아카이브 요약
이 페이지의 역할
연세바로치과의원의 네이버 블로그 원문을 보존한 아카이브 페이지입니다. 인비절라인 카테고리의 50대 치아교정 돌출 치아벌어짐 중년교정 글을 통해 병원의 한국어 정보 제공 방식과 진료 관련 안내 톤을 확인할 수 있습니다.
원문 검증
필요하면 원문 블로그와 병원 프로필로 바로 이동해 문맥을 다시 확인할 수 있습니다.
출처 아카이브 열기아카이브된 블로그 글
연세바로치과의원 · 치과미슐랭
50대 치아교정 돌출 치아벌어짐 중년교정 인비절라인 라이트 교정 후기 소개하겠습니다. 안녕하세요 압구정 교정치과입니다. 나이가 들면서 노화로 인해 잇몸이 약해져 앞니가 벌어지는 일은 흔합니다. 벌어진 틈새를 가장 간단하게 메우는 방법은 바로 레진을 붙이는 것 입니다. 2024.07~2026.01 오늘은 벌어진...
게시일
2026년 2월 10일
원문 기준으로 확인된 발행일입니다.
카테고리
인비절라인
원문 블로그 카테고리를 정리해 함께 표시합니다.
이미지 수
24
현재 아카이브에 연결된 이미지 수입니다.
아카이브 요약
연세바로치과의원의 네이버 블로그 원문을 보존한 아카이브 페이지입니다. 인비절라인 카테고리의 50대 치아교정 돌출 치아벌어짐 중년교정 글을 통해 병원의 한국어 정보 제공 방식과 진료 관련 안내 톤을 확인할 수 있습니다.
원문 검증
필요하면 원문 블로그와 병원 프로필로 바로 이동해 문맥을 다시 확인할 수 있습니다.
출처 아카이브 열기50대 치아교정 돌출 치아벌어짐 중년교정 인비절라인 라이트 교정 후기 소개하겠습니다.
안녕하세요 압구정 교정치과입니다.
나이가 들면서 노화로 인해 잇몸이 약해져 앞니가 벌어지는 일은 흔합니다.
벌어진 틈새를 가장 간단하게 메우는 방법은 바로 레진을 붙이는 것 입니다.

2024.07~2026.01
오늘은 벌어진 치아
벌어진 앞니를 인비절라인 라이트로 공간을 모아 사이즈를 회복한 치료사례를 보겠습니다.
나이가 많아서 교정을 망설이는 분들에게 도움이 되기를 바라며 포스팅을 해보겠습니다.

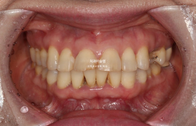
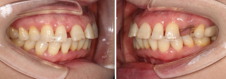
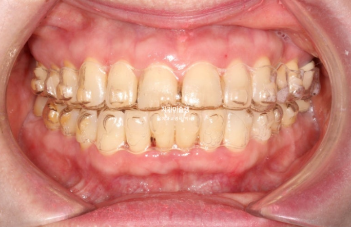
24.07
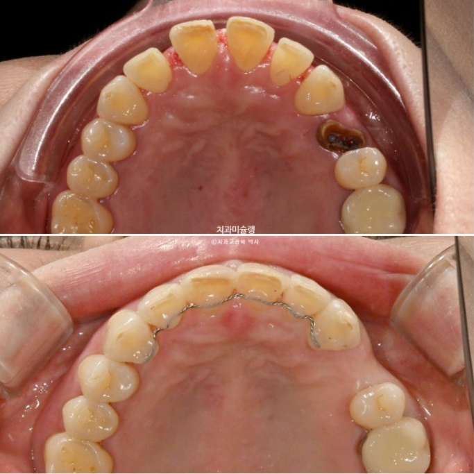
24년 7월 50대 환자분께서 교정치료를 위해 오셨습니다.
앞니가 세로 길이보다 가로길이가 더 긴, 한마디로 납작한 형태입니다.

