아카이브 요약
이 페이지의 역할
연세바로치과의원의 네이버 블로그 원문을 보존한 아카이브 페이지입니다. 인비절라인 카테고리의 강남 소아교정 인비절라인 퍼스트 어린이 반대교합 글을 통해 병원의 한국어 정보 제공 방식과 진료 관련 안내 톤을 확인할 수 있습니다.
원문 검증
필요하면 원문 블로그와 병원 프로필로 바로 이동해 문맥을 다시 확인할 수 있습니다.
출처 아카이브 열기아카이브된 블로그 글
연세바로치과의원 · 치과미슐랭
강남 소아교정 인비절라인 퍼스트 어린이 반대교합 교정 후기 들려드릴 압구정 교정치과입니다. 23.10~24.12 치료 중간 갑자기 예정에 없던 해외 이주 계획이 잡혔습니다. 치료를 1년 2개월 만에 마무리 해야 했지만 다행히 치료가 잘 끝났습니다. 23년 10월 만 11세 친구가 교정을 위해 첫 내원을 했습니다. 23.1...
게시일
2026년 3월 9일
원문 기준으로 확인된 발행일입니다.
카테고리
인비절라인
원문 블로그 카테고리를 정리해 함께 표시합니다.
이미지 수
20
현재 아카이브에 연결된 이미지 수입니다.
아카이브 요약
연세바로치과의원의 네이버 블로그 원문을 보존한 아카이브 페이지입니다. 인비절라인 카테고리의 강남 소아교정 인비절라인 퍼스트 어린이 반대교합 글을 통해 병원의 한국어 정보 제공 방식과 진료 관련 안내 톤을 확인할 수 있습니다.
원문 검증
필요하면 원문 블로그와 병원 프로필로 바로 이동해 문맥을 다시 확인할 수 있습니다.
출처 아카이브 열기강남 소아교정 인비절라인 퍼스트 어린이 반대교합 교정 후기 들려드릴 압구정 교정치과입니다.

23.10~24.12
치료 중간 갑자기 예정에 없던 해외 이주 계획이 잡혔습니다.
치료를 1년 2개월 만에 마무리 해야 했지만 다행히 치료가 잘 끝났습니다.
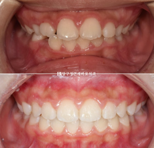
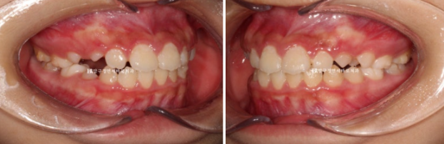
23년 10월 만 11세 친구가 교정을 위해 첫 내원을 했습니다.

23.10
보호자가 보기에 가장 고치고 싶은 것은 돌출이고 앞니 사이즈가 큰 편 입니다.

23.10
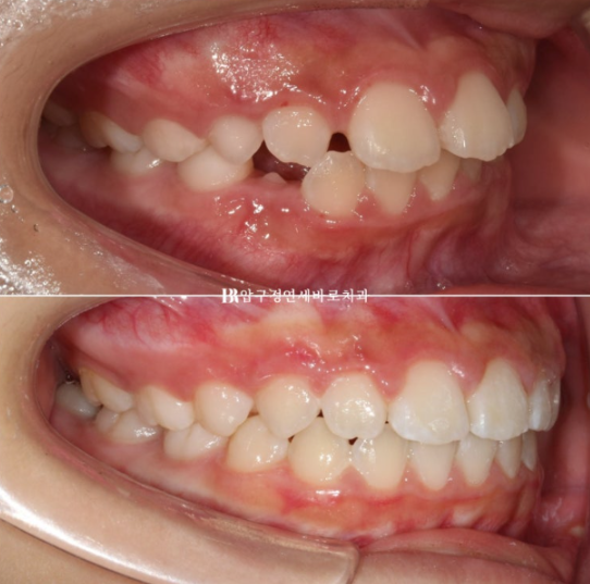
파란 화살표 측절치 치아는 아래와 거꾸로 물리는 반대교합입니다.

윗니 뻗침 즉 돌출 때문에 입술이 잘 안 다물어지는 입술부전증의 결과로 턱끝 근육이 울퉁불퉁하게 주름이 잡히는 호두턱 호두주름도 있습니다.

