아카이브 요약
이 페이지의 역할
연세바로치과의원의 네이버 블로그 원문을 보존한 아카이브 페이지입니다. 무삭제 라미네이트 젤라미 카테고리의 60대 무삭제 라미네이트 앞니 부분교정 치료 글을 통해 병원의 한국어 정보 제공 방식과 진료 관련 안내 톤을 확인할 수 있습니다.
원문 검증
필요하면 원문 블로그와 병원 프로필로 바로 이동해 문맥을 다시 확인할 수 있습니다.
출처 아카이브 열기아카이브된 블로그 글
연세바로치과의원 · 치과미슐랭
안녕하세요 압구정 무삭제 라미네이트 압구정 교정치과 입니다. 교정치료 후 라미네이트가 필요한 경우가 꽤 많습니다. 특히나 앞니에 왜소치가 있다면 라미네이트를 하지 않고는 앞니 교합을 좋게 만들기가 힘듭니다. 그래서 교정을 통해 라미네이트가 조화로운 사이즈로 들어갈 수 있게 공간을 조절한 후 교정이 마무리가 되면 보...
게시일
2026년 2월 24일
원문 기준으로 확인된 발행일입니다.
카테고리
무삭제 라미네이트 젤라미
원문 블로그 카테고리를 정리해 함께 표시합니다.
이미지 수
15
현재 아카이브에 연결된 이미지 수입니다.
아카이브 요약
연세바로치과의원의 네이버 블로그 원문을 보존한 아카이브 페이지입니다. 무삭제 라미네이트 젤라미 카테고리의 60대 무삭제 라미네이트 앞니 부분교정 치료 글을 통해 병원의 한국어 정보 제공 방식과 진료 관련 안내 톤을 확인할 수 있습니다.
원문 검증
필요하면 원문 블로그와 병원 프로필로 바로 이동해 문맥을 다시 확인할 수 있습니다.
출처 아카이브 열기안녕하세요
압구정 무삭제 라미네이트
압구정 교정치과 입니다.
교정치료 후 라미네이트가 필요한 경우가 꽤 많습니다.
특히나 앞니에 왜소치가 있다면
라미네이트를 하지 않고는 앞니 교합을 좋게 만들기가 힘듭니다.
그래서 교정을 통해 라미네이트가 조화로운 사이즈로 들어갈 수 있게 공간을 조절한 후 교정이 마무리가 되면 보철과 또는 일반 원장님께 라미네이트를 의뢰하는 것이 일반적입니다.
지금도 많은 교정과 원장님들이 그렇게 진행하곤 합니다.
그런데 사실 환자분과 교정치료기간 동안 소통해왔던 것은 교정과 원장님이시고 따라서 환자분의 니즈나 선호를 더 잘 반영할 수 있는 것도 사실은 교정과 원장님이죠.
또 교정과 원장님들은 0.5mm 이하의 차이에도 집착하는 것이 일상입니다.
교정원장님의 깐깐한 심미적 센스와 실력있는 기공소와 만나면 아주 근사한 결과가 나옵니다.
이런 이유로 교정 마무리 후 라미네이트까지 교정과 원장님이 해주시면 가장 좋다고 생각합니다.
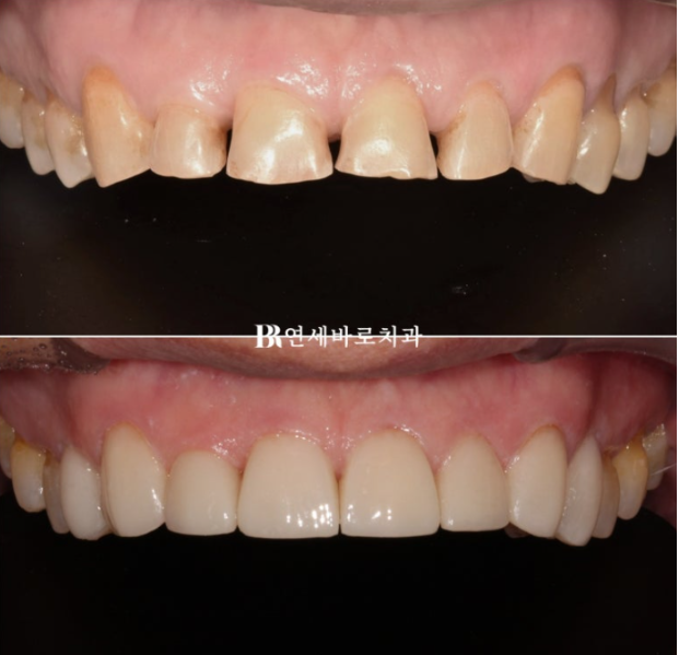
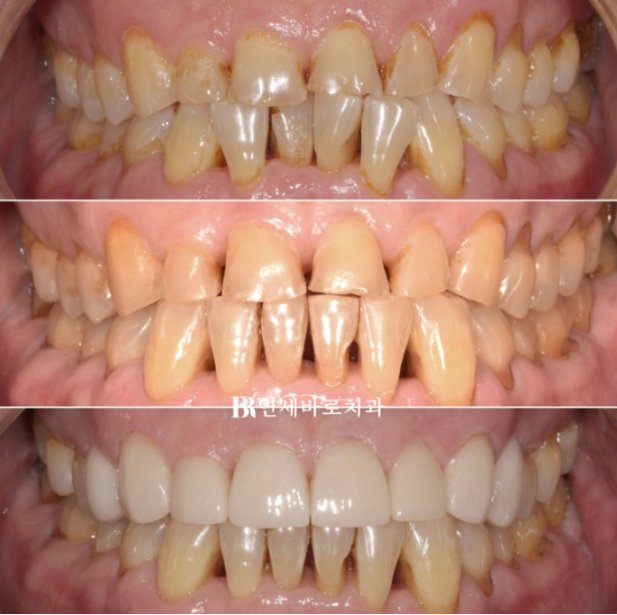
오늘은 무삭제 라미네이트를 위해서 내원하신 60대 환자분의 6개월 치료과정을 보여드리겠습니다.


