연세굿데이치과 양재점
반대교합 교정 (30대 남성, 비발치)
안녕하세요. 항상 진심을 담은 치과이야기를 전하는 굿데이입니다:) 오늘은 반대교합 교정치료 과정을 보여드릴까 합니다. 반대교합이란 위 치아가 아래 치아를 덮는 것이 정상이지만 반대로 아랫니가 윗니보다 나와버린 현상을 의미합니다. 내원해주신 분은 30대 남성분으로 앞니가 거꾸로 물린다는 것이 원인이었으며, 우...
아카이브 요약
이 페이지의 역할
English Speaking Dental Clinic 연세굿데이치과 양재점의 네이버 블로그 원문을 보존한 아카이브 페이지입니다. 연세굿데이치과 카테고리의 반대교합 교정 (30대 남성, 비발치) 글을 통해 병원의 한국어 정보 제공 방식과 진료 관련 안내 톤을 확인할 수 있습니다.
안녕하세요. 항상 진심을 담은
치과이야기를 전하는 굿데이입니다:)
오늘은 반대교합 교정치료 과정을 보여드릴까 합니다.
반대교합이란 위 치아가 아래 치아를 덮는 것이
정상이지만 반대로 아랫니가 윗니보다 나와버린
현상을 의미합니다.
내원해주신 분은 30대 남성분으로 앞니가
거꾸로 물린다는 것이 원인이었으며,
우선 치료 전 사진부터 살펴보겠습니다.
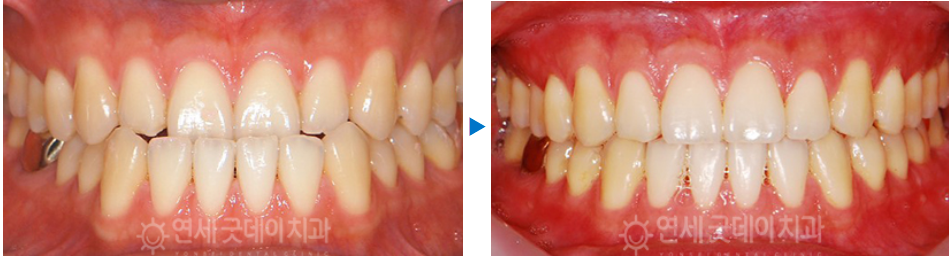
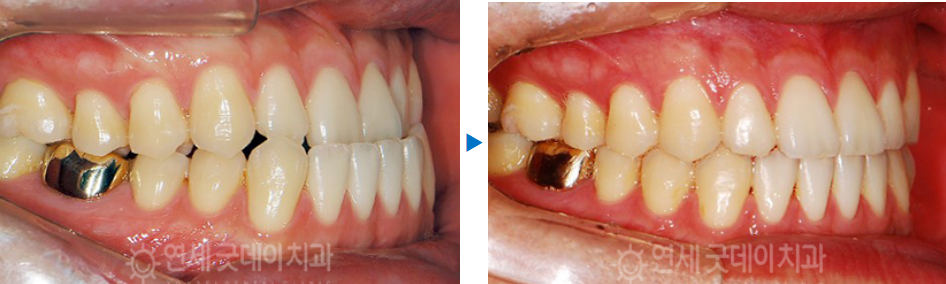
치료 전


사진을 보면 외모적외로도 남자다워 보이며,
아래 턱이 길게 뻗어 나오지도 않아 보이고
아래턱이 과하게 성장된 모습이 발견되지
않았기에 외면상 문제가 되어 보이지않습니다.
하지만 엑스레이 촬영을 통해 내부를 자세히
들여다 보면 이상증세를 확인할 수 있었습니다.
반대교합으로 인한 주걱턱 증상?
반대교합 증상을 오랜 시간 방치할 경우,
교합이 맞지 않기 때문에 저작활동에
많은 불편함이 생길 수 있습니다.
또한 심미성이 떨어지는 것은 물론,
반복되는 치아의 부딪힘으로 인해
치아가 마모될 수 있는 위험이 있습니다.


위 사진과 같이 엑스레이로 측면을 촬영하게 되면
위 치아가 아래치아보다 안으로 말려들어간 형상을
볼 수 있습니다.
이는 정상적인 교합과 달리 거꾸로 물리는
‘반대교합’ 양상을 확인할 수 있습니다.