23.10
치아 나올 공간이 부족한 것은 아니여도 소량의 악궁확장을 통해 앞니 돌출을 어느정도 해소하기로 했습니다.
입술부전증이나 돌출을 완전히 해소하려면 나중에 발치교정이 필요할 수도 있지만 보호자가 비발치 치료를 원했습니다.
무턱 주걱턱 비대칭 등의 골격적 문제는 없었어서 바로 인비절라인 퍼스트 치료에 들어갔고 첫 장치를 끼기 시작한것은 23년 11월입니다.
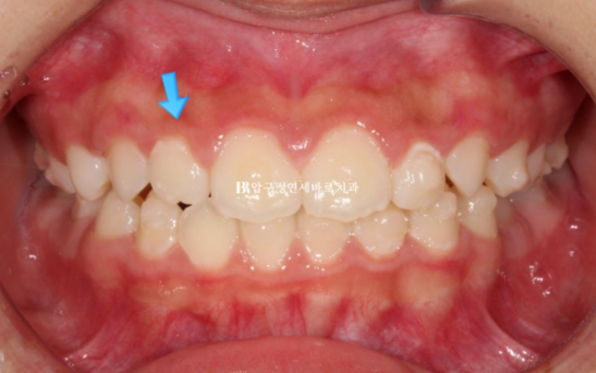
24년 4월까지 6개월간 장치를 낀 후 모습입니다.

24.04
중심선은 잘 맞고

24.04
영구치들이 잘 내려오고 있습니다.
앞니 뻗친 부분도 개선이 되었습니다.

24.04
그러나 여전히 아래 앞니 배열이 약간 틀어진 부분이 있고 위 앞니 돌출을 좀 더 해결하기 위해 추가장치 제작에 들어갑니다.
이때쯤 아이와 가족이 해외 이주 계획이 잡히면서 치료를 25년 초에 마무리 해야하는 상황이 되었습니다.
시간은 촉박하지만 최선을 다해서 좋은 결과를 만들어야죠.
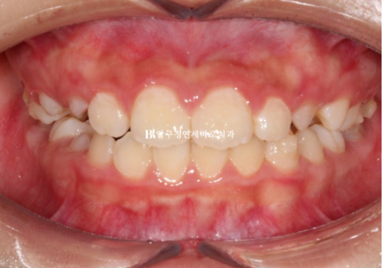
남은 시간을 계산해서 재제작 치료 계획을 세우고 추가장치 한 세트 더 낀 후 모습입니다.
추가장치는 24년 5월부터 11월까지 6개월 간 꼈습니다.

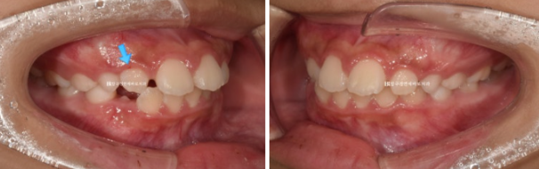
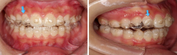
24.11
파란 화살표 측절치 배열이 잡히지 않아 들려있고 아랫니와 절단교합을 보이면서 이러한 교합간섭 때문에 중심선이 약간 틀어진 모습입니다.

24.11
인비절라인 장치를 껴보면 파란 화살표 측절치가 장치와 떠 있는 것이 보입니다.
장치 끼는 시작이 부족하여 인비절라인 장치가 치아를 잡아주지 못하고 놓쳐버린 것 입니다.
출국일이 두달 후로 임박했고 인비절라인 장치를 재제작할 시간은 없었습니다.
위 앞니 6개에 MTA 장치를 붙이고 중절치와 측절치 높이를 맞추는 과정을 한달간 거쳤습니다.
그리고 24년 12월에 치료를 마무리 하였습니다.

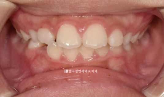
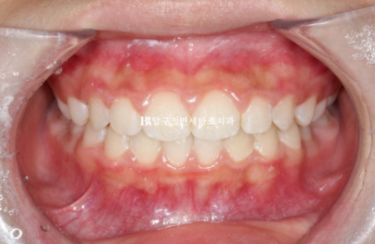
24.12
다행히 한달만에 배열이 잡히고 중심선은 잘 맞으며 측절치도 잘 내려왔습니다.

교합이 좋지 않으면 교정을 마무리 짓지 않습니다.

24.12
어린이 교정이지만 결과가 성인교정 결과에 준하는 만큼 철사 유지장치도 성인교정에 준하게 들어갑니다.
교정 종료 시점 유치는 아직 3개가 남았습니다.
전 후 비교 보겠습니다.
치료 기간은 1년 2개월입니다.

23.10~24.12
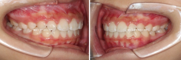
뻗쳐있던 앞니 각도가 개선이 되면서 돌출이 해소가 되었습니다.

23.10~24.12

23.10~24.12
앞니 돌출이 해소가 되니 개선된 미소 심미

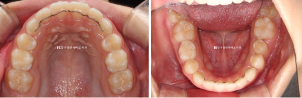
24.12
치근평행도도 양호합니다.
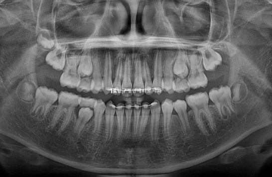
1년 2개월간의 변화를 엑스레이로 보면 이러합니다.
돌출이 해소가 되니 입이 좀 더 편하게 다물립니다.

23.10~24.12
입술돌출과 호두턱도 개선이 되었습니다.
긴 글 읽어주셔서 감사합니다.

