연세굿데이치과 양재점
틀니 대안, 올온엑스(All-on-X) 시스템 도입 안내
안녕하세요. 항상 진심을 담은 치과 이야기를 전하는 굿데이입니다. 연세굿데이치과는 무치악 환자분들에게 새로운 선택지가 될 수 있는 치료법인 올온엑스(All-on-X) 시스템을 새롭게 도입했습니다. 올온엑스는 치아의 대부분이 상실되었거나, 여러 치아의 예후가 좋지 않아 전체적인 치료가 필요해서 막막함을 느끼는 분들을...
아카이브 요약
이 페이지의 역할
English Speaking Dental Clinic 연세굿데이치과 양재점의 네이버 블로그 원문을 보존한 아카이브 페이지입니다. 연세굿데이치과 카테고리의 틀니 대안, 올온엑스(All-on-X) 시스템 도입 안내 글을 통해 병원의 한국어 정보 제공 방식과 진료 관련 안내 톤을 확인할 수 있습니다.
안녕하세요. 항상 진심을 담은
치과 이야기를 전하는 굿데이입니다.
연세굿데이치과는 무치악 환자분들에게
새로운 선택지가 될 수 있는 치료법인
올온엑스(All-on-X) 시스템을
새롭게 도입했습니다.

올온엑스는 치아의 대부분이 상실되었거나,
여러 치아의 예후가 좋지 않아
전체적인 치료가 필요해서
막막함을 느끼는 분들을 위해 도입되었습니다.
기존처럼 치아 하나당 하나의 임플란트를
식립하는 방식이 아니라,
4~6개의 임플란트로 전체 치아를 지지하는 구조로
설계됩니다.
최소한의 임플란트 개수로
전체 치아 기능을 화복할 수 있도록
임플란트를 각도와 위치를 고려해 전략적으로
식립하는 고정성 전체임플란트 치료입니다.
4~6개의 임플란트로 전체 보철을 지지하다 보니
수술 부담과 비용 부담을 줄일 수 있고,
자연치아의 기능을 8~90% 이상 회복할 수 있다는
장점이 있습니다.

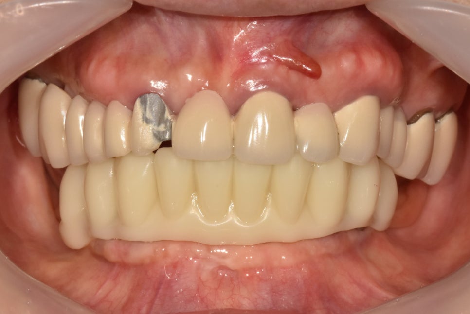
- 하악 All-on-X 진행 중인 모습 (2025.11)

- 하악 All-on-X 종결된 모습 (2025.12)
당일 임시치아 장착이 가능한 경우도 있으며,
일상생활로의 복귀가 비교적 빠른 치료 옵션입니다.
‘그냥 임플란트 틀니 아닌가?’
라고 생각하실 수도 있습니다.
임플란트 틀니도 임플란트를 4~6개만 식립한 뒤
틀니를 끼우는 방식으로 진행되기 때문이죠.
하지만 올온엑스는 구조부터 다릅니다.
임플란트 틀니는
임플란트를 ‘고정 장치’로 활용해
탈부착이 가능한 틀니를 안정시키는 개념이라면,
올온엑스는 임플란트 위에
고정형 보철물을 직접 연결하는 방식으로
환자분이 스스로 빼고 끼우는 구조가 아닙니다.

- 올온엑스 모식도
즉,
임플란트 틀니 → 탈부착 가능
올온엑스 → 완전 고정형
이라는 차이가 있습니다.
완전 고정형 보철물은
저작 시 힘 전달이 보다 안정적이며,
이물감이 상대적으로 적고
자연치아와 유사한 사용감을 기대할 수 있습니다.
물론 어떤 치료가 더 “좋다”기보다는
환자분의 잇몸뼈 상태, 전신 건강, 관리 능력 등을
종합해 적합한 방식을 선택하는 것이
중요합니다.
● 치주질환으로 여러 치아의 흔들림이 심한 경우
● 오랫동안 틀니를 사용해 불편함이 큰 경우
● 다수의 치아가 손상되어
전반적인 재건이 필요한 경우
올온엑스는 좋은 선택지가 될 수 있습니다.
전체 치아 문제는 단순히 씹는 기능만의
문제가 아니라
말하기, 외모 자신감, 일상생활의 편안함과도
연결되어 있습니다.
올온엑스 치료는
“많이 심는 것”이 중요한 것이 아니라
어떻게 설계하고, 어떻게 힘을 분산시키느냐가
핵심입니다.
연세굿데이치과는
보다 체계적이고 안정적인 전악 치료를 위해
올온엑스 시스템을 도입하게 되었으며,
정밀 진단을 통해
환자분의 잇몸뼈 상태, 교합, 전신 건강 상태를
충분히 고려한 뒤
무리하지 않는 방향으로 계획을 세우고 있습니다.
치아를 모두 잃는다는 것은
신체적으로도, 심리적으로도 큰 부담이
될 수 있습니다.
연세굿데이치과는
그 무게를 환자분 혼자 짊어지지 않도록
조금 더 편안하고, 조금 더 안정적인 치료 방법을
끊임없이 연구해나가겠습니다😄
본문 속 이미지는 환자의 동의를 받아
촬영한 실제 치료 사진입니다.
회복 과정과 효과, 부작용은 구강 상태에 따라
다를 수 있으니,
반드시 의료진 상담이 필요합니다.
더 보기
이 병원의 공개 콘텐츠를 계속 살펴보세요
출처 아카이브로 돌아가 더 많은 글을 보거나, 병원 프로필로 이동해 다른 공개 채널도 함께 비교해보세요.