아카이브 요약
이 페이지의 역할
연세바로치과의원의 네이버 블로그 원문을 보존한 아카이브 페이지입니다. 치아교정 카테고리의 40대 후반 치아교정 해도 될까요? 글을 통해 병원의 한국어 정보 제공 방식과 진료 관련 안내 톤을 확인할 수 있습니다.
원문 검증
필요하면 원문 블로그와 병원 프로필로 바로 이동해 문맥을 다시 확인할 수 있습니다.
출처 아카이브 열기게시일
2026년 4월 6일
원문 기준으로 확인된 발행일입니다.
카테고리
치아교정
원문 블로그 카테고리를 정리해 함께 표시합니다.
이미지 수
9
현재 아카이브에 연결된 이미지 수입니다.
아카이브 요약
연세바로치과의원의 네이버 블로그 원문을 보존한 아카이브 페이지입니다. 치아교정 카테고리의 40대 후반 치아교정 해도 될까요? 글을 통해 병원의 한국어 정보 제공 방식과 진료 관련 안내 톤을 확인할 수 있습니다.
원문 검증
필요하면 원문 블로그와 병원 프로필로 바로 이동해 문맥을 다시 확인할 수 있습니다.
출처 아카이브 열기안녕하세요
중년치아교정 소개해드릴 압구정 교정치과입니다.
40대 후반 치아교정 해도 될까요?
결론부터 말씀드리자면 가능합니다.
40대 50대 60대 70대도 치아교정이 가능합니다.

22.11.10
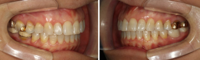
오늘 소개할 내용은 바로 40대 후반 치아교정 입니다.
앞니가 점점 삐뚤해지는 것 같다며 교정을 시작하셨습니다.
말씀대로 원래 사람의 치아는 시간이 지나면 삐뚤삐뚤 해집니다.
자연스러운 노화의 증상입니다.

22.11.10
아무래도 웃을때 가장 신경이 쓰일것 같습니다.
40대분들 그리고 50대 분들이 많이 내원하고 있는 압구정 연세바로치과
다들 예전과 다르게 삐뚤어졌다고 하시며 붙이는 철사교정은 부담스러워 하십니다.
이 환자분도 투명한 교정장치를 원하셔서 인비절라인 교정 진행하셨습니다.
40대 후반 치아교정 투명교정으로 중년교정

23.06.24
첫 세트가 마무리 되었을때의 모습입니다.
앞니가 덜 붙었습니다.
환자분 잘못도 아니고 원장님 잘못도 아닙니다.
원래 사람의 치아는 항상 원하는대로 움직이지 않습니다.
그런 공식대로 움직인다면 누구나 완벽한 치료가 가능해지겠습니다...

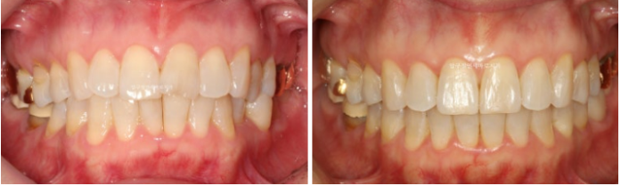
24.1.10
이번에 모든 치료가 마무리가 되었습니다.
인비절라인 교정 잘하는 것과 못 하는 것의 기준은 교합을 얼마나 잘 형성해주는 가 입니다.
오래된 보철도 다시 하셨습니다

날짜는 위에 표 전과 후 비교 사진입니다.
40대 중년 교정이다보니 10대 청소년보다는 조금 오래 걸렸습니다.
보통 아이들은 일주일마다 장치교체를 하지만 이 환자분은 전체 갯수는 많지 않아도
한 단계를 10일씩 착용하여 오래 걸린 것 입니다.
이는 중년 교정 40대 후반 치아교정이다보니 잇몸에 무리 없고 정확한 이동을 위한 선택이었습니다.

가지런해진 치열에 만족하시고 진료를 마무리 하셨습니다.
이런 좋은 장치가 잇었냐며
만족해하셨습니다.

확실한 것은 방법이 인비절라인 투명교정이든 나이대가 10대, 50대든 치열은 고르게 하는 것이 심미적으로 좋습니다.
심미적인 의미가 없어도 치아를 건강하게 오래 쓸 수 있게 해주는 기능적인 차원에서라면 중년 교정 더욱 좋습니다.
치아교정은 중년에도 문제 없으니
가까운 교정치과에서 상담 받아보세요

