아카이브 요약
이 페이지의 역할
연세바로치과의원의 네이버 블로그 원문을 보존한 아카이브 페이지입니다. 인비절라인 퍼스트 카테고리의 어린이교정 투명교정 인비절라인 퍼스트 후기 글을 통해 병원의 한국어 정보 제공 방식과 진료 관련 안내 톤을 확인할 수 있습니다.
원문 검증
필요하면 원문 블로그와 병원 프로필로 바로 이동해 문맥을 다시 확인할 수 있습니다.
출처 아카이브 열기아카이브된 블로그 글
연세바로치과의원 · 치과미슐랭
안녕하세요 어린이교정 투명교정 인비절라인 중점진료 중인 압구정 교정치과입니다. 예전에 인비절라인 퍼스트 어린이 교정 중간 과정을 포스팅했었는데 최근 교정이 마무리가 되어 다시 정리하겠습니다. 이 케이스도 소아교정으로 성인교정까지 마무리가 된 케이스입니다. 지난 포스팅은 2022년 9월부터 2023년 5월까지의 첫 세트 치...
게시일
2026년 3월 13일
원문 기준으로 확인된 발행일입니다.
카테고리
인비절라인 퍼스트
원문 블로그 카테고리를 정리해 함께 표시합니다.
이미지 수
18
현재 아카이브에 연결된 이미지 수입니다.
아카이브 요약
연세바로치과의원의 네이버 블로그 원문을 보존한 아카이브 페이지입니다. 인비절라인 퍼스트 카테고리의 어린이교정 투명교정 인비절라인 퍼스트 후기 글을 통해 병원의 한국어 정보 제공 방식과 진료 관련 안내 톤을 확인할 수 있습니다.
원문 검증
필요하면 원문 블로그와 병원 프로필로 바로 이동해 문맥을 다시 확인할 수 있습니다.
출처 아카이브 열기안녕하세요
어린이교정 투명교정 인비절라인 중점진료 중인 압구정 교정치과입니다.
예전에 인비절라인 퍼스트 어린이 교정 중간 과정을 포스팅했었는데
최근 교정이 마무리가 되어 다시 정리하겠습니다.
이 케이스도 소아교정으로 성인교정까지 마무리가 된 케이스입니다.

지난 포스팅은 2022년 9월부터 2023년 5월까지의 첫 세트 치료였습니다.
지난 치료를 요약해보면 초진 시 앞니 4개씩 나온 상황입니다.
유치가 10개나 남은 상황이나 아이들이 이 빠지고 나는 속도는 사람마다 달라 정확한 예측은 어렵습니다.

2022.09
아역배우 친구여서 보이는 철사교정 말고 인비절라인 퍼스트 어린이 투명교정 장치로 시작했습니다.
장치를 열심히 착용했고 2022년 9월부터 2023년 5월까지 변화 모습입니다.



2022.09~2023.05
이렇게 가지런해진 앞니에 철사유지장치까지 붙여놓고 잠시 송곳니 맹출을 기다리는 휴지기 즉 쉬는 시간을 가졌습니다.
휴지기에는 마지막 꼈던 장치를 잘때만 끼면서 편하게 지내게 됩니다.
그 이후 3개월 간격으로 정기검진을 하던 중 송곳니가 나오기 시작했는데 송곳니 날 공간이 약간 좁은 것이 관찰되었습니다.
송곳니가 충분히 나오면 재제작을 하기로 하고 의도적으로 더 기다려서 7개월 후인 24년 1월 재제작을 시작했습니다.

24.01

24.01
아래는 유지가 잘 되어서 문제가 없었으니 위 송곳니 날 자리가 부족해서 덧니처럼 회전이 된 채 내려오는 것이 보입니다.
이런 부분 때문에 인비절라인 퍼스트는 18개월의 보증기한을 두고 있습니다.
예상과 벗어난 부분을 고치기 위해서입니다.
보증기간 내에 발견된 문제점은 얼마든지 해결이 가능합니다.
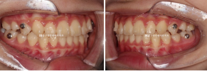
재제작에 들어갔고 24년 7월까지, 6개월간 한 세트의 추가장치를 더 꼈습니다.
마지막 장치를 낀 후 모습입니다.

24.07
덧니처럼 나와있던 송곳니는 잘 배열이 되었고 그 사이 마지막 유치 어금니 4개가 빠지고 영구치 작은 어금니가 내려오는 중입니다.
드디어 영구치열에 접어들었습니다.