무삭제 라미네이트를 위해 오신 60대 환자분입니다.
윗니와 아랫니가 끝단이 서로 만나는 절단교합 때문에 윗니 끝단이 갈리고 깨진 부분이 많습니다.
절단교합과 같은 부정교합을 오랫동안 방치하면 씹을 때 충격에 의하여 치아가 깨지기 쉽습니다.

이렇게 절단교합인 상태에서는 무삭제 라미네이트를 할 수 없습니다.
해드릴 수는 있지만 100% 깨지거나 아랫니가 라미네이트에 먼저 닿아서 갈려서 오십니다.
아랫니와 맞닿는 부분을 깎아내고 하면 이런 문제가 없지만 삭제를 원치 않아서 굳이 무삭제 라미네이트를 하러 오셨으니 그럴 수는 없죠..
윗니가 아랫니를 앞에서 덮어주는 정상교합이어야만 삭제 없이 아랫니 손상 없이 라미네이트 파절 없이 건강하게 오래 유지가 가능하다 라는 설명을 충분히 드린 후에 앞니 부분교정을 권유 드렸습니다.
앞니 부분교정은 길어야 6개월 이내에 마무리가 되는 교정이지만 아무래도 연세가 있으신 분들은 이마저도 많이 불편해하십니다.
다행인 것은 어금니 배열이나 교합이 너무 좋아서 앞니쪽만 부분교정 해도 되는 상황입니다.
따라서 앞니에만 장치를 붙여서 5개월 최소한의 단기 교정으로 절단교합을 해소해서 무삭제 라미네이트를 할 수 있는 환경을 만들고 삐뚠 아래 앞니를 가지런하게 배열하기로 했습니다.
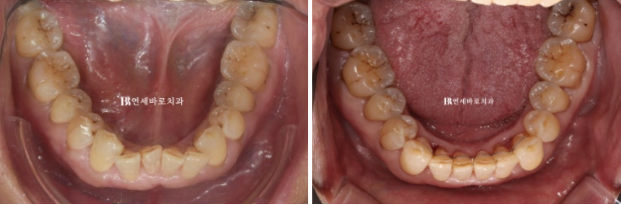
송곳니에서 송곳니까지 위 6개 치아에 클리피씨 장치를 아래 앞니 6개에는 2D 장치를 붙이고 5개월간 앞니교정을 진행했습니다.

