아카이브 요약
이 페이지의 역할
연세바로치과의원의 네이버 블로그 원문을 보존한 아카이브 페이지입니다. 중년교정 카테고리의 40대 치아교정 가능할까요? 치주염 있어도 치아교정 가능할까요? 임플란트 없이 교정하기 글을 통해 병원의 한국어 정보 제공 방식과 진료 관련 안내 톤을 확인할 수 있습니다.
원문 검증
필요하면 원문 블로그와 병원 프로필로 바로 이동해 문맥을 다시 확인할 수 있습니다.
출처 아카이브 열기아카이브된 블로그 글
연세바로치과의원 · 치과미슐랭
안녕하세요 압구정 교정치과입니다. 심미적인 이유로 교정을 많이 하기도 하지만 , 치료 목적으로도 교정치료를 불가피하게 하는 경우도 있습니다. 상담오시는 분들 중 40대 치아교정 가능할까요? 라고 물어보시는 분도 있습니다. 네 당연히 가능합니다. 오늘은 특히 심한 충치나 치주 질환 때문에 부득이하게 발치를 해야 하는...
게시일
2026년 3월 19일
원문 기준으로 확인된 발행일입니다.
카테고리
중년교정
원문 블로그 카테고리를 정리해 함께 표시합니다.
이미지 수
19
현재 아카이브에 연결된 이미지 수입니다.
아카이브 요약
연세바로치과의원의 네이버 블로그 원문을 보존한 아카이브 페이지입니다. 중년교정 카테고리의 40대 치아교정 가능할까요? 치주염 있어도 치아교정 가능할까요? 임플란트 없이 교정하기 글을 통해 병원의 한국어 정보 제공 방식과 진료 관련 안내 톤을 확인할 수 있습니다.
원문 검증
필요하면 원문 블로그와 병원 프로필로 바로 이동해 문맥을 다시 확인할 수 있습니다.
출처 아카이브 열기안녕하세요 압구정 교정치과입니다.
심미적인 이유로 교정을 많이 하기도 하지만 , 치료 목적으로도 교정치료를 불가피하게 하는 경우도 있습니다.
상담오시는 분들 중 40대 치아교정 가능할까요? 라고 물어보시는 분도 있습니다.
네 당연히 가능합니다.
오늘은 특히 심한 충치나 치주 질환 때문에 부득이하게 발치를 해야 하는 경우 임플란트를 심는 것 보다는 교정치과를 먼저 내원해 보는 것이 현명하다고 할 수 있습니다.
치아교정으로 주변 치아를 움직여 발치된 공간을 닫으면 임플란트를 안 해도 됩니다.
특히 돌출이 있거나 덧니가 심한 경우에는 일부로 교정발치를 합니다.
발치한 셈 치고 교정으로 덧니나 돌출입을 해소하며 임플란트를 안 심어도 되니, 환자 입장에서는 일석이조로 얻는 것이 많습니다.
오늘은 심한 치주염 때문에 앞니를 2개 발치한 경우 임플란트 없이 치료를 어떻게 마무리 하는 지 보여드리겠습니다.
클리피씨 증례입니다.

2022.11
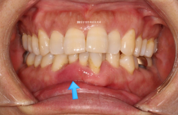
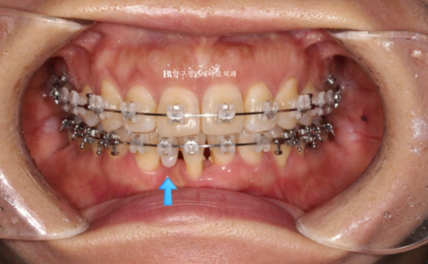
제작년 11월, 아래 앞니가 많이 흔들려서 교정치과를 찾아주셨습니다.
결과적으로는 임플란트 치과가 아니라 교정치과를 먼저 찾아오시는 현명함이 있어서 좋은 결과를 얻으셨습니다.
파란 화살표 부위가 치주염이 심한 부위입니다.
앞니 4개 중 3개가 모두 흔들리며 치주염이 깊은 상태여서 발치가 불가피한 상황입니다.
3개 중 2개는 발치를 하고 나머지 1개는 많이 흔들리지만 쓸때까지 쓰다가 나중에 빠지면 보철을 하기로 정하고 교정치료를 했습니다.

