아카이브 요약
이 페이지의 역할
연세바로치과의원의 네이버 블로그 원문을 보존한 아카이브 페이지입니다. 치아교정 카테고리의 옥니교정 / 웃을때 아랫니만 보여요. 앞니 노출도 교정? 글을 통해 병원의 한국어 정보 제공 방식과 진료 관련 안내 톤을 확인할 수 있습니다.
원문 검증
필요하면 원문 블로그와 병원 프로필로 바로 이동해 문맥을 다시 확인할 수 있습니다.
출처 아카이브 열기아카이브된 블로그 글
연세바로치과의원 · 치과미슐랭
안녕하세요 압구정 교정치과 압구정 연세바로치과입니다. 오늘은 옥니 교정 소개해드리겠습니다. Q1. 옥니는 왜 생기나요? A. 선천적으로 앞니가 안쪽으로 기울어진 경우가 많으며, 잘못된 교정이나 습관으로 인해 발생하기도 합니다. 앞니가 뒤로 기울어져 있으면 입술도 말려 들어가 일명 합죽이라고 하는 편평한 입매를...
게시일
2026년 4월 7일
원문 기준으로 확인된 발행일입니다.
카테고리
치아교정
원문 블로그 카테고리를 정리해 함께 표시합니다.
이미지 수
16
현재 아카이브에 연결된 이미지 수입니다.
아카이브 요약
연세바로치과의원의 네이버 블로그 원문을 보존한 아카이브 페이지입니다. 치아교정 카테고리의 옥니교정 / 웃을때 아랫니만 보여요. 앞니 노출도 교정? 글을 통해 병원의 한국어 정보 제공 방식과 진료 관련 안내 톤을 확인할 수 있습니다.
원문 검증
필요하면 원문 블로그와 병원 프로필로 바로 이동해 문맥을 다시 확인할 수 있습니다.
출처 아카이브 열기안녕하세요
압구정 교정치과
압구정 연세바로치과입니다.
오늘은 옥니 교정 소개해드리겠습니다.
Q1. 옥니는 왜 생기나요?
A. 선천적으로 앞니가 안쪽으로 기울어진 경우가 많으며, 잘못된 교정이나 습관으로 인해 발생하기도 합니다.
앞니가 뒤로 기울어져 있으면 입술도 말려 들어가 일명 합죽이라고 하는 편평한
입매를 보이는 경우가 많습니다.
오늘은 옥니 교정을 어떻게 하는 지 얼굴은 어떻게 달라지는 지 보여드리겠습니다.
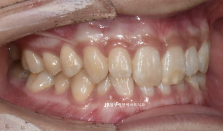
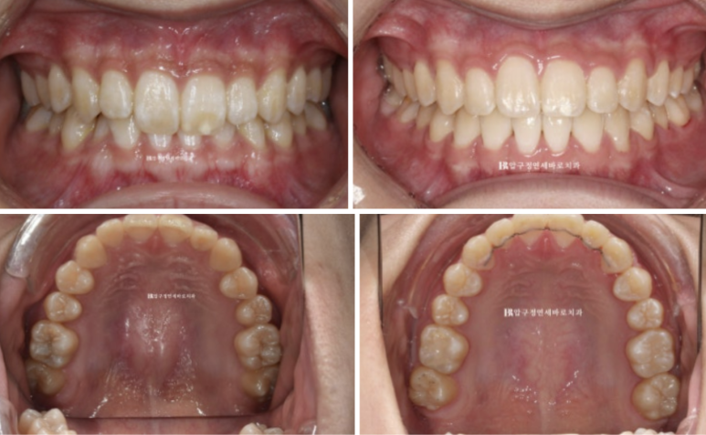
옥니를 고치고 싶어서 오신 분 입니다.

22.10
옥니를 고치고 싶어서 오신 분 입니다.
앞니가 깊게 물리는 과개교합이 보입니다.

22.10
앞니가 뒤로 기울어져 있으니 입술에 볼륨감이 부족하여 얇아 보입니다.
환자분은 주걱턱처럼 아래턱 끝이 나와보여서 개선을 원하였으나
교정으로 턱끝은 움직일 수 없습니다.
Q. 옥니 교정하면 주걱턱도 들어가나요?
A. 턱뼈 자체는 교정으로 이동하지 않지만, 입술 볼륨이 회복되면서 상대적으로 턱끝이 덜 돌출되어 보이는 효과가 있습니다.
이 점 말씀드리고 치료에 들어갔습니다.

옥니 교정으로 입술에 입체감만 살아나도 턱끝이 상대적으로 덜 나와 보입니다.
마치 무턱 돌출입 환자에서 교정 후 호두턱이 풀리고 입술 돌출이 개선이 되면 마치 상대적으로 턱끝이 나와보이는 것과 비슷합니다.
치아는 철저히 원근법을 따릅니다.
입매는 항상 얼굴 전체와의 조화 그리고 코나 턱끝 부위와의 조화가 중요합니다.

