아카이브 요약
이 페이지의 역할
연세바로치과의원의 네이버 블로그 원문을 보존한 아카이브 페이지입니다. 무삭제 라미네이트 젤라미 카테고리의 인비절라인 라이트 후 무삭제 라미네이트 치료 글을 통해 병원의 한국어 정보 제공 방식과 진료 관련 안내 톤을 확인할 수 있습니다.
원문 검증
필요하면 원문 블로그와 병원 프로필로 바로 이동해 문맥을 다시 확인할 수 있습니다.
출처 아카이브 열기아카이브된 블로그 글
연세바로치과의원 · 치과미슐랭
안녕하세요 압구정 교정치과입니다. 압구정 무삭제 라미네이트 저희 치과에서는 건강을 해치지 않는 선에서 가장 아름답고 자연스러운 결과를 추구합니다 교정치료가 메인히자만 무삭제 라미네이트 치료도 함께 많이 합니다. 22.12.19 환자분은 라미네이트를 원하셨으나 피팅을 해보시고는 결국 인비절라인과 무삭제 라미네이트를 함께 받...
게시일
2026년 3월 25일
원문 기준으로 확인된 발행일입니다.
카테고리
무삭제 라미네이트 젤라미
원문 블로그 카테고리를 정리해 함께 표시합니다.
이미지 수
6
현재 아카이브에 연결된 이미지 수입니다.
아카이브 요약
연세바로치과의원의 네이버 블로그 원문을 보존한 아카이브 페이지입니다. 무삭제 라미네이트 젤라미 카테고리의 인비절라인 라이트 후 무삭제 라미네이트 치료 글을 통해 병원의 한국어 정보 제공 방식과 진료 관련 안내 톤을 확인할 수 있습니다.
원문 검증
필요하면 원문 블로그와 병원 프로필로 바로 이동해 문맥을 다시 확인할 수 있습니다.
출처 아카이브 열기안녕하세요
압구정 교정치과입니다.
압구정 무삭제 라미네이트
저희 치과에서는 건강을 해치지 않는 선에서 가장 아름답고 자연스러운 결과를 추구합니다
교정치료가 메인히자만 무삭제 라미네이트 치료도 함께 많이 합니다.

22.12.19
환자분은 라미네이트를 원하셨으나
피팅을 해보시고는 결국 인비절라인과 무삭제 라미네이트를 함께 받기로 하셨습니다.
무삭제 라미네이트는 예쁘면서 불편감 없게 잘 마무리가 되기 까다롭습니다.
그래서 피팅을 통해서 길이나 두께감, 입술 적응 여부 등을 미리 경험해보시는게 좋으며 그리고 나서 후회하는 일이 없습니다.
무삭제 라미네이트는 재료에 따라 다르지만 워낙 단단하고 접착력이 셉니다.
제거가 쉽지 않으니 꼭 미리 피팅해보시는 것을 추천합니다.
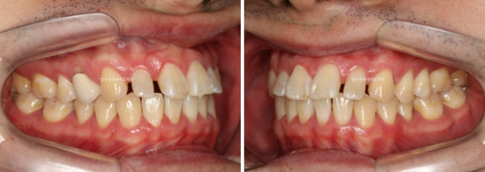
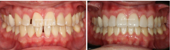
2022년 12월에 첫 내원하셨고 23년 10월에 교정과 무삭제 라미네이트가 마무리가 되었으니 약 10개월 동안 치료를 받으신 것 입니다.

2022.12.19~2023.10.14
인비절라인 라이트로 위 아래의 배열과 각도를 개선하고 아래 앞니 사이 벌어진 곳은 무삭제 라미네이트 없이 교정으로 공간을 없앴습니다.
좌우 라미네이트 사이즈가 균형있게 들어갈 수 있게 공간 분배를 마친 후 무삭제 라미네이트를 붙였습니다.
무삭제 라미네이트 하는 데 가장 중요하게 생각하는 부분은 건강을 해치지 않기 (치아삭제 없도록, 잇몸 건강을 지켜내도록) 자연스러움(색상과 형태) 입니다.
무삭제 라미네이트 한다고 했더니, 막상 가보니 삭제를 조금이지만 해야 한다더라 등 이런 후기 보셨죠
색상은 사실 환자분들마다 호불호가 뚜렷하여 밝게도 하기도 하고 자연스럽게도 합니다.
저희 치과에서는 피팅이라는 과정이 있다보니.. 치아교정이라는 거대한 결심을 할 수 있었다고 합니다.

치아가 둥글둥글한 자일리톨처럼 생긴 것이 아니라 치아형태학 교과서에 나오는 형태로 만들기 위해 노력합니다.
나올데는 나오고, 들어갈 곳은 들어가는 편평해야 할 곳은 납작한 그런 형태입니다.
그 과정에서 교정치료가 필요하시면 치아 교정치료를 동반하면 됩니다.
이런 이유로 무삭제 라미네이트를 교정과에서 받으면 좋습니다.
무삭제 라미네이트 건강하고 자연스럽게 하고 싶으신가요?
그 해답은 피팅을 통해 직접 경험이 가능합니다.


