아카이브 요약
이 페이지의 역할
연세바로치과의원의 네이버 블로그 원문을 보존한 아카이브 페이지입니다. 인비절라인 카테고리의 돌출입 교정 인비절라인 발치 교정 후기 글을 통해 병원의 한국어 정보 제공 방식과 진료 관련 안내 톤을 확인할 수 있습니다.
원문 검증
필요하면 원문 블로그와 병원 프로필로 바로 이동해 문맥을 다시 확인할 수 있습니다.
출처 아카이브 열기게시일
2026년 2월 6일
원문 기준으로 확인된 발행일입니다.
카테고리
인비절라인
원문 블로그 카테고리를 정리해 함께 표시합니다.
이미지 수
25
현재 아카이브에 연결된 이미지 수입니다.
아카이브 요약
연세바로치과의원의 네이버 블로그 원문을 보존한 아카이브 페이지입니다. 인비절라인 카테고리의 돌출입 교정 인비절라인 발치 교정 후기 글을 통해 병원의 한국어 정보 제공 방식과 진료 관련 안내 톤을 확인할 수 있습니다.
원문 검증
필요하면 원문 블로그와 병원 프로필로 바로 이동해 문맥을 다시 확인할 수 있습니다.
출처 아카이브 열기
안녕하세요
오늘은 인비절라인 발치 교정 이야기를 해드리겠습니다.
인비절라인으로 발치교정은 절대 안됩니다. 라고 말하는 분들이 계신가봐요
인비절라인으로 발치교정 불가능하다고 생각하시는데 아닙니다.
편견을 깨드리기 위해서 포스팅 해보겠습니다.

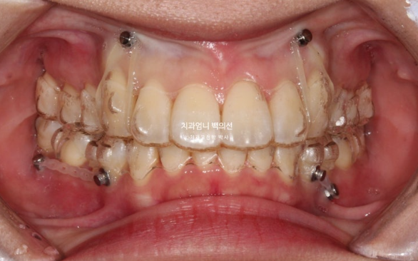
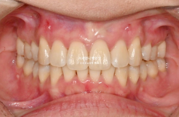
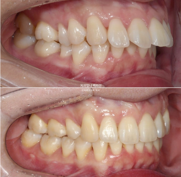
돌출입 교정을 위해 내원하신 분입니다.
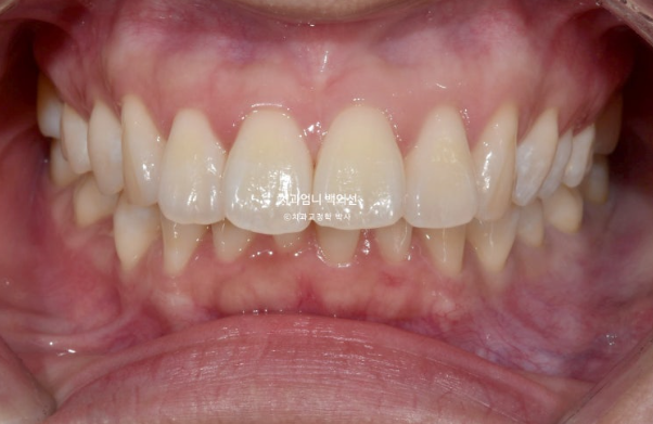
정면을 보시면 윗니가 아랫니를 많이 덮고 있습니다.
아랫니가 거의 보이지 않습니다.
이런 부정교합을 과개교합 이라고 합니다.

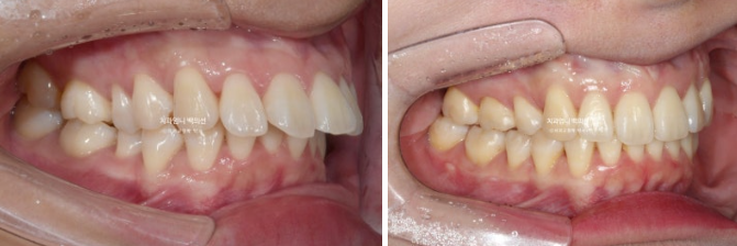
23.02

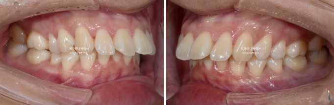
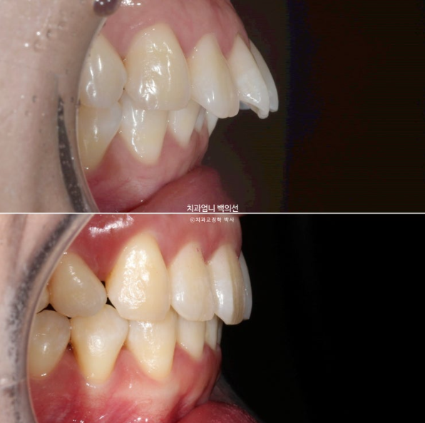
윗니도 많이 뻗쳐 있습니다.


