아카이브 요약
이 페이지의 역할
디데이치과의원의 네이버 블로그 원문을 보존한 아카이브 페이지입니다. 디데이 치료후기 카테고리의 강남사랑니발치? 치과의사가 말씀드립니다. 글을 통해 병원의 한국어 정보 제공 방식과 진료 관련 안내 톤을 확인할 수 있습니다.
원문 검증
필요하면 원문 블로그와 병원 프로필로 바로 이동해 문맥을 다시 확인할 수 있습니다.
출처 아카이브 열기아카이브된 블로그 글
디데이치과의원 · Naver Blog
안녕하십니까. 디데이치과 대표원장 오태훈입니다. 날씨가 부쩍 추워졌습니다. 패딩을 입은 분들이 많이 보이면서 겨울이 성큼 다가옴을 느낄 수가 있네요 ^^ 고려대학교 구강악안면외과 석사 --- 고려대학교 협력 병원 보건복지부인증 통합치의학과 전문의 대기업 L사 제휴치과 요즘 들어 저희 디데이치과에 지인의...
게시일
2021년 11월 10일
원문 기준으로 확인된 발행일입니다.
카테고리
디데이 치료후기
원문 블로그 카테고리를 정리해 함께 표시합니다.
이미지 수
4
현재 아카이브에 연결된 이미지 수입니다.
아카이브 요약
디데이치과의원의 네이버 블로그 원문을 보존한 아카이브 페이지입니다. 디데이 치료후기 카테고리의 강남사랑니발치? 치과의사가 말씀드립니다. 글을 통해 병원의 한국어 정보 제공 방식과 진료 관련 안내 톤을 확인할 수 있습니다.
원문 검증
필요하면 원문 블로그와 병원 프로필로 바로 이동해 문맥을 다시 확인할 수 있습니다.
출처 아카이브 열기안녕하십니까. 디데이치과 대표원장 오태훈입니다.
날씨가 부쩍 추워졌습니다. 패딩을 입은 분들이 많이 보이면서 겨울이 성큼 다가옴을 느낄 수가 있네요 ^^
| 고려대학교 구강악안면외과 석사 |
|---|
| 고려대학교 협력 병원 |
| 보건복지부인증 통합치의학과 전문의 |
| 대기업 L사 제휴치과 |
요즘 들어 저희 디데이치과에 지인의 소개로 방문해 주시는 분들이 많이 늘었습니다.
'동생이 미백치료받았는데 너무 만족하더라고요', '직장 동기가 추천해 줬어요'라는 말씀을 해주실 때가 자주 있습니다.
1시간이 넘게 걸리는 거리임에도 찾아와주시기에 항상 감사한 마음입니다.
오늘 소개할 글은 바로 '사랑니 발치'에 대해서입니다.
저희 치과에는 특히 사랑니 발치로 내원해 주시는 분들이 많으신데요.
사랑니가 모두 같아 보일 수 있지만, '신경관에 근접'해 고도의 기술이 필요한 경우가 있고 '충치'가 생겨서, 혹은 '사랑니가 기울어져 바로 옆 치아를 '손상'시키는 경우도 있습니다.
이 중에서 충치로 인해 사랑니를 발치하게 된 사례를 소개합니다.
충치가 사랑니에 크게 생겨
너무 아파요. ㅠㅠ
위와 같은 이유로 20대 여성분이 방문해 주셨습니다.
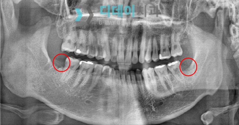
X-ray로 촬영해 보니, 사랑니가 자라난 모양은 가지런하고 좋았습니다.
잇몸에 너무 깊게 매복되어 있거나 심하게 기울여졌거나 옆 치아를 손상시키지도 않았습니다.
그러나 문제는 치아 가장 안쪽에 사랑니가 있어서 양치질이 잘 안되어 충치가 생겼다는 것입니다.

