아카이브 요약
이 페이지의 역할
연세바로치과의원의 네이버 블로그 원문을 보존한 아카이브 페이지입니다. 인비절라인 카테고리의 돌출입 덧니 발치 교정 인비절라인 교정 후기 글을 통해 병원의 한국어 정보 제공 방식과 진료 관련 안내 톤을 확인할 수 있습니다.
원문 검증
필요하면 원문 블로그와 병원 프로필로 바로 이동해 문맥을 다시 확인할 수 있습니다.
출처 아카이브 열기아카이브된 블로그 글
연세바로치과의원 · 치과미슐랭
안녕하세요 압구정 교정치과입니다. 저희 치과에서 인비절라인으로 발치교정을 마친 환자분들의 평균 치료시간을 보면 약 2년 6개월 입니다. 물론 나이, 부정교합의 정도, 장치 착용시간에 따라 편차는 있습니다. 2022.11~2026.01 오늘은 골격적 부조화가 심한 케이스에서 장치 협조도 마저 좋았다 말았다 하는 상황에서 장...
게시일
2026년 2월 9일
원문 기준으로 확인된 발행일입니다.
카테고리
인비절라인
원문 블로그 카테고리를 정리해 함께 표시합니다.
이미지 수
33
현재 아카이브에 연결된 이미지 수입니다.
아카이브 요약
연세바로치과의원의 네이버 블로그 원문을 보존한 아카이브 페이지입니다. 인비절라인 카테고리의 돌출입 덧니 발치 교정 인비절라인 교정 후기 글을 통해 병원의 한국어 정보 제공 방식과 진료 관련 안내 톤을 확인할 수 있습니다.
원문 검증
필요하면 원문 블로그와 병원 프로필로 바로 이동해 문맥을 다시 확인할 수 있습니다.
출처 아카이브 열기안녕하세요
압구정 교정치과입니다.
저희 치과에서 인비절라인으로 발치교정을 마친 환자분들의 평균 치료시간을 보면 약 2년 6개월 입니다.
물론 나이, 부정교합의 정도, 장치 착용시간에 따라 편차는 있습니다.

2022.11~2026.01
오늘은 골격적 부조화가 심한 케이스에서 장치 협조도 마저 좋았다 말았다 하는 상황에서 장장 3년, 재제작 3회에 걸쳐 이어간 인비절라인 발치교정 이야기를 해보겠습니다.

2022.11
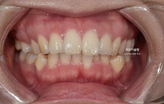
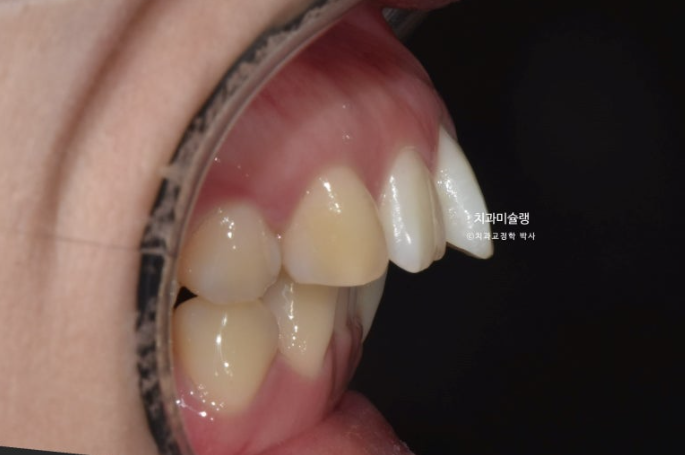
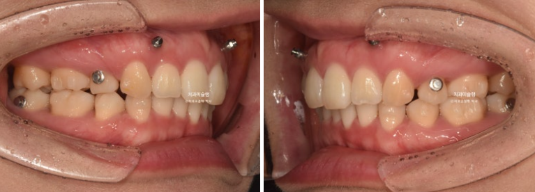
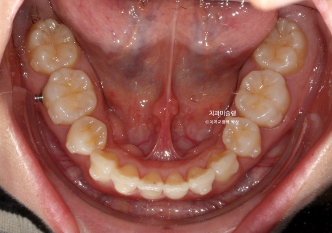
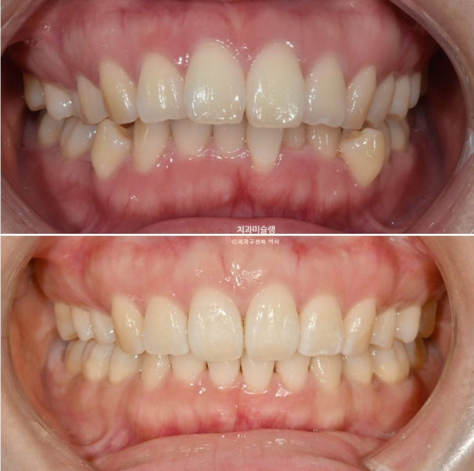
돌출입 교정을 위해 멀리 지방에서 오신 환자분입니다.

