아카이브 요약
이 페이지의 역할
연세바로치과의원의 네이버 블로그 원문을 보존한 아카이브 페이지입니다. 치아교정 카테고리의 앞니 부분교정은 어떤 경우에 가능한가요? 단기 앞니 부분교정 왜소치 치료 무삭제 라미네이트 글을 통해 병원의 한국어 정보 제공 방식과 진료 관련 안내 톤을 확인할 수 있습니다.
원문 검증
필요하면 원문 블로그와 병원 프로필로 바로 이동해 문맥을 다시 확인할 수 있습니다.
출처 아카이브 열기아카이브된 블로그 글
연세바로치과의원 · 치과미슐랭
안녕하세요 압구정 교정치과 연세바로치과 압구정점 입니다 단기 앞니 부분교정 왜소치 덧니 단기교정 치료 케이스 소개 하겠습니다. 먼저 많은 분들이 궁금해하시는 질문에 대해 답을 드리겠습니다. 앞니 부분교정으로 덧니 치료가 정말 가능할까요? 앞니 부분교정으로 덧니 치료는 가능합니다. 다만 모든 경우에 적용되는 것은...
게시일
2026년 4월 13일
원문 기준으로 확인된 발행일입니다.
카테고리
치아교정
원문 블로그 카테고리를 정리해 함께 표시합니다.
이미지 수
14
현재 아카이브에 연결된 이미지 수입니다.
아카이브 요약
연세바로치과의원의 네이버 블로그 원문을 보존한 아카이브 페이지입니다. 치아교정 카테고리의 앞니 부분교정은 어떤 경우에 가능한가요? 단기 앞니 부분교정 왜소치 치료 무삭제 라미네이트 글을 통해 병원의 한국어 정보 제공 방식과 진료 관련 안내 톤을 확인할 수 있습니다.
원문 검증
필요하면 원문 블로그와 병원 프로필로 바로 이동해 문맥을 다시 확인할 수 있습니다.
출처 아카이브 열기안녕하세요
압구정 교정치과 연세바로치과 압구정점 입니다
단기 앞니 부분교정 왜소치 덧니 단기교정 치료 케이스 소개 하겠습니다.
먼저 많은 분들이 궁금해하시는 질문에 대해 답을 드리겠습니다.
앞니 부분교정으로 덧니 치료가 정말 가능할까요?
앞니 부분교정으로 덧니 치료는 가능합니다.
다만 모든 경우에 적용되는 것은 아니고, 어금니 교합이 안정적인 경우에 한해 제한적으로 가능합니다.
덧니가 심한 경우나 전체적인 치열 문제, 골격적인 문제가 동반된 경우에는
부분교정으로는 한계가 있기 때문에 전체교정이 필요할 수 있습니다.
이번 소개드릴 케이스의 경우에는 어금니 교합이 이미 잘 맞는 상태였기 때문에
앞니 부분교정만으로도 충분히 덧니 개선이 가능한 조건이었습니다.
앞니 부분교정은 어떤 경우에 가능한가요?
앞니 부분교정은 다음과 같은 조건에서 가능성이 높습니다.
어금니 교합이 정상적으로 맞는 경우
치열 문제의 범위가 앞니에 국한된 경우
돌출입이나 골격 문제 등이 없는 경우
이러한 조건이 충족되면
전체교정 없이도 앞니 부분교정으로 좋은 결과를 얻을 수 있습니다.
반대로, 교합 자체가 불안정하거나
전체적인 치열 이동이 필요한 경우에는
부분교정보다는 전체교정이 더 적합합니다.

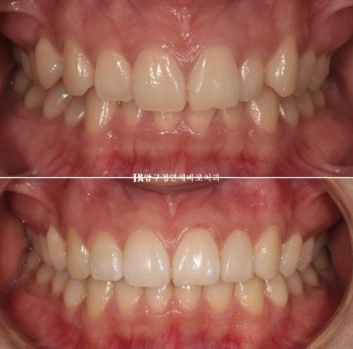
23.10~24.05
덧니와 왜소치, 과개교합, 중심선 불일치 등 문제가 복잡해 보이지만
앞니 부분교정으로 단기간 어떤 결과까지 가능한지 소개하겠습니다.
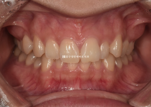
송곳니 덧니 등 앞니를 가지런하게 만들기 위해서 23년 10월에 내원하셨습니다.

23.10
환자분은 조만간 결혼일정도 잡혀있었고, 전체교정도 부담스럽다고 하셨습니다.
최소한의 개입만으로 단기 앞니 부분교정을 하고 싶어하셨습니다.
확인해보니 다행히 어금니 교합이 양호했고 앞니 부분교정이 가능했습니다.
앞니 부분교정만으로 전체교정 못지 않은 좋은 결과를 얻을 수 있을때만 단기 앞니 부분교정을 권유드립니다.
전체 교정이 불가피한 경우라면 단기앞니 부분교정을 권유드리지 않습니다.

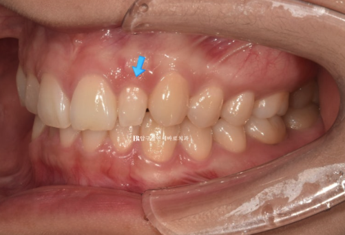
23.10
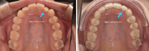
파란화살표는 왜소치이고 이미 앞니를 제외한 뒤쪽 어금니 배열은 양호합니다.