24.07
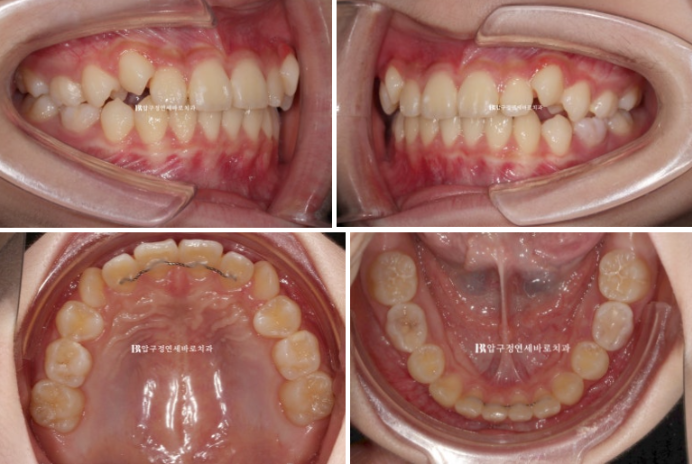
작은어금니가 잘 내려와서 교합이 될 수 있도록 금속 고리를 치아에 붙이고 뺏다 꼈다 하는 고무줄 처방도 들어갔습니다.
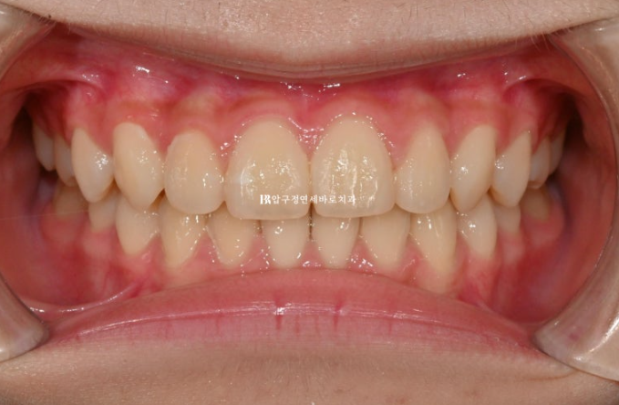
그렇게 두달 간 고무줄을 끼면서 작은 어금니 교합을 안정화 시켜 24년 9월 드디어 모든 치료가 마무리 되었습니다.

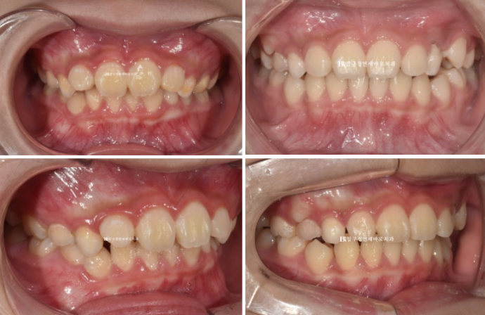
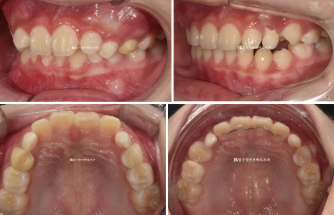
24.09
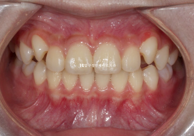
중심선은 정확히 맞고

24.09
어금니 교합은 1급 교합관계를 보입니다.

