아카이브 요약
이 페이지의 역할
연세바로치과의원의 네이버 블로그 원문을 보존한 아카이브 페이지입니다. 치아교정 카테고리의 앞니부분교정 기간? MTA 미니튜브 교정 반대교합 교정 글을 통해 병원의 한국어 정보 제공 방식과 진료 관련 안내 톤을 확인할 수 있습니다.
원문 검증
필요하면 원문 블로그와 병원 프로필로 바로 이동해 문맥을 다시 확인할 수 있습니다.
출처 아카이브 열기아카이브된 블로그 글
연세바로치과의원 · 치과미슐랭
안녕하세요 앞니부분교정 기간은 얼마나 걸릴까요? 궁금하신 분들을 위한 포스팅입니다. 기간이 짧고 불편함은 거의 없는 교정 없을까요? 있습니다 바로 앞니만 움직이는 부분교정 입니다. 앞니 부분교정으로 삐뚤한 것만 가지런하게 하는 것이 아니라 반대교합을 고치기도 합니다. 24.01 앞니 부분교정을 위해 찾아오신 환자분입니...
게시일
2026년 3월 17일
원문 기준으로 확인된 발행일입니다.
카테고리
치아교정
원문 블로그 카테고리를 정리해 함께 표시합니다.
이미지 수
14
현재 아카이브에 연결된 이미지 수입니다.
아카이브 요약
연세바로치과의원의 네이버 블로그 원문을 보존한 아카이브 페이지입니다. 치아교정 카테고리의 앞니부분교정 기간? MTA 미니튜브 교정 반대교합 교정 글을 통해 병원의 한국어 정보 제공 방식과 진료 관련 안내 톤을 확인할 수 있습니다.
원문 검증
필요하면 원문 블로그와 병원 프로필로 바로 이동해 문맥을 다시 확인할 수 있습니다.
출처 아카이브 열기안녕하세요
앞니부분교정 기간은 얼마나 걸릴까요?
궁금하신 분들을 위한 포스팅입니다.
기간이 짧고 불편함은 거의 없는 교정 없을까요?
있습니다 바로 앞니만 움직이는 부분교정 입니다.
앞니 부분교정으로 삐뚤한 것만 가지런하게 하는 것이 아니라 반대교합을 고치기도 합니다.

24.01
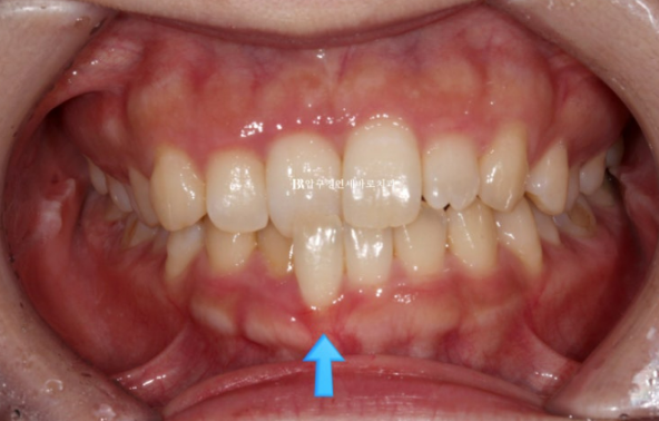
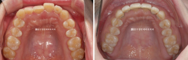
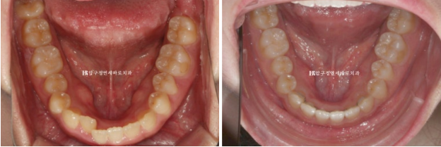
앞니 부분교정을 위해 찾아오신 환자분입니다.
파란 화살표 반대교합이 있는 치아는 잇몸이 많이 내려가 있습니다.

24.01
어금니를 물리는 것은 나쁘지 않습니다.
그렇지만 앞니가 삐뚤하고 파란화살표에 사이즈가 약간 작으면서 끝단이 둘로 나뉘어 있는 기형치가 보입니다.

