아카이브 요약
이 페이지의 역할
연세바로치과의원의 네이버 블로그 원문을 보존한 아카이브 페이지입니다. 인비절라인 카테고리의 30대 인비절라인 덧니 발치교정 개방교합 치료 글을 통해 병원의 한국어 정보 제공 방식과 진료 관련 안내 톤을 확인할 수 있습니다.
원문 검증
필요하면 원문 블로그와 병원 프로필로 바로 이동해 문맥을 다시 확인할 수 있습니다.
출처 아카이브 열기아카이브된 블로그 글
연세바로치과의원 · 치과미슐랭
안녕하세요 압구정 인비절라인 교정 소개해드리겠습니다. 오늘도 인비절라인 발치교정 이야기를 해보겠습니다. 23.10~26.01 아직도 교정상담을 하다보면 인비절라인 교정으로는 뿌리이동은 안된다고 들었다. 발치교정은 어금니 쓰러진다더라 하고 듣고 오신 환자분들이 아직도 꽤 많네요. 발치가 필요한 상황에서 인비절라인으로 교...
게시일
2026년 2월 25일
원문 기준으로 확인된 발행일입니다.
카테고리
인비절라인
원문 블로그 카테고리를 정리해 함께 표시합니다.
이미지 수
29
현재 아카이브에 연결된 이미지 수입니다.
아카이브 요약
연세바로치과의원의 네이버 블로그 원문을 보존한 아카이브 페이지입니다. 인비절라인 카테고리의 30대 인비절라인 덧니 발치교정 개방교합 치료 글을 통해 병원의 한국어 정보 제공 방식과 진료 관련 안내 톤을 확인할 수 있습니다.
원문 검증
필요하면 원문 블로그와 병원 프로필로 바로 이동해 문맥을 다시 확인할 수 있습니다.
출처 아카이브 열기안녕하세요
압구정 인비절라인 교정 소개해드리겠습니다.
오늘도 인비절라인 발치교정 이야기를 해보겠습니다.

23.10~26.01
아직도 교정상담을 하다보면
인비절라인 교정으로는 뿌리이동은 안된다고 들었다.
발치교정은 어금니 쓰러진다더라 하고 듣고 오신 환자분들이 아직도 꽤 많네요.
발치가 필요한 상황에서 인비절라인으로 교정하고 싶은데
일부 잘못된 견해로 인하여 환자분이 인비절라인 교정 진행을 못하는 피해가 없기를 바랍니다.

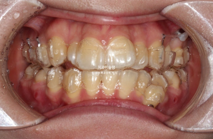
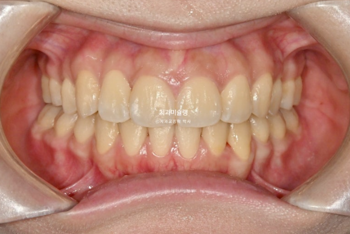
23.10
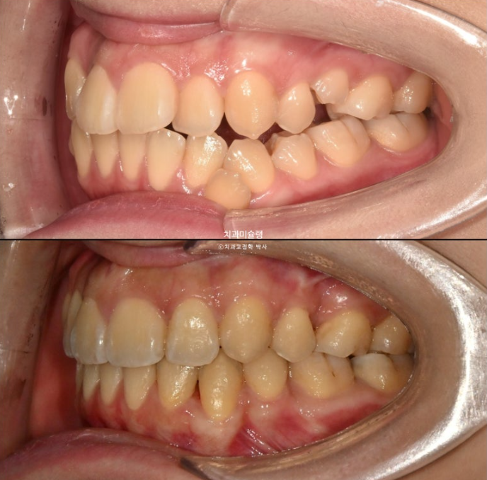
23년 10월 교정치료를 이해 온 30대 환자분입니다.
약 2mm 정도의 중심선 불일치 그리고 덧니가 보입니다.

개방교합도 있고

30년간 공간이 없어서 미처 내려오지 못한 작은어금니도 있습니다.


덧니가 워낙 심해 작은어금니 4개 발치가 불가피한 상황입니다.