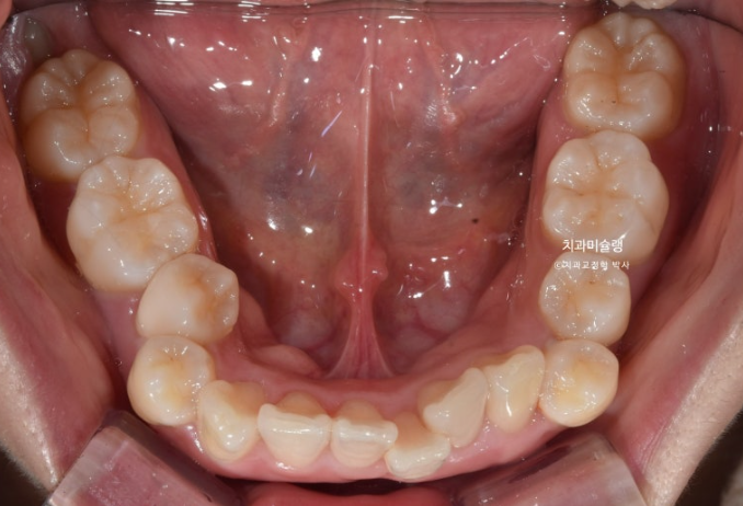
윗니 돌출이 심합니다.
아랫니 기준으로 약 1센치가 더 튀어나와 있습니다.
위 아래 앞니 간격은 1-2mm 가 정상입니다.

아래 치열은 덧니가 심한 상황입니다.


골격분석 결과 심한 상악골 전방 돌출을 동반한 골격성 2급 부정교합 입니다.

상악골 과잉에 의한 돌출은 돌출입 교정 중에서도 난이도가 높습니다.
상악과 하악의 골격 부조화가 심해 아래턱이 상대적으로 뒤로 밀려있는 상태여서 위 앞니 각도를 이상적으로 유지하기가 쉽지 않습니다.
입이 안 다물어질 정도의 윗니 돌출과 심한 아래 덧니를 해결하려면 작은어금니 4개 발치는 불가피합니다.
치료목표는 아래 앞니가 현 상태에서 더 이상 뒤로 들어가지 않게 유지하고
윗니는 발치공간을 이용하여 최대한 뒤로 밀어 위 아래 앞니 간격을 줄이는 것 입니다.
인비절라인 교정 선택하셨고 치료 시작합니다.

23.06

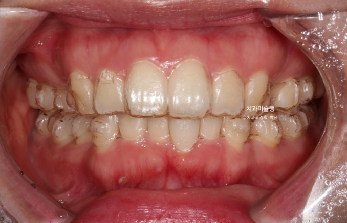
24년 5월까지 1년 6개월간 72개 장치를 모두 낀 후 모습입니다.

24.05
중심선은 잘 맞으며 과개교합을 개선하기 위한 교정용 나사를 심고 진행했습니다.

상악 발치공간이 양측으로 각각 1mm씩 남은 상태라서 재제작에 들어갔습니다.