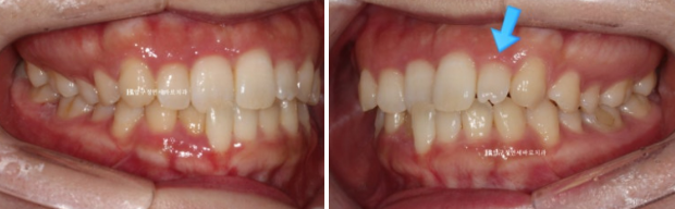
24.01
반대교합 치아는 다물때마다 서로 걸리면서 치아에 불필요한 외상성교합이 생기기도 합니다.

24.01
특히나 턱이 움직이는 경로를 제한하여 턱관절에 영향이 가기도 합니다.
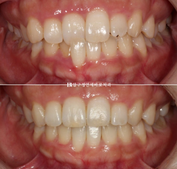
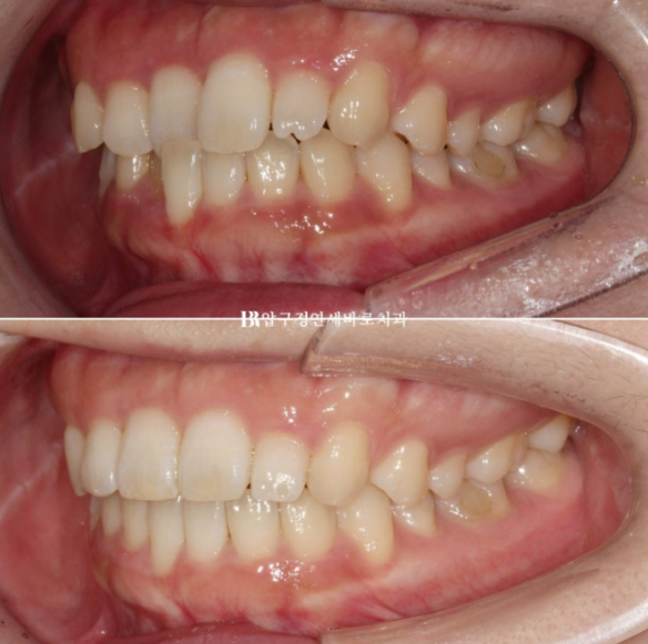
어금니 교합이 양호한 편이라 굳이 전체교정은 하지 않고 위아래 앞니 6개씩만 미니튜브 장치로 단기 앞니 부분교정 진행하기로 했습니다.

이 환자분은 장치 부착한 사진을 안 찍어서 중간 사진이 없습니다.
미니튜브가 뭔지 이해를 돋고자 다른 환자분 사진 대체합니다.
MTA 미니튜브 장치는 이런 모습입니다.
5개월에 걸친 후 올해 5월에 드디어 치료가 끝났습니다.

24.01~24.05

24.01~24.05
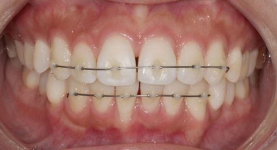
부정교합이 재발이 되지 않도록 철사 유지장치를 단단히 붙여놓습니다.

24.01~24.05
걸려있던 앞니가 해소되니 편안합니다.

24.01~24.05

24.01~24.05
5개월만에 예쁜 미소를 찾으셨습니다.

24.01~24.05
안타깝게도 반대교합 때문에 내려갔던 잇몸은 다시 올라오진 않습니다.
그래도 이제라도 반대교합을 해소하셨으니 앞으로 추가적인 퇴축은 없을 것 입니다.

24.01~24.05
기형치는 의도적으로 아래로 끌어내린 후 끝단을 편평하게 다듬어서 정상치아처럼 보이도록 했습니다.
굳이 라미네이트나 여타 다른 치료를 하지 않아도 이 정도의 기형치는 교정으로 깔끔하게 해결이 됩니다.
앞니부분교정 기간은 얼마나 걸릴까요?
이 환자분은 4개월 정도 걸리셨네요.
참고하시길 바랍니다.

