AHNSUNGMIN EYE PLASTIC SURGERY
쌍꺼풀이 풀리는 원인은 무엇일까요?
![쌍꺼풀이 풀리는 이유와 교정 방법 [성형외과 전문의 안성민] 관련 이미지 1](https://pub-9f2bb3498faf4d1d8714b41df24753e3.r2.dev/content/clinics/archive/6gt6mjxk87/naver_blog/eyerevisionclinic/assets/by_hash/e330356a178f5d0c3ae904e53ae42e80ba5aab47bc7e7c41adb0f662821461eb.jpg)
성형외과 전문의 안성민
안녕하세요.
잠실새내역 성형외과 안성민입니다.
아름다운 눈이란 인종과 지역에 따라 다를 분 아니라 시대에 따라서도 다릅니다. 또한 수술을 받는 개개인에 따라 다릅니다
따라서 개인에 따라 호소하는 불만도 다르고 다양합니다.
수술 후 생길 수 있는 여러 부작용 중 쌍꺼풀이 풀리는 원인과 재교정 방법에 대하여 알아보겠습니다.
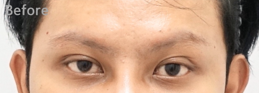
쌍꺼풀의 깊이에 따라 두 가지로 분류할 수 있습니다. 쌍꺼풀이 얕을수록 풀린듯한 느낌이 들고, 한쪽 이마를 유난히 사용한다면 한쪽만 풀려 보일 수 있어 짝짝이가 되기도 합니다.
(얕은 쌍꺼풀, 쌍꺼풀의 소실 shallow fold or loss of fold)
(깊은 쌍꺼풀, Deep fold)
쌍꺼풀의 깊이 문제
모든 쌍꺼풀은 수술 후 일정 기간 동안 어느 정도 풀어지는 경향이 있습니다.
쌍꺼풀 수술 후 쌍꺼풀이 지나치게 얕거나 풀어지는 것은 고정이 원인이 됩니다.
고정을 너무 낮게 하거나 쌍꺼풀을 낮게 디자인 한 경우, 느슨하게 고정된 경우 풀어지는 원인이 됩니다.
얕은 쌍꺼풀의 경우 연조직을 불충분하게 제거하거나 부정확한 고정이 원인이 될 수 있으며 낮은 고정이나 혈종, 붓기로 인한 고정의 이완이 원인이 되기도 합니다.
또한 환자의 눈꺼풀 피부가 두껍거나 연부 조직이 과다할 때 풀리기 쉬우며 안검하수, 낮은 쌍꺼풀, 심한 체중 증가가 원인이 될 수 있습니다.
쌍꺼풀이 깊은 경우
![쌍꺼풀이 풀리는 이유와 교정 방법 [성형외과 전문의 안성민] 관련 이미지 2](https://pub-9f2bb3498faf4d1d8714b41df24753e3.r2.dev/content/clinics/archive/6gt6mjxk87/naver_blog/eyerevisionclinic/assets/by_hash/24e4b27577014cf1ab1dd335bea504b9a81e05c74ab53a827d1653b81198be6f.png)
쌍꺼풀이 얕은 경우
![쌍꺼풀이 풀리는 이유와 교정 방법 [성형외과 전문의 안성민] 관련 이미지 3](https://pub-9f2bb3498faf4d1d8714b41df24753e3.r2.dev/content/clinics/archive/6gt6mjxk87/naver_blog/eyerevisionclinic/assets/by_hash/cb9371c22df4b5cb87c571153bf4100a30495ac0f5fa2e51691fa90476c20eae.png)
쌍꺼풀에 대한 저항
수술 후 쌍꺼풀이 풀리기 쉬운 눈이란 쌍꺼풀에 대한 저항이 강한 것을 의미합니다. 저항이 강한 눈으로는 눈꺼풀 피부가 두껍거나 연조직이 과다한 경우, 안검하수가 있는 경우 피부가 팽팽한 젊은 나이의 눈이 해당합니다. 저항이 심한 것은 1차 수술 후 풀어진 경우 유착으로 인하여 더욱 심한 저항을 초래할 수 있습니다. 따라서 재수술 시 유착을 모두 풀어주어야 하며 고정 조직 사이에 지방조직이나 방해되는 연조직이 끼어들지 못하게 하여야 합니다.
