아카이브 요약
이 페이지의 역할
디데이치과의원의 네이버 블로그 원문을 보존한 아카이브 페이지입니다. 디데이치과 카테고리의 언주역치과? 이 2가지는 꼭 확인하세요. 글을 통해 병원의 한국어 정보 제공 방식과 진료 관련 안내 톤을 확인할 수 있습니다.
원문 검증
필요하면 원문 블로그와 병원 프로필로 바로 이동해 문맥을 다시 확인할 수 있습니다.
출처 아카이브 열기아카이브된 블로그 글
디데이치과의원 · Naver Blog
안녕하십니까. 디데이치과 대표원장 김무진입니다. 위의 이력을 포함해 '대기업 L사 제휴 치과'임이 알려지면서 유독 직장인분들이 많이 방문해 주시고 있습니다. 근래에는 '치아미백했는데 이가 하나도 안 시려서 놀랐어요', '치료를 과하게 권하지 않아 재방문했어요'라는 말씀을 해주시면서 지인을 소개해 주신 적...
게시일
2021년 11월 9일
원문 기준으로 확인된 발행일입니다.
카테고리
디데이치과
원문 블로그 카테고리를 정리해 함께 표시합니다.
이미지 수
7
현재 아카이브에 연결된 이미지 수입니다.
아카이브 요약
디데이치과의원의 네이버 블로그 원문을 보존한 아카이브 페이지입니다. 디데이치과 카테고리의 언주역치과? 이 2가지는 꼭 확인하세요. 글을 통해 병원의 한국어 정보 제공 방식과 진료 관련 안내 톤을 확인할 수 있습니다.
원문 검증
필요하면 원문 블로그와 병원 프로필로 바로 이동해 문맥을 다시 확인할 수 있습니다.
출처 아카이브 열기안녕하십니까. 디데이치과 대표원장 김무진입니다.


위의 이력을 포함해 '대기업 L사 제휴 치과'임이 알려지면서 유독 직장인분들이 많이 방문해 주시고 있습니다.
근래에는 '치아미백했는데 이가 하나도 안 시려서 놀랐어요', '치료를 과하게 권하지 않아 재방문했어요'라는 말씀을 해주시면서 지인을 소개해 주신 적도 있습니다.
이처럼 디데이치과를 신뢰하고 믿어주시는 만큼, 계속해서 비용을 투명하게 공개하고 필요하지 않은 치료를 절대 하지 않을 것을 거듭 약속드립니다.
이 글을 보시는 분들께서는 지금 임플란트, 치아미백, 스케일링, 충치치료 등의 이유로 언주역치과를 찾아보고 있으실 것 같은데요.


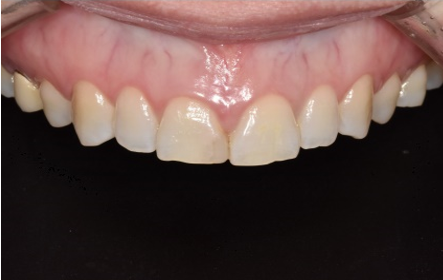
라미네이트 치료 Before & After
더 많은 치료 후기가 보고 싶으시다면 '여기'를 눌러주세요.
아마 치과 방문 전, 이 2가지를 확인하고 싶으실 것 같습니다.
바로 '실력'과 '가격'적인 부분일 것입니다.
치과 치료하면 많이들 '불필요한 진료를 한다', '기본이 수십만 원부터다'라는 인식을 가지고 있어 '갔는데 가격이 비싸면 어떻게 하지', '비싸면서 치료는 대충 하면 어떡하지'에 대한 걱정도 있으실 텐데요.
몇천 명에 가까운 환자분들을 진료한 제가 '실력'과 '가격'에 관해 걱정을 덜 수 있는 방법을 알려드리고자 합니다.
먼저 가격적인 면에서는 방문하려는 치과가 '투명하게 가격을 공개하는지'를 알아보시길 바랍니다.
가격을 감추지 않고 그대로 보여준다는 것은 치과가 '가격이 과하지 않다', '치료에 자신 있다'라는 것을 증명하는 것입니다.
따라서 가격에 대해 걱정이 많으신 분들은 해당 치과가 '가격을 투명하게 공개하고 있는지'를 알아보셨으면 좋겠습니다.
다음은 '치과의사의 실력'을 어떻게 알아볼 수 있을까요?
이는 학력과 이력을 말하기보다는 '의사가 환자를 어떤 마음으로 대하고 진료하는지'를 알아보시는 것이 가장 중요하다고 할 수 있습니다.
"하나하나 치료의 방향을 세심하게 확인하는지", "환자의 통증에 의사가 얼마나 관심이 있는지"가 바로 진료 실력으로 이어질 수 있기 때문입니다.
따라서 가격과 함께 '의사의 마음가짐'을 알아볼 수 있는 진료철학을 읽어보신다면, 실력 있고 합리적인 가격으로 치료하는 치과를 분명 찾을 수 있을 거라 생각됩니다.
저희 디데이치과의 '진료철학'을 아래에 링크해 놓았습니다. 이 글만 보셔도, 진료철학이란 무엇인지를 알 수 있고 어떤 치과에 가야 할지 감을 잡을 수 있을 것입니다.
<디데이치과 진료 철학>
진료철학을 다 보시고 저희 디데이치과에 방문하고 싶으시다면 아래 번호로 연락 주시길 바랍니다.
| |
※ 공지사항 ※
저희 디데이치과는
고퀄리티 의료 서비스를 제공하기 위해
한 달 신규 환자 수를 제한하고 있습니다.
이점 양해 부탁드립니다.
예약, 방문 시 "블로그 보고 왔어요."라고
말씀해 주신다면 보다 빠른
진료를 도와드리겠습니다.
| 디데이치과 상담문의 |
|---|
| 상담 문의 : 02-568-2877(바로가기)네이버톡톡문의(바로가기)디데이치과 치료후기(바로가기) |
(모바일에서 클릭하시면 바로 전화 연결이 가능합니다.)