배열도 좋지 않아서 발치교정 권유드렸습니다.
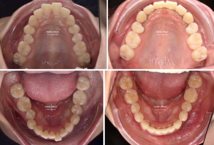
위 작은어금니 2개 발치 아래는 매복사랑니 발치 후 작은 어금니 발치 없이 미니스크류를 심고 후방이동 하는 계획입니다.
교정장치는 인비절라인이며 23년 3월에 장치를 끼기 시작했습니다.

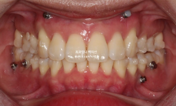
23.11

23.11
치료시작 8개월차 발치공간으로 앞니가 이동하면서 원래 깊었던 앞니 교합이 점점 더 깊어지는 것이 관찰됩니다.
이 부분 해결을 위해서는 원래 계획에 없었지만 앞니에 미니스크류 2개를 추가로 식립하고 고무줄을 걸기 시작합니다.
중간중간 장치를 잘 못 낀 기간이 있어서 장치가 잘 맞지 않아 예전장치로 돌아가 낀 적도 있습니다.
또 어태치먼트도 장치랑 잘 맞지 않아 어태치먼트도 다시 붙이기도 했습니다
재제작은 할 때마다 새 장치를 기다리는 시간이 한 달 이상입니다.
그 시간이 아까우니 가능한 최소화 하는 것이 좋습니다.
인비절라인이 잘 안 맞을때마다 재제작을 하면 교정기간이 너무 길어집니다.
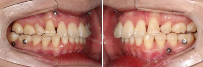
23년 3월부터 24년 5월까지 1년 2개월간 52개의 장치를 낀 후 재제작 당시의 모습 보여드리겠습니다.

과개교합은 잘 개선이 되었습니다.
미니스크류와 고무줄의 조합은 인비절라인 발치교정이 성공으로 가는 노하우 입니다.
처음부터 계획하지는 않지만 적절하게 중간에 개입하여 부적절한 치아이동을 컨트롤 하는 중요한 도구입니다.

발치공간이 아직 남아있고 앞니 각도의 개선이 더 필요합니다.


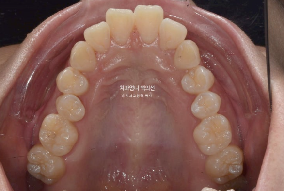
아래 어금니들은 사랑니 공간으로 잘 이동했습니다.
한달간 추가장치 제작기간을 기다려 24년 6월부터 두번째 세트의 장치를 끼기 시작했습니다.
25년 1월까지 7개월간 추가장치를 끼고 치료가 마무리 되었습니다.

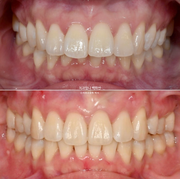
25.01
개선된 과개교합과 일치된 중심선

앞니 뻗침도 많이 좋아졌습니다.

23.02-25.01
전 후 비교입니다.
총 치료기간은 1년 11개월이고 실제 장치를 낀 기간은 1년 9개월입니다.



윗니뻗침이 심하면 아랫입술이 윗니 뒤에 걸려 입을 다물었을 때 윗니 끝단이 살짝 보입니다.
입술이 편하게 안 다물리는 상태이고 이를 입술부전증 이라고 합니다.
전 후 안모 사진 보겠습니다.

23.02~25.01
발치교정에서 많이 걱정하시는 부분이 팔자주름, 인중 길어짐, 입술 말려들어감 등입니다.
이런게 보이지 않습니다.

23.02~25.01
입술 돌출이 해소가 되고 입 다무는 것이 편해졌습니다.

23.02~25.01
돌출감도 해소가 되었고 입술 볼륨도 잘 유지가 되었습니다.
발치교정 부작용 합죽한 입매 요즘 누구도 좋아하지 않죠
이런 부작용은 치료계획 단계부터 고려해야합니다.

23.02~25.01
개선된 앞니 각도가 돋보이고 깔끔한 인상을 줍니다.

23.02~25.01
잘 유지된 스마일라인과 적절한 입동굴은 미소 심미에서 중요한 부분입니다.
1년 11개월의 변화 소개드렸습니다.
인비절라인 교정 중인데 장치가 안 맞는다?
이런것도 걱정마세요
적절한 개입과 정확한 판단이 있다면 인비절라인 발치교정 가능합니다.
1회의 재제작으로 2년 안되는 기간에 좋은 결과를 얻은 케이스였습니다.
가까운 교정치과에서 상담 받아보세요

