아카이브 요약
이 페이지의 역할
연세바로치과의원의 네이버 블로그 원문을 보존한 아카이브 페이지입니다. 인비절라인 카테고리의 압구정 교정치과 / 옥니교정 인비절라인 라이트 덧니교정 글을 통해 병원의 한국어 정보 제공 방식과 진료 관련 안내 톤을 확인할 수 있습니다.
원문 검증
필요하면 원문 블로그와 병원 프로필로 바로 이동해 문맥을 다시 확인할 수 있습니다.
출처 아카이브 열기아카이브된 블로그 글
연세바로치과의원 · 치과미슐랭
안녕하세요 압구정 교정치과 입니다. 오늘은 옥니 교정 이야기 해보겠습니다. 옥니란 ? 앞니가 뒤로 쓰러진 상태입니다. 치아가 그림자져 보이고 미소가 어딘가 옹졸해보이는 특징이 있습니다. 단기 인비절라인 프로그램인 인비절라인 라이트로 옥니치료 어떻게 진행되는 지 확인해보세요. 24.02 2월 교정을 위해 내원하신 분입니다....
게시일
2026년 3월 10일
원문 기준으로 확인된 발행일입니다.
카테고리
인비절라인
원문 블로그 카테고리를 정리해 함께 표시합니다.
이미지 수
19
현재 아카이브에 연결된 이미지 수입니다.
아카이브 요약
연세바로치과의원의 네이버 블로그 원문을 보존한 아카이브 페이지입니다. 인비절라인 카테고리의 압구정 교정치과 / 옥니교정 인비절라인 라이트 덧니교정 글을 통해 병원의 한국어 정보 제공 방식과 진료 관련 안내 톤을 확인할 수 있습니다.
원문 검증
필요하면 원문 블로그와 병원 프로필로 바로 이동해 문맥을 다시 확인할 수 있습니다.
출처 아카이브 열기안녕하세요
압구정 교정치과 입니다.
오늘은 옥니 교정 이야기 해보겠습니다.

옥니란 ? 앞니가 뒤로 쓰러진 상태입니다.
치아가 그림자져 보이고 미소가 어딘가 옹졸해보이는 특징이 있습니다.
단기 인비절라인 프로그램인 인비절라인 라이트로 옥니치료 어떻게 진행되는 지 확인해보세요.

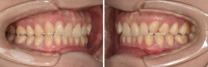
24.02
2월 교정을 위해 내원하신 분입니다.
환자분이 고치고 싶어 하는 부분은 앞니 배열입니다.
이미 5군데 교정 상담 다녀오신 분이였습니다.
사랑니를 빼고 어금니를 뒤로 밀자 라는 치료계획을 듣고 오셨습니다.
위 아래 중심선이 약 2mm 차이가 나는 상태이고 측절치와 송곳니에 덧니가 보입니다.

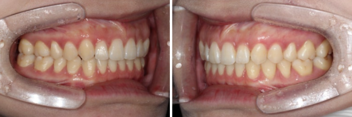
24.02
옆에서 보면 가운데 앞니 세개가 뒤로 기울어져 있는 것이 보입니다.
우측은 교합관계 II급 입니다.

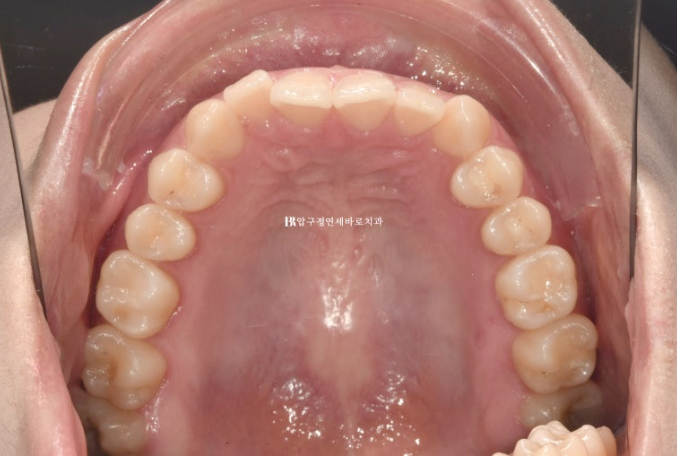
24.02
앞니 세개가 입천장 쪽으로 들어가있습니다.