발치공간이 소량 남은 것 이외에 치아 뿌리 평행도도 양호하고 어금니 쓰러짐도 없이 잘 진행된 편이라 이때까지만 해도 토탈 치료기간이 토탈 2년을 넘지 않을 것으로 예상했습니다.
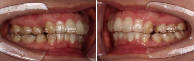
약 한달간의 추가장치 제작기간을 기다려 24년 6월부터 10월까지 23개 추가장치를 모두 낀 후 모습입니다.

24.10
추가장치 치료기간 동안 환자분은 예전처럼 열심히 끼지는 못했고 고무줄도 하루종일 껴주기를 당부드렸지만 개인사정으로 인해 잘때만 착용했습니다.
그래서 6개월이나 추가장치를 꼈지만 과개교합이 그대로 남아있고

발치공간이 놀랍도록 그대로 남아있는 모습입니다.
물론 뺏다꼈다 하는 장치를 하루 20시간 이상 끼는 것이 쉬운일이 아님을 압니다.
그래도 늘 환자분들에게 당부드리는 바는 <인비절라인은 짧고 굵게 끝내는 것>이 좋다. 라고 말씀드리죠
어쩔수없이 다시 한 번 재제작에 들어갔고 24년 11월부터 25년 6월까지 17개 추가장치를 모두 낀 후 모습입니다.

2506
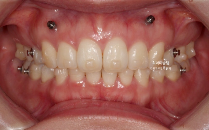
중심선은 정확히 맞아졌습니다.

발치공간도 거의 없어졌습니다.

그러나 발치한 부분에 치실이 헐겁게 들어갈 정도의 미세한 공간이 남아 3번째 재제작을 하기로 합니다.

이 당시도 개인사정으로 많이 바쁘셨습니다.
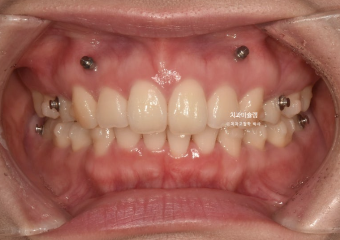
25년 7월부터 26년 1월까지 15개 추가장치를 겨우겨우 모두 낀 후 치료를 마무리 했습니다.

26.01

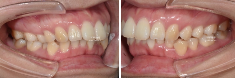
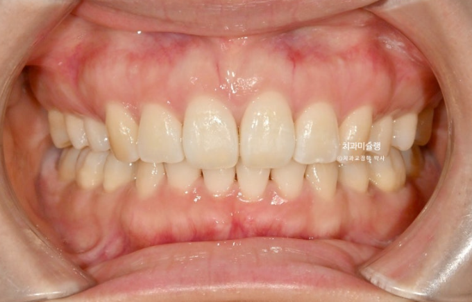
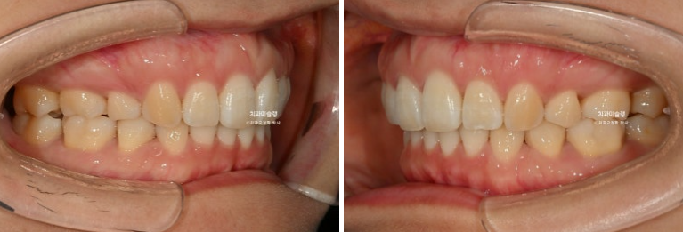
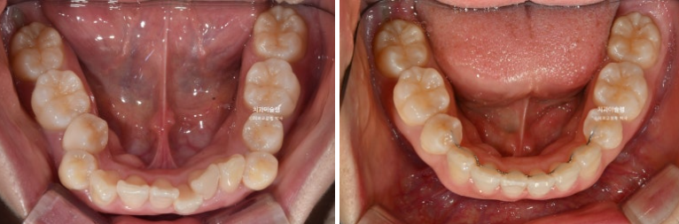
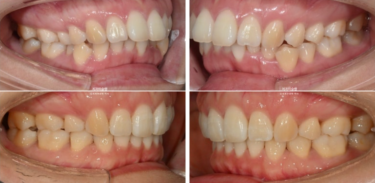
이제 전후 비교 보겠습니다.
총 치료기간은 3년 2개월, 재제작은 3회 했습니다.