옥니와 입매 외에도 다른 문제점이 있습니다.
앞니노출도가 적은 경우입니다,
앞니노출도가 적다는 것은 웃을때 아랫니가 많이 보이는 것 입니다.
일반적으로 나이가 들수록 입주변 근육과 살의 변화로 점점 아랫니만 보이게 됩니다.
앞니 노출도가 적다면 나이에 비해 늙어보입니다.
Q. 앞니 노출도가 적으면 왜 나이 들어 보이나요?
A. 웃을 때 윗니가 덜 보이고 아랫니가 많이 보이면 노화된 인상으로 인식되는 경향이 있습니다. 교정으로 개선 가능합니다.
클리피씨로 교정하기를 원하셨고 치료 목표는 옥니와 과개교합의 개선 앞니 높낮이 조절로
앞니 노출도 개선.
편평한 입매 개선으로 입술 볼륨감을 회복합니다.
여기서 환자분의 요구 한가지는 한쪽 송곳니가 더 내려와 보이니 수평을 맞춰주세요 까지입니다.

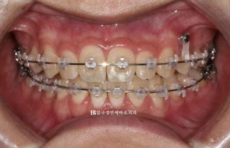
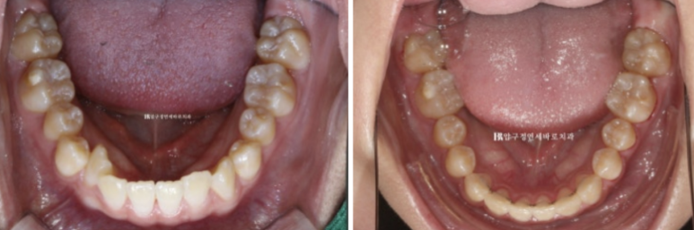
23.07
내려와 있는 송곳니쪽에 미니스크류를 심어 교합평면을 맞추고

23.07
앞니에 파란색 레진 부분 바이트 블럭을 올려서 과개교합 개선과 소구치 정출을 도모했습니다.

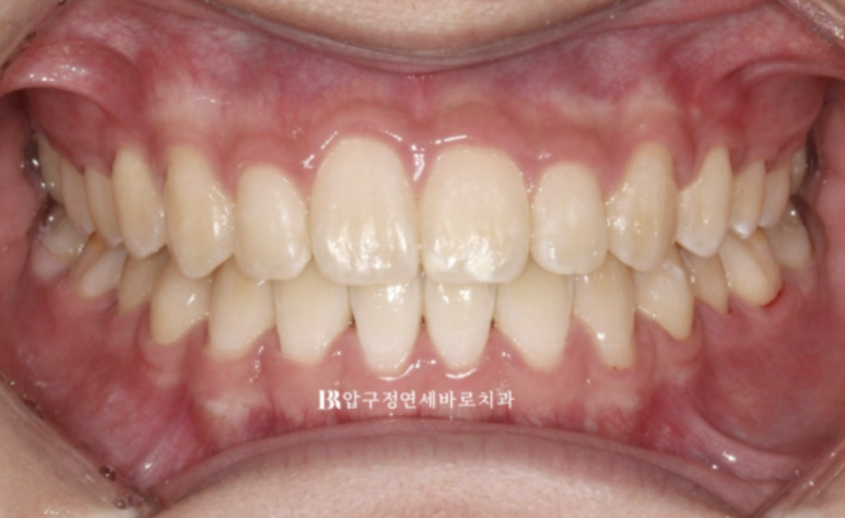
23.11
전체치료기간은 1년 1개월입니다.
환자분 나이가 어린 편이라 빠르게 마무리가 잘 되었습니다.

23.11
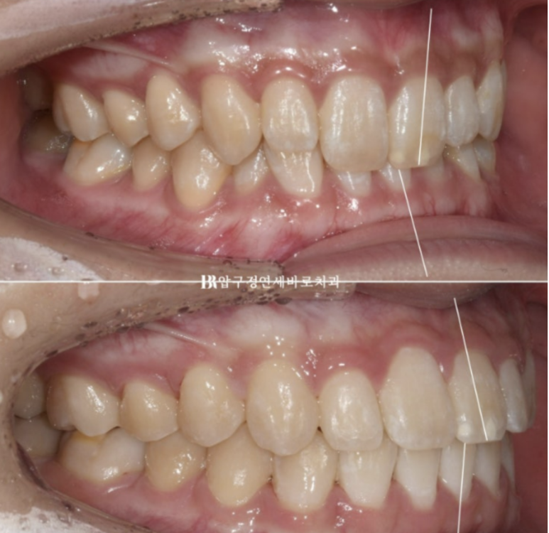
앞니 각도가 정상으로 회복이 되면서


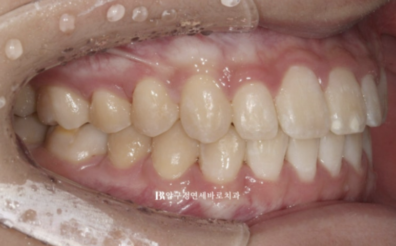
22.07~23.11
옥니가 얼마나 개선이 되었을까요?

22.07~23.11

22.07~23.11
옥니 과개교합이 개선되면서

2022,07~23.11
뒤로 말려들어가 있던 입술에 입체감이 생기고 입매가 예뻐졌습니다.
교정으로 아래턱이 뒤로 들어간 것은 아니지만
입술 볼륨이 회복이 되면 주걱턱으로 보이던 것도 개선이 됩니다.

또 다른 치료 목표였던 앞니 노출도 개선으로 미소도 더 좋아졌습니다.
멀리서 와주신 만큼 더 좋은 결과로 보답합니다.
옥니 교정이 고민이셨다면 교정 상담 받아보세요