언주역치과, 스케일링에 관한 오해
스케일링이란 치석과 치태를 말끔히 제거해 주는 시술을 말합니다. 치석과 치태는 치주 질환 혹은 치은염의 주된 원인이 되는데요.
1년에 한두 번 받는 정기검진에서 스케일링을 받는 것이 치아건강을 지키는데 좋습니다. 그러나 진료하다 보면 스케일링에 관해서 오해하시는 분들을 종종 만나 뵈었습니다.
가령 스케일링은 치아를 시리게 하므로 치아 건강에 오히려 안 좋다고 생각하십니다.
스케일링을 하면 치아가 시릴 수 있는 것은 사실입니다.
이는 치아에 붙은 두꺼운 치석을 제거하면서 그동안 부어있던 잇몸이 서서히 가라앉으며 치아 뿌리가 노출되기 때문인데요.
치아 뿌리가 노출되어 있는 상태에서 물이 닿으면서 시린 증상이 발생할 수 있는 것입니다. 이런 현상은 스케일링 치료를 받고 일주일 내외로 서서히 사라지게 됩니다.
따라서 스케일링은 해가 되는 시술이 아닌 치아가 건강할 수 있도록 도움을 주는 시술이라는 것을 기억하시길 바랍니다.
올바른 스케일링에 대한 정보를 알고, 정기적으로 치료받으신다고 치아 건강을 유지하는 데 도움이 될 것입니다.

언주역치과, 통증때문에 치과 치료가 두렵다면?
통증에 대한 두려움을 가지고 있다면 치과 진료에 대한 거부감을 느끼실 수도 있습니다. 치과 치료 중 충치치료나 스케일링은 통증이 심하지 않아 마취를 진행하지 않을 떄가 많은데요.
그러나 사랑니 발치 또는 임플란트 치료는 마취를 한 후, 시술을 진행하고 있습니다. 그러므로 통증과 관련해서는 너무 걱정 안 하셔도 좋습니다.
디데이치과에서는 환자분들이 불편하지 않게 최소한의 통증으로 치료받을 수 있도록 최선을 다하고 있습니다. 혹 환자분들이 원하시면 마취를 하고 시술을 진행할 수도 있습니다.
합리적인 가격과 환자 한 분 한 분 배려하며 치료하는 치과를 알아보고 있으시다면, 디데이치과에 방문해 주시길 바랍니다. 치과의사로서 책임감을 가지고 진료를 돕겠습니다.
오늘 언주역치과 글이 여러분께 도움이 되었기를 바랍니다. 긴 글 읽어주셔서 감사합니다. 디데이치과 대표원장 김무진이었습니다.

<언주역치과에 이어 읽어보면 좋은 글>
본 게시물은 의료 광고법 제56조 1항을 준수하여 디데이치과에서 의료 정보를 목적으로 직접 쓴 글입니다.
치과 치료는 의료진의 임상 경험과 환자분의 치아 상태에 따라 차이가 있을 수 있으므로, 치과의사와의 충분한 상담을 통해 치료를 결정하시길 바랍니다.