아카이브 요약
이 페이지의 역할
연세바로치과의원의 네이버 블로그 원문을 보존한 아카이브 페이지입니다. 치아교정 카테고리의 임플란트 없이 자연치아 살리기 앞니 부분교정 보철교정 글을 통해 병원의 한국어 정보 제공 방식과 진료 관련 안내 톤을 확인할 수 있습니다.
원문 검증
필요하면 원문 블로그와 병원 프로필로 바로 이동해 문맥을 다시 확인할 수 있습니다.
출처 아카이브 열기아카이브된 블로그 글
연세바로치과의원 · 치과미슐랭
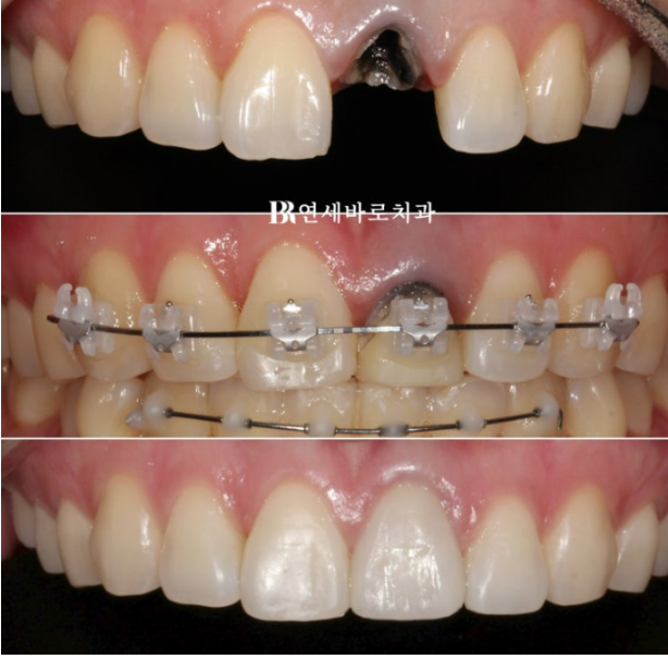
안녕하세요 압구정 교정치과 입니다. 환자분에게 가장 값지면서 이득이 되는 경우는 임플란트를 해야하는 상황에서 교정으로 치아를 살려서 쓰는 경우라고 생각이 됩니다. 치아 손상이 심해서 보철이 불가능한 치아를 교정을 통해 보철이 가능하게 해주는 교정을 보철교정이라고 합니다. 환자분께는 임플란트 및 뼈이식 비용 절감 그리고 무...
게시일
2026년 2월 23일
원문 기준으로 확인된 발행일입니다.
카테고리
치아교정
원문 블로그 카테고리를 정리해 함께 표시합니다.
이미지 수
10
현재 아카이브에 연결된 이미지 수입니다.
아카이브 요약
연세바로치과의원의 네이버 블로그 원문을 보존한 아카이브 페이지입니다. 치아교정 카테고리의 임플란트 없이 자연치아 살리기 앞니 부분교정 보철교정 글을 통해 병원의 한국어 정보 제공 방식과 진료 관련 안내 톤을 확인할 수 있습니다.
원문 검증
필요하면 원문 블로그와 병원 프로필로 바로 이동해 문맥을 다시 확인할 수 있습니다.
출처 아카이브 열기안녕하세요
압구정 교정치과 입니다.
환자분에게 가장 값지면서 이득이 되는 경우는
임플란트를 해야하는 상황에서 교정으로 치아를 살려서 쓰는 경우라고 생각이 됩니다.
치아 손상이 심해서 보철이 불가능한 치아를 교정을 통해 보철이 가능하게 해주는 교정을 보철교정이라고 합니다.
환자분께는 임플란트 및 뼈이식 비용 절감 그리고 무엇보다 내 치아를 살려서 쓴다 라는 점이 치료하는 의사에게도 보람이 큰 치료입니다.
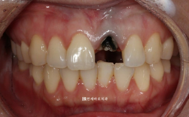
앞니가 부러져서 임플란트와 뼈이식을 해야한다 라는 내용을 듣고 오신 분입니다.

당장 빼고 임플란트 하기 전 혹시나 교정으로 살려 쓰는 방법도 있지 않을까 하여 찾아오신 분입니다.
치아가 부러진 위치가 뿌리여서 지금상태로는 크라운으로 회복이 불가능하니 발치하는 방법 밖에 없습니다.
하지만 교정으로 치아를 뼈속부터 끌어내려 정출시키면 크라운 해서 살려 쓸 수 있습니다.
부러진 치아가 까맣게 변색이 되어서 잇몸이 어둡게 비쳐 보이는 부분도 교정으로 어느정도는 가릴 수 있습니다.
치아 뿌리 부분을 뒤로 밀어낳으면 그만큼 덯고 있는 잇몸이 두꺼워져서 까만색이 덜 비춰보입니다.
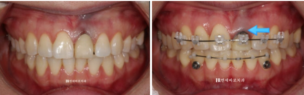
윗니에는 치아 뿌리까지 움직이기 수월하도록 클리피씨 장치를, 배열이 삐뚠 아랫니에는 부분교정용 MTA 장치를 붙여서 교정을 시작했습니다.

22.10~23.04
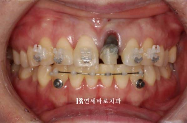
부러진 치아에 임시치아를 씌운 상태로 클리피씨를 붙이고 교정을 진행합니다.
보통 치아를 잇몸뼈로부터 정출 시키면 잇몸도 같이 따라 내려옵니다.
그래서 6개월 후 사진의 파란 화살표를 보면 잇몸이 치아와 함께 아래로 많이 자라 내려오면서 처음에 비해 치아가 절반정도로 짧아져 보입니다.

23.05
잇몸섷영을 해서 과하게 자라 내려온 잇몸을 제거했습니다.
원래 잇몸라인을 회복한 후에

치아를 깨끗하게 정리하고 옆치아 색에 맞추어 크라운 보철에 들어갑니다.

23.07
최종 크라운까지 예쁘게 들어갔습니다.

23.07

누구나 살다보면 치아를 발치해야 하는 경우가 생깁니다.
다쳐서 혹은 충치로 인하여 썩어서 일 수 있지만
중요한 것은 바로 임플란트를 하기 전 가까운 교정치과에 방문하셔서 내 치아를 살려 쓸 수 있는 방법은 없는 지 교정과 원장님과 고민해보면 좋겠습니다.


