Hello, I am Dr. Eui-Sun Baek, PhD in Orthodontics.
When a tooth is lost due to decay or trauma—especially if the missing tooth is a premolar—it is advisable to visit an orthodontic clinic before proceeding with an implant. If orthodontic diagnosis reveals crowding or protrusion, treatment can often proceed as if the premolar had been extracted for orthodontic purposes, allowing correction without the need for an implant.

2023.07-2025.12
This patient is a foreign individual in their 20s who first visited us in July 2023 for orthodontic treatment.
At Yonsei Baro Dental Clinic in Apgujeong, we treat many international patients. Both I and the associate doctors are fluent in English, so communication during treatment is smooth and effective.

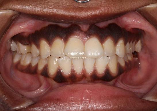
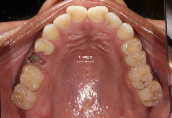
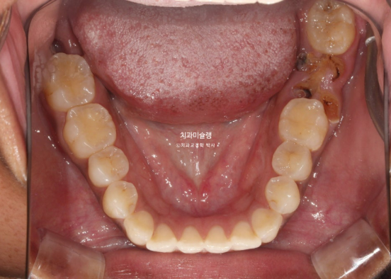
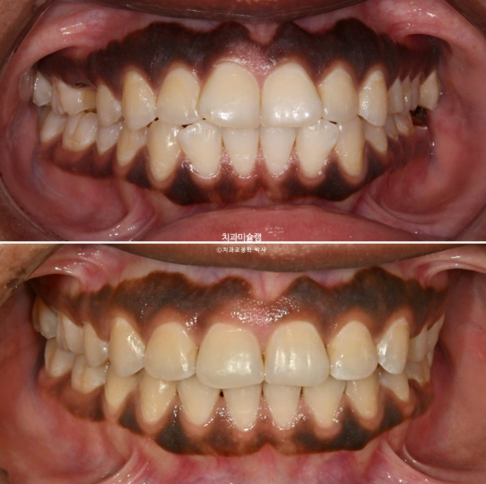
23.07
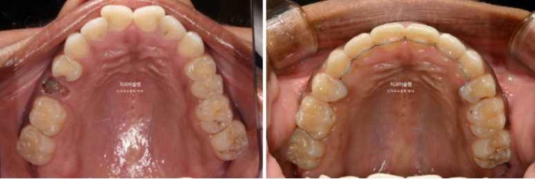
The patient had previously undergone non-extraction orthodontic treatment but did not wear retainers, resulting in relapse of the anterior teeth. Due to dental caries, several teeth were subsequently lost, leading the patient to seek re-treatment.

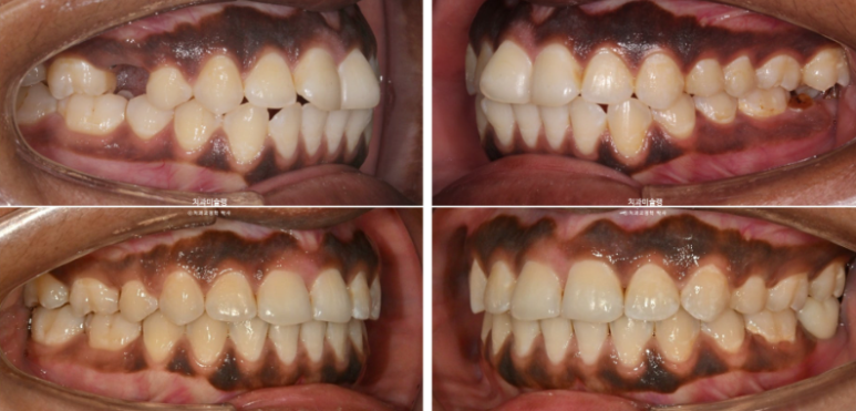
In the maxilla, one premolar had decayed to the point where only the root remained.

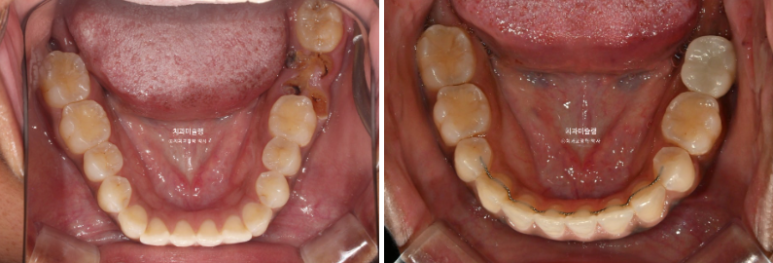
In the mandible, a molar was in a similar condition, with only the root remaining.
In cases where a premolar is missing like this, if protrusion or crowding is present, we can proceed as if premolar extraction had already been performed. By extracting other compromised premolars and utilizing the extraction spaces, we can resolve crowding and protrusion simultaneously. This approach is advantageous, as premolar extraction is often indicated in such cases, and it eliminates the need for implants.

On the opposite side, there was a tooth that had undergone root canal treatment and had been temporarily restored. We decided to extract this tooth.
We determine which teeth to extract and establish a treatment plan based on what is most beneficial for the patient.
For the missing mandibular molar, ideally, the wisdom tooth could be moved forward to replace it. However, the wisdom tooth already showed root inflammation and was not in a healthy condition. Therefore, we decided to extract the wisdom tooth and proceed with orthodontic treatment, followed by implant placement in the molar region.

