아카이브 요약
이 페이지의 역할
연세바로치과의원의 네이버 블로그 원문을 보존한 아카이브 페이지입니다. 인비절라인 카테고리의 인비절라인 돌출입 발치교정 거미스마일 잇몸미소 교정 글을 통해 병원의 한국어 정보 제공 방식과 진료 관련 안내 톤을 확인할 수 있습니다.
원문 검증
필요하면 원문 블로그와 병원 프로필로 바로 이동해 문맥을 다시 확인할 수 있습니다.
출처 아카이브 열기아카이브된 블로그 글
연세바로치과의원 · 치과미슐랭
안녕하세요. 압구정 인비절라인 소개드리겠습니다. 오늘의 주제는 잇몸미소 거미스아리 교정 인비절라인 돌출입 발치교정입니다. 인비절라인 첫 상담을 하다보면 환자분들이 타치과에서 상담한 내용에 대해 문의를 주시죠. 그 중 자주 듣는 내용 중 하나가 인비절라인 뿌리 이동 안 된다고 하던데요 뿌리 이동이 안되면, 발치교정이 제...
게시일
2026년 3월 11일
원문 기준으로 확인된 발행일입니다.
카테고리
인비절라인
원문 블로그 카테고리를 정리해 함께 표시합니다.
이미지 수
19
현재 아카이브에 연결된 이미지 수입니다.
아카이브 요약
연세바로치과의원의 네이버 블로그 원문을 보존한 아카이브 페이지입니다. 인비절라인 카테고리의 인비절라인 돌출입 발치교정 거미스마일 잇몸미소 교정 글을 통해 병원의 한국어 정보 제공 방식과 진료 관련 안내 톤을 확인할 수 있습니다.
원문 검증
필요하면 원문 블로그와 병원 프로필로 바로 이동해 문맥을 다시 확인할 수 있습니다.
출처 아카이브 열기안녕하세요.
압구정 인비절라인 소개드리겠습니다.
오늘의 주제는 잇몸미소 거미스아리 교정 인비절라인 돌출입 발치교정입니다.
인비절라인 첫 상담을 하다보면 환자분들이 타치과에서 상담한 내용에 대해 문의를 주시죠.
그 중 자주 듣는 내용 중 하나가
인비절라인 뿌리 이동 안 된다고 하던데요
뿌리 이동이 안되면, 발치교정이 제대로 될 수 없습니다.
발치교정은 뿌리가 발치공간으로 평행하게 이동하는 것이 핵심이기 때문입니다.

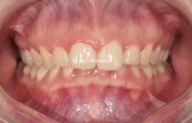
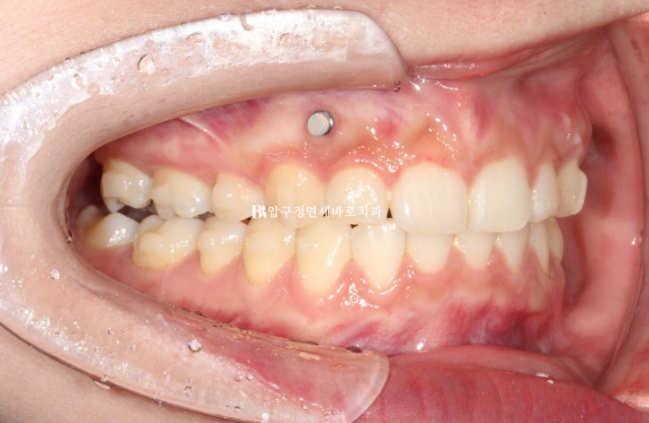
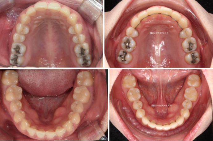
22.08
환자분이 고치고 싶은 것은 두가지가 있었습니다.
돌출입과 웃을 때 잇몸이 많이 보이는 거미스마일 이었습니다.
과개교합이 심해서 윗니에 덮여 아래 앞니가 보이지 않습니다.

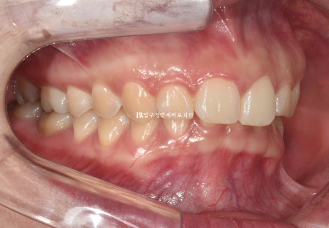
22.08
돌출입도 종류가 다양한데, 이렇게 앞니가 뻗쳐 있지 않으면서 잇몸쪽이 돌출이 되어 보이는 것을 잇몸돌출이라고 표현합니다.
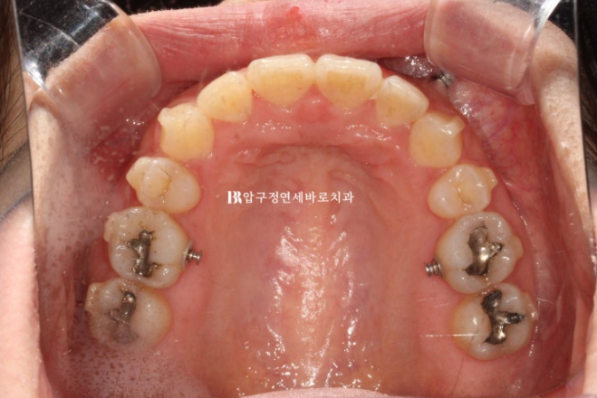
위 작은어금니 두 개를 발치하고 인비절라인 교정 치료에 들어갑니다.