23.10
파란 화살표는 왜소치 입니다.
덧니나 왜소치가 있는 경우 앞니 중심선이 그쪽으로 쏠려있는 경우가 많습니다.
앞니 부분교정에서는 중심선을 포기하는 경우가 많지만 이 왜소치를 정상 사이즈로 회복하는 라미네이트 치료를 하면 중심선까지 맞춰서 마무리가 가능합니다.
따라서 앞니 부분교정 후 왜소치의 무삭제 라미네이트 치료도 추천드렸습니다.

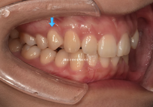
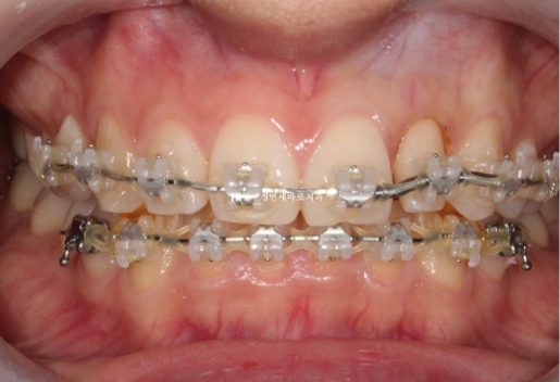
23.10
우측 사진에서 첫번째 작은 어금니 교합이 떠 있는 것이 보입니다.
통상 앞니 부분교정은 송곳니에서 송곳니까지 6개 앞니만을 대상으로 하지만,
작은어금니도 교합개선을 위해 송곳니 뒤쪽 1개씩 총 8개 치아에 장치를 붙이기로 했습니다.

24.05
치료 마무리 단계의 사진입니다. 위 8개 아래 8개 앞니에만 장치를 붙여서 부분교정을 진행 중입니다.
왜소치에 라미네이트가 들어갈 공간 확보를 위해 스프링이 들어가 있습니다.

24.05
7개월 후 교정이 마무리가 되었고, 왜소치 근처에 라미네이트가 들어갈 공간이 마련되었습니다.

24.05
이 공간을 이용하여 무삭제 라미네이트 젤라미까지 완료한 모습입니다.

24.05
반대쪽 치아와 같은 사이즈와 모양으로 왜소치가 회복되었습니다.

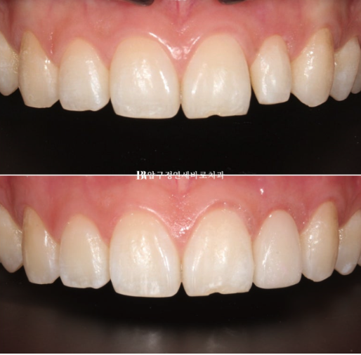
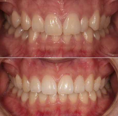
23.10~24.05
파란 화살표 왜소치는 정상 크기로 치료되었습니다.

23.10~24.05
삐뚤한 앞니도 가지런해졌습니다.

23.10~24.05
교합이 떠 있던 작은어금니도 제 위치를 찾았습니다.

앞니가 깊게 물리는 과개교합도 어느정도 해결이 되었습니다.
중심선의 개선도 눈에 띕니다.

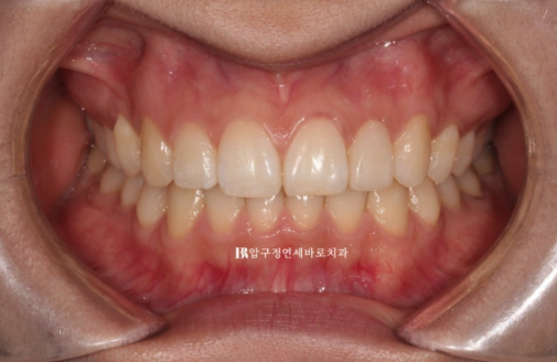
23.10~24.05
앞니 교정으로 많은 것이 개선이 되었습니다.
자연스러운 미소도 찾아옵니다.
앞니 부분교정은 단기간이라 한계가 크지 않나요?
많은 분들이 앞니 부분교정은
“간단한 치료라 결과도 제한적일 것”이라고 생각하십니다.
하지만 실제로는
케이스 선정과 치료 계획이 정확하다면
부분교정만으로도
전체교정에 준하는 결과를 얻을 수 있는 경우도 많습니다.
다만 모든 환자에게 적용되는 것은 아니기 때문에
정확한 진단이 가장 중요합니다.
앞니 부분교정은 워낙 단기간에 일부 치아들에 한하여 진행이 되는 치료라 1~2년 걸리는 전체교정에 비하여 많은 것을 포기해야 한다고 알기 쉽습니다.
하지만 적절한 치료계획과 실력이 있으면 많은 것을 해결할 수 있습니다.
앞니 부분교정은 단순히 일부 치아만 교정하는 치료가 아니라,
정확한 진단과 계획이 뒷받침될 때 높은 완성도를 기대할 수 있는 치료입니다.
특히 왜소치, 덧니, 중심선 문제처럼
복합적인 고민이 있는 경우에는
교정과 보철을 함께 고려하는 접근이 필요합니다.
부분교정이 가능한 케이스인지 정확한 진단을 받아보시는 것을 권해드립니다.