아카이브 요약
이 페이지의 역할
연세바로치과의원의 네이버 블로그 원문을 보존한 아카이브 페이지입니다. 어린이교정 카테고리의 압구정 어린이교정 인비절라인 퍼스트 악궁확장 덧니 교정 글을 통해 병원의 한국어 정보 제공 방식과 진료 관련 안내 톤을 확인할 수 있습니다.
원문 검증
필요하면 원문 블로그와 병원 프로필로 바로 이동해 문맥을 다시 확인할 수 있습니다.
출처 아카이브 열기아카이브된 블로그 글
연세바로치과의원 · 치과미슐랭
안녕하세요 압구정 어린이교정 소개드리겠습니다. 주걱턱이나 비대칭과 같은 골격적인 이슈가 없다는 전제하에 어린이때 인비절라인 퍼스트로 교정을 하면 나중에 성인이 되어서 교정을 또할 가능성이 매우 낮아진다라고 안내드립니다. 기존 전통적인 소아교정 악궁확장 장치의 효과와 앞니를 배열하는 2X4 장치의 효과를 동시에 누릴...
게시일
2026년 2월 20일
원문 기준으로 확인된 발행일입니다.
카테고리
어린이교정
원문 블로그 카테고리를 정리해 함께 표시합니다.
이미지 수
18
현재 아카이브에 연결된 이미지 수입니다.
아카이브 요약
연세바로치과의원의 네이버 블로그 원문을 보존한 아카이브 페이지입니다. 어린이교정 카테고리의 압구정 어린이교정 인비절라인 퍼스트 악궁확장 덧니 교정 글을 통해 병원의 한국어 정보 제공 방식과 진료 관련 안내 톤을 확인할 수 있습니다.
원문 검증
필요하면 원문 블로그와 병원 프로필로 바로 이동해 문맥을 다시 확인할 수 있습니다.
출처 아카이브 열기안녕하세요
압구정 어린이교정 소개드리겠습니다.
주걱턱이나 비대칭과 같은 골격적인 이슈가 없다는 전제하에
어린이때 인비절라인 퍼스트로 교정을 하면 나중에 성인이 되어서 교정을 또할 가능성이 매우 낮아진다라고 안내드립니다.
기존 전통적인 소아교정 악궁확장 장치의 효과와 앞니를 배열하는 2X4 장치의 효과를 동시에 누릴 수 있기 때문입니다.
압구정 어린이교정 인비절라인 퍼스트 어린이교정 악궁확장 덧니 교정 이야기 시작합니다.

22.08
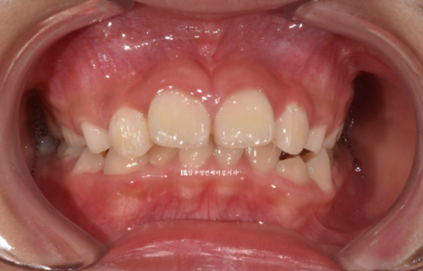
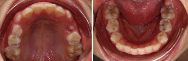
소아교정을 위해 찾아온 만 9세 어린이 입니다.

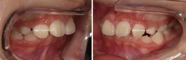
22.08
위 앞니가 아랫니를 가려서 안 보일 정도로 깊게 물리는 과개교합이고 윗니 돌출이 눈에 띕니다.

엑스레이를 보면 아직 유치가 8개나 남아있긴 합니다만 보증기간인 18개월 후면 영구치도 대부분 나올 것으로 예상이 됩니다.
악궁확장을 통해 영구치 맹출공간 확보, 윗니 돌출 해소, 앞니 배열을 목표로 장치 제작에 들어갔습니다
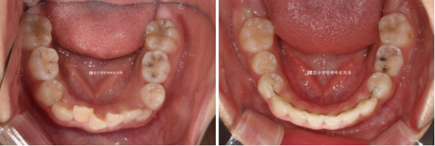
한달 반을 기다려서 첫 장치를 낀 것은 22년 9월부터이고 23년 6월까지 9개월간 첫 세트 장치를 모두 낀 후 모습입니다.

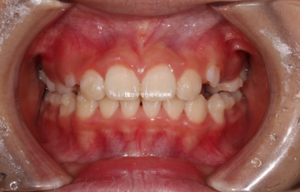
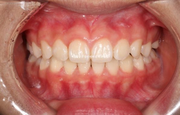
23.06
깊게 물리는 과개교합은 해소가 되었고 중심선도 잘 맞습니다.

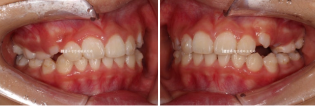
23.06
앞니 돌출은 해소가 되었고 송곳니가 내려오는 중 입니다.

