연세굿데이치과 양재점
치과 잇몸치료 비용? 엠도게인 잇몸재생 사례
안녕하세요. 항상 진심을 담은 치과이야기를 전하는 굿데이입니다:) 자연치아 상실의 가장 큰 원인은 잇몸질환인데요. 잇몸질환은 치아손실의 대표적 원인으로 충치보다 압도적인 비율로 1위의 자리를 지키고 있습니다. 그렇다면 이미 많이 무너진 잇몸재생은 어떻게 회복해야 될까요? 이미지 출처 : straumann emd...
아카이브 요약
이 페이지의 역할
English Speaking Dental Clinic 연세굿데이치과 양재점의 네이버 블로그 원문을 보존한 아카이브 페이지입니다. 연세굿데이치과 카테고리의 치과 잇몸치료 비용? 엠도게인 잇몸재생 사례 글을 통해 병원의 한국어 정보 제공 방식과 진료 관련 안내 톤을 확인할 수 있습니다.
안녕하세요. 항상 진심을 담은
치과이야기를 전하는 굿데이입니다:)
자연치아 상실의 가장 큰 원인은 잇몸질환인데요.
잇몸질환은 치아손실의 대표적 원인으로
충치보다 압도적인 비율로 1위의 자리를
지키고 있습니다.
그렇다면 이미 많이 무너진 잇몸재생은
어떻게 회복해야 될까요?

이미지 출처 : straumann emdogain
본원에서는 엠도게인을 통해 소실된 인대와
치조골 재생을 유도해 드리고 있는데요.
엠도게인은 조작하기 어렵고 까다로운 재료로
소수 치과에서만 사용되고 있습니다.
사실, 이 엠도게인의 기원은 조금 특이합니다.
옛날에 한 스웨덴의 치과의사가 한창 뿌리를
만들어내고 잇몸을 만들어내는
어린 돼지의 치아조직을 손상된 부위에 발라주는데요.
이후 6개월뒤, 뼈가 생성되고, 치주인대가 재생되는
변화가 일어나게 됩니다. 이러한 결과로
엠도게인이라는 제품이 탄생하게 된 것입니다.



엠도게인을 통한 회복이 가능한 경우
각설하고, 단 엠도게인은 모든 치아에
적용한다해서 잇몸뼈 재생이 가능한 것은 아닌데요.
덜렁거리며 빠지기 직전의 치아의 경우는
회복이 어려울 수도 있습니다. 다만, 다음과 같은
상황이라면 충분한 회복을 기대해 볼 수 있답니다.
✔ 치아가 흔들리지 않고 뼈만 녹아있는 경우
✔ 치아가 조금 흔들리고 있는 경우
✔ 뼈가 평평하지 않고 대각선으로 뼈가 녹아있는 경우
치과 잇몸치료 비용 ::
스케일링, 치주소파술과 같은
치과 잇몸치료 비용은 보험 적용이 가능해
평균 3만원 이내로 발생되는 편입니다.
하지만 잇몸이식술, 치아미백과 같이
심미적 이유 또는 수술적 치료가 필요할 경우
비보험에 해당하여 30~50만원 사이로 형성됩니다.
엠도게인을 이용한 케이스
치근피개술, 치주판막수술, 조직유도재생술
CASE 1 – 치근피개술


치근피개술 치료 전(좌) 치료 후(우)
잘못된 양치질이나 구강관리 또는 이악물기 같은
습관이 반복되면서 위 사진과 같이
잇몸퇴축현상이 일어날 수 있습니다.
대부분 이시림 현상을 겪게 되고,
심미적인 문제로 인해 병원을 찾게 되는데요.
이렇게 잇몸소실로 인해 치아뿌리가 드러난 경우
치근피개술로 개선을 해드리고 있습니다.
이는 입천장 부위의 점막 일부분(구개상피 또는
결합조직)을 채취하여 노출된 치아 뿌리에 덮어
이상적인 잇몸형태로 회복할 수 있답니다.
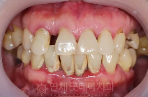
CASE 2 - 치주판막수술



