아카이브 요약
이 페이지의 역할
연세바로치과의원의 네이버 블로그 원문을 보존한 아카이브 페이지입니다. 치아교정 카테고리의 블랙트라이앵글 없애는 교정 가능할까요? 재교정 단기교정 후기 글을 통해 병원의 한국어 정보 제공 방식과 진료 관련 안내 톤을 확인할 수 있습니다.
원문 검증
필요하면 원문 블로그와 병원 프로필로 바로 이동해 문맥을 다시 확인할 수 있습니다.
출처 아카이브 열기아카이브된 블로그 글
연세바로치과의원 · 치과미슐랭
안녕하세요 압구정 교정치과입니다. 클리피씨 앞니 부분교정으로 블랙트라이앵글을 없앤 케이스를 보여드렸었는데 꼭 클리피씨로 교정을 해야 하는가? 에 대한 문의글이 있었습니다. 23.04~23.08 클리피씨 교정만이 아니라 안 보이는 설측장치 2D 교정으로도 가능합니다. 오늘은 2D 부분교정으로 블랙트라이앵글을 없앤 재교정 후...
게시일
2026년 3월 23일
원문 기준으로 확인된 발행일입니다.
카테고리
치아교정
원문 블로그 카테고리를 정리해 함께 표시합니다.
이미지 수
14
현재 아카이브에 연결된 이미지 수입니다.
아카이브 요약
연세바로치과의원의 네이버 블로그 원문을 보존한 아카이브 페이지입니다. 치아교정 카테고리의 블랙트라이앵글 없애는 교정 가능할까요? 재교정 단기교정 후기 글을 통해 병원의 한국어 정보 제공 방식과 진료 관련 안내 톤을 확인할 수 있습니다.
원문 검증
필요하면 원문 블로그와 병원 프로필로 바로 이동해 문맥을 다시 확인할 수 있습니다.
출처 아카이브 열기안녕하세요
압구정 교정치과입니다.
클리피씨 앞니 부분교정으로 블랙트라이앵글을 없앤 케이스를 보여드렸었는데
꼭 클리피씨로 교정을 해야 하는가? 에 대한 문의글이 있었습니다.

23.04~23.08
클리피씨 교정만이 아니라 안 보이는 설측장치 2D 교정으로도 가능합니다.
오늘은 2D 부분교정으로 블랙트라이앵글을 없앤 재교정 후기를 보여드리겠습니다.
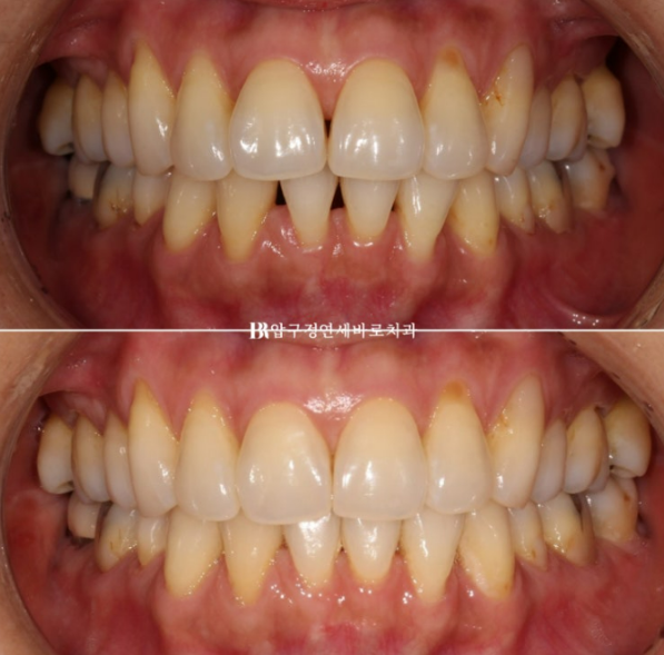
오래전 교정을 한 후에 붙이고 있던 철사 유지장치를 불편해서 제거하였더니 앞니가 다시 틀어졌다며 재교정을 위해 오신 환자분입니다.

23.04
교정 후 n년이 지나고 나서 철사유지장치를 제거하면 다시 틀어짐은 100% 생깁니다.
그러나 잇몸상태에서 금방 다시 틀어지는 분이 있고, 몇년 지나도 틀어짐이 적은 분도 계십니다.
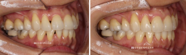
앞에서 봤을 때 블랙트라이앵글이 크죠
특히 앞니 두개가 유난히 커보입니다.