For the mandibular arch, we decided to extract the second premolar affected by dental caries.

In the area of the missing mandibular molar, the site had been left untreated for a long period. As a result, the opposing tooth (indicated by the blue arrow) had supra-erupted.
For proper implant placement, this opposing tooth needs to be intruded through orthodontic treatment.
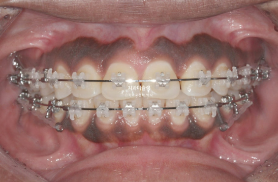
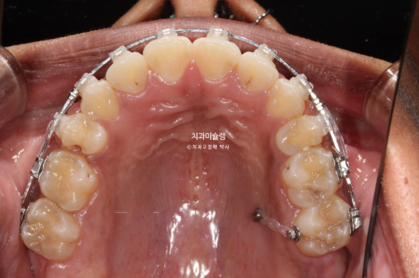
The patient opted for treatment using Clippy-C bracket orthodontics.
The treatment plan involves first closing the extraction spaces by retracting the protruded anterior teeth, followed by sequential intrusion of the supra-erupted molar.

24.09
This is the patient’s condition at 1 year and 2 months after the start of treatment.

Approximately one-third of the extraction space remains.


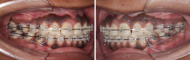
At 2 years into treatment, closure of the extraction spaces was completed.

At this stage, the implant fixture was first placed in the mandibular posterior region, followed by intrusion of the supra-erupted opposing tooth.

For effective intrusion, a temporary orthodontic mini-screw was placed in the palate.

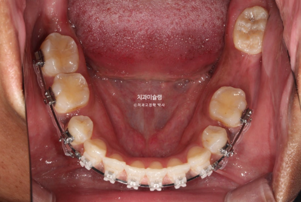
After successful intrusion of the opposing tooth, the implant crown was delivered in December 2025, and the orthodontic treatment was completed.
The total treatment period was 2 years and 5 months.

25.12
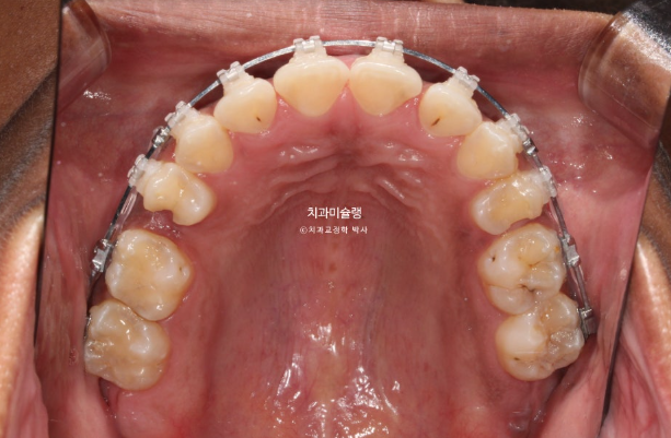
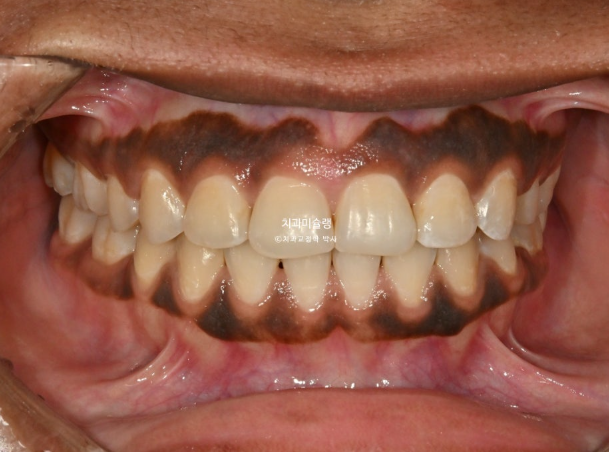
The maxillary and mandibular midlines are well aligned,

and the molar occlusion demonstrates a tight Class I relationship with no spacing.We will now review the before-and-after comparison.

2023.07-2025.12

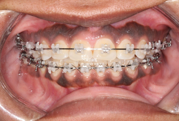
The treatment, including implant placement, was completed with a clean and stable result.

23.07~25.12

2023.07-2025.12
Now, let’s take a look at the facial profile changes.

23.07~25.12
The patient’s broad smile, showing even the second molars, is particularly attractive. This type of “big smile” is relatively uncommon among Asian patients.

23.07~25.12
With the protruded anterior teeth corrected, the smile appears much more refined and harmonious.

23.07~25.12
The lip protrusion has also been resolved.

2023.07-2025.12
Even in cases involving extraction of four premolars, we carefully control the treatment to avoid excessive retraction that could result in an aged appearance.

2023.07-2025.12

2023.07-2025.12
Throughout the orthodontic treatment period, there was no evidence of root resorption, and root parallelism remains excellent.
When teeth are lost due to decay, rather than immediately filling the space with implants or bridges, it is often most prudent to first consult an orthodontist.
We hope this case provides helpful guidance and reassurance to those who may feel discouraged after losing teeth.
