아카이브 요약
이 페이지의 역할
연세바로치과의원의 네이버 블로그 원문을 보존한 아카이브 페이지입니다. 인비절라인 카테고리의 40대 인비절라인 라이트 가위교합? 글을 통해 병원의 한국어 정보 제공 방식과 진료 관련 안내 톤을 확인할 수 있습니다.
원문 검증
필요하면 원문 블로그와 병원 프로필로 바로 이동해 문맥을 다시 확인할 수 있습니다.
출처 아카이브 열기게시일
2026년 2월 27일
원문 기준으로 확인된 발행일입니다.
카테고리
인비절라인
원문 블로그 카테고리를 정리해 함께 표시합니다.
이미지 수
21
현재 아카이브에 연결된 이미지 수입니다.
아카이브 요약
연세바로치과의원의 네이버 블로그 원문을 보존한 아카이브 페이지입니다. 인비절라인 카테고리의 40대 인비절라인 라이트 가위교합? 글을 통해 병원의 한국어 정보 제공 방식과 진료 관련 안내 톤을 확인할 수 있습니다.
원문 검증
필요하면 원문 블로그와 병원 프로필로 바로 이동해 문맥을 다시 확인할 수 있습니다.
출처 아카이브 열기안녕하세요
압구정 교정치과 입니다.
40대 인비절라인 라이트 가위교합 소개해드리겠습니다.
30대 40대가 되면 누구나 교정치료가 부담스러울 수 있습니다.
특히 돌출이나 덧니 등의 이유로 작은 어금니를 빼고 치료를 해야한다면 더 그렇습니다.
발치교정은 보통 2년을 보는데 중년 나이를 감안하면 2년 이상은 걸립니다.
잇몸이 약해지는 느낌이 드는 시기여서 더 부담이 큽니다.

24.02~24.12
발치가 필요한 경우에서 치료 목표를 낮춰 잡고 인비절라인 라이트로 10개월 안에 간단하게 치료한 경우 보여드리겠습니다.

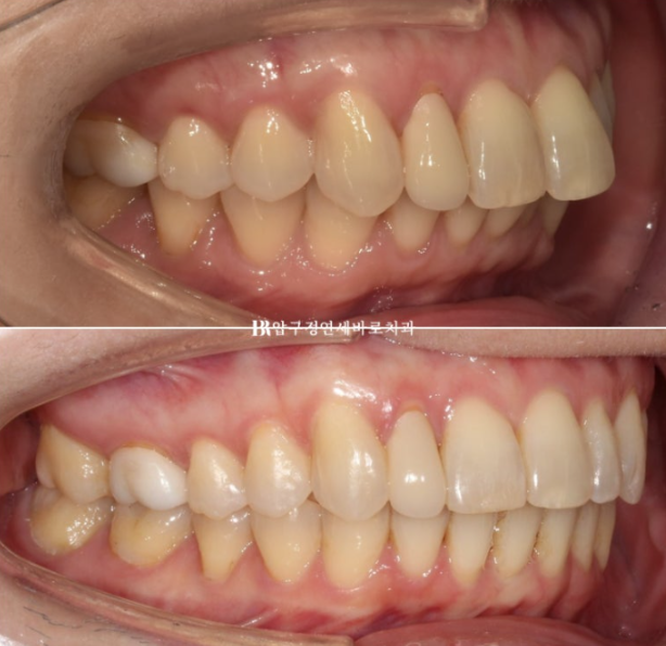
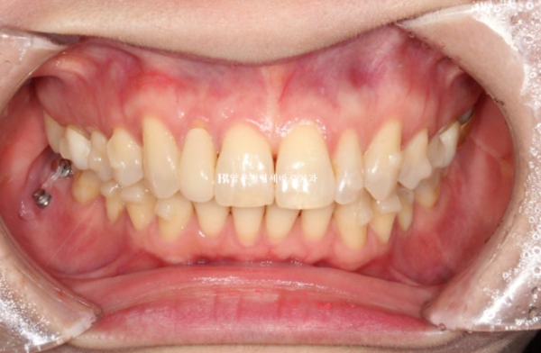
24.02
환자분이 고치고 싶은 것은 환자분 기준 왼쪽 앞니가 내려오고 튀어나온 것 입니다.

24.02
윗니가 아랫니를 많이 덮어 깊게 물리는 과개교합이 보입니다.
파란화살표 맨 뒤 큰어금니는 위 아래가 엇갈려 물리는 가위교합 입니다.

24.02
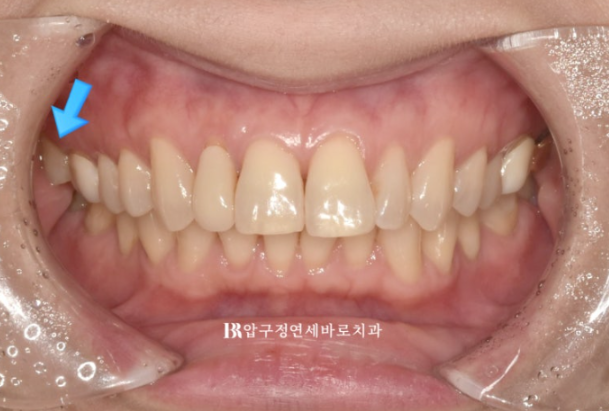
측면에서 보면 앞니 돌출이 보입니다.

