아카이브 요약
이 페이지의 역할
연세바로치과의원의 네이버 블로그 원문을 보존한 아카이브 페이지입니다. 무삭제 라미네이트 젤라미 카테고리의 무삭제 라미네이트 젤라미 정말 최소삭제도 안할까? 글을 통해 병원의 한국어 정보 제공 방식과 진료 관련 안내 톤을 확인할 수 있습니다.
원문 검증
필요하면 원문 블로그와 병원 프로필로 바로 이동해 문맥을 다시 확인할 수 있습니다.
출처 아카이브 열기아카이브된 블로그 글
연세바로치과의원 · 치과미슐랭
안녕하세요 무삭제 라미네이트 소개해드리겠습니다. 오늘의 주제는 무삭제 라미네이트 젤라미 정말 최소삭제도 안할까? 입니다. 질문에 대한 대답은 : 네 입니다. 정말 무삭제 라미네이트를 원하여 내원하신 환자분과 이야기를 해보면 다른 치과에서 검사를 해보니 막상 최소 삭제는 불가피하게 필요하다 라는 상담을 많이 들었다고 합...
게시일
2026년 3월 27일
원문 기준으로 확인된 발행일입니다.
카테고리
무삭제 라미네이트 젤라미
원문 블로그 카테고리를 정리해 함께 표시합니다.
이미지 수
7
현재 아카이브에 연결된 이미지 수입니다.
아카이브 요약
연세바로치과의원의 네이버 블로그 원문을 보존한 아카이브 페이지입니다. 무삭제 라미네이트 젤라미 카테고리의 무삭제 라미네이트 젤라미 정말 최소삭제도 안할까? 글을 통해 병원의 한국어 정보 제공 방식과 진료 관련 안내 톤을 확인할 수 있습니다.
원문 검증
필요하면 원문 블로그와 병원 프로필로 바로 이동해 문맥을 다시 확인할 수 있습니다.
출처 아카이브 열기안녕하세요
무삭제 라미네이트 소개해드리겠습니다.
오늘의 주제는 무삭제 라미네이트 젤라미 정말 최소삭제도 안할까? 입니다.
질문에 대한 대답은 : 네 입니다.
정말 무삭제 라미네이트를 원하여 내원하신 환자분과 이야기를 해보면 다른 치과에서 검사를 해보니 막상 최소 삭제는 불가피하게 필요하다 라는 상담을 많이 들었다고 합니다.
최소이기는 해도 삭제가 필요한 경우가 있습니다.
앞니가 가지런하지 않고 튀어나온 부분이 있어요.
라미네이트 후 두께가 두꺼워 지는 것을 막기 위해
만약 다른 치과에서 삭제를 해아한다고 했다면 팩트입니다.
어느 치과에 가도 같은 소견을 듣습니다.
무삭제 라미네이트가 정말 무삭제가 되려면 먼저 앞니 6개 배열이 가지런해야 합니다.
치아 높낮이 차이는 좀 나도 괜찮습니다.
짧은 치아를 옆 치아에 맞춰서 길게 만드는 것은 삭제 없이도 가능한 부분입니다.
그런데 치아가 돌아가 있거나 튀어나온 부분이 있다면 그 부분을 삭제 해야 라미네이트가 가능해집니다.
배열이 가지런하다 라는 전제만 있다면 무삭제 라미네이트 가능합니다.
배열은 가지런한데, 앞니 사이즈가 크고 돌출감이 있는 경우라면 무삭제 라미네이트 가능은 하지만
막상 붙인 후 라미네이트 두께감 때문에 앞니가 더 튀어나와 보이고 커보일 수 있습니다.
이런게 싫다고 하신다면
치아 앞면을 라미네이트 두께만큼 한 겹 깎아내고 붙이기
아니면 무삭제 라미네이트를 아주아주 얇게 제작해서 붙이기 입니다.
무삭제 라미네이트를 하러 오신 분 입니다.
치아 색을 밝게 하기 위해서 치아미백을 너무너무 자주 하게 되면 치아가 시립니다.
이 경우 무삭제 라미네이트가 좋은 해결 방법이 됩니다.