23.10
초진 안모에서는 약간의 입술돌출이 보입니다.
그러나 턱끝이 도드라진 편이라 입이 많이 들어가지 않게 치료해야며 뚱한 느낌 정도만 개선하는 것이 좋습니다,
인비절라인 치료 선택하셨습니다.
첫 세트 장치는 56개이고 7일이 하나씩 장치를 교체했습니다.

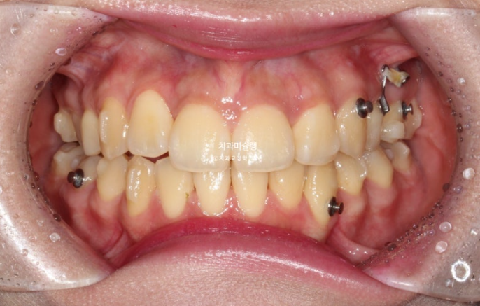
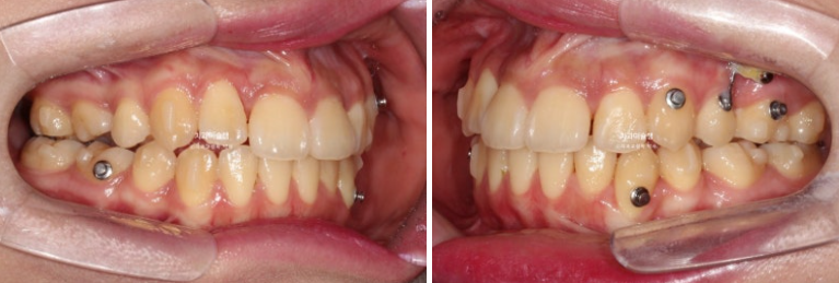
24.03
어금니 쓰러짐을 방지하고자 나사도 심고 고무줄도 걸었습니다.
그러나 치료도중 개인사로 인해 15시간밖에 못 끼던 시기가 있어서 이때 일부 어금니가 쓰러졌습니다.
어금니가 쓰러지면 장치가 일부 치아에서 뜨게 되는 현상이 나타납니다.
저의 경우 그때마다 재제작을 하지 않고 더이상 악화되지 않도록 조치한 후 환자분을 독려하며 진도를 계속 나가는 편입니다.
물론 이럴때 원장님의 치료방침은 다 다를 수 있습니다.
끼는 시간이 부족해서 10일마다 교체하던 시기도 있었지만 1년 2개월 후 드디어 56개 장치를 모두 낀 모습입니다.

24.12
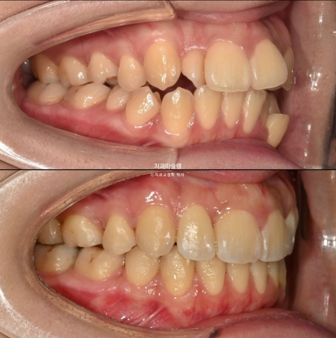
중심선은 잘 맞지만 앞니 높낮이 단차가 있습니다.

어금니 교합이 약간 뜹니다.


덧니 배열은 대부분 완성되었으나

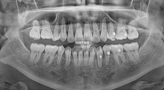
24.12
엑스레이에서 보이듯 이미 쓰러진 일부 어금니들을 세우고
미세하게 남은 발치공간을 닫고 교합을 안정화 시키고자 재제작에 들어갑니다.
25년 1월부터 10월까지 32개 추가장치를 모두 낀 후 모습입니다.

