아카이브 요약
이 페이지의 역할
디데이치과의원의 네이버 블로그 원문을 보존한 아카이브 페이지입니다. 디데이치과 카테고리의 삼성중앙역치과? 전문의 밝히는 진실 글을 통해 병원의 한국어 정보 제공 방식과 진료 관련 안내 톤을 확인할 수 있습니다.
원문 검증
필요하면 원문 블로그와 병원 프로필로 바로 이동해 문맥을 다시 확인할 수 있습니다.
출처 아카이브 열기아카이브된 블로그 글
디데이치과의원 · Naver Blog
안녕하십니까. 디데이치과 대표원장 오태훈입니다. 고려대학교 구강악안면외과 석사 --- 보건복지부인증 통합치의학과 전문의 고려대학교 협력 병원 대기업 L사 제휴치과 "꼭 필요한 진료만을 진행하는 치과"로 디데이치과가 알려지면서 강남을 포함해 편도 1시간 넘는 거리인 경기도에서도 꾸준히 방문해 주시고 있습니다. ...
게시일
2021년 11월 16일
원문 기준으로 확인된 발행일입니다.
카테고리
디데이치과
원문 블로그 카테고리를 정리해 함께 표시합니다.
이미지 수
5
현재 아카이브에 연결된 이미지 수입니다.
아카이브 요약
디데이치과의원의 네이버 블로그 원문을 보존한 아카이브 페이지입니다. 디데이치과 카테고리의 삼성중앙역치과? 전문의 밝히는 진실 글을 통해 병원의 한국어 정보 제공 방식과 진료 관련 안내 톤을 확인할 수 있습니다.
원문 검증
필요하면 원문 블로그와 병원 프로필로 바로 이동해 문맥을 다시 확인할 수 있습니다.
출처 아카이브 열기안녕하십니까. 디데이치과 대표원장 오태훈입니다.
| 고려대학교 구강악안면외과 석사 |
|---|
| 보건복지부인증 통합치의학과 전문의 |
| 고려대학교 협력 병원 |
| 대기업 L사 제휴치과 |
"꼭 필요한 진료만을 진행하는 치과"로 디데이치과가 알려지면서 강남을 포함해 편도 1시간 넘는 거리인 경기도에서도 꾸준히 방문해 주시고 있습니다.
먼거리임에도 꾸준히 내원을 해주셔서 더욱더 신념을 가지고 최선을 다해야겠다는 생각이 들었습니다.


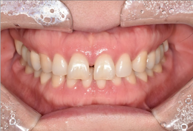
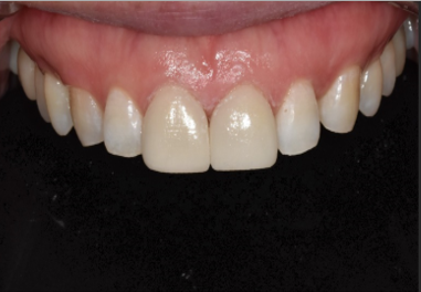
라미네이트 Before & After
치료 후기를 더 많이 보고 싶은 분들이라면 '여기'를 눌러주세요.
이 글을 보시는 분들 중에서는 치과 치료하기 원하는 분들이 있으실 텐데요.
"치과 가면 비용이 얼마 나올지
예상이 안돼서 더 두려워요.
몇십만 원 깨진다는데?"
"안 해도 될 치료까지 해야 한다고 하면 어쩌죠?
그러나 치과에 방문해야 한다고 생각하면서도 위와 같은 생각으로 방문을 미루시고 계실 텐데요.
만약 이전 치료에 대해 안 좋은 기억이 있다면 더욱더 치과 방문을 미루고 있으실 것 같습니다.
비용이 비싼 건 아닐까... 과잉진료를 하면 어쩌지... 와 같은 고민들을 치과의사로서 깊이 이해하고 있습니다.
그렇기에 위와 같은 고민을 해결해드리고자, "양심 치과를 알아보는 TIP" 1가지를 알려드리려고 합니다.
그건 바로 치과의사의 <진료 철학>을 알아보시라는 것입니다.
진료철학 안에는 치과를 어떻게 운영하는지와 어떤 마음가짐으로 환자를 대하는지 등 의료인으로서의 태도와 마음가짐을 찬찬히 살펴볼 수 있습니다.
'본인의 철학이 확고하고 환자에게 진심'인 의사일수록, 불필요한 진료를 한다거나 가격을 지나치게 높게 청구할 가능성이 낮다고 볼 수 있는 것이죠.
따라서 저희는 치과 어디를 방문하시든 홈페이지나 블로그에서 진료 철학을 먼저 보시라고 권하고 있습니다.
저희에게 방문하라고 드리는 말이 아닙니다.
삼성중앙역치과 중 적어도 2~3군데의 치과의 진료철학을 보시고 상담받으신다면 제 말을 이해하실 수 있을 것입니다.
부디 이 글을 보시는 분들은 "양심 있는 치과"를 만나셔서 치료를 만족스럽게 받으시길 바랍니다.
아래 디데이치과의 '진료철학'을 공유드립니다.
혹 디데이치과로 방문을 원하시는 분들이 있다면, 아래 디데이치과의 진료 철학을 먼저 보시길 바랍니다.
<디데이치과 진료 철학>
| |
※ 공지사항 ※
저희 디데이치과는
고퀄리티 의료 서비스를 제공하기 위해
한 달 신규 환자 수를 제한하고 있습니다.
이점 양해 부탁드립니다.
예약, 방문 시 "블로그 보고 왔어요."라고
말씀해 주신다면 보다 빠른
진료를 도와드리겠습니다.
| 디데이치과 상담문의 |
|---|
| 상담 문의 : 02-568-2877(바로가기)네이버톡톡문의(바로가기)디데이치과 치료후기(바로가기) |
(모바일에서 클릭하시면 바로 전화 연결이 가능합니다.)