2022.11
돌출과 삐뚠 치아 때문에 오래전 상담했을 때에는 작은 어금니 4개를 발치해야 한다고 설명을 들으셨다고 합니다.
아래 앞니 2개를 빼면 위에도 2개를 빼야한다고 생각하기 쉽지만 정밀 진단을 통해 위에는 발치 없이 사랑니 공간을 이용하여 뒤로 미는 치료를 하기로 했습니다.
그 이유는 환자분의 인중 길이에 있습니다.

2022.11
치료 전 안모에서 앞니 돌출에 의한 입술 부전증과 함께 하관에 비해 인중이 긴 편임으로 알 수 있습니다.
위에까지 발치를 하면 입이 너무 많이 들어갈 가능성이 있습니다.
교정 후 인중까지 더 길어보이는 부작용이 생길 수 있습니다.
그래서 최종 치료계획은 위에 발치 없이 사랑니 공간을 이용해서 돌출을 해소하고 아래는 살릴 수 없는 앞니 2개를 발치 후 송곳니를 앞니 자리로 끌어와서 앞니처럼 쓰기로 했습니다.
단, 아래 앞니가 이 경우처럼 치주염이 심하면 발치를 하고 부었던 잇몸이 가라앉으면서 블랙트라이앵글이 크게 생기게 됩니다.
이 부분은 사전에 꼭 알려드립니다.

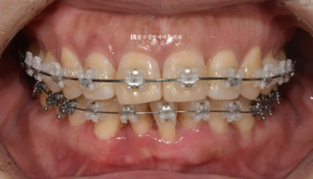
23.03
가장 상태가 안 좋은 아래 앞니 1개를 먼저 발치하고 클리피씨 장치로 나머지 치아를 배열합니다.
순차적으로 발치하는 이유는 처음부터 2개를 한 번에 빼면 빈공간이 너무 크기 때문입니다.

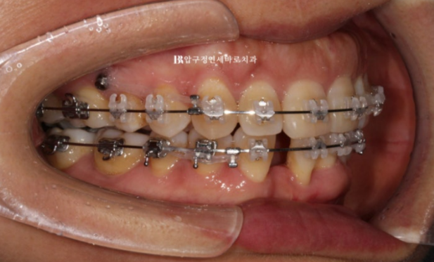
23.10
위에는 교정용 나사를 초반부터 심고 사랑니 공간으로 전체 치아를 뒤로 밀면서 돌출 해소를 하는 중입니다.

23.10
어느정도 배열이 잡힌 후에 나머지 앞니 1개를 더 뺍니다.

23.10
발치한 빈 공간에는 환자분의 품위 유지를 위해 가짜 이를 달았고
이 후 몇달간 치료 끝에

24.05
치료 시작 1년 6개월 만인 이번달에 치료를 마무리 했습니다.
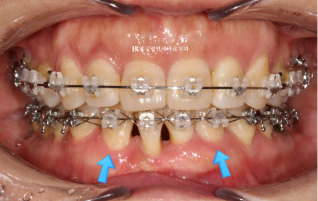
파란 화살표는 송곳니이고 앞니 자리로 잘 이동했습니다.

교합도 좋습니다.

2022.11~24.05
파란 화살표 앞니 자리에 와 있는 송곳니입니다.