23.06
배열은 상당히 가지런해졌고 그 사이 유치가 여러개 빠지며 영구치가 내려오는 중입니다.
이런 상태에서는 바로 재제작보다는 잠시 휴식기를 가지는 것이 좋습니다.
현재 나오고 있는 영구치가 다 나오도록 몇 달 기다리는 것이죠.
그 이후에 장치 제작을 해야 장치도 잘 맞고 여러가지 장점이 있습니다.
18개월 안에 최대한 많은 영구치 맹출을 유도하여 교정해줄 수 있도록 시기 적절하게 유치를 빼는 것도 안내드립니다.
그렇게 5개월간 마지막 장치를 잘때만 끼면서 쉬는 시간을 가지다가 5개월 후 송곳니와 작은어금니가 어느정도 나와서 재제작에 들어갔습니다.
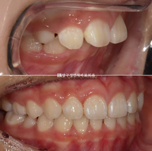
보증기간이 끝나기 직전에 17개월 차 쯔음 재제작을 한 번 더 하여 약간 돌아가있는 송곳니까지 완전히 배열을 마친 후 24년 8월에 드디어 치료를 종료했습니다.

24.09

24.09
재제작 총 2번 했고 토탈치료기간은 2년 중간에 쉬는 시간은 5개월 이었습니다.
치료 종료 시점 유치는 2개가 남아있었고 공간이 충분하여 아직 나오지 않은 계승영구치도 예쁘게 내려올 것으로 예상이 됩니다.

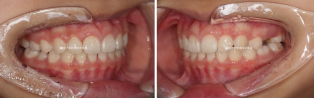
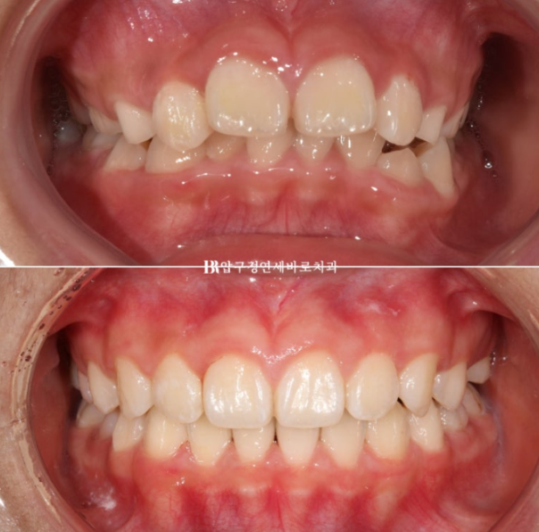
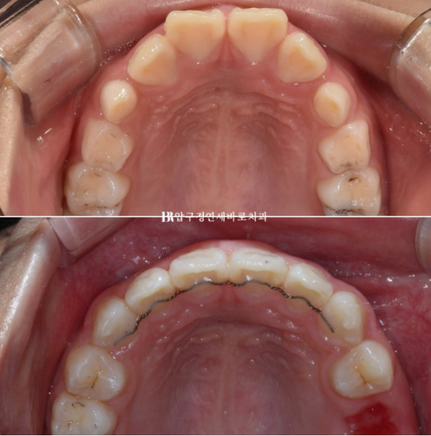
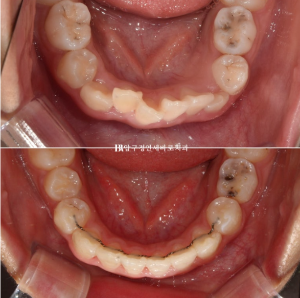
22.08~24.09

22.08~24.09
악궁확장으로 넓어진 악궁, 그리고 가지런해진 앞니가 눈에 띕니다.

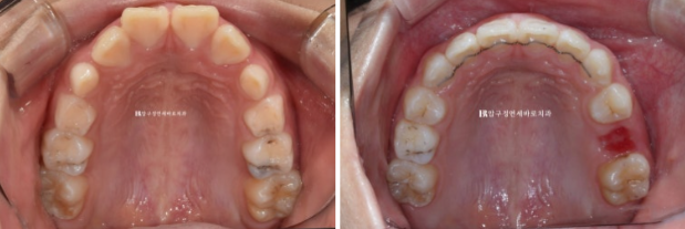
22.08~24.09
중심선도 정확히 맞고 과개교합도 해소가 되었습니다

22.08~24.09

22.08~24.09
소아교정이여도 결과 유지를 위해서 유지장치가 필수입니다.

22.08~24.09
돌출된 앞니 개선

처음에는 어린이였으나 2년 사이 어엿한 청소년이 되었습니다.
앞니 각도 스마일라인 모두 좋습니다.

뿌리 평행도 역시 좋습니다.
앞니 돌출이 개선이 되면 입이 비로소 편하게 다물어집니다.
이정도 결과가 나오면 성인이 되어서도 굳이 교정을 안해도 됩니다.
좋은 결과 유지를 위해서 잘 때만 끼는 유지장치는 꼭 껴야하고 유지기간 저기체크 역시 잘 와야겠죠.
압구정 어린이 교정 소개를 마치겠습니다.
본원에서는 어린이 환자들이 이번이 처음이자 마지막 교정이 되는 것을 목표로 치료합니다.