작은 어금니는 작은어금니끼리, 송곳니는
송곳니끼리, 맞물리는 것이 정상이지만,
아래 치아가 앞으로 나와있어 한 칸씩 밀려있는
상태를 확인할 수 있습니다.
해당 환자분은 반대교합이 심한 편은 아니셨지만,
이러한 상황이 지속된다면 턱관절 통증이나
잇몸질환에 취약해질 수 있는 가능성이 있어
빨리 개선하는 것이 좋습니다.
반대교합 교정 치료과정을 보여주는 모식도
치료 방향성에 있어 환자분께서는 외모적인
니즈도 크지 않으셨고, 정도도 심하지 않기 때문에
외과적 수술법은 옵션에서 제외하기로 하고,
교정치료를 통해 치아배열을 개선하기로 하였습니다.
우선 반대교합 교정은 섬세한 치료가
필요하기 때문에 CT촬영과 충분한 상담을 통해
치료 진행이 시작되었습니다.
교정정밀진단 이후 아래턱이 위턱에 비해
발달되어 골격적으로 부조화가 보였지만 심하지
않아 교정만으로도 충분한 범위라 비수술
치료법인 치아교정으로 들어가기로 하였습니다.

진단 결과, 해당 환자분의 경우,
입안 공간이 부족해 공간을 마련하기 위해서
발치 선택을 해야만 했습니다.
아랫니의 공간 확보를 위해 사랑니를
발치하고, 만들어진 빈 공간으로 어금니를
2~3mm정도 이동시키게 되었습니다.

그 뒤, 이동량도 많고 하악전치열을 후방으로
미는 힘이 필요해 미니스큐르를 심어 전치부를
후방으로 이동시켜주는 작업을 들어가게
되었습니다.

치료기간은 대략적으로 1년 반정도 소요됐으며
사랑니발치 공간을 활용하여 정상교합으로
무사히 개선시켜드렸습니다.
치료 후


저희 본원에 성실히 내원해주신 결과
위와 같은 결과를 보실 수 있었습니다.
확실히 치료 전에 비해 하관이 정돈된
느낌을 받을 수 있었고, 환자분께서도
많이 만족해 해주셨습니다.
다만 마지막으로 치아는 본래의 자리로
돌아가려는 성질이 있고, 또한 혀로 인해 치아가
다시 변형될 수 있어 꾸준한 유지장치 착용을
권장해 드렸습니다.
치료 전 - 치료 후




치료 전과 후를 한번에 살펴보게 되면
주걱턱 성향의 전형적인 옆모습이 개선되고,
물리지 않던 송곳니가 잘 물리고 있는
모습을 볼 수 있는데요.
결국엔 모든 치아가 뒤로 감으로써 윗니가
아랫니를 살짝 덮는 정상교합이 완성되었습니다.
성인의 경우, 주걱턱의 원인이
무엇인지 정확한 진단이 가장 중요합니다!
반대교합의 정확한 원인과 진단을 파악하기
위해서는 먼저 1급, 2급, 3급의 부정교합
분류를 알아야 합니다.
● 1급 부정교합
상악과 하악은 정상적이지만 치아 사이가
넓거나 가지런하지 못한 경우.
● 2급 부정교합
아래 어금니가 위 어금니에 비해 뒤쪽에
위치하고 위턱이 아래턱보다 많이 나와있는 경우
● 3급 부정교합
2급 부정교합과 다르게 위턱보다 아래턱이
앞으로 많이 나와있는 경우
반대교합을 앓고 있는 대부분 환자들은
3급에 해당되는 경우가 많은데,
아무래도 아래턱 자체가
위턱보다 많이 나와있기 때문입니다.
물론 1급 이지만, 아래 치아가 앞으로 나오는
바람에 거꾸로 물리는 경우도 있어 크게
두 가지 정도의 원인을 살펴볼 수 있습니다.
본원은 반대교합 교정치료에 있어
발병 원인을 파악한 뒤, 골격상 문제가 없다
판단이 되면 외과적 수술 필요없이 치아교정만으로
개선 가능성을 높여드리고 있습니다.
마지막으로 교정치료를 진행한다 할지라도
심한 정도에 따라 발치, 비발치로 나눠지기
때문에 되도록 전문가의 진단을 받아보시는
것을 권장하고 있습니다.
치료받으시느라 고생 많으셨습니다: )
*본 내용은 동일조건에서 촬영되었으며 환자 본인의 동의를 얻어 게재되었습니다.
*모든 치료에는 부작용이 발생할 수 있습니다.
더 보기
이 병원의 공개 콘텐츠를 계속 살펴보세요
출처 아카이브로 돌아가 더 많은 글을 보거나, 병원 프로필로 이동해 다른 공개 채널도 함께 비교해보세요.