2022.11~2026.01


2022.11~2026.01

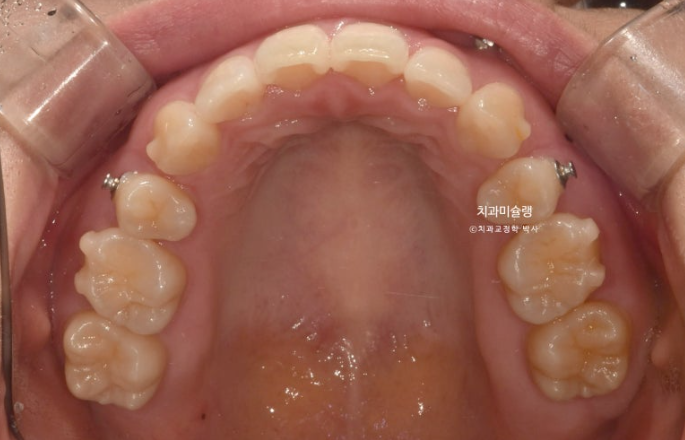
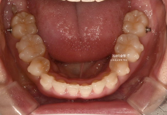
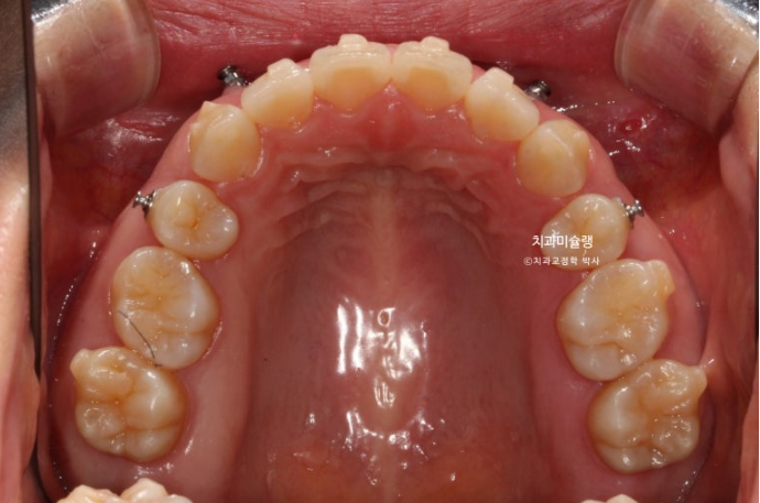
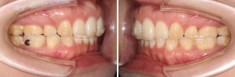
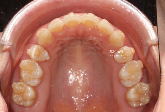
어금니 교합은 뜨는 곳 없이 좋습니다.
안모 비교 보겠습니다.

2022.11~2026.01
입모양과 어긋난 편평한 스마일라인에서 아랫입술과 평행한 스마일라인으로 탈바꿈

2022.11~2026.01
앞니 각도는 적절하며

2022.11~2026.01
입술 부전증이 해소가 되어 이제 비로소 입이 편하게 다물립니다

2022.11~2026.01
예쁜 입매가 완성되었습니다.

2022.11~2026.01
상악골 과잉이 심한 골격에서 교정으로 위턱뼈가 들어가는 것은 아니지만 최소한 위 앞니는 교정으로 예쁘게 넣어줄 수 있습니다.

2022.11~2026.01
3년에 걸친 치료기간 동안 치근흡수는 없고 치근평행도는 양호합니다.
발치교정에서 전후 파놓라마 엑스레이를 반드시 첨부하는 이유는
인비절라인으로 뿌리이동은 안된다 라는 잘못된 정보를 듣고 오는 환자분들을 안심시켜 드리기 위함입니다.
아래 앞니는 계획대로 뒤로 1mm도 뒤로 들어감 없이 잘 유지가 되었고 위 앞니는 치조골이 허용하는 범위 내에서 아래앞니와 만나기 위해 최대한 뒤로 들어갔습니다.
돌출입 발치교정을 인비절라인으로 고민중인 분들에게 도움이 되었기를 바랍니다.

