연세굿데이치과 양재점
앞니교정 선착순 종료 되었어요! 성원에 감사드립니다^^
많은 분들께서 성원해 주신 덕분에 앞니교정 2차 선착순을 마감하였습니다!!! 하늘을 나는 기분 ♥ ↑ 치아 교정 담당해주시는 김진욱 원장님 이에요^^ ↑ 앞니교정은 6개월 정도면 치료가 끝나고 심미적 효과도 크기 때문에 정말 많은 분들...
아카이브 요약
이 페이지의 역할
English Speaking Dental Clinic 연세굿데이치과 양재점의 네이버 블로그 원문을 보존한 아카이브 페이지입니다. 연세굿데이치과 카테고리의 앞니교정 선착순 종료 되었어요! 성원에 감사드립니다^^ 글을 통해 병원의 한국어 정보 제공 방식과 진료 관련 안내 톤을 확인할 수 있습니다.
많은 분들께서
성원해 주신 덕분에
앞니교정 2차 선착순을
마감하였습니다!!!

하늘을 나는 기분 ♥

↑ 치아 교정 담당해주시는 김진욱 원장님 이에요^^ ↑
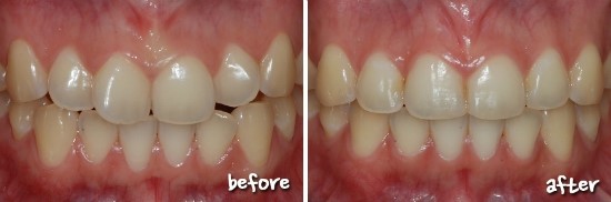
앞니교정은
6개월 정도면 치료가 끝나고
심미적 효과도 크기 때문에
정말 많은 분들이 선호하는
치아교정 방법이에요.

↑ 말하거나 웃을 때 보이는 딱 그만큼만 예뻐져도 자신감 상승한대요 ㅎ ↑
웃을 때나 말을 할 때
입을 살짝 살짝 벌리게 되는데
그럴 때 보이는게 바로 '앞니(윗니)' 입니다.
그런데 앞니 치열이 고르지 못하면... ㅜㅜ
그만큼 입을 벌리는데 자신감도 떨어지고
자신있게 웃지도 못하고..ㅜㅜ

그래서 앞니교정을 하면
자신있게 웃고 말하게 된다능 ♥
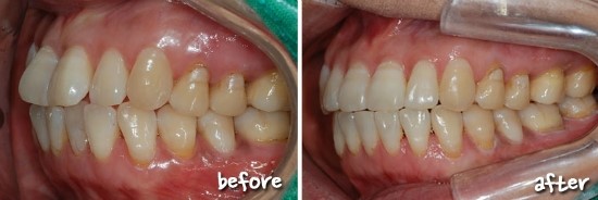
툭 튀어나오거나 벌어져 있거나,
삐뚤어지고 틀어진 앞니(앞니 6개)에만
교정 장치를 부착해서
빠르게 가지런한 치열을 만들어요
전체교정에 비해 시간적/경제적 부담도 줄어들고
빠르게, 예쁘게, 자연스럽게 치열을 가지런히 만들기에
정말 많은 분들이 선호하시는 거죠~
그래서일까요~
앞니교정 2차 선착순에도
많은 분들이 신청을 해주셔서
일찍 마감 할 수 있었던 것 같아요.
성원에 감사드리며,
앞으로도 좋은 치료로 보답할께요~ :)
궁금한 점은 언제든 댓글 달아주세용~~
콜미 콜미 ♬
더 보기
이 병원의 공개 콘텐츠를 계속 살펴보세요
출처 아카이브로 돌아가 더 많은 글을 보거나, 병원 프로필로 이동해 다른 공개 채널도 함께 비교해보세요.