아카이브 요약
이 페이지의 역할
연세바로치과의원의 네이버 블로그 원문을 보존한 아카이브 페이지입니다. 인비절라인 카테고리의 50대 60대 중년 치아 벌어짐 단기 교정 해결하기 글을 통해 병원의 한국어 정보 제공 방식과 진료 관련 안내 톤을 확인할 수 있습니다.
원문 검증
필요하면 원문 블로그와 병원 프로필로 바로 이동해 문맥을 다시 확인할 수 있습니다.
출처 아카이브 열기아카이브된 블로그 글
연세바로치과의원 · 치과미슐랭
안녕하세요 압구정 교정치과입니다. 나이가 들면 누가 치아가 벌어집니다. 삐뚤어지기도 하고요 치주조직이 약해지며 잇몸뼈가 치아를 단단하게 잡아주지 못하기 때문입니다. 빠르면 30대부터 시작하고 보통은 40대가 되면 이 현상은 자연스러운 노화과정입니다. 이를 방치하면 점점 심해지면서 나중에는 교정으로도 해결하기 어렵습니다....
게시일
2026년 4월 2일
원문 기준으로 확인된 발행일입니다.
카테고리
인비절라인
원문 블로그 카테고리를 정리해 함께 표시합니다.
이미지 수
9
현재 아카이브에 연결된 이미지 수입니다.
아카이브 요약
연세바로치과의원의 네이버 블로그 원문을 보존한 아카이브 페이지입니다. 인비절라인 카테고리의 50대 60대 중년 치아 벌어짐 단기 교정 해결하기 글을 통해 병원의 한국어 정보 제공 방식과 진료 관련 안내 톤을 확인할 수 있습니다.
원문 검증
필요하면 원문 블로그와 병원 프로필로 바로 이동해 문맥을 다시 확인할 수 있습니다.
출처 아카이브 열기안녕하세요
압구정 교정치과입니다.
나이가 들면 누가 치아가 벌어집니다.
삐뚤어지기도 하고요
치주조직이 약해지며 잇몸뼈가 치아를 단단하게 잡아주지 못하기 때문입니다.
빠르면 30대부터 시작하고 보통은 40대가 되면 이 현상은 자연스러운 노화과정입니다.
이를 방치하면 점점 심해지면서 나중에는 교정으로도 해결하기 어렵습니다.

아직 많이 틀어지지 않았을 때 빠르고 간단하게 교정이 가능합니다.
시기를 놓치지 마시고 가까운 교정치과에서 상담을 받아보시기를 권유드립니다.
교정치료는 보통 1-2년은 걸린다고 생각하니 부담스러워 선뜻 용기를 못 내는 경우가 많은데 생각보다 치료기간이 짧은 경우도 많습니다.
특히 부정교합의 수많은 유형 중 인비절라인이 오히려 철사 교정보다 빠르고 잘 되는 경우가 있을까요?
치아 벌어짐 입니다.
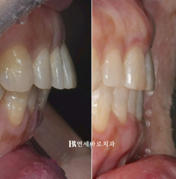
오늘은 60대 환자분이 6개월 만에 인비절라인으로 벌어진 치아를 말끔하게 교정한 사례를 보여드리겠습니다.

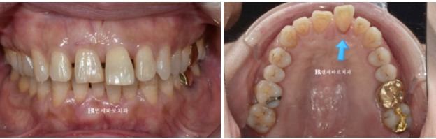
23.01
치아가 점점 벌어져서 오시는 경우 단기간에 급속도로 벌어졌다면 노화가 아닌 잇몸염증 때문인 경우가 많습니다.
특히 사진처럼 염증이 있는 치아는 점점 앞으로 돌출이 될 뿐아니라 아래로도 내려오게 됩니다.
그래서 벌어짐의 이유가 잇몸염증 때문이라면 교정치료 전 잇몸 염증 치료를 먼저 해야 합니다.
그래야 치아를 움직일때 부작용도 적고 교정이 끝나고 다시 벌어지는 재발 위험도 낮출 수 있습니다.
꼼꼼한 잇몸치료 후 인비절라인 교정 치료에 들어갔습니다.
어금니 교합은 원래 좋은 편이여서 전략적으로 원래 교합을 유지하면서 치료를 진행했습니다.
어린 친구들과는 다르게 수십년간 같은 교합으로 지내오신 관성이 있어서 어금니 교합이 바뀌면 많이 불편해하십니다.
중년 교정이니 젊은 분들 교정과는 조금 다르게 접근해야 합니다.