24.09
배열도 좋습니다.
그 사이 마지막으로 맹출하는 두번째 큰어금니까지 잘 나오고 있습니다.
소아교정장치로 시작했지만 성인때 교정을 다시 할 필요가 없을 정도로 모든 게 좋습니다.
소아교정 상담하러 오신 분들이 걱정하는 부분 중 하나입니다.
"어릴때 교정하면, 다시 틀어진다고 하던데요." 라는 이야기를 많이 듣습니다.
성인이든 소아든 앞니 뒤에 반영구적으로 붙여놓는 철사 유지장치와 가철식 뺏다 꼈다 하는 유지장치를 열심히 해야 하고 유지장치가 불량하거나 없으면 다시 틀어질 수 밖에 없습니다.
교정이 잘 끝났으니 이 좋은 상태가 오래오래 유지가 되려면 유지기간 유지장치를 꼼꼼히 체크해야 합니다.
사후 관리가 중요한 이유입니다.
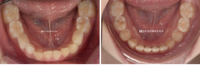
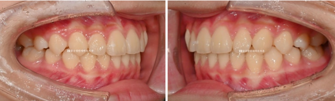
사진의 시간차는 24개월이지만 중간중간 의도적으로 영구치 맹출을 기다리는 시간을 계산해보니 약 10개월 즉 실제 치료기간은 약 14개월 정도 됩니다.
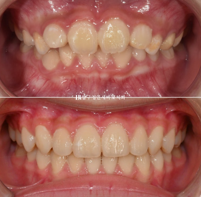
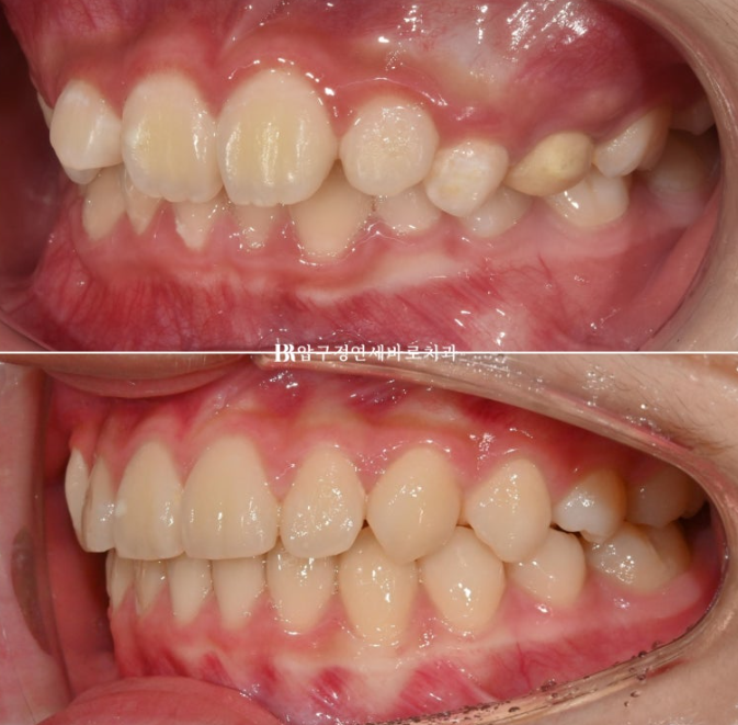
전 후 비교 사진 보겠습니다.

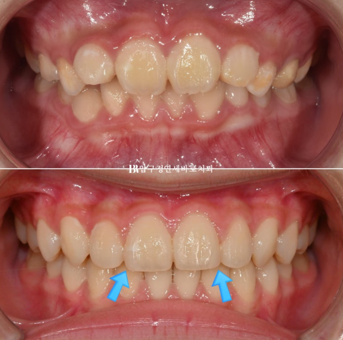
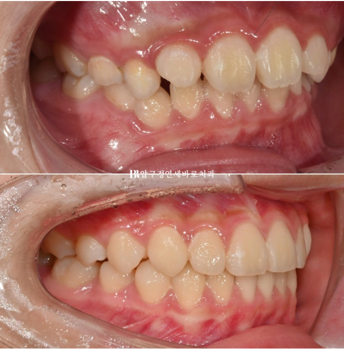
2022.09~2024.09
중심선은 잘 맞았고 앞니가 깊게 물리는 과개교합도 개선이 되었습니다.
파란 화살표 부분을 자세히 보시면 가운데 앞니 모양이 바뀐 것이 보입니다.

사진에서 보이듯 항아리 모양 치아는 앞니가 잘 배열이 된 후에도 여전히 끝단이 벌어져 보입니다.
이런 치아모양의 문제는 성인에서 무삭제 라미네이트로 해결이 가능하지만, 무삭제 라미네이트가 가능한 나이까지 아이의 커리어가 있고 그냥 두기는 아쉽습니다.
간단한 레진치료로 아이의 미소가 달라질 수 있습니다.

2022.09~2024.09

2022.09~2024.09
인비절라인 퍼스트에서 부여하는 18개월 보증기간은 짧으면 짧고 길다면 긴 시간입니다.
인비절라인 퍼스트로 소아교정을 하는 환자들은 보증기간이 끝나기 직전 즉 17개월차에 재제작을 염두해 둔 정기검진을 반드시 시행하고 있습니다.
18개월을 잘 활용해서 액티브한 치료기간과 쉬는 시간을 적절히 배치하여 가장 좋은 결과를 얻을 수 있도록 최선을 다하겠습니다.

