아카이브 요약
이 페이지의 역할
연세바로치과의원의 네이버 블로그 원문을 보존한 아카이브 페이지입니다. 인비절라인 카테고리의 50대 중년교정 인비절라인 라이트 나비치아 교정 앞니 교정 후기 글을 통해 병원의 한국어 정보 제공 방식과 진료 관련 안내 톤을 확인할 수 있습니다.
원문 검증
필요하면 원문 블로그와 병원 프로필로 바로 이동해 문맥을 다시 확인할 수 있습니다.
출처 아카이브 열기아카이브된 블로그 글
연세바로치과의원 · 치과미슐랭
안녕하세요 압구정 인비절라인 교정치과 입니다. 교정치료가 필요한 데 잇몸이 더 안 좋아질까봐 걱정하는 분들이 많으십니다. 젊은 성인들도 이런 이유로 망설이는 분들이 있으신데 40-50대 중년 분들은 정말 더 망설여지시죠. 저는 잇몸이 약한데, 교정하면 잇몸 더 안 좋아지나요? 실제로 이런 질문 많이 받습니다....
게시일
2026년 2월 26일
원문 기준으로 확인된 발행일입니다.
카테고리
인비절라인
원문 블로그 카테고리를 정리해 함께 표시합니다.
이미지 수
16
현재 아카이브에 연결된 이미지 수입니다.
아카이브 요약
연세바로치과의원의 네이버 블로그 원문을 보존한 아카이브 페이지입니다. 인비절라인 카테고리의 50대 중년교정 인비절라인 라이트 나비치아 교정 앞니 교정 후기 글을 통해 병원의 한국어 정보 제공 방식과 진료 관련 안내 톤을 확인할 수 있습니다.
원문 검증
필요하면 원문 블로그와 병원 프로필로 바로 이동해 문맥을 다시 확인할 수 있습니다.
출처 아카이브 열기안녕하세요
압구정 인비절라인 교정치과 입니다.
교정치료가 필요한 데 잇몸이 더 안 좋아질까봐 걱정하는 분들이 많으십니다.
젊은 성인들도 이런 이유로 망설이는 분들이 있으신데
40-50대 중년 분들은 정말 더 망설여지시죠.
저는 잇몸이 약한데, 교정하면 잇몸 더 안 좋아지나요?
실제로 이런 질문 많이 받습니다.
잇몸뼈가 얇고 잇몸이 내려가 있는 분들이 1~2년 걸리는 전체교정을 한다면 그럴 가능성이 있겠습니다.
원장님이 세세히 잘 살펴야 합니다.
그런데 앞니만 가지런하게 하는 부분교정에서는 치아 이동 자체가 많지 않아서 잇몸이 교정으로 인하여 나빠질 확률은 거의 없습니다.
물론 교정 후 잇몸이 주저앉았다 라고 환자분이 오해 하는 경우도 많습니다.
블랙트라이앵글 교정 후 커지면 그렇게 오해하기도 합니다.
치아가 삐뚤고 겹쳐진 상태로 오래 지내다가 치아가 가지런하게 펴지니 잇몸뼈가 원래 없던 부분이 비로소 보이게 되는 거지 교정때문에 잇몸이 내려간 것은 아닙니다.

원래 배열에서 크게 벗어나 튀어나와 있는 치아는 잇몸이 내려가 있는 경우가 많습니다.
이를 잇몸퇴축 이라고 합니다.
그런데 오히려 교정 후 제자리로 들어오게 되면 내려갔던 잇몸이 다시 회복하는 경우도 많습니다.
이 부분에 초점을 맞추어 이야기 해보겠습니다.

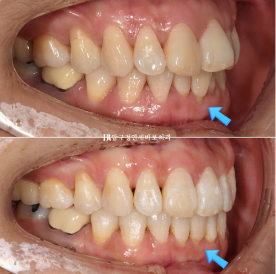
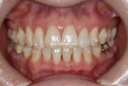
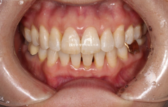
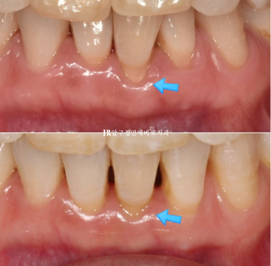
50대 환자분께서 앞니가 점점 뻗치고 틀어져서 교정을 위해 내원하셨습니다.
오래 전 발치교정을 이미 끝냈는데, 나이가 들면서 점점 앞니가 틀어져 앞니 부분교정을 위해 오셨습니다.

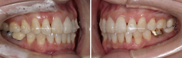
파란 화살표 부분은 잇몸이 주변치아에 비해 내려가있습니다

그 이유는 배열에서 가장 벗어난 치아여서 입니다.
제자리로 넣어주면 잇몸이 회복되기도 합니다.

