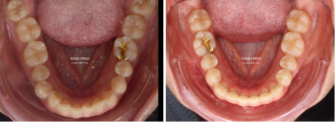
23.04~25.02

23.04~25.02
유지장치 까지 붙은 모습입니다.

23.04~25.02
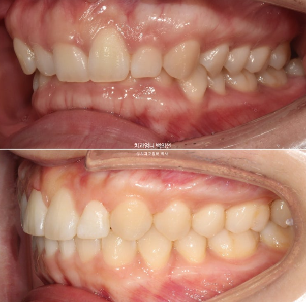
잇몸 라인의 대칭성은 미소 심미에서 중요합니다.

23.04~25.02
위 앞니 뿌리쪽 잇몸이 튀어나온 부분이 매끈해졌습니다

23.04~25.02
옥니 개선과 함께 뿌리가 뒤로 들어가면, 뿌리를 덮는 잇몸도 뒤로 들어갑니다.

23.04~25.02
이제 안모 전후 비교 보겠습니다.

23.04~25.02
초진 시 덜 웃는 바람에 거미스마일이 잘 표현되지 않았습니다.
교정 후 거미스마일은 해소가 잘 되었습니다.

23.04~25.02
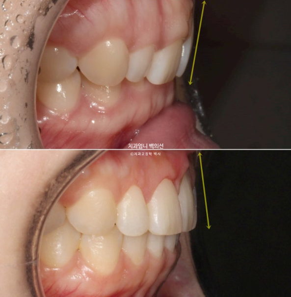
측모에서는 뒤로 쓰러진 옥니 각도 개선이 잘 보입니다.

23.04~25.02
활짝 웃으면 옥니 개선도 잘 보입니다.
옥니와 잇몸돌출로 고민중이신 분들에게 이 포스팅이 도움이 되시길 바랍니다.