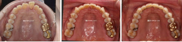
23.1~23.7
인비절라인 치료 중에는 치아에 어태치먼트가 필요합니다.
인비절라인으로 교정이 잘 안 되던 과거와 현재가 명확히 나뉘는 기준은 바로 이 어태치먼트의 유무입니다.

23.1~23.7
6개월 간 치료 후 마무리 하였습니다.
인비절라인 1차로 치료가 끝난 후 디테일한 부분들을 수정하는 추가장치를 제작해야 하는 경우가 많은데 워낙에 장치를 잘 껴주셨고 치아 이동도 원활한 편이어서 추가장치 없이 마무리 했습니다.
교정이 너무 빨리 끝났다며 아쉬워 하셨습니다.
인비절라인 라이트로 하기에는 무리가 있어서 5년 보증 인비절라인 컴프리헨시브로 했는데
추가장치도 없이 빠르게 치료가 종료되니 시원 섭섭한 마음이 드셨나봐요.
하지만 인비절라인이 인비절라인 라이트와 다른 점은?
개런티 기간이 5년이나 된다는 것이죠
행여나 유지관리를 소홀히 하여 조금 재발이 되어도 5년 안에는 추가장치 개념으로 재주문이 가능합니다.

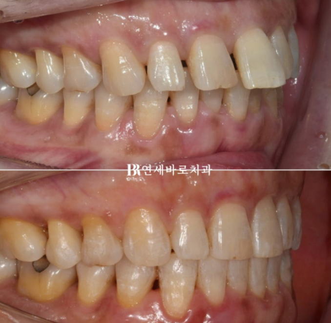
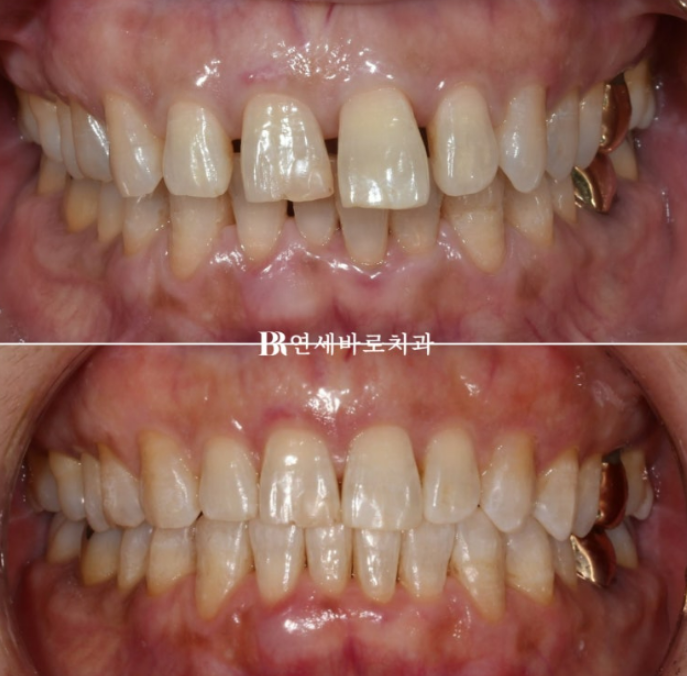
23.1~23.7

23.1~23.7
점점 벌어지면서 돌출 되었던 앞니가 다시 뒤로 들어가며 제자리를 찾았습니다.

적절한 치료 계획, 적당한 갯수의 올바른 어태치먼트의 배치 각 치아 마다 다른 전략적인 staging 자잘한 노하우들이 쌓여 가장 빠르고 좋은 결과를 만들어 냅니다.