치주판막수술 치료과정
위는 치주판막수술 사례입니다. 일반적으로
주판막수술은 심한 염증으로 치주조직이
광범위하게 파괴된 경우에 시행되거나 골파괴가
복잡해 기구가 접근하기 힘들 시 진행하게 됩니다.
우선 부분마취 후 잇몸을 열어 치아 주변 조직을
분리하여 시술 부위를 직접 확인하면서 염증을
제거하게 되는데요. 모든 치료가 완료되면 잇몸을
다듬어 칫솔질하기 유리한 형태로 만들어드립니다.
이 치주판막수술은 치주건강을 유지하고
치주질환의 진행을 멈추거나 예방하는데
중요한 역할을 맡고 있기 때문에 수술 후에도
적절한 치주 관리와 주기적인 치과 검진이 필요합니다.
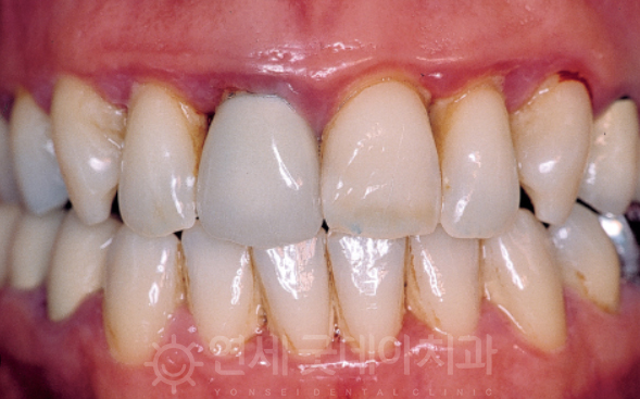
CASE 3 - 조직유도재생술



조직유도재생술 과정
마지막으로 살펴볼 것은 조직유도재생술 과정입니다.
사실, 많은 환자 분들이 잇몸이 흔들린다는 이유로
내원해 주시는데요. 이때 보면 잇몸과
잇몸뼈가 녹아있는 상태가 대부분입니다.
때문에 치아가 흔들리는 현상이 일어나게 되고,
이때 조직유도재생술을 고려하게 됩니다.
이는 잇몸병으로 인해 치조골이 불규하게
녹아내린 경우, 녹아내린 치조골 부위에 인공뼈나
자가골을 이식해 새로운 치주조직이 자라날 수 있도록
유도하는 치료법인데요. 잇몸이 자라서 들어가지
못하도록 차폐막을 사용하게 되며 치주판막수술이
동반될 수 있습니다.
이 치료법은 모든 분들에게 해당되기는 어려우나
잇몸이 녹아있는 양상이 재생이 가능한 경우라고
판단이 되면 조직유도재생술을 통해 회복을
기대할 수 있답니다.
잇몸재생을 도와주는 엠도게인 사례 몇가지를
살펴보았는데요. 사실, 치주질환을 예방을 위해
스케일링주기를 6개월에 한번 정도로 권장하고 있습니다.
혹 잇몸질환이 발생되었다면 기계적으로 염증이나
잇몸을 일으키는 치태, 치석을 제거해주는 것이
안전하니 반드시 치과에 방문해주시길 바랍니다.
본원은 다양한 임플란트 시술 경험과
노하우를 겸비한 치주과 전문의가 상주하고 있으며,
자연치아의 보존을 위해 보존과, 보철과 교정과 등
타과와의 협진을 통해 더욱 향상된 의료서비스를
제공해드리고 있습니다.
마지막으로 스케일링, 치주소파술과 같은
치과 잇몸치료 비용은 보험적용이 가능한 분야입니다.
보험진료는 1-3만원 사이로 발생되고,
심미적인 원인이나 수술적 치료가 필요한 경우라면
치과 잇몸치료 비용이 30~50만원 사이로 형성됩니다.
보다 자세한 비용상담은 아래 카카오톡 상담을
통해 도와드리겠습니다.





























더 보기
이 병원의 공개 콘텐츠를 계속 살펴보세요
출처 아카이브로 돌아가 더 많은 글을 보거나, 병원 프로필로 이동해 다른 공개 채널도 함께 비교해보세요.