2022.11~24.05
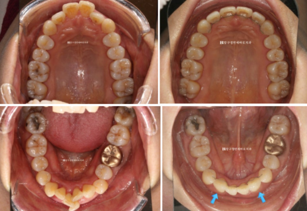
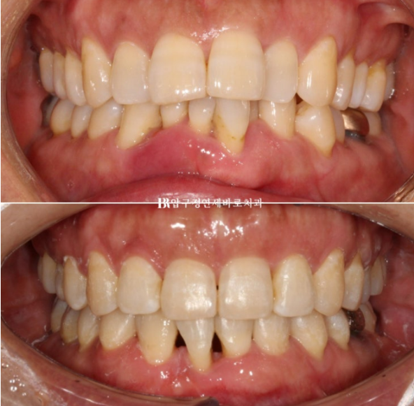
앞니쪽 치주염은 꾸준히 관리로 잘 치료가 되었고 앞니 뻗침은 개선이 되었습니다.

2022.11~24.05
앞니 4개가 있어야 할 자리에 앞니 2개로 마무리를 하면 블랙트라이앵글이 생길 수 밖에 없습니다.
특히 치주염으로 부었던 잇몸이 가라앉으면서 블랙트라이앵글이 더 커보이는 것 입니다.
이 부분은 교정 후에도 치간칫솔로 잘 닦아주면서 치석이 들어차지 않게끔 스스로 관리 하도록 당부드렸습니다.
간혹 이 부분을 메우고 싶어하는 경우가 있으나 워낙 치주염이 심했던 부위여서 추천드리지는 않습니다.
다행인 점은
입모양이나 말하는 근육의 쓰임새에 따라 사람마다 윗니와 아랫니가 보이는 정도는 다 다릅니다.
환자분은 일상 대화나 웃을 때 아래 앞니 블랙트라이앵글이 겉으로는 안 보이는 경우였습니다.

2022.11~24.05
윗니 끝단과 아랫입술이 이루는 스마일라인은 중요합니다.

2022.11~24.05
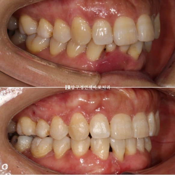
돌출입 해소가 되며 깔끔한 인상이 되었습니다.

2022.11~24.05
치주염으로 솟아올라와있던 아래 앞니가 정리되면서 뒤로 들어갔고 위 앞니는 뒤로 약 5mm 들어갔습니다.

22.11

24.05
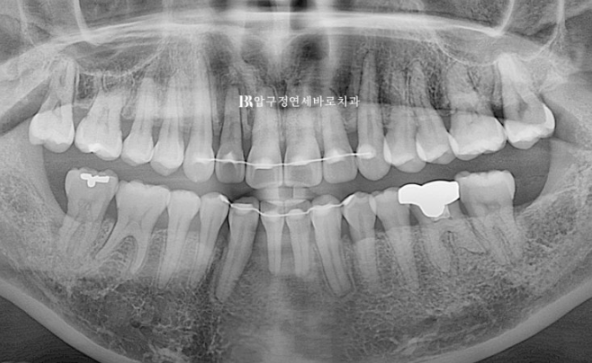
교정 후 엑스레이 입니다.
치아 뿌리 축은 양호하고 많이 흔들리던 앞니는 교정용 철사 유지장치를 붙여놨습니다.
관리를 잘 하시면 큰 불편함 없이 쓸 수 있습니다.
40대 교정 가능한가요? 치주염이 있어도 교정이 가능한가요?
네 가능합니다. 그렇지만
보통 치주염이 있는 환자의 교정치료는 통상적인 교정치료보다 오래 걸립니다.
잇몸에 무리가 가지 않도록 천천히 움직이기 때문입니다.
이 환자분은 치아이동이 빠른 편이여서 치료기간이 특별히 더 길어지지 않고 교정치료가 잘 마무리 되었습니다.
오늘 보여드린 것처럼 발치 진단이 나왔을 때 임플란트 없이 교정으로 큰 효과를 보는 경우도 많습니다.
교정치과를 먼저 방문해보세요