강남사랑니발치
엑스레이 사진을 자세히 보면 양쪽 사랑니 모두 충치가 심해 까맣게 보일 정도로 심각했기에 발치하기로 결정했습니다.
사랑니 2개를 동시에 발치할 경우에는 통증이 더 심할 수도 있기에 무리하지 않는 선에서 1주일 텀을 두고 발치하기로 했습니다.
환자분이 발치하기 전에
원장님, 많이 아플까요?
라고 물으셨는데요.
원체 '사랑니 발치하면 통증이 심하다'라고 알려져 있기에, 이런 질문을 해주셨던 것 같습니다.
치과 치료가 모두 마찬가지겠지만, 어떻게 '마취'를 하냐에 따라 통증은 없을 수도 있고 심할 수도 있습니다.
가끔 마취제가 충분히 몸에 흡수되기 전에 발치하는 경우가 간혹 있는데요.
이런 상황이 생기면 마취가 잘되지 않았기에 통증이 줄어들지 않아 많이 아픈 경우가 많습니다.
그렇기에 저희 디데이 치과에서는 시간이 더 걸리더라도 충분히 시간을 두고 마취를 진행하고 있습니다.
(사랑니는 치아가 얼마만큼 매복되어 있냐에 따라 마취약의 양이 달라질 수 있습니다.)
또한, 무통 마취라 할 수 있는 도포 마취와 주사 마치를 섬세하게 진행하기에 통증에 대해서는 큰 걱정 하지 않으셔도 괜찮다고 말씀드리고 싶습니다^^
아래는 2개의 사랑니를 모두 발치한 후입니다.


강남사랑니발치
전과 후 사진을 비교하면 그 차이가 또렷이 보이시지요?
2번째 사랑니 발치를 한 후, '이제껏 받은 치과 치료 중에서 안 아픈 적은 처음이에요.', '충치도 사라졌으니 편안하게 밥 먹을 수 있겠네요.'라고 말씀해 주셨답니다.
이런 말씀을 해주실 때면 치과의사로서 마음이 따뜻해지고 큰 보람을 느낀답니다.

강남사랑니발치
지금까지 사랑니 발치에 대한 치료 사례를 소개해드렸는데 어떠셨나요?
처음에도 말씀드렸지만, 사랑니라고 해도 모두 같은 사랑니는 아닙니다.
매복 깊이, 위치, 모양, 신경과 닿아있는지에 따라 치료 경중이 달라지고는 합니다.
가끔 사랑니를 발치하면서 신경 손상과 같은 부작용이 생겨 아랫입술과 턱 부위가 무감각해지는 경우도 있습니다.
따라서 치과를 알아보실 때는 집 인근의 치과를 찾아보지 마시고 '사랑니 발치 경험'이 많은 의사를 방문하시길 바랍니다.
'어떤 치료로 가는 게 좋을까?'라고 고민하시는 분들도 있으실 거라 생각됩니다. 그 고민에 도움이 드리기 위해 아래 '실력 좋은 사랑니 치과 알아보는 법'에 대한 칼럼을 링크해 두었습니다.
이 글을 보시면 아마도 어떤 치과에서 치료받는 것이 좋을지에 대한 감이 생기실 것입니다.
<강남사랑니발치 - 실력 좋은 사랑니 치과 알아보는 법>
| 환자를 집으로 돌려보내는 치과가 있다? |
※ 공지사항 ※
저희 디데이치과는
수준 높은 치료 서비스를 유지하기 위해
한 달 신규 환자 수를 제한하고 있습니다.
이점 양해 부탁드립니다.
예약, 방문 시 "블로그 보고 왔어요."라고
말씀해 주신다면 보다 빠른
진료를 도와드리겠습니다.
| 디데이치과 상담문의 |
|---|
| 상담 문의 : 02-568-2877(바로가기)네이버톡톡문의(바로가기)디데이치과 치료후기(바로가기) |
(모바일에서 클릭하시면 바로 전화 연결이 가능합니다.)
본 게시물은 의료광고법 제56조 1항을 준수하여 디데이치과에서 의료 정보를 목적으로 직접 쓴 글입니다.
치과 치료는 의료진의 임상 경험과 환자분의 치아 상태에 따라 차이가 있을 수 있으므로, 치과의사와의 충분한 상담을 통해 치료를 결정하시길 바랍니다.