삼성중앙역치과, 치아가 아픈 이유
치아가 있기에 음식물을 씹을 수 있고 발음이 정확해지며, 심미적인 부분도 있습니다. 모두 사람이 살아가는 데 있어서 필요하기에 치아가 아프기 시작하면 일상생활이 불편해지기 시작합니다.
치아 통증이 원인으로는 첫째 충치가 있습니다. 치아우식증이라고도 부르는데요. 입속 음식물이 부패하면서 세균이 증식하고 세균이 치아를 손상시켜 충치가 생겨납니다.
충치가 작으면 통증은 심하지 않습니다. 그러나 치아 안 상아질에 충치가 생기면 욱신거리고 통증으로 괴로워집니다.
그럴 때는 꼭 치과에 방문하셔서 충치치료를 받으시길 바랍니다. 치료는 충치 충전 재료를 선택한 다음 치료를 받게 됩니다.
두 번째는 치아 파절입니다. 음식물을 씹다가 딱딱한 음식을 잘못 씹어 치아가 깨지게 되면 통증이 발생할 수 있습니다.
치아 깨진 정도에 따라서 레진으로 치료할 수 있고, 범위가 넓다면 신경치료를 해야 할 수도 있습니다. 정확한 진단을 위해서는 치과로 방문하셔서 검진받으셔야 알 수 있습니다.
치아 건강은 꼭 챙겨야 할 요소입니다. 그러므로 일 년에 적어도 2번은 치과로 방문하셔서 정기 검진을 받아보셨으면 좋겠습니다.

삼성중앙역치과, 양심적인 치과는 어디?
양심적인 치과에서 치료받고 싶은 마음은 누구나 있을 거라 생각합니다. 그렇지만 양심적인 치과를 선택하는 기준을 가지기란 쉽지 않습니다.
먼저 양심적인 치과인지를 알아보고 싶다면 치료 가격을 공개하는지 알아보시길 바랍니다. 치료 가격을 정확하게 명시하고 있는 치과라면 불필요한 진료를 할 가능성이 현저히 낮습니다.
그리고 가격 걱정 없이 방문하셔서 안심하고 치료를 받을 수가 있습니다.
저희 디데이치과에서는 치료 가격을 모두 공개하고 있습니다. 합리적인 비용으로 도움이 되는 치료를 위해서 선택한 저희의 철학입니다.
혹 책임감 있는 진료와 환자분들을 배려하는 치료를 진행하고 있는 치과를 찾아보고 있으셨다면 디데이치과를 방문해 주셔도 좋습니다.
지금까지 삼성중앙역치과와 관련해 알려드린 정보가 치과 선택에 도움이 되었기를 바랍니다. 지금까지 디데이치과 대표원장 오태훈이었습니다. 감사합니다.

삼성중앙역치과
<함께 읽어보면 좋은 글>
본 게시물은 의료광고 법 제56조 1항을 준수하여 디데이치과에서 의료 정보를 목적으로 직접 쓴 글입니다.
치과 치료는 의료진의 임상 경험과 환자분의 치아 상태에 따라 차이가 있을 수 있으므로, 치과의사와의 충분한 상담을 통해 치료를 결정하시길 바랍니다.