치아 사이사이 벌어진 틈을 레진으로 메꿔놓고 지내온 것입니다.
충치로 인해 어금니들을 발치하게 되면서 교정치료를 병행하고자 오셨습니다.
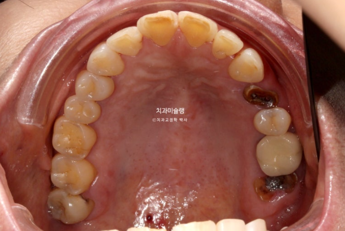
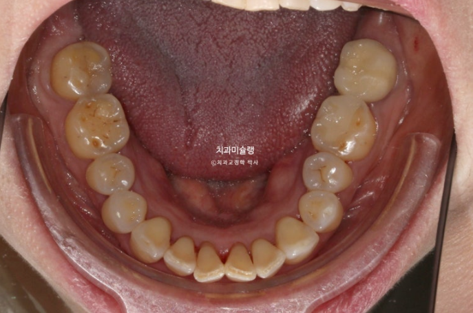
일단 앞니 사이사이 레진을 제거해 보았습니다.
아래 앞니 사이 치석도 같이 제거합니다.

24.07
레진이 차지하는 비중이 컸습니다

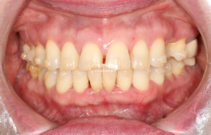
아래 앞니 사이사이는 공간이 없는 데 위 앞니 사이사이에만 큰 공간이 있다면
이 공간을 교정으로 100% 메꿀 수 없습니다.
최대한 공간을 줄여놓고 남은 미세공간은 레진으로 마무리 해야 합니다.

인비절라인 라이트 치료 권유드렸습니다.

아래 앞니는 원래 있던 블랙트라이앵글을 없앨 겸 치간삭제를 동반하기로 합니다.
또한 아래 앞니가 위 앞니를 밀어내어 위 앞니 벌어짐이 심해지지 않도록 아래 앞니는 함입도 필요합니다.
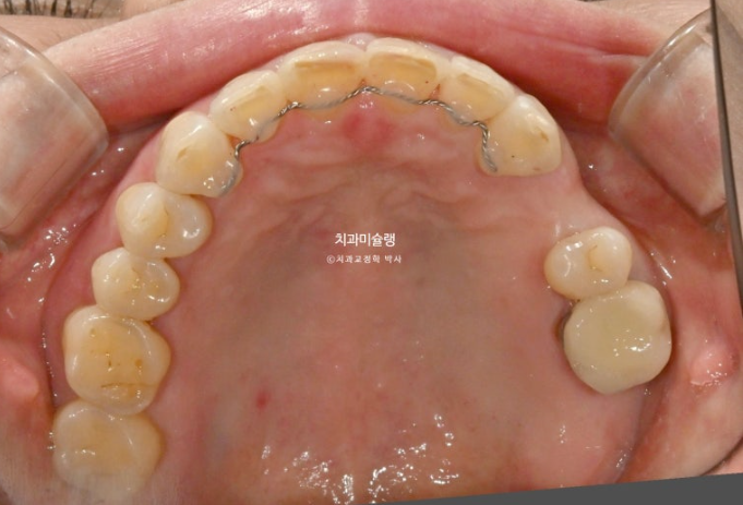
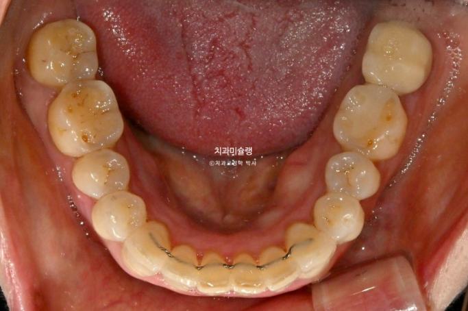
첫세트 장치 14개를 다 낀 후 모습입니다.
25년 1월 장치를 낀지 4개월 후 모습입니다.

25.01
앞니 사이 틈은 상당히 줄었고

임플란트 할 공간도 적절히 조절합니다.
미진한 부분을 더 개선하고자 추가장치 제작에 들어갑니다.

추가장치는 이래 저래 환자분 사정으로 인해 꾸준히 열심히 끼지는 못 했습니다.
그래서 추가장치를 쉬엄쉬엄 거의 1년간 꼈습니다.
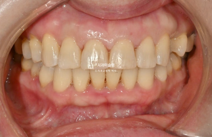
26년 1월 마지막 장치를 다 끼고 남은 공간을 레진으로 메꾸기로 합니다.

26.01
레진치료 직후 모습입니다.