웃을때 앞니가 뒤로 쓰러져 있으면 그림자져 보이고 덜 예쁘죠.
우측 어금니 교합이 II급 교합관계를 보여 정석대로 하자면 타치과 진단대로 어금니를 전체적으로 다 움직이는 1년 반 이상의 인비절라인 컴프리헨시브 필요하겠죠.
하지만 환자분은 기간과 치료의 심플함을 더 중요하게 생각하셔서 인비절라인 라이트로 약 9개월 목표로 치료하였습니다.
중심선과 약간의 교합오차 그리고 약간 중심선의 오차를 허용하는 대신 비용과 기간을 줄이는 것 입니다.
II급 교합관계를 보이는 우측은 고무줄을 끼면서 최대한 I급으로 유도하기로 했습니다.
24년 2월 장치 오더를 넣고 3월에 장치를 수령하여 끼기 시작했습니다.
인비절라인 라이트는 최대 14개 장치가 배송이 되어 오고 3월부터 6월까지 4개월간 장치를 낀 모습입니다.

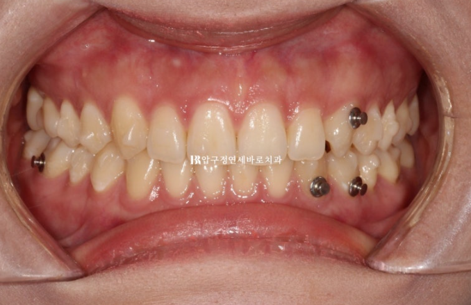
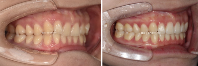
24.06
배열과 덧니는 가지런해졌습니다.
중심선 개선은 아직 미미합니다.

우측에 II급 고무줄을 열심히 걸어서 교합관계까지 조금 좋아졌습니다.

24.06
좋아진 배열과 옥니
우측 어금니 교합관계를 약간 고무줄로 좀 더 개선하고, 앞니 각도 역시 좀 더 세우기로 합니다.
추가제작 시작
추가장치는 24년 6월부터 11월까지 해주셨구요.
고무줄도 열심히 걸어주었습니다.
24년 11월에 드디어 치료가 마무리 되었습니다.

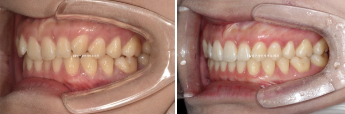
24년 11월

물샐 틈 없는 교합이 보입니다.
마지막 1~2주는 장치를 앞니쪽에만 남기고 어금니쪽을 잘라내어 껴서 자연스러운 교합 안정화를 도모했습니다.
인비절라인은 교합이 안 좋게 끝난다더라 라는 편견을 깨기 위해 열심히 포스팅합니다.
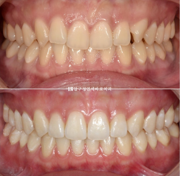
이제 전 후 비교해보겠습니다.

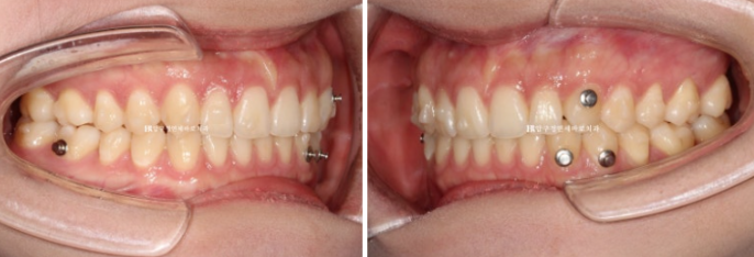
24.02~24.11
문제의 우측 II급 교합관계가 거의 I급으로 좋아졌습니다.
고무줄을 열심히 껴준 덕분입니다.

24.02~24.11
좌측교합은 원래 I급이고 위아래 어금니 교합이 좀 더 긴밀해졌습니다.

24.02~24.11
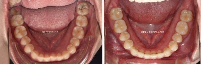
뒤로 쓰러져 있던 앞니가 나오면서 악궁모양이 네모진 형태에서 원형으로 바뀌었습니다.

24.02~24.11
아래도 악궁모양이 좋아졌습니다.

24.02~24.11
중심선은 여전히 1mm 정도 차이가 나지만 처음에 비하여 개선이 되었습니다.

24.02~24.11

24.02~24.11
옥니와 덧니가 해결이 되니 미소가 훨씬 깔끔하고 환해 보입니다.
인비절라인은 앞니 토크 조절이 개개인의 뼈 상태에서 맞게 세밀하게 잘 이루어지는 편입니다.
오히려 브라켓 철사교정보다도 더 그렇습니다.
옥니가 컴플레인이신 분들에게 이 포스팅이 도움이 되길 바랍니다.

