연세굿데이치과 양재점
프리올소 장치안내 (ft. 어린이 부정교합 교정 편)
안녕하세요. 항상 진심을 담은 치과이야기를 전하는 굿데이입니다:) 어린이에게 치아가 과하게 물리거나 반대로 물리는 부정교합이 관찰된다면 성장하면서 점차 얼굴형이 비대칭으로 변할 수 있습니다. 어린이 부정교합 교정은 프리올소(Pre-Ortho) 라는 장치를 통해 치료가 가능한데요. 마우스피스 형태로 부드럽고 물렁하여...
아카이브 요약
이 페이지의 역할
English Speaking Dental Clinic 연세굿데이치과 양재점의 네이버 블로그 원문을 보존한 아카이브 페이지입니다. 연세굿데이치과 카테고리의 프리올소 장치안내 (ft. 어린이 부정교합 교정 편) 글을 통해 병원의 한국어 정보 제공 방식과 진료 관련 안내 톤을 확인할 수 있습니다.
안녕하세요. 항상 진심을 담은
치과이야기를 전하는 굿데이입니다:)
어린이에게 치아가 과하게 물리거나
반대로 물리는 부정교합이 관찰된다면
성장하면서 점차 얼굴형이 비대칭으로 변할 수 있습니다.
어린이 부정교합 교정은 프리올소(Pre-Ortho) 라는
장치를 통해 치료가 가능한데요.
마우스피스 형태로 부드럽고 물렁하여
아이들이 잘 적응하는 편입니다.




. Pre-Ortho type1, type2, type3
프리올소는 구강주위 근육을 훈련(MFT, MyoFunctional Therapy) 하는 장치로
치열, 교합 뿐만 아니라 혀를 올바른 위치와 움직임으로
교정하여 정확한 발음과 호흡으로 개선시켜주는 효과가 있습니다.
● 부정교합 유형에 따른 장치 type ●
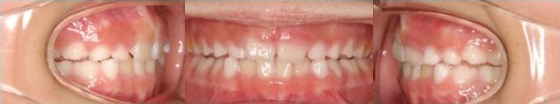
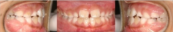
Pre-Ortho type 1. 과개교합 전용


8세여아, 프리올소 착용 4개월 후
첫 번째는 과개교합 전용 타입인데요.
앞니가 깊게 물린 과개교합에 치열이 심하게
틀어져있지만 이를 착용함으로써
올바른 성장을 유도하고, 2차교정에 들어갈 때
유리하게 적용됩니다.
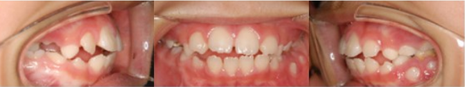
Pre-Ortho type 2. 개방교합 전용


9세남아, 프리올소 착용 6개월 후
다음, 개방교합 교정전용 타입입니다.
개방교합은 어금니를 맞물려도 앞니는 떠있는
상태를 유지하게 되는데요. 이 타입을 착용하여
양호한 교합으로 유도하게 됩니다.
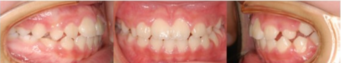
Pre-Ortho type 3. 반대교합 전용


8세남아 프리올소 착용 3개월 후
마지막 반대교합 전용 타입입니다.
교합을 맞물렸을 시 아랫니가 윗니를 덮은
상태이지만 이 프리올소로 거꾸로 물린 증상을
회복해 정상교합으로 도와주게 됩니다.
● 프리올소 사용시 유의사항 ●


처음 프리올소를 시작하게 된다면
몇 가지 유의사항이 있습니다.
✔ 낮엔 1~2시간, 밤에는 8시간 이상 착용을 권장!
✔ 이비인후과적인 문제 발견시 주치의와 착용시간 조절필요!
✔ 하얀 자국의 흔적이 생겼다면 장치를 잘 착용했다는 흔적임!
프리올소 세척은 되도록 찬물로 헹구고,
칫솔로 부드럽게 닦아주며 관리만 잘 해준다면
큰 문제없이 사용하실 수 있습니다.




본원의 어린이 부정교합 교정 턱끝변화
어린 자녀에게서 부정교합 양상이 보인다면
교정전문치과에 내원하여
치료시기를 미리 진단받으시는게 좋습니다.
연세굿데이는 아이들의 치료시기를 진단할 때
X-Ray와 성장판 검사를 통해 분석합니다.
이는 향후 예측되는 성장량을 파악하고,
치료의 적기를 판단하는데 도움이 됩니다.
성장시기를 활용한 시기야 말로 바른 치열과
균형잡힌 얼굴성장을 유도하기에 적절하며,
후에 일어날 부정교합 예방에도 효과적이니
성장기교정 늦지않게 시작하시길 바랍니다.^^
더 보기
이 병원의 공개 콘텐츠를 계속 살펴보세요
출처 아카이브로 돌아가 더 많은 글을 보거나, 병원 프로필로 이동해 다른 공개 채널도 함께 비교해보세요.