26.01
교합은 좋습니다.



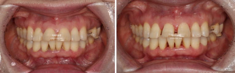
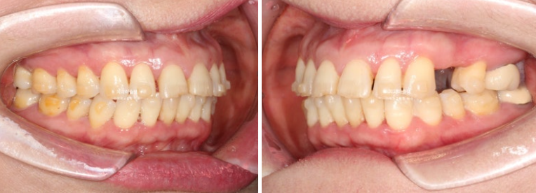
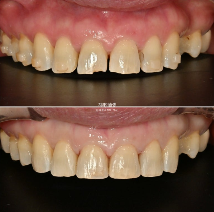
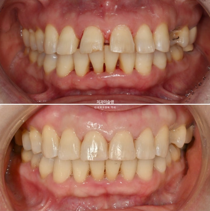
이제 전후 비교해보겠습니다.

24.07~26.01

24.07~26.01
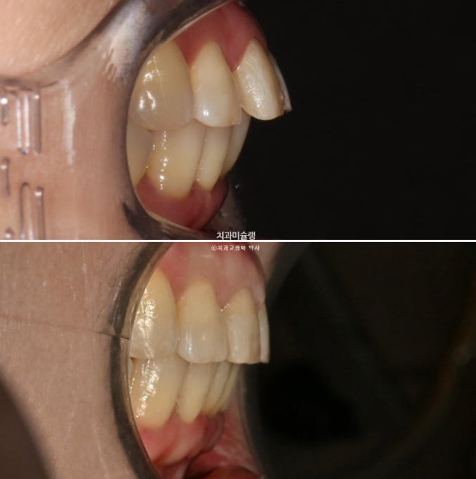
앞니 각도의 개선이 눈에 띕니다.

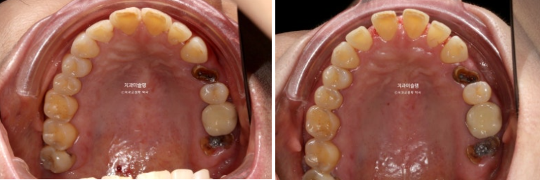
24.07~26.01
아래 앞니는 치간삭제와 함입으로 위 앞니 사이사이 벌어진 공간을 이용하여 뻗친 각도와 골출을 개선하였으며
위 아래 앞니 각각 1.5-2mm 가량 뒤로 들어갔습니다.

24.07~26.01
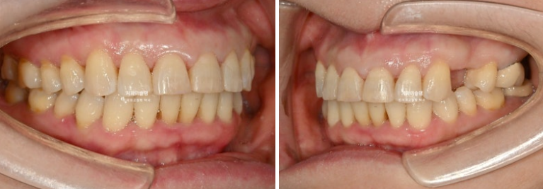
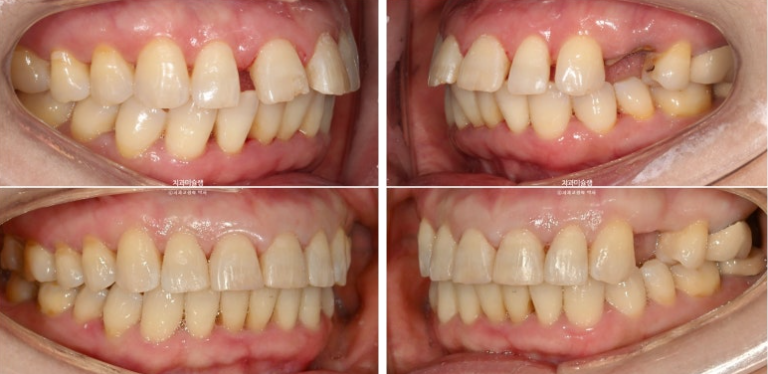
이제 안모 비교 보겠습니다.

24.07~26.01
깔끔한 미소

24.07~26.01
정돈된 미소

24.07~26.01
일년 반에 걸친 치료기간동안 치근흡수는 없고 치근평행도는 좋습니다.
1년 반 치료기간동안 뻗쳐있던 위 아래 앞니 각도가 개선이 되니 입술도 좀 더 편하게 다물립니다.
나이가 많아 중년치아교정 고민이셨던 분들
이 포스팅이 도움이 되셨기를 바랍니다.