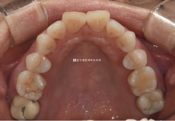
위 앞니 두개가 튀어나와있고 회전이 되어있습니다.
정식용어는 아니지만 이것을 나비치아 라고 부릅니다.
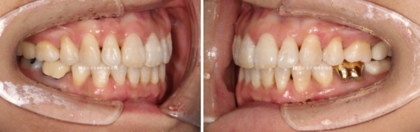
이 정도면 인비절라인 라이트로도 충분히 교정이 가능합니다.
인비절라인 라이트는 한 세트당 장치는 최대 14개까지 나옵니다.
환자분의 나이와 잇몸 상태를 고려하면 통상 교체 간격을 7일이 아닌 10일로 가져가는 것이 잇몸에 무리가 덜 갑니다.
첫 세트의 14개 장치를 다 끼는 시간은 140일 정도입니다.

24.01
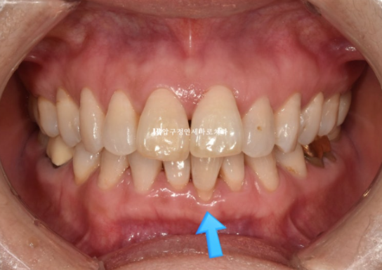
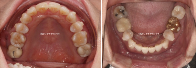
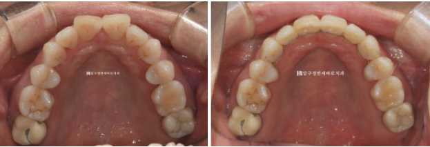
배열이 가지런해졌고 소량의 치간삭제를 통해 블랙트라이앵글도 줄었습니다.
단 위 앞니 높낮이 단차가 있어서 이 부분을 추가장치에서 해결하기로 했습니다.

24.01

24.01
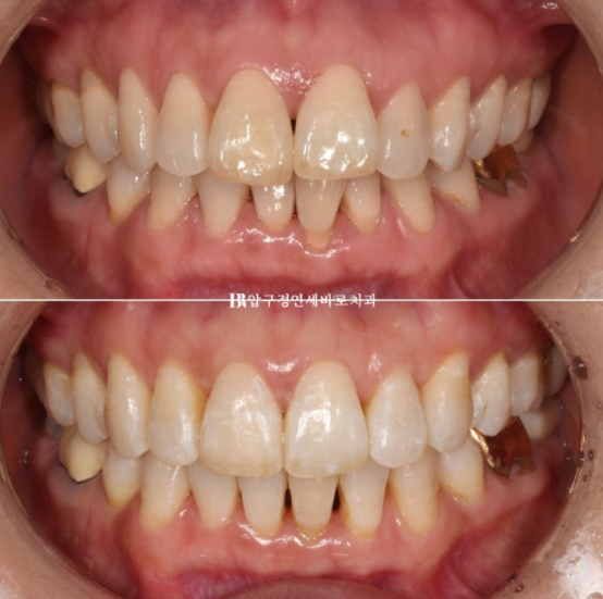
이 정도도 충분히 좋지만 100점 목표를 위해 추가장치 제작을 합니다.
추가장치를 2월부터 5월까지 3달간 10일씩 꼈고 마무리 했습니다.

24.05
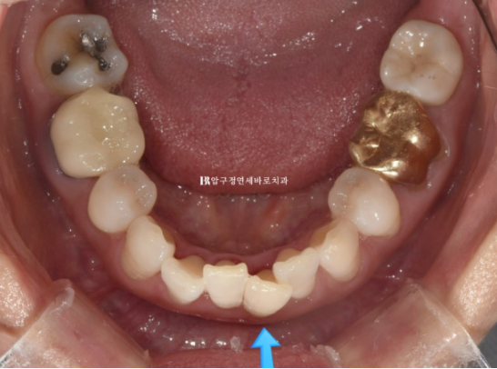
위 앞니 블랙트라이앵글은 치간삭제를 통해 줄었으나 삐뚤했던 아래 앞니가 가지런해지면서 블랙트라이앵글이 생겼습니다. 아래도 마찬가지로 치간삭제를 통해 블랙트라이앵글 사이즈를 줄였지만 치간삭제는 치아에 무리가지 않는 선에서 하는 것이 좋습니다.

24.05
걱정하시는 교합도 좋습니다.

23.07~24.05

23.07~24.05

23.07~24.05
배열에서 가장 많이 벗어난 덕분에 잇몸이 유독 내려갔던 치아를 자세히 보겠습니다.

23.07~24.05
잇몸 퇴축이 회복이 되어 치아뿌리 노출이 줄었습니다.
40-50대가 되면 생리적인 교합력의 방향 그리고 자연스러운 노화과정의 일환으로 누구나 앞니가 삐뚤어집니다.
방치하면 점점 더 심해집니다.
이미 늦었다고 포기하지 마시고 근처 가까운 교정치과에서 상담이라도 받아보세요
도움이 되셨기를 바라며 글을 마칩니다.