23.04
치아는 철저히 원근법을 따릅니다.
앞니 두 개가 큰 것 같다고 오시면 막상 치아 사이즈의 문제가 아닐 때가 있어요.
앞니 두 개가 옆 치아들에 비하여 앞으로 나와있어서인 경우가 많습니다.
배열만 잡혀도 앞니가 커보이는 것은 자연스럽게 해소가 됩니다.
재교정 치료여서 안 보이는 2D 장치를 선택하셨고, 치간 삭제 그리고 고무줄을 적절히 써가면서 치료했습니다.

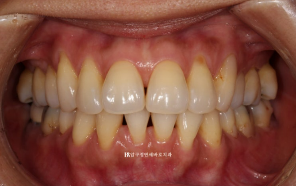
23.06
치료 시작 2개월 후 모습입니다.
2D장치는 뒤에 설측으로 붙여서 앞에는 교정 중인 것이 티가 나지 않습니다.

23.06
블랙트라이앵글이 벌써 많이 줄었습니다.
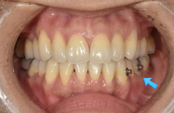
사진에 파란 화살표는 송곳니 뒤쪽 공간이 벌어지지 않게 하는 장치입니다.
앞니 부분교정은 간단해 보이지만, 송곳니 뒤에 공간이 벌어진다던지 하는 부작용을 막기 위해 은근하게 손이 많이 가는 치료입니다.

23.08
이 후 2개월 간 마무리 치료를 더 하고 재교정치료를 마쳤습니다.
총 치료기간은 4개월 입니다.
간혹 교정기간이 짧으면 잇몸에 무리가 가는 거 아닙니까?
라고 물어보는 분들이 있습니다.
치아는 힘을 세개 준다고 해서 절대 빨리 움직이지 않습니다.
오히려 치아 이동이 더디고 잇몸에 무리가 갑니다.
교정치료가 빨리 끝나려면 처음부터 치료가 길어지지 않게 모든 치아 이동을 양상을 사전에 예측해야 합니다.
미리 예방하는 치료가 필요합니다.

23.04~23.08
이런 이유에서 많이 경험과 노하우가 필요한 부분입니다.

23.04~23.08
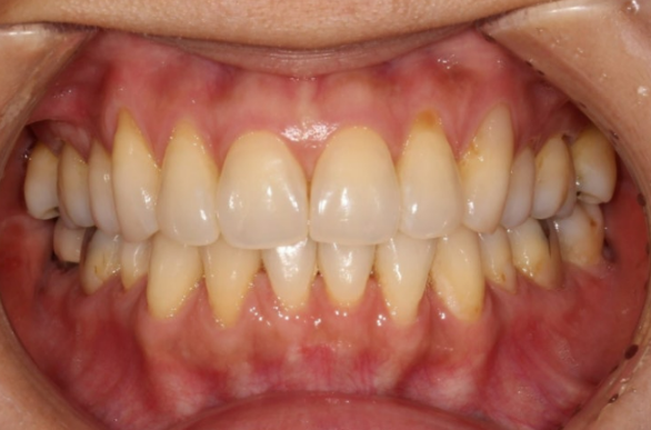
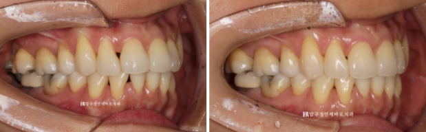
비스듬한 측면에서 봤을 때에도 블랙트라이앵글이 많이 줄어든 것이 보입니다.

23.04~23.08
치간삭제와 고무줄을 병행하면서 튀어나와있었던 앞니를 뒤로 꽤 많이 넣었습니다.

23.04~23.08

23.04~23.08
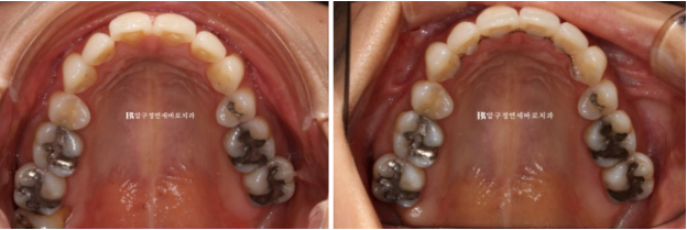
철사 유지장치까지 이물감 없이 깔끔하게 들어간 모습입니다.
유지장치도 주기적인 관리가 필요합니다.
이번에는 정기검진과 유지관리를 더욱 철저히 받기로 하셨습니다.

23.04~23.08
앞니 두개가 유난히 커보이던 문제도 깔끔히 해결이 되었습니다.
1-2년 걸리는 고난이도 전체교정도 의미가 있지만
이렇게 단기간에 좋은 결과가 나오는 앞니 부분교정도 보람이 큽니다.
오래 전 교정치료의 부작용으로 생긴 블랙트라이앵글이나 다시 틀어진 치아를 보고 고민만 하지 마시고
가까운 교정치과에서 상담 받아보세요
단기간 해결이 가능한 케이스일 수 있습니다.