22.09
작은어금니를 발치한 지 일주일째가 된 날 인비절라인 첫번째 장치를 끼기 시작한 날 사진입니다.
작은 어금니를 발치하면 발치공간이 보일까봐 걱정을 많이 하실텐데요.
평소 말할때는 안 보이고 크게 웃을 때 웃는 입모양과 사이즈에 따라 보이기도 하고 안 보이기도 합니다.
장치 협조도가 좋아서 열심히 잘 끼던 환자분입니다.
첫세트의 장치 진행 9개월차인 23년 5월, 환자분의 개인사정으로 인하여 장치를 잘 못긴 기간이 있었습니다.
이 때 발치공간으로 어금니가 쓰러지는 것이 보여 남은 장치는 모두 폐기하고 첫번째 재제작을 했습니다.
추가장치 제작 후 한달간 제작기간을 거친 23년 7월 두번째 세트의 장치를 끼기 시작했습니다.
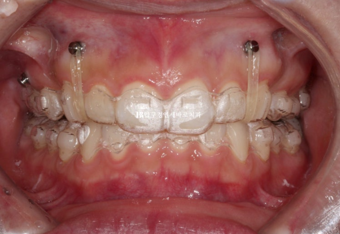
이때부터 거미스마일을 적극적으로 해소하기 위해서 앞니에 미니스크류를 심었고 고무줄을 함께 걸기 시작합니다.

23.07

23.07
재제작시 발치공간은 절반정도 남은 상황이였습니다.
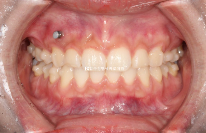
24년 7월까지 1년 간 첫번째 추가장치를 다 낀 후 모습입니다.

24.07
과개교합은 해결되고 발치공간은 대부분 사라졌지만 여전히 중심선이 미세하게 안 맞고

24.07
발치공간에 미세한 틈이 있으며

24.07
어금니 교합이 뜨는 부분이 있어서 재제작을 한 번 더 했습니다.
24년 8월부터 12월까지 두 번째 세트의 추가장치를 다 낀 후 24년 12월 치료를 마무리 했습니다.

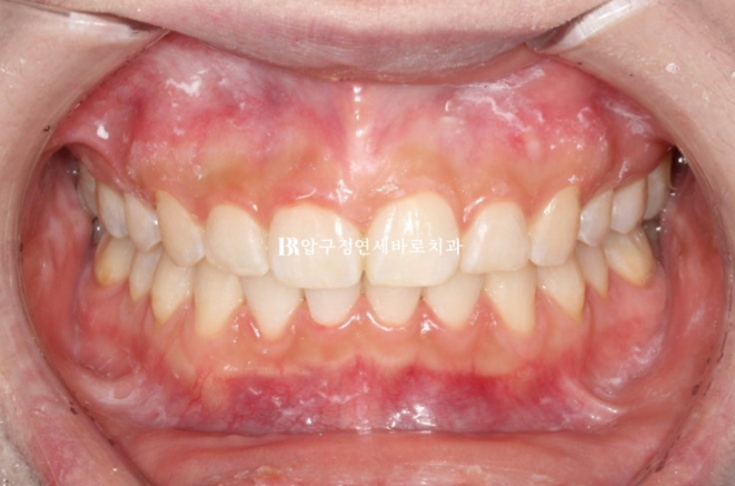
24.12
중심선이 잘 맞습니다.
거미스마일을 고치느라 위 앞니를 함입 시켜서 잇몸이 치아를 많이 덮어 치아 높이가 짧아졌습니다.
이제 교정은 끝났으니 잇몸성형으로 잇몸 라인을 다듬어 줍니다.

24.12
교합이 좋지 않으며 치료를 마무리 하지 않습니다.
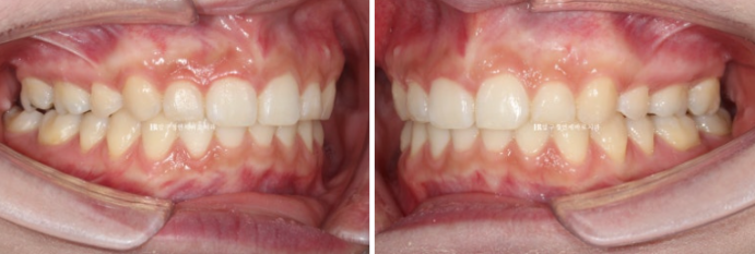
좌 - 치료 전 우 - 치료 후

22.09~24.12
유지장치까지 들어간 모습입니다.

22.09~24.12
안모 전 후 사진 보겠습니다.

22.09~24.12

22.09~24.12
거미스마일 개선이 눈에 띕니다.

22.09~24.12
돌출감만 해소된 과하지 않은 적당한 입매

23.08

24.12
발치 공간으로 어금니 쓰러짐 없이 뿌리까지 평행하게 이동 된 것이 확인됩니다.
인비절라인으로 뿌리이동 안되나요?
아니요 잘 됩니다
발치교정은 2년씩 걸리는 장기전이고 특히 인비절라인과 같은 치료는 장치를 잘 못 낀 기간에 문제가 생겨 재제작을 해야하는 경우도 있습니다.
그래서 이런 변수를 대처를 원장님이 잘 해주시고 환자분도 다시 열심히 껴준다면 결과는 매우 좋습니다.