쌍꺼풀이 풀어지지 않기 위하여 수술 후 관리
수술 후 눈을 비비지 않는 것이 중요합니다. 수면 중 무의식적으로 비벼 실밥이 풀어지는 경우도 종종 있습니다.
수술이 가장 중요하지만 수술 후 환자분의 관리와 세심한 노력이 필요합니다.
처방된 약을 먹고 염증이 생기지 않도록 조심해야 하며 화장 등으로 인하여 화학 성분으로 염증을 유발하지 않도록 하는 것이 중요합니다.
출혈이나 붓기를 최소화하기 위하여 냉찜질을 하는 것도 도움이 됩니다.
문의 : 02.414.1114
상담 : 010. 3507. 3009
네이버 예약 바로 가기
카카오톡 ID : kr.asmps
![쌍꺼풀이 풀리는 이유와 교정 방법 [성형외과 전문의 안성민] 관련 이미지 4](https://pub-9f2bb3498faf4d1d8714b41df24753e3.r2.dev/content/clinics/archive/6gt6mjxk87/naver_blog/eyerevisionclinic/assets/by_hash/4d0332eb8c721c6c02224f50434f350a7d4c39dd5030123fe25f84458213c940.jpg)
![쌍꺼풀이 풀리는 이유와 교정 방법 [성형외과 전문의 안성민] 관련 이미지 5](https://pub-9f2bb3498faf4d1d8714b41df24753e3.r2.dev/content/clinics/archive/6gt6mjxk87/naver_blog/eyerevisionclinic/assets/by_hash/3c693febbf392588fb030ae4d1a036f17a38d788cbd685554c9732a55bb15f6c.jpg)
![쌍꺼풀이 풀리는 이유와 교정 방법 [성형외과 전문의 안성민] 관련 이미지 6](https://pub-9f2bb3498faf4d1d8714b41df24753e3.r2.dev/content/clinics/archive/6gt6mjxk87/naver_blog/eyerevisionclinic/assets/by_hash/bfaa0cea1e7a066a12216d4077b47db574ee0838828a9a4a44d7494ebecbdb9a.jpg)
안성민 성형외과
안성민 눈 전문 성형병원
AHNSUNGMIN EYE PLASTIC SURGERY
안성민 성형외과는 오직 눈 수술에 집중합니다.
눈 수술도 하는 병원은 많지만,
눈 수술만 하는 성형외과는 없습니다.
오직 눈을 연구하고 집중합니다.
![쌍꺼풀이 풀리는 이유와 교정 방법 [성형외과 전문의 안성민] 관련 이미지 7](https://pub-9f2bb3498faf4d1d8714b41df24753e3.r2.dev/content/clinics/archive/6gt6mjxk87/naver_blog/eyerevisionclinic/assets/by_hash/3bbc865c3bc6e1d58878c81f90ed99888dfd118a1fff04b504897f0b48a0ae61.jpg)
![쌍꺼풀이 풀리는 이유와 교정 방법 [성형외과 전문의 안성민] 관련 이미지 8](https://pub-9f2bb3498faf4d1d8714b41df24753e3.r2.dev/content/clinics/archive/6gt6mjxk87/naver_blog/eyerevisionclinic/assets/by_hash/fa9be1c755c9ef64729c9b2cbd834c216fc0aa77c412474fcf7eea82c251ba1c.jpg)
![쌍꺼풀이 풀리는 이유와 교정 방법 [성형외과 전문의 안성민] 관련 이미지 9](https://pub-9f2bb3498faf4d1d8714b41df24753e3.r2.dev/content/clinics/archive/6gt6mjxk87/naver_blog/eyerevisionclinic/assets/by_hash/4ac4afc14e542cf19a8e9feb6024393e3ab5ec50fabe8dce13a067c64a993689.jpg)
![쌍꺼풀이 풀리는 이유와 교정 방법 [성형외과 전문의 안성민] 관련 이미지 10](https://pub-9f2bb3498faf4d1d8714b41df24753e3.r2.dev/content/clinics/archive/6gt6mjxk87/naver_blog/eyerevisionclinic/assets/by_hash/e9fbb507d27402b38140c8e96544af07c86c848547ba2cb091fa800a905fbe87.jpg)
Previous image Next image