24.02

24.02
혀쪽으로 쓰러진 두번째 큰 어금니가 보입니다.
이 때문에 대합치인 위 두번째 큰 어금니와 제대로 교합이 안 되어서 가위교합 상태입니다.

이렇게 엇갈려서 교합이 안되는 상태를 가위교합 이라고 합니다.
어금니 교합관계, 돌출 등을 완벽하게 개선하려면 전체교정이 필요하고 작은 어금니 발치도 해야하고 교정기간이 최소 2년 이상은 소요가 됩니다.
환자분의 니즈는 오로지 왼쪽 앞니였어서 그렇게까지 시간과 비용을 들일 생각은 없으셨습니다.
인비절라인 라이트로 포기할 건 포기하고 가능한 범위에서 앞니를 고치고 가위교합이나 돌출도 최대한 해결해보기로 했습니다.
24년 3월부터 7월까지 4개월 간 첫 세트 14개 장치를 순차적으로 7일간격으로 바뀌가며 치료를 이어갑니다.

24.07
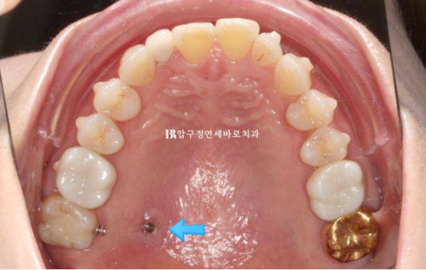
확실한 가위교합 개선을 위해 입천장에 미니스크류를 심었습니다.

24.07

24.07
마찬가지로 쓰러진 맨 뒤 큰어금니를 확실하게 세우기 위해 미니스크류를 심었습니다.
미니스크류는 총 2개 심고
인비절라인 라이트 치료는 원래 경미한 부정교합을 대상으로 하여 미니스크류를 심는 일은 흔하지 않습니다.
허용된 기간 안에서 최대의 효과를 보기 위해 심었습니다.

24.07
미지한 부분들을 더 고치기 위해서 추가장치 재제작에 들어갔고 24년 8월부터 24년 12월까지 4달간 두번째 세트 14개 장치를 더 낀 후 모습입니다.

24.12
두번째 세트를 진행하는 도중에 쓰러진 큰 어금니를 좀 더 강한 힘으로 세우고자 부분적으로 MTA 장치를 붙이고 철사를 넣었습니다.

24.12
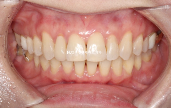
치료 마무리 후 모습입니다.
앞니가 깊게 물리는 과개교합이 개선이 되었습니다.
치간삭제로 블랙트라이앵글 사이즈를 줄일 수는 있지만 치간삭제가 과도하면 안되어서 소량의 블랙트라이앵글은 남았습니다.
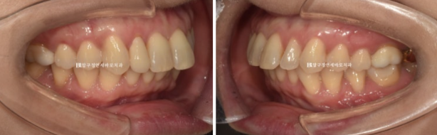
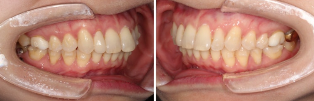
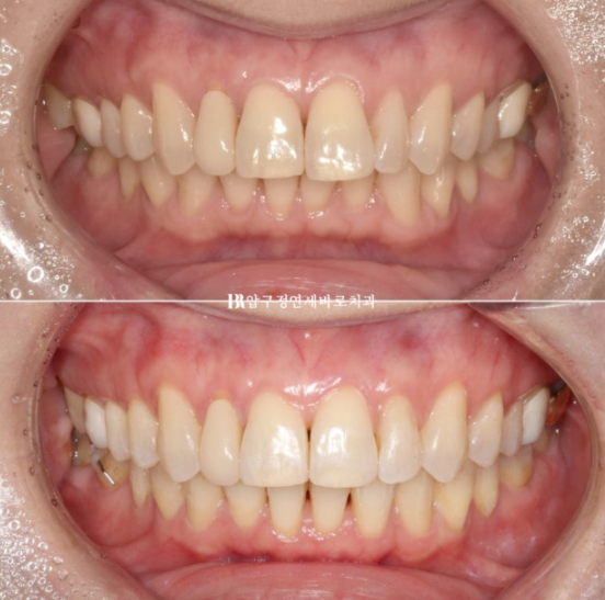
치료 전 후 보겠습니다.
좌 - 치료 전 / 우 - 치료 후

24.02~24.12
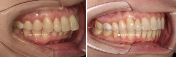
치간삭제를 통한 앞니 돌출감 개선

24.02~24.12
앞니 배열 개선과 가위교합 개선

24.02~24.12
쓰러진 큰 어금니는 잘 세웠습니다.
치간삭제를 통한 아래 앞니 배열의 개선

24.02~24.12
과개교합과 중심선의 개선

24.02~24.12

24.02~24.12
환자분이 인비절라인 장치도 열심히 껴주고 주치의가 미니스크류나 미니튜브 부분 부착 등 여러모로 노력하며
포기할 건 포기하는 치료계획을 세우면 인비절라인 라이트로도 단기간에 좋은 효과를 얻을 수 있습니다.
가까운 교정치과에 방문해보세요.