23.02~23.07
절단 교합이 해소가 되고 윗니가 아랫니를 덮게 되었습니다.

23.02~23.07
아래 앞니 배열도 가지런해졌습니다.
교정으로 좋은 환경을 만들었으니 무삭제 라미네이트를 준비합니다.
피팅을 통해서 라미네이트 두께감에 의한 입술의 불편감, 입술 볼륨, 치아의 길이감, 색상에 대한 충분한 소통이 필요합니다.
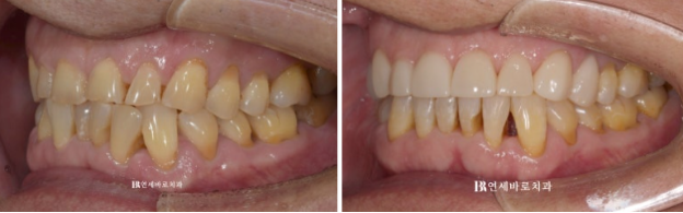
웃을때 큰 어금니까지 다 보이는 편이라 무삭제 라미네이트를 송곳니 뒤 작은 어금니까지 위에만 총 8개 하기로 했습니다.

무삭제 라미네이트 피팅

무삭제 라미네이트 피팅
피팅 한 상태에서 환자분이 원하시는 대로 길이감을 줄였습니다.
색상도 아랫치아와의 차이를 줄이기 위해서 피팅했을 때 보다 한톤 더 어두운색으로 제작하기로 했습니다.
만약 피팅을 안 했으면 이런 부분에 대한 고려 없이 환자분 마음에 안 드는 라미네이트가 완성이 되었겠죠?
원장님 알아서 예쁘게 해주세요
라는 것은 위험합니다.
원장님의 미적 시각과 환자분의 시각은 다를 수 있습니다.

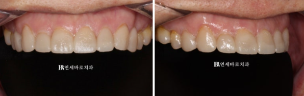
교정직후 - 무삭제 라미네이트 완료 23.07~23.08
피팅과 최종 무삭제 라미네이트까지는 총 3주의 시간이 소요됩니다.
교정 마무리 시점부터 피팅 약속까지 10일, 피팅 후 라미네이트 제작까지는 10일이 걸립니다.

23.0223.0723.08
교정 전, 교정 후, 무삭제 라미네이트까지 마무리가 된 후의 모습입니다.
총 6개월 소요가 되었습니다.

절단교합이 해소가 되니 아랫니와 먼저 닿는 부분이나 삭제 없이 무삭제 라미네이트가 예쁘게 잘 들어갔습니다.
윗니가 아랫니를 앞에서 적절하게 덮도록 교합을 형성해 놓았기 때문에 라미네이트가 아랫니에 받혀서 깨지거나 하는 일은 없을 것 입니다.

무삭제 라미네이트로 치아가 깨끗해지고, 밝아진 것도 좋지만 앞니를 앞으로 밀어내는 부분교정과 무삭제 라미네이트의 두께로 인해서 윗입술과 인중 부위 볼륨감이 살아나 훨씬 젊어보입니다.
나이가 들면 살도 얇아지고 입술 지지가 줄어들어 인중과 입술 부위가 꺼져 보이는데 성형이 아닌 앞니 부분교정과 무삭제 라미네이트 만으로도 이 부분의 볼륨감을 보완할 수 있습니다.

23.0223.0723.08

23.02~23.08
100세 시대에 60대는 이제 막 인생의 전환점을 돌아 나온 시점이죠.
늦었다고 생각하지 마세요
오늘도 긴 글 읽어주셔서 감사합니다.