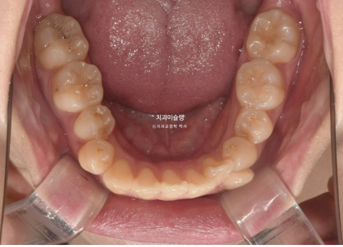
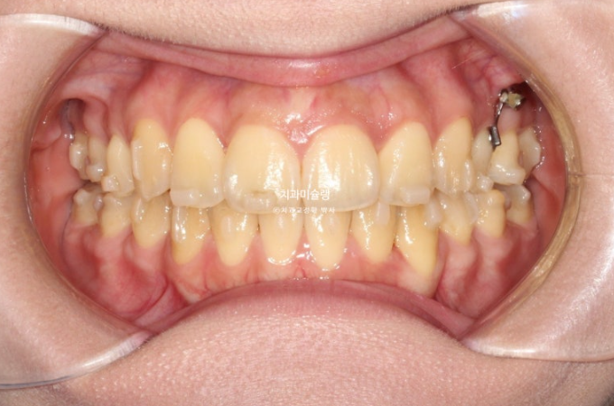
25.10
중심선과 앞니 높낮이는 완벽합니다.

25.10
어금니 쓰러진 부분들은 추가장치로 다시 세워 치근평행도는 좋습니다.

발치공간이 치실 헐겁게 들어갈 정도가 아직 남았고 구치부 교합도 좀 더 개선하고자 2번째 재제작에 들어갑니다.
25년 11월부터 26년 1월까지 추가장치 10개를 모두 낀 후 드디어 치료를 마무리 했습니다.

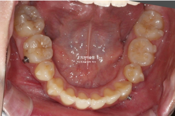
26.01
중심선은 일치하고

어금니 교합은 물샐틈 없는 1급 교합관계를 보이며 쫀쫀하죠 (?)
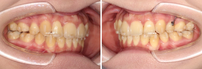
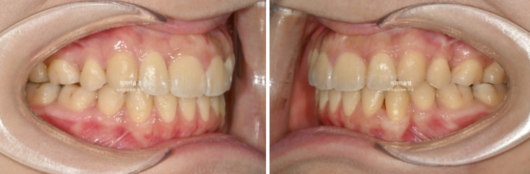
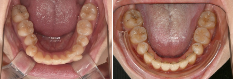
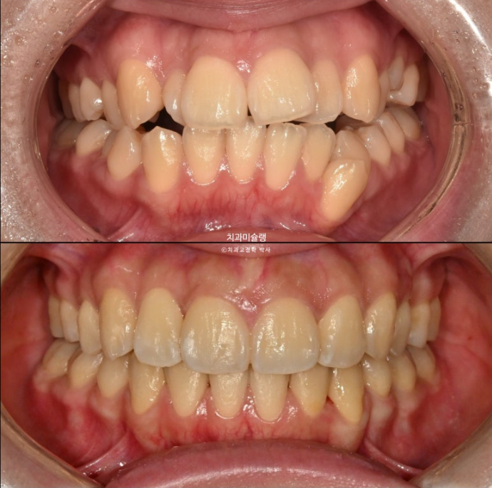
이제 전후 비교 보여드릴게요
재제작은 총 2회를 진행했고
총 치료기간은 2년 3개월 입니다.

23.10~26.01


23.10~26.01
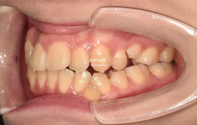
개방교합이 해소되어 잘 물립니다
이제 면도 잘 끊어먹을 수 있습니다.
중심선 불일치는 해결이 되었습니다.


23.10~26.01
교합이 좋습니다.

23.10~26.01
스마일라인은 아랫입술과 평행하여 조화롭습니다.

23.10~26.01
앞니가 너무 뒤로 들어가지 않게 신경써서 교정해야

23.10~26.01
턱끝이 너무 도드라지지 않으면서 뚱한 느낌만 사라지도록 안모가 잘 마무리가 됩니다.

23.10~26.01
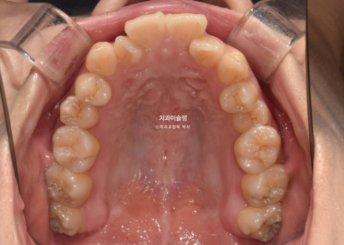
2년 3개월의 치료기간동안 치근흡수는 없고 치근평행도는 양호합니다.
인비절라인 발치교정을 고민중인 분들에게 이 포스팅이 도움이 되길 바랍니다.