배열은 꽤 고른 편이지만 앞니가 약간 들쑥날쑥 스텝 차이 나는 부분은 뒤로 들어간 곳의 두께를 약간 두껍게 제작해서 맞춰드리기로 했습니다.

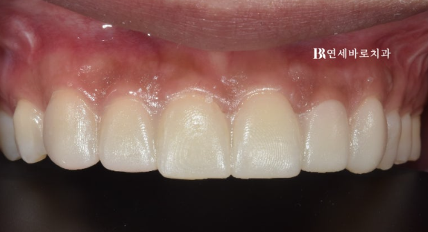
무삭제 라미네이트 젤라미 피팅
피팅을 한 모습입니다.
송곳니에서 송곳니까지 앞니 6개가 한덩어리의 피팅용 임시 플라스틱으로 붙어있는 상태입니다.
여기서 실제 라미네이트의 두께감, 모양, 길이감 등을 최종 확인하고 고치고 싶은 부분이 있다면 바로 수정을 할 수 있습니다.
웃을 때 입술라인과 윗니가 이루는 라인이 조화를 이루는 지도 확인하고요
45도 각도에서 웃었을 때 앞니가 옥니처럼 쓰러진 느낌인지, 뻐드러져 보이는 지도 체크합니다.
앞니 각도의 미세한 조절과 앞니 높낮이의 미세한 조절은 교정과 의사의 특기입니다.
치아 뿐 아니라 얼굴과 웃을 때의 입모양까지 종합적인 확인을 합니다.
그래서 환자분이 가장 만족하는 형태, 길이, 모양을 최종 확인을 한 뒤에 제작에 들어가면
라미네이트를 붙이고 난 뒤에 후회가 없습니다.
무삭제 라미네이트는 한 번 붙이고 나면 제거가 어렵습니다.
전부 갈아내야 합니다.
막상 붙치고 나니 자일리톨 같아요 너무 커서 말이빨 같아요 등등 불만이 있으실 수 있습니다.
피팅은 미리 체험해보는 것 입니다.
부착 전 내 모습을 미리 보고 진짜 무삭제 라미네이트 치료가 시작됩니다.

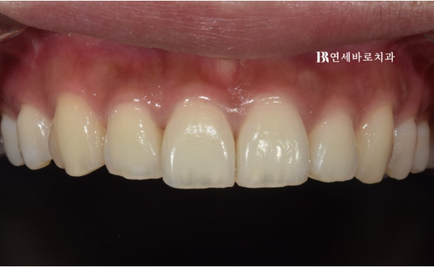
최종적인 무삭제 라미네이트 젤라미 붙인 후 모습입니다.
유리알처럼 투명하죠?
너무 통으로 하얗게 보이지 않도록 치아 아래쪽에서 위로 올라갈수록 원래 치아 색이 우러나오는 자연스러운 그라데이션입니다.
가짜 이 같지 않죠?
자연스러운게 나중에 봐도 촌스럽지 않습니다.
얼마의 시간 후 환자분이 앞니로 딱딱한 것을 드시다가 미세한 금이 가서 교체를 위해 내원하셨습니다.
교정을 했건 라미네이트를 했건 안 했건 앞니는 항상 조심해주세요.

찐 무삭제 인증
치아 하나의 라미네이트를 완전히 갈아내어 제거한 모습입니다.
무삭제 인증입니다.
살짝 어두운 톤의 원래 치아가 얼굴을 내밉니다.
갈아내더라도 그 안에는 본인 치아를 고스란히 간직하고 있어서
임시치아는 필요 없고 일상생활도 가능합니다.

하얀 치아를 가지고 싶은데 치아 미백을 너무 자주 하기에는 부담이다 하시는 분들.
치아 삭제가 부담스럽다 하는 분들은 무삭제 라미네이트 젤라미를 추천